专业讨论意见仅代表新医大一附院神经外科团队观点,如有不同见解,欢迎同道斧正!

内镜治疗儿童颅咽管瘤病例分享
一般情况
患者男,11岁,维吾尔族
主诉:间断头痛1年余,加重3月
现病史:患者2020年3月起出现间断头痛,额顶为主,数分钟后自行缓解,家属未予重视。2020年10月患者头痛加重伴呕吐,就诊当地医院诊断不详,给予相关治疗(具体不详)后症状未缓解,转上级医院完善头颅CT后提示:颅内占位性病变,建议上转,因经济原因未能治疗,至今年4月头痛频次及程度增强,以晨起后为著,不伴有肢体抽搐,多饮多尿,偏瘫。患者为求进一步诊治我院门诊就诊,以“颅咽管瘤”门诊收治我科病程中患者神志清,精神好,睡眠好,食欲好,大小便正常。
既往史:平素健康状况良好。
专科检查:神志清晰,精神良好,言语流利,四肢肌力V级,病理反射(-),脑膜刺激征(-),其余检查未见明显异常。

术前头颅CT

CT提示:鞍区可见一类圆形囊实性占位灶,实性部分可见钙化。
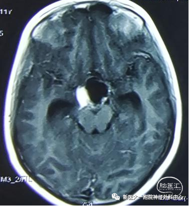
术前头颅MRI




MRI提示:鞍区可见一类圆形囊实性占位灶,病灶内见短T1长T2囊性区及等T1短T2实性区,增强扫描病灶内实性部分不均匀强化。

视力视野检查

眼底检查:双眼眼底未见明显异常(如图)
视野:视野检查未见明显异常
视力:左眼1.2,右眼1.2

诊疗思路及方案
初步诊断:颅咽管瘤,梗阻性脑积水
诊断依据:患者男,11岁,病程1年余,CT提示鞍区囊实性占位,存在钙化,MRI提示鞍区囊实性占位,增强扫描不均匀强化。
可选择的治疗方案:1.积极手术全切肿瘤。2.保守治疗,不全切肿瘤仅行囊肿穿刺抽液,再行普通放疗,核素内照射治疗或立体定向放疗。
可选择的手术入路:1.改良翼点入路:适用于鞍区及向鞍上、鞍旁、鞍后及第三脑室方向发展的肿瘤2.额下及额下经纵裂入路:即可切除视交叉前的肿瘤,又可打开终板切除位于视交叉以后及第三脑室内肿瘤,尤其适用于肿瘤经视交叉前间隙突出,正常或后置型视交叉病人3. 经纵裂-胼胝体-穹隆间入路适用于第三脑室前部,中部及占据整个脑室肿瘤。4. 经鼻蝶入路适用于全部位于鞍内或部分位于鞍内并凸向蝶窦的肿瘤经蝶入路手术时间短,创伤小,出血量少,术后恢复快,神经内镜在充分暴露组织后,在内镜术野中能完整切除肿瘤,传统开颅入路受神经,血管,组织等复杂解剖关系影响,切除时难以直视,增加全切难度。而内镜手术可以直视肿瘤与周围神经血管关系,增加肿瘤全切成功度,降低组织损伤,大大提升肿瘤全切率。
术前讨论结果:因患者年龄较小,首选手术全切,尽量避免放疗,综合患者术前影像学检查,患者肿物位于鞍内,以囊性居多,最终讨论后选择经鼻蝶入路。
术中注意事项:术中应仔细辨别及保护垂体柄,下丘脑,视交叉及其供血血管,如肿瘤与之黏连紧密,分离困难,可考虑残留部分囊壁。
术后:严密监测患者意识状态、体温、尿量、电解质及激素水平,颅咽管瘤术后易发生垂体功能低下和内分泌功能障碍,需监测尿量、电解质及激素水平。同时鼻内镜下经鼻腔蝶窦入路术后易发生脑脊液漏继而发生颅内感染,需严密监测患者体温,定期复查腰椎穿刺明确颅内情况。
术中情况
![]()

![]()
术后核磁






术后病理
![]()

