
概 述
脑动静脉畸形(bAVMs)是一种复杂的、血管异常沟通的颅内病变,是一种脑血管的先天性发育畸形, 由动脉、静脉及动脉化的静脉(动静脉瘘组成),其间无毛细血管。
可采用一种或者多种治疗方式进行治疗,即外科手术、栓塞术、放射治疗等。bAVMs被认为是散发性先天性发育性血管病变,但其发病机制尚不清楚。临床工作者多以“AVM”简称。




病理特点
病变间有脑组织,其周围脑组织可因缺血而萎缩,呈胶质增生带。




临床表现

颅内出血
常为就诊原因,是脑AVM最重要的致残、致死原因之一,有头痛、呕吐、意识障碍等症状;
出血部位依次为:脑实质-蛛网膜下腔-脑室;
出血的危险与脑AVM大小呈反相关,与引流静脉数的多少密切相关;
再出血率及出血后死亡率都低于颅内动脉瘤,原因是出血源多为病理循环的静脉,压力低于脑动脉压。
癫 痫
年龄越小出现的几率越高,1/3发生在30岁之前;
体积大的脑皮层AVM比小而深在的AVM容易引起癫痫;
癫痫与脑缺血、病变周围胶质增生,以及出血后的含铁血黄素刺激大脑皮层有关。
头 痛
多为颅内出血的结果,有些病人在出血前有持续性或反复发作性头痛。
可能与供血动脉、引流静脉以及窦的扩张有关,或因AVM出血引起。
神经功能障碍
脑内血肿可致急性偏瘫;
AVM增大的团块效应可出现进行性神经功能缺损:运动、感觉、视野以及语言功能障碍。

如何诊断AVM?
临床依据:
AVM脑出血常有头痛或癫痫史而无高血压史;
有颅内高压但症状发展较高血压出血慢;
好发于年轻患者且部位为非典型的高血压脑出血部位。


头颅CT:
平扫呈等密度,不易发现,可见部分病变钙化,高密度影。


头颅CTA:
可清晰显示血管畸形影像,引流血管,供血动脉以及畸形血管团。


MRI及MRA:
畸形血管团呈簇状流空信号

MRA可显示供应动脉,及引流静脉增粗。
左颞枕叶AVM



DSA:
诊断AVM的金标准,静脉显影早,可见畸形血管团,供应动脉增粗,引流静脉早期出现,还能反映其血流动力学特点,如高流量动静脉瘘、脑盗血及病灶内或其他部位可能合并的动脉瘤等。




Spetzler-Martin分级法
治疗前如何来评估病变风险?
一般使用Spetzler-Martin分级法——

三项得分相加的结果数定级,级别越高手术难度越大,预后越差。
需特别注意的是:
1. 脑功能区是指累计或紧邻以下区域者:感觉运动区、语言区、视皮质、下丘脑、丘脑、内囊、脑干、小脑脚和小脑深部核团。
2. I级和II级AVM,如无手术禁忌均应行手术切除。
3. III级和IV级,手术危险性增加,应根据患者年龄、全身情况和临床表现而个体化决定是否选择手术。
4. V级AVM手术极具挑战性,应由具备丰富临床经验的神经外科医生尝试此类手术。
5. VI级,治疗此类病变势必造成重残或死亡。

治疗方法
推荐意见:
1. 外科手术治疗是有效和必要的。
2. 针对AVMs任何形式的治疗均应完全清除病灶。换句话说,AVM完全闭塞是所有治疗唯一允许的目标。
3. 其他方式。在栓塞或放射治疗的情况下,患者在选择AVMs非手术治疗时应充分了解动静脉破裂和并发症的风险。
4. 复发和残留病变必须进行手术治疗。
推荐意见:术前栓塞
1. 优点:术前栓塞有助于减小手术中畸形团的大小、降低出血风险,这是临时操作,应随手术联合进行。而不是外科医生偏好的24h时间范围。联合手术有助于临床决策。Onyx(一种神经栓塞剂)是最佳药物选择,仅针对深部供血动脉,可避开浅静脉,更易识别畸形团。高度动静脉畸形可通过连续经动脉的栓塞术(TAE)使分级降低。
2. 缺点:这使得畸形团很难被解剖剥离。每次TAE都会增加出血风险。对于巨大动静脉畸形,金科对浅部进行术前栓塞,难以进入深部。
神经外科显微手术
bAVMs切除术的顺序具体如下:
1. 通过开颅和硬脑膜切开术充分暴露bAVM及其供血动脉和静脉流出。
2. 其供血动脉被孤立和分离。
3. 从邻近的脑实质和周围神经血管结构沿周围剥离。
4. 切断静脉流出
5. 缝合伤口。
与其他治疗方案相比,显微手术切除病灶完全消失的比率很高,并可立即消除出血风险,且具有持久性。主要缺点是它的侵袭性、恢复期长和相关的神经风险。
推荐意见:
1. 手术治疗:应密切注意病灶周围的蛛网膜平面或神经胶质平面。
2. 吲哚菁绿(ICG)治疗:在打开硬脑膜之前,要先看看病灶、供血动脉和引流静脉,并相应地帮助打开硬脑膜。
1、神经外科显微手术
适用于表浅的非功能区病变 ,不适用于深部的、功能区的、结构复杂的血管畸形,术中注意主要引流静脉的保护,术后提防正常灌注压突破,可采用控制性低血压。

