载药时代 球扩天下
NOVA DES®颅内药物洗脱支架植入

术者:朱帅 南阳南石医院
朱帅
神经外科三病区主任,副主任医师,毕业于河南大学医学院临床医学专业。
河南省医师协会神经介入专业委员会青年委员会委员,河南省医学会介入治疗专业委员会青年委员,南阳市医师协会神经外科及介入治疗委员会委员,南阳市医师协会神经外科分会委员。
从事神经外科工作15年余,曾先后在天津环湖医院及复旦大学附属华山医院进修神经外科,主要擅长急性脑梗死的取栓治疗,缺血性及出血性脑血管病的外科及血管内治疗。常规开展脑出血及动脉瘤的外科治疗外,熟练掌握缺血性脑血管病的急诊取栓治疗、烟雾病的脑血管搭桥、脑血管狭窄支架植入及颈动脉内膜剥脱手术。发表国家级论文6篇,其中核心期刊2篇,获得市科技成果奖二项。
病例一
患者基本信息
患者,男,59岁。
主诉:发作性头晕、恶心,左侧肢体无力20小时。
简要病史:患者于20小时前无明显诱因出现头晕,非视物旋转状,恶心无呕吐,伴左侧肢体无力,不能行走及持物,言语不清,口吐白沫及肢体抽搐,无意识丧失,无大小便失禁,上述症状持续约30min后缓解,当时未在意,亦未治疗,上述症状发作约3-4次,于13小时前至南召县中医院住院治疗,具体不详,上述症状仍间断发作,为求进一步治疗,转至我院,以"急性脑梗死"为诊断收住我科。

DWI
入院检查
查体:言语不利,行动不利,肌力3级,瞳孔正常,对光反射灵敏。神经系统评分NIHSS (3),mRS(2)。

MRA
诊断
远端正常血管直径(mm):2.7
狭窄处最小直径(mm):0.8
病变长度(mm):5
术前讨论
拟行手术方案:基底动脉支架植入术
手术指征:患者基底动脉重度狭窄,反复发作后循环缺血,本次出现后循环小脑、脑干、枕叶梗死,考虑低灌注梗死,规范内科治疗效果差。
治疗策略:患者左侧椎动脉优势,基底动脉重度狭窄,考虑动脉硬化可能性大,拟行药物涂层球扩支架植入术降低支架植入术后再狭窄发生率,同时患者偏心性斑块,防止反复扩张导致夹层及斑块脱落。
预估可能性的手术并发症:出血,夹层,斑块脱落,栓子逃逸。
术中器械
◆ 操作入路
股动脉穿刺
◆ 造影
造影导丝:泥鳅180
造影导管:125 MPA
导引导管:6F 90cm长鞘、5F 115支撑导管
◆ 通过病变
微导丝:KFLY 200cm、300cm
微导管:1.7F微导管
◆ 扩张及植入
治疗过程

RVA
RCA








手术总结
1. 术中定位精准,避免支架覆盖重要分支;
2. 易损偏心斑块,球扩支架避免了反复扩张导致斑块脱落及夹层风险;
3. 赛诺神畅 颅内药物洗脱支架NOVA DES®整体通过性较好,在严重迂曲血管中推送可应用远端支撑导管,以利于支架更好到位;
4.支架的药物涂层可显著降低后期再狭窄几率,期待后期随访。
病例二
患者基本信息
主诉:突发头晕、视物不清2天。
既往病史影像留存:

DWI
入院检查

诊断
远端正常血管直径(mm):2.3
狭窄处最小直径(mm):0.5
病变长度(mm):6
狭窄度(%):80
术前讨论
术中器械
◆ 操作入路
股动脉穿刺
◆ 造影
造影导丝:泥鳅180
造影导管:125 MPA
导引导管:6F 90cm长鞘、5F 115支撑导管
◆ 通过病变
微导丝:KFLY 200cm、300cm微导丝
微导管:1.7F微导管
◆ 扩张及植入
球囊导管:GATEWAY 2.0*15mm
治疗中影像
脑血管造影:显示基底动脉闭塞。

RVA
RCA

LCA
DSA显示基底动脉闭塞。

DSA,LVA
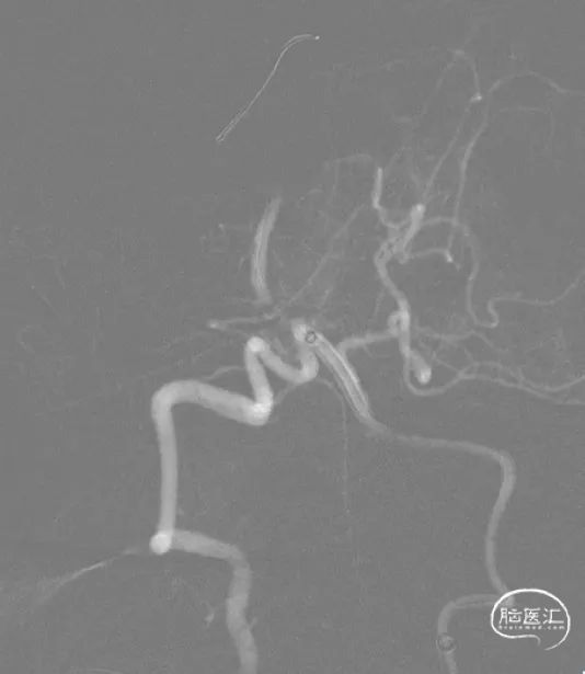
左侧椎动脉迂曲,应用6F长鞘加5F支撑导管提供更好支撑及更高到位。

微导丝微导管引导下支撑导管到位。

微导管越过闭塞段冒烟显示远端血管真腔。

抽吸后显示的基底动脉近端重度狭窄。

球囊扩张后,支撑导管越过闭塞段抽吸远端血栓。

支架到达狭窄部位。

赛诺神畅 颅内药物洗脱支架NOVA DES®2.25*15mm植入后。

术者体会
1.术中定位精准,避免支架覆盖远端PICA;
2.易损斑块,球扩支架避免了反复扩张导致斑块脱落风险;
3. 赛诺神畅 颅内药物洗脱支架NOVA DES®整体通过性较好,在严重迂曲血管中推送可应用远端支撑导管,以利于支架更好到位。
4.良好径向支撑力可有效预防斑块回弹导致再狭窄;
5.药物涂层可显著降低后期再狭窄几率?期待后期随访。

![]()
点击或扫描上方二维码
查看更多“介入”内容







