
01
病例简介
基本信息
患者:女,68岁,急性起病,因“ 左侧肢体活动不灵半小时”来院就诊。
简要病史:患者半小时前无明显诱因下出现左侧肢体活动不灵、言语不清、意识不清,家属急呼120送至我院,急诊完善颅脑CT等检查检验后,结合患者病史、查体及辅助检查等诊断为“急性脑梗死”,存在静脉溶栓及动脉取栓指征,与患者家属沟通后,患者家属同意静脉溶栓及脑动脉取栓治疗。患者既往“缓慢型心房颤动”病史十年余,未服用抗凝药物治疗。
入院查体情况:心率40次/分,意识不清,言语不清,双眼向右侧凝视,双侧瞳孔等大等圆,D=2.5mm,双侧瞳孔对光反射迟钝,左侧中枢性面舌瘫,左侧肢体肌力0级,左侧肢体肌张力低,右侧肢体肌力4级,右侧肢体肌张力正常,左侧巴氏征阳性。NIHSS评分24分,mRS评分5分。
02
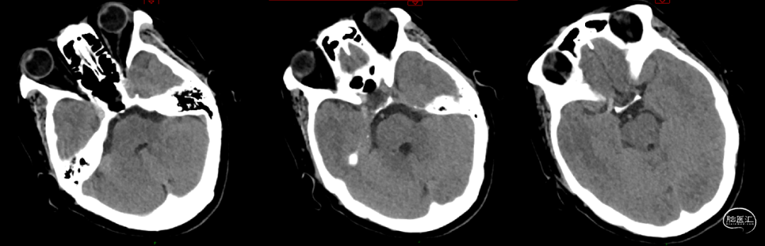
术前影像学

术前颅脑CT:R-ICA、M1高密度影
03
术前讨论
急性脑梗死,缓慢型心房颤动。
患者无明显诱因下突然出现左侧肢体活动不灵、言语不清、意识模糊(一枪撂倒),既往“缓慢型心房颤动”病史,入院后心电图提示“缓慢型心房颤动”,心率40次/分,颅脑CT提示“R-ICA、MCA高密度征”。
CE-LVO
患者起病急骤,既往“缓慢型心房颤动”病史,颅脑CT提示“R-ICA、MCA高密度征”。术前诊断为心源性栓塞致右侧ICA、MCA闭塞,拟行导管抽吸取栓,必要时结合支架抽拉取栓。
使用器械125cm 5F多功能造影导管
2米微导丝
6F Neuron MAX 长鞘
ACE60 抽吸导管
Rebar-18 支架导管
RECO支架 5×30mm
Pump MAX 负压吸引泵
04
手术过程
主动脉弓造影提示右侧ICA开口远端未显影。
NeuronMAX及ACE 60在微导丝导引下同轴进入颈内动脉,给予抽吸取栓取出两枚黑色血栓。
患者ICA路径迂曲,导管到位难度大。ACE 60在泥鳅导丝导引下进入颈内动脉末端,抽吸取栓取出多枚黑色血栓。

将ACE 60导管送至大脑中动脉楔入血栓内,连接取栓导管及装置,持续抽吸无法开通。
Rebar-18支架导管在微导丝导引下跨越血栓至大脑中动脉M2以远,微导管造影证实位于真腔,选择5mm×30mm RECO支架取栓。
造影提示颈内动脉血流有所改善,但颈内动脉末端分叉处及MCA内仍有血栓,予以RECO支架再次取栓,取出数枚大小不一血栓。