2、介入治疗
适应证是大型高血流量的AVM,部位深,重要功能区,供血动脉伴有动脉瘤,引流静脉细小屈曲,引流不畅,有出血可能者,外科手术术前栓塞,患者不愿开颅手术者。
特点:减小手术中畸形团的大小、降低出血风险,创伤小,术后恢复快。


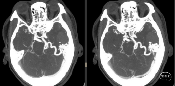
右枕顶动静脉畸形栓塞前后
3、立体定向放射治疗(r刀)
放射治疗可使AVM的病变区形成血栓,相对风险较小,但仅适用于小于3cm的病变(或神经外科显微手术、AVM介入栓塞术后复发及残留病灶),动静脉畸形闭塞时间相对较长,其间有可能发生在出血的风险。


推荐意见:
1. 3级和4级脑动静脉畸形必须采用基于案例选择的多模式方法进行处理
2. 4级枕叶或小脑动静脉畸形必须考虑进行手术
3. 5级脑动静脉畸形必须保守治疗
4. 畸形团较大的脑动静脉畸形患者可进行分期TAE,每次行TAE的出血风险约为7%。联合、分期治疗:大型的AVM
临床治疗AVM常需联合、分期及科室及医院间的合作

病例分享
case 01
病史:患者黄某,男,48岁,因“突发意识不清1小时”2022-06-01入院。既往无高血压病史。
查体:神志昏迷GCS评分3+1+3,无应答,刺痛肢体强直,双侧瞳孔等圆等大,瞳孔直径约3.0mm,对光反射迟钝,四肢肌力无法配合检查,肌张力增高,巴氏征阳性。
检查:我院急诊头颅CT及CTA提示:左侧枕叶脑出血并破入脑室系统,侧脑室、第三、四脑室积血,脑室铸型,枕叶异常血管团影,考虑动静脉畸形。
诊断:1.左侧枕叶动静脉畸形破裂出血并破入脑室系统
2022-06-01头颅CT


2022-06-01头颅CTA


方案:
介入+神经显微外科复合手术

1.导管室内行侧脑室钻孔外引流
2.脑动脉造影联合进行
造影所见:左侧大脑后动脉末端分支单独供血,向侧窦区引流。
转手术室开颅显微切除




2022-06-01 头颅术后CT


2022-06-04 头颅术后CT


2022-06-08 头颅CT
患者神志清,可简单应答,间断有烦躁,胡言乱语,四肢自主活动,肌力V级。


2022-06-18 头颅CT


2022-06-26 头颅CT


2022-10-14 患者无不适,言语肢体功能正常,按嘱返院复查DSA。


case 02
病史:患者庞某,男,59岁,因“突发头痛并逐渐意识不清1小时”2022-10-28入院。既往无高血压病史。
查体:神志昏迷GCS评分2+1+5,无应答,呼吸尚平顺,双侧瞳孔不等大,左侧瞳孔直径约4.0mm,右侧瞳孔直径约2.0mm,对光反射迟钝,四肢肌力无法配合检查,肌张力正常。
检查:我院急诊头颅CT及CTA提示:左侧颞叶动静脉畸形并破裂出血,血肿量:30ml;左侧额颞顶部硬膜下血肿,血肿量约:50ml;蛛网膜下腔出血;左侧侧脑室及第四脑室积血,中线结构右移。胸部CT示:慢性支气管炎、肺气肿并两下肺坠积性改变;双肺多发微小结节;双肺下叶少量纤维灶。
诊断:1.脑疝 2.左侧颞叶动静脉畸形并破裂出血 3.左侧额颞顶部硬膜下血肿 4.蛛网膜下腔出血 5.肺部感染
2022-10-28 头颅CT


