专栏导读
自2014年LVIS™登陆中国以来,在8年间已经惠及中国患者100000+,也充分得到了广大医生术者的认可。在多项临床试验中,LVIS™均表现出了在复杂动脉瘤治疗中的安全性、有效性。
神介资讯平台联合MicroVention™公司共同打造“见微知著”病例专栏,旨在分享使用LVIS™经验、技巧。本期为大家分享河北省人民医院徐国栋教授带来的应用LVIS™治疗颈内动脉瘤的一例病例。
患者基本信息
患者:女,61岁。
主诉:主因言语不利2天,加重1天入院。
入院情况:言语欠流利,闭目难立征阴性,右侧巴氏征可疑阳性。余神经系统查体正常。
既往史:既往卵巢肿瘤切除术后10余年;胃炎病史20余年,间断口服三九胃泰颗粒;高脂血症3年,间断口服阿托伐他汀钙片半片1/日控制;双膝关节滑膜炎病史1年,未口服相关药物。
入院诊断:颈动脉狭窄复合动脉瘤。
术前影像
超声检查显示双侧颈总动脉及右侧颈内动脉斑块形成(狭窄率<50%),椎基底动脉正常,颈内静脉正常。
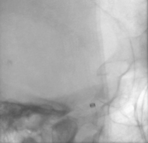
右侧颈内动脉可见于C5段及C6段有两个动脉瘤。DWI提示左侧急性梗塞。经与家属沟通,同时进行治疗。拟行右侧颈内动脉虹吸弯段双动脉瘤支架辅助介入栓塞术。
左滑可查看更多图片
使用器械
6F 115cm中间导管
弹簧圈:C6段动脉瘤-1mm×1cm弹簧圈
C5段动脉瘤-4mm×8cm 3D、4mm×6cm 3D、3mm×8cm、3mm×6cm、2mm×8cm、2mm×6cm、2mm×6cm弹簧圈
手术过程
全麻后经股动脉穿刺,配置近端输送系统,上行中间导管造影提示右侧颈内动脉C5段大型动脉瘤横向枕于弯曲部,尺寸为6.5mm×8.7mm;C6段小型动脉瘤,直径约2.4mm×3.0mm。选择4.0mm×22cm LVIS™支架。将中间导管置入左侧颈内动脉C4段固定住再次造影。

将支架微导管置入左侧颈内动脉C6段远端,靠中间导管提供支撑,C6段使用的弹簧圈微导管塑形后在路图引导下放入小型动脉瘤腔内,填充1mm×1cm弹簧圈;支架微导管半释放LVIS™支架覆盖动脉瘤瘤颈。撤出弹簧圈微导管。造影可见半释放支架远端着陆稳定,贴壁性良好。

通过导丝引导弹簧圈微导管到位C5段大型动脉瘤,进入瘤腔1/3处后,将支架完全释放,微导管在推挤状态进行弹簧圈填塞,依次填入4mm×8cm 3D、4mm×6cm 3D、3mm×8cm、3mm×6cm、2mm×8cm、2mm×6cm、2mm×6cm。再次造影,即刻栓塞良好,支架近端贴壁性良好,撤出微导管。

10分钟后工作位造影提示动脉瘤栓塞致密,血流通畅,未见出血,右侧颈内动脉血流通畅,显影良好。手术顺利完成。
术后评价
通过半释放技术应用LVIS™支架进行辅助动脉瘤栓塞,对于宽颈及多动脉瘤同步处理行之有效,可以有效防止弹簧圈填塞过程中的疝出问题。LVIS™支架全程显影可以方便术者即时了解支架的释放状态。4.0规格支架在颈内动脉的配适性良好,血管贴合性符合颈内动脉环境。
术者简介
徐国栋
河北省人民医院
神经介入科主任,医学博士,留美博士后,副主任医师,硕士生导师(专业型、科学型)
中国医师协会神经介入专委会委员
中国卒中学会神经介入委员会青年委员
河北省医学会神经病学分会神经介入学组组长
河北省医师协会神经内科医师分会神经介入学组副组长
河北省医师协会神经内科医师分会委员
河北省急救医学会卒中专业委员会副主委
河北省卒中学会急诊急救学组常委
河北省医学会介入医学分会常委
国际脉管联盟中国分会青年委员
石家庄市神经介入专业委员会委员
欧美同学会留美分会青委会委员
曾参与美国国立卫生院NIH课题1项,省级立项2项、厅级立项3项。获河北省科技进步奖一等奖1项,厅级科技进步奖一等奖1项,发表SCI论文5篇,专业论著2部
从事神经介入工作十余年,专业特长:急性缺血性卒中溶栓、取栓术,颅内动脉支架置入术、颅内动脉慢闭开通术,弓上动脉支架术,颅内动脉瘤栓塞术、颅内动静脉畸形栓塞术、硬脑膜动静脉瘘栓塞术等
点击或扫描上方二维码
查看更多“介入”内容