05
术后
手术结束后造影显示颈内动脉通畅,颅内各分支血管走行自然,远端血流灌注达到mTICI 3级,开通成功。

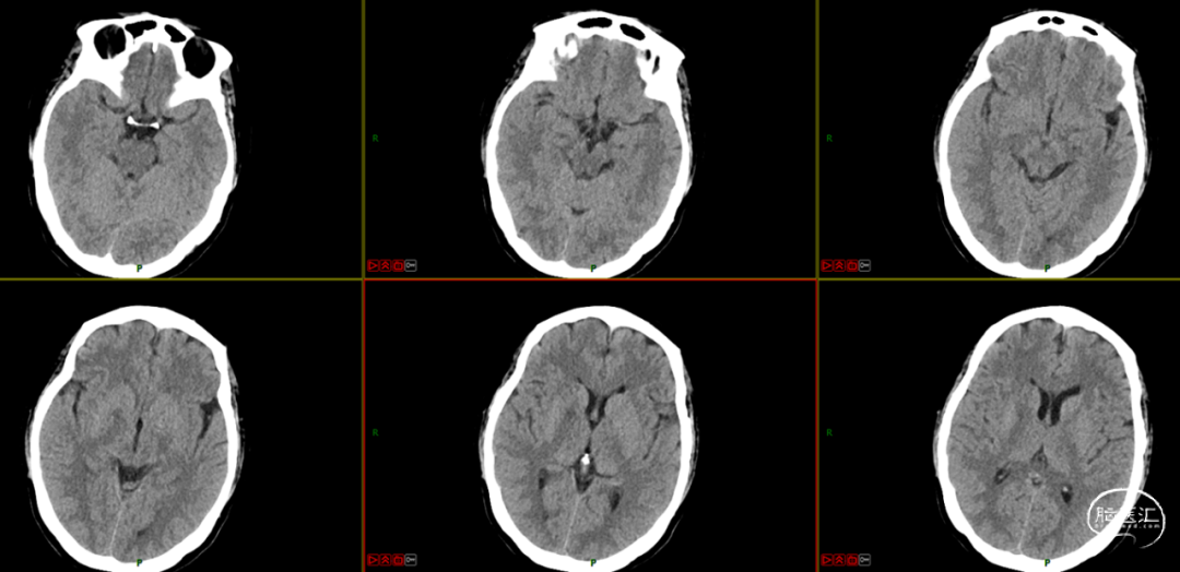
术后即刻行X-per CT未见颅内出血征象。
术后处理及复查

术后第一天颅脑CT

术后第三天转入普通病房。查体:神志清楚,对答切题,双侧瞳孔等大等圆,D=3.0mm,双侧瞳孔对光反射灵敏,伸舌居中,四肢肌力肌张力正常,双侧巴氏征未引出。NIHSS评分2分,mRS评分1分。
术后第七天,患者病情明显好转,无特殊不适,予以办理出院。
出院时查体:神志清楚,对答切题,双侧瞳孔等大等圆,D=3.0mm,双侧瞳孔对光反射灵敏,伸舌居中,四肢肌力肌张力正常,双侧巴氏征未引出。NIHSS 0分,mRS 0分。
04
总结和讨论
患者急性起病,入院时NIHSS评分24分,mRS评分5分。
急诊予以rt-PA 50mg静脉溶栓治疗(标准剂量)后桥接脑动脉取栓术。患者DNT时间为32分钟,到院至完成穿刺时间63分钟,DPT时间为108分钟。
术前mTICI分级0级,术后mTICI分级3级。
术前NIHSS评分24分,术后第三天NIHSS评分0分。
患者ICA路径迂曲,选用NeuronMAX高性能长鞘可带来高到位+稳定支撑。
患者M1血栓抽吸困难,应用ACE60抽吸导管高到位+RECO取栓支架抽拉结合提升取栓效率。
患者ICA血栓负荷重,到位难度大,ACE60抽吸导管有良好的通过性和抽吸能力,手术效果好。
术者简介
郭强
济宁医学院附属医院
学科带头人,科主任,医学硕士,副主任医师
山东省妇幼保健协会小儿神经外科专业委员会第一届委员会常务委员
山东省脑血管病防治协会脑卒中筛查与防治专业委员会第一届委员会委员
山东省卒中学会脑血管介入与手术治疗分会委员
山东省介入沙龙成员
山东省医学会神经外科学分会第七届委员会脑血管介入学组成员
山东省抗癌协会神经肿瘤分会首届青年委员会委员
杨冬旭
济宁医学院附属医院
医学博士,主治医师
山东省老年医学学会神经感染与脑脊液细胞学专业委员会委员
山东省疼痛医院会细胞生物治疗专业委员会委员
基层神经介入委员会委员
从事神经外科工作10余年,博士毕业于北京天坛医院,擅长急性超早期脑梗死的静脉溶栓、大面积脑梗死动脉取栓、高血压脑出血微创手术、烟雾病的颅内外血运重建术、脑动脉狭窄的微创介入治疗及颈动脉斑块的内膜剥脱手术、颅内各部位动脉瘤的微创介入及开颅夹闭治疗及脑血管性疾病并发症的综合治疗

点击或扫描上方二维码
查看更多“介入”内容









