载药时代 球扩天下
NOVA DES®颅内药物洗脱支架植入

病例一
术者:王献勇 潍坊市坊子区人民医院
王献勇
山东省脑血管防治协会基层院脑卒中专业委员会常务委员
潍坊市医学会脑血管专业委员会副主任委员
潍坊市预防医学会眩晕疾病防治专业委员会常务委员
山东省医学会神经内科分会基层学组委员
擅长急性脑梗死的急诊取栓术、颈内动脉、椎动脉、锁骨下动脉、颅内动脉支架植入术、非急性期脑动脉闭塞开通术、脑动脉瘤的弹簧圈栓塞术
擅长神经内科各种常见病、疑难杂症的诊治
术者:程团委 潍坊市坊子区人民医院
程团委
医学硕士,主治医师
山东省脑血管病防治协会神经介入专业委员会委员
山东省脑血管防治协会基层医院脑卒中专业委员会委员
擅长急性缺血性卒中的早期急诊与急救,以及神经内科常见疾病的诊断和治疗
成功开展神经介入手术,如脑血管造影,颈动脉支架植入术,锁骨下动脉支架植入术,椎动脉支架植入术,脑动脉取栓术,颅内血管成型术等
患者基本信息
患者,男,68岁。
主诉:左侧肢体活动不灵半年。
简要病史:半年前因脑梗死住院。MR:右侧枕叶、左侧小脑半球及左侧颞枕多发新鲜脑梗死。同期DSA提示:左侧椎动脉闭塞,右侧椎动脉V4段重度狭窄。治疗后留有言语含糊,左侧肢体力弱。出院后口服阿司匹林+阿托伐他汀钙治疗。内科治疗下症状扔反复,出现头晕,肢体无力加重,影像学检查(MR)提示后循环供血区新发梗死灶。
既往史:高血压病病史,口服苯磺酸氨氯地平,血压控制在135/80mmHg左右。
既往病史影像留存:
首次发病:


DWI
MRA
重要影像结论:后循环供血区多发梗死灶,后循环血管显影不良。
首次DSA 2022.4.9:


重要影像结论DSA:左侧椎动脉闭塞,右侧椎动脉V4段重度狭窄。
入院影像资料
内科治疗后仍有新发梗死(2022.8.8):


重要影像结论:桥脑新发亚急性梗死灶,右侧椎动脉重度狭窄。
入院检查:言语略含糊,行动如常不利,肌力:左侧肢体肌力5-级,右侧肢体肌力5级,瞳孔正常,对光反射灵敏。神经系统评分NIHSS(0),mRS(0)。
诊断
主要诊断:1.脑梗死;2.颅内动脉狭窄
病变部位:右侧椎动脉V4段
远端正常血管直径(mm):2.85
狭窄处最小直径(mm):0.71
病变长度(mm):1.35
狭窄度(%):75.1
术前讨论
拟行手术方案:右侧椎动脉V4段支架植入术。
手术指征:右侧椎动脉V4段重度狭窄,狭窄率大于70%,左侧椎动脉于V3段末端闭塞,内科之后后仍有缺血事件。
治疗策略:先行狭窄处球囊扩张,根据球囊扩张口血管弹性,选择球扩支架或者自彭支架。
预估可能性的手术并发症:出血、夹层、支架内血栓形成、穿支事件(小脑后下动脉,脊髓前动脉)。
术中器械
◆ 操作入路
股动脉穿刺
◆ 造影
造影导丝:150cm泥鳅导丝
造影导管:5F猪尾单弯造影导管
导引导管:8F MPD
◆ 通过病变
微导丝:Synchro-2 0.014in*300cm
◆ 扩张及植入
球囊导管:2.0*15mm球囊
支架:赛诺神畅颅内药物洗脱支架NOVA DES®3.0*20mm
3.0*10支架
治疗过程
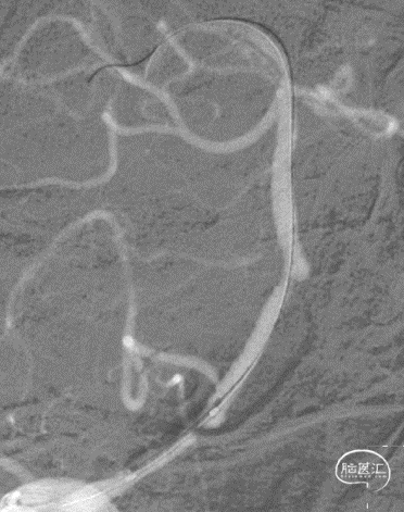
导引导管到位,导丝通过病变。