![]()
结果提示:颅咽管瘤



讨论
颅咽管瘤是由颅咽管残余的上皮细胞发展的一种常见的中枢神经系统良性肿瘤,占颅内原发肿瘤的2%-5%[1]。手术仍是该疾病主要的治疗手段,全切肿瘤能够最大限度避免肿瘤的复发[2]。也有部分学者认为可对肿瘤实行大部切除后辅以放疗,以避免损伤关键结构[3]。因此,目前外科手术是治疗颅咽管瘤的必要手段。
目前世界范围内对存在多种颅咽管瘤的分型,我国漆松涛教授根据肿瘤起源部位及肿瘤生长方式提出的QST分型近年来获得国内外诸多学者的认可,具体分型如下:Q型:肿瘤起源于鞍膈下的垂体中间叶或垂体柄鞍膈下段,当通过鞍膈孔凸向鞍上时,可有雪人症。(2)S型:肿瘤起源于鞍膈上垂体柄袖套外及袖套间段,位于鞍膈上,有部分外层蛛网膜和内层蛛网膜与结节漏斗部相隔。肿瘤在蛛网膜腔内生长,可将鞍膈向下推移或不变,垂体清晰可见,第三脑室底部向上推移,矢状正中位多可见结节漏斗部和垂体柄。(3)T型:肿瘤起源于垂体柄疏松部袖套内段,与结节漏斗有广泛粘连,肿瘤通过第三脑室底卷向第三脑室底内或蛛网膜内生长,结节漏斗部正中结构被推挤变形,难以辨认,第三脑室内膜延续于肿瘤上方,第三脑室底内层蛛网膜及liliequest膜的间脑叶将肿瘤与脚间池相隔[4]。术前预测肿瘤分型,对手术入路的选择及预后分析有较高的指导意义。
颅咽馆瘤常用的手术入路有:前纵裂入路、经翼点入路、经额下入路、经鼻蝶入路等,不同手术入路对于颅咽管瘤及其周围中重要组织结构的显露范围不同,因此,手术入路的选择,一方面取决于主刀医生的擅长及经验,另一方面术前准确评估肿瘤的起源部位及生长反向以明确肿瘤分型,从而提高肿瘤的全切率。随着内镜技术水平的不断提高,经鼻内镜治疗颅咽管瘤相继被报道,相较于传统开颅手术,内镜手术有着微创、视野清晰广阔、对鞍内肿瘤的解剖直接可视化等特点,能够更好地显露及辨认、保护周围重要结构[5]。
颅咽管瘤术后的管理至关重要,术后并发症是颅咽管瘤术后早期死亡的最重要因素,也是影响患者神经功能和生存质量的重要因素。包括垂体功能低下、下丘脑功能障碍、视力下降、发热、迟发性血肿、水肿、梗死、癫痫、颅内感染、脑积水和其他脏器并发症。其中最重要的是下丘脑、垂体柄、垂体相关结构损伤性并发症,又以尿崩症和钠代谢紊乱为最常见。因此颅咽管瘤患者术后早期管理是围手术期管理的最重要过程,需结合术前评估、术中变化进行术后个体化管理[6]。
综上,手术是治疗颅咽管瘤的主要方法,治疗应该以全切肿瘤,预防复发为目标。术前充分评估肿瘤分型对手术入路的选择有指导性意义。经鼻蝶入路能够较好的显露鞍内肿瘤及其周围组织,合理选择该入路能够有效切除颅咽管瘤,颅咽管瘤可以通过根治性手术有效治疗,而不会增加发病率或死亡率。QST 分类可以提高我们对肿瘤生长模式的理解,有助于术前手术计划。在治疗不同类型的肿瘤时,常规开颅 和 经鼻内镜手术都有其优点和局限性。基于肿瘤生长模式的个性化手术策略是实现最佳结果的必要条件。术后并发症的预防及管理在整个围术期至关重要,个体化治疗能够带来更好的预后。

参考文献
[1]Green A L , Yeh J S , Dias P S . Craniopharyngioma in a mother and daughter.[J]. Acta Neurochirurgica, 2002, 144(4):403-404.
[2] Dhellemmes P , Vinchon M . Radical resection for craniopharyngiomas in children: surgical technique and clinical results.[J]. Journal of Pediatric Endocrinology & Metabolism, 2006, 19:329-335.
[3] Alfredo, Conti, Antonio, et al. Benefits of image-guided stereotactic hypofractionated radiation therapy as adjuvant treatment of craniopharyngiomas. A review.[J]. Childs Nervous System Chns Official Journal of the International Society for Pediatric Neurosurgery, 2018.
[4] Qi S, Lu Y, Pan J, et al. Anatomic relations of the arachnoidea around the pituitary stalk: relevance for surgical removal of craniopharyngiomas[J]. Acta Neurochir (Wien), 2011,153(4):785.796.
[5] Fan J, Liu Y, Pan J, et al. Endoscopic endonasal versus transcranial surgery for primary resection of craniopharyngiomas based on a new QST classification system: a comparative series of 315 patients[J]. Journal of neurosurgery, 2021, 1(aop): 1-12.
[6] Di Iorgi N, Napoli F, Allegri A E, et al.Diabetes insipidus--diagnosis and management[J].Horm Res Paediatr, 2012, 77 (2) :69-84.
END
术者简介

汪永新 二级教授 博士生导师
新疆医科大学第一附属医院神经外科中心主任
新疆医学会神经外科分会副主任委员
新疆神经外科研究所副所长
中国医师协会神经外科医师分会委员
中华医学会数字医学分会委员
中国神经重症管理协作组常委
中国医师协会神外医师分会小儿神外专家委员会委员
中国抗癌协会神经肿瘤分会委员
《中华神经外科杂志英文版》通讯编委
擅长应用内镜及显微镜治疗各种神经系统肿瘤、狭颅症、复杂颅面畸形综合征、脊髓脊膜膨出、颅脑寄生虫病、脑积水、脑瘫和重型颅脑损伤等疑难病种。

周凯,医学博士,主任医师,副教授
中华医学会新疆神经外科分会肿瘤学组委员及秘书
全国垂体腺瘤协作组委员
主持自治区自然科学基金面上项目一项
参与国家自然科学基金地区项目两项
参与北京市神经外科研究所合作横向课题一项
参与编写《神经外科诊疗技能及疾病治疗方法》
擅长内镜及显微镜治疗各种神经系统肿瘤、脑积水、脑出血,尤其擅长包括:垂体瘤、颅咽管瘤、脊索瘤、鞍结节脑膜瘤等疑难病种的诊断及治疗。


声明:脑医汇旗下神外资讯、神介资讯、神内资讯、脑医咨询、AiBrain 所发表内容之知识产权为脑医汇及主办方、原作者等相关权利人所有。





