2023年01月17日发布 | 697阅读
脑血管外科
动脉瘤

皮质浅静脉充盈减少提示aSAH患者的预后不良

蔡恒

中国医科大学附属盛京医院

陈晓霖

首都医科大学附属北京天坛医院

王知秋

复旦大学附属华山医院

达人收藏




































































































































美国佛罗里达大学神经外科的William S. Dodd等通过检测皮质静脉充盈度评分评估静脉充盈情况,探索aSAH后COVES是否降低,是否与脑积水、血管痉挛、迟发性脑缺血及功能残疾相关,结果发表在2022年12月的《Journal of NeuroInterventional Surgery》在线。


——摘自文章章节


Ref: Dodd WS, et al. J Neurointerv Surg. 2022 Dec 1:jnis-2022-019578. doi: 10.1136/jnis-2022-019578. [Epub ahead of print]


研究背景




动脉瘤性蛛网膜下腔出血(aSAH)后继发性脑损伤的机制尚不明确,脑静脉血流改变可能是动脉瘤破裂后血流动力学损害的重要标志。脑静脉充盈下降可反映受aSAH损伤的上游脑区的血流减少或侧支循环的血流不足,导致脑水肿、脑积水及颅内压增高。aSAH后静脉充盈的减少往往预示脑缺血和不良预后。测量CTA上的浊度(opacification)可无创地评估静脉充盈情况。美国佛罗里达大学神经外科的William S. Dodd等通过检测皮质静脉充盈度(浊度)评分(cortical vein opacification score,COVES)评估静脉充盈情况,探索aSAH后COVES是否降低,是否与脑积水、血管痉挛、迟发性脑缺血(DCI)及功能残疾相关,结果发表在2022年12月的《Journal of NeuroInterventional Surgery》在线。


研究方法



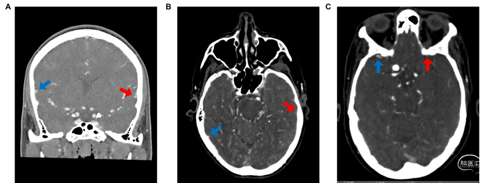
该研究收集2016年2月至2018年2月间佛罗里达大学收治的aSAH患者数据,分析患者入院时的CTA影像学和临床资料,比较静脉充盈减少与未减少的aSAH患者术后发生脑积水、血管痉挛、迟发性脑缺血(DCI)和预后情况。根据入院时和随访期间的CTA图像测量三个区域:大脑中浅静脉(SMCV)、蝶顶窦(SPS)和Labbé静脉(VOL)的HU值作为客观量化指标。静脉充盈评分如下:2,对称(静脉间密度差为<50%);1,不对称(静脉间密度差为>50%);0,无明显的管腔充盈(图1)。按皮质静脉充盈度评分比较脑静脉充盈状况,每条静脉0-2分,每侧半球COVES合计0-6分;时象选择在颈静脉球的HU不小于150HU,并通过DSA进行校正。


图1. 皮质静脉充盈评分的代表性图像。A. COVES 2分,左侧大脑中浅静脉(红箭头)与右侧(蓝箭头)对称;B. COVES 1分,左侧Labbé静脉(红箭头)与右侧(蓝箭头)不对称;C. COVES 0分,左侧蝶顶窦(红箭头)与右侧(蓝箭头)相比几乎不充盈。


研究结果



该研究共纳入22例aSAH患者,平均年龄56±13岁。入院时82%患者出血同侧COVES评分为6分,显示早期两侧半球静脉充盈对称。后续随访CTA发现,病侧平均COVES明显降低,第二次CTA平均COVES为4.4±0.4(95% CI,3.6-5.2;P=0.013)。与入院时CTA比较,11例(50%)患者表现为皮质静脉充盈下降,平均下降1.1分(P=0.01)。将患者分成两组:COVES评分未见下降组和COVES评分下降组。5例(45%)COVES评分未见下降组患者发生脑积水,8例(91%)出现脑血管痉挛;而4例(36%)COVES评分下降组患者出现脑积水,10例(91%出现脑血管痉挛。两组间无显著差异(图2)。


图2. COVES评分与脑积水、脑血管痉挛的关系。

COVES评分未见下降组的患者只有1例出现迟发性脑缺血;而在COVES评分下降组有7例(64%)患者发生迟发性脑缺血(58%:0%;P=0.03)。两组患者预后mRS评分有显著统计学差异(P=0.03)(图3)。蛛网膜下腔出血严重程度与COVES初始评分值无关,COVES评分的下降程度与脑积水或血管痉挛的发生也没有关联。


图3. COVES评分与迟发性脑缺血(DCI)的关系。


研究结论



综上所述,该研究表明,aSAH患者在动脉瘤破裂后第一周的急性期内皮质浅静脉充盈减少。静脉充盈的减少预示发生迟发性脑缺血和患者的预后不良。COVES评分或其它非侵入性静脉充盈的评估可作为aSAH临床风险分层工具。但需要进一步的研究明确机制,以评估临床意义。


image.png

声明:脑医汇旗下神外资讯、神介资讯、神内资讯、脑医咨询、Ai Brain 所发表内容之知识产权为脑医汇及主办方、原作者等相关权利人所有。

投稿邮箱:NAOYIHUI@163.com 

未经许可,禁止进行转载、摘编、复制、裁切、录制等。经许可授权使用,亦须注明来源。欢迎转发、分享。

最新评论
发表你的评论
发表你的评论