

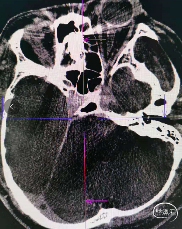
病例介绍


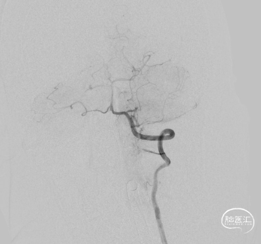
一期治疗


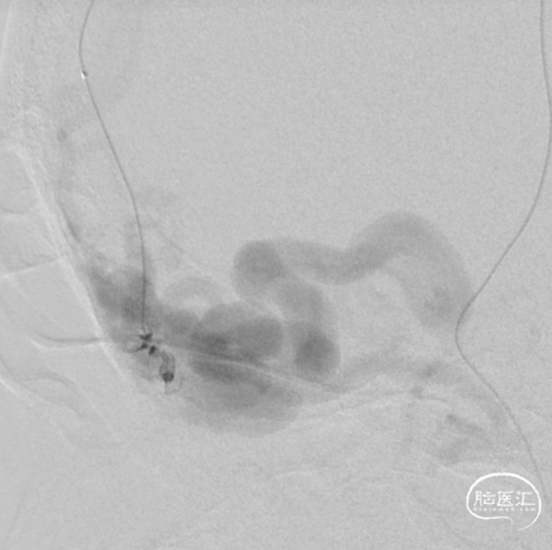
治疗经过


· 病例小结 ·


二期治疗


· 术者简介 ·

赵开军
上海市东方医院(同济大学附属东方医院)神经外科
博士,博士后,硕士研究生导师,现为同济大学附属东方医院神经外科副主任、血管组组长、东方医院南院神外执行主任、副主任医师、主诊医师(原为:海军军医大学附属长海医院脑血管病中心主诊医师)、OCIN高级讲师、OCIN CASES执行主编。
现为上海市和国家科技库专家、国家执业医师考试主考官,通过国家专科医师规范化培训师资考核(中国医师协会)。担任Stroke、European Journal of Radiology、Neuroradiology、Journal of neurology and Neurosurgery、Interventional Neuroradiology,Journal of clinical neuroscience、Emergency Medicine、Journal of Oncology等多家国外杂志审稿人。多次在国内外学术大会上进行学术交流和参加手术演示。以长海介入团队参与人身份先后获上海市科学技术成果奖、科学技术进步一等奖和上海市科学技术奖个人证书。主持/参加军队和地方各类课题10余项。参编脑防委介入治疗适宜技术、脑血管病介入治疗操作规范、颅内动脉瘤介入治疗学等专著。以第一/共同第一作者发表SCI论文14篇,其中单篇最高引用50余次,SCI单篇最高影响因子 8.572。
专业特长:擅长各种颅内外动脉瘤、夹层动脉瘤、椎基底动脉冗扩、脑血管畸形、颈动脉海绵窦瘘、硬脑膜和硬脊膜动静脉瘘、颅内外血管狭窄、颅内静脉和静脉窦血栓、烟雾病、急性脑血管卒中、蛛网膜下腔出血、脑梗塞、颅内外血管慢性闭塞(开通术)等脑血管病的治疗。
专业方向:脑血管病。博士师从上海交通大学附属瑞金医院神经外科沈建康教授,博士后师从海军军医大学附属长海医院脑血管病中心刘建民教授。
特别说明:本信息仅供医疗卫生专业人士阅读和参考,不构成对任何诊疗方式的推荐。


点击或扫描上方二维码
查看更多“介入”内容