2022-10-28头颅CTA



2022-10-28 神经外科 急诊显微手术
阻断主供血动脉:左侧大脑后动脉分支
清除血肿,阻断大脑中动脉分支、脑膜支后,尝试阻断引流静脉,畸形团立即出血
探查静脉瘤、静脉湖底面折返的供血动脉
最后阻断引流静脉,畸形团干瘪
2022-10-28 动静脉畸形切除标本


2022-10-29 术后头颅CT
患者神志清,部分性运动性失语,四肢肌力正常。


2022-11-08 头颅CT
左侧颞叶动静脉畸形切除术后改变,脑室系统结构正常,无脑积水,中线居中。病人神志清,对答切题,四肢活动自如。


2022-11-18术后DSA



术者简介
参与手术成员:
广州市番禺区第二人民医院
巨清 刘强 袁炳文 魏琦

巨清
广州市番禺区第二人民医院神经医学科
学科带头人 科主任 主任医师
专家简历
一、中华医学会神经外科分会会员
二、中国急诊医学神经急诊分会委员
三、世界华人医师协会、世界华人神经外科协会颅脑创伤专业委员会委员
四、广东省基层医药学会神经外科专业委员会委员
五、广东省医学会神经介入学分会委员
六、广东省医师协会神经介入医师分会第二届委员
七、广东省中西医结合学会卒中专业委员会委员
八、广东省基层医药脑血管病介入专委会委员
九、广东省基层药学会脑出血专委会委员
十、广州市番禺区脑卒中治疗质量控制中心专家委员会副主任委员
十一、广州市番禺区医学会卒中分会副主任委员
从事神经外科工作二十余年,每年完成神经系统各类疾病手术数百例次;2006年始开展脑动脉瘤(前循环)开颅夹闭术,每年近百例次夹闭经验,同一切口下颅内多发或双侧动脉瘤(前循环)夹闭积累了丰富的临床经验;在Tubridge血流导向密网支架规范操作与临床应用作出杰出贡献,特被聘请为“Tubridge技术专家”;神经系统肿瘤、脊髓肿瘤显微切除术累计数百例次、熟练掌握经鼻蝶入路神经内镜下垂体瘤切除术;三叉神经痛、面肌痉挛、舌咽神经痛行微血管减压术累积上百例次;各类各型高血压脑出血:小骨窗清除血肿术、经侧裂岛叶清除血肿术、软通道穿刺抽吸引流血肿术、神经内镜下清除血肿术等数百例次;救治各类颅脑损伤、重型颅脑损伤手术数百例次;近两年开展了大量缺血性脑血管病:颈动脉狭窄支架植入术、颈动脉内膜剥脱术、颅内动脉狭窄球囊扩张血管成形+支架植入血管成形术、颅内动脉狭窄药物洗脱支架植入术、椎动脉药物涂层支架植入术、静脉溶栓、动脉取栓静脉取栓术等手术。熟练掌握神经介入、神经显微镜、神经内镜等技术。
点击或扫描上方二维码,
前往巨清主任学术主页
广州市番禺区第二人民医院科室介绍:

神经医学科:
广州市番禺区第二人民医院神经医学科系我院重点临床科室,分为神经外科、神经内科、神经介入、神经康复等专业组。现有医护人员25名,其中高级职称3名,中级职称4名,具有硕士以上学历6名。承担着辖区颅脑创伤、缺血及出血性脑血管病、颅脑及脊髓肿瘤、头痛、头晕、失眠、痴呆、中枢神经系统感染、多发性硬化、癫痫、帕金森病、重症肌无力、外周神经病变等各类神经内、外科常见病、多发病的临床诊疗,科研教学以及急、危、重症病人的救治工作。依托卒中中心神经内、外科的技术支持,开展神经康复早期治疗、恢复期治疗、重症康复治疗等业务,并以中西医结合为契机深挖中医康复潜能。科室与多名省内高等学府或高校教授及顶级三甲医院专家长期合作及技术交流。让患者在家门口享受最先进的治疗。
神经医学科专业技术力量雄厚,专业医疗设备先进,配备百级层流手术室一间、配有Pentro 900手术显微镜一台(双荧光)、GE一IGS330数字平板血管造影机一台、高压氧舱一间、德国Storz神经内镜一台、颅内压监护仪4台、蛇牌电动开颅系统一台、神经外科专用手术床、手术头架两套等高端先进设备。
设置神经重症监护病房,为亚低温层流病房,配有多参数监护仪、亚低温治疗仪、微量注射泵及呼吸机等先进医疗设备。
点击或扫描上方二维码,查看
广州市番禺区第二人民医院科室主页

更多精彩内容 请关注作者
点击或扫描上方二维码
查看更多“脑血管”内容