球囊通过病变。

球囊扩张过程。

释放赛诺神畅 颅内药物洗脱支架NOVA DES®尽快到位,防止药物涂层损耗。

V4近心端狭窄处接自膨支架,避开小脑后下动脉。

两枚支架释放完成。

手术总结
操作体会:
1. 药物涂层支架需要尽量缩短支架到位时间,稳定支撑是手术迅速完成的关键。
2. 稳定支撑方式包括:1.中间导管的使用,尤其是血管迂曲者;2.交换导丝尽量走远。
3. 单侧椎动脉系统,V4段末端发出脊髓前动脉,支架释放后即便是远端成型欠满意,尽量避免后扩张,减少穿支事件发生。
病例二
手术指导:衣永尚 烟台海港医院
衣永尚
烟台海港医院神经内科科主任,副主任医师
1997年毕业于南通医学院(南通大学附属医院)。从事神经内科临床工作多年,在神经内科疾病诊治方面具有丰富的经验,尤其擅长脑血管疾病的评估、诊治及综合康复治疗,神经心理疾病(抑郁症,焦虑症,躯体化神经障碍等),急性脊髓炎,中枢神经系统脱髓鞘疾病,各种头痛头晕等常见病和疑难病的诊治
中国医师协会情感障碍教育学院委员
山东省卒中学会质量管理与促进分会常务委员
山东省疼痛研究会神经内科专委会常务委员
山东省脑血管病防治协会慢性脑缺血专委会常务委员
烟台医学会神经内科专业委员会委员
烟台卒中学会第一届理事会理事
先后在国家及省市各级专业期刊发表学术论文十余篇
主要术者:张智波 烟台海港医院
张智波
参与书籍专著编写1部
患者基本信息
患者男性,68岁。
主诉:突发头晕、恶心、走路不稳1天”。
简要病史:患者晨起后感头晕、恶心、走路不稳,向左侧偏斜,活动后头晕加重,出现非喷射性呕吐,呕吐物为非咖啡色胃内容物,无明显头痛,无复视,无肢体麻木及活动不利,无吞咽困难。为进一步诊治,特来我院,病程中精神欠佳,睡眠可,饮食正常,二便正常,体重无明显变化。
专科查体:神清语明,查体配合,可自主行走,呈蹒跚步态,双侧瞳孔等大等圆,对光反射灵敏。双眼各方向活动正常,无眼震,无复视。心肺腹未见明显著征。四肢肌力正常,生理反射存在,病理反射未引出。Romberg征(-)。
既往史:高血压病史20余年,未规律服药监测。
入院影像检查
术前造影:

术前相关检查:颈动脉+椎动脉超声。

颅脑DWI+MRA:

左椎动脉+左颈动脉造影:



右椎动脉造影:



右颈动脉造影:


右椎动脉动脉正侧位:

诊断
主要诊断:
1.右侧椎动脉V4段重度狭窄(90%);
2.高血压病2级 高危;
3.小脑梗死。
术前讨论
拟行手术方案:全麻下行右椎动脉V4段药物洗脱支架置入术。
手术指征(血管内介入治疗的指征):
左椎动脉闭塞。
右侧椎动脉动脉V4段重度狭窄(约90%)。
双侧颈内动脉-后交通动脉-基底动脉代偿供血,但代偿血流量不足。
治疗策略:
1. 选择6F桡动脉鞘以右桡动脉作为治疗入路。
2. 避免大管腔通路对上肢血管机械刺激导致血管痉挛等不良事件,直接选用5F 115cm颅内支撑导管(赛诺神畅 颅内药物洗脱支架NOVA DES®可以通过5F管腔)。
3. 患者右侧椎动脉V4段重度狭窄(约90%),狭窄程度高,故先行小球囊预扩,再释放药物洗脱支架是更为安全且远期效果更好的方式。
术前药物准备:
阿司匹林肠溶片100mg po Qd、硫酸氢氯吡格雷片75mg po Qd、阿托伐他汀钙片 40mg po Qd 5天。
器械选择考量:狭窄节段较重,年龄不大,为避免术后再狭窄,故选用赛诺神畅 颅内药物洗脱支架NOVA DES®。

术中器械
6F 桡动脉鞘管
180cm 泥鳅导丝
0.014'' *300cm 微导丝
5F 115cm 颅内支撑导管
2.0mm*10mm 颅内球囊
赛诺神畅 颅内药物洗脱支架NOVA DES® 2.5*10mm
治疗中影像
病变情况分析:右桡动脉穿刺,置6F桡动脉鞘管,5F多功能导管在泥鳅导丝辅助下脑血管造影提示:右椎动脉V4段重度狭窄(约90%)。


泥鳅导丝携5F 115cm颅内支撑导管,至右椎动脉V2段。
在颅内支撑导管支撑下,将0.014'' 300cm微导丝,通过狭窄节段将其放置在基底动脉中段。将2.0mm*10mm球囊打起预扩狭窄部位,然后更换赛诺神畅 颅内药物洗脱支架NOVA DES® 2.5*10mm延微导丝顺利通过狭窄节段,再次造影见定位准确,缓慢扩张球囊释放支架。

术后影像
术后即刻影像及患者术后情况:
造影见狭窄位置狭窄解除,支架贴壁良好,后循环各分支动脉显影良好。术后次日患者行走不稳情况明显改善,术后1月随访患者行走如常,未再发头晕。

术者体会
1. 患者右椎动脉开口与锁骨下动脉位置关系好,基本为垂直关系。故经右桡动脉建立治疗通路方便容易。
2. 患者后循环仅剩右侧椎动脉,同时V4段可见重度狭窄,为尽可能减少对血流的干扰,故尽可能选择管腔小一些的通路导管。
3. 病变处狭窄程度较高,为顺利通过支架,予以小球囊预扩张。
4. 赛诺神畅 颅内药物洗脱支架NOVA DES®,顺应性较好,通过弯曲血管及病变处更顺畅,到位释放后横向支撑力好。其上雷帕霉素28天完全释放,有效降低血管再狭窄情况。

说明:赛诺神畅医疗科技有限公司为赛诺医疗科学技术股份有限公司控股子公司。
点击或扫描上方二维码
查看更多“介入”内容













