提示
前言
浙医二院神经外科真正建立脊柱脊髓亚专科始于2008年,经过十多年培育和发展,形成一个专科病区、两个医疗组、四位高级职称专业人员,年手术量近千台,手术种类全方位涵盖脊髓肿瘤、先天畸形、血管病及脊柱退变性疾病等,在专科发展方向上坚持了鲜明的微创特色。从381期开始系列报道该专业组的相关病例,包含经典病例术式介绍、少见罕见病例报道、新技术开展、疑难复杂病例及并发症讨论等,与同道共享,并希望大家,尤其是骨科同道的指导和交流,以期推动我国神经脊柱疾病诊治水平的共同提高。


病史简介
患者,男,42岁,因“硬膜下血肿术后6天,意识障碍1天”于2022-06-20转入我院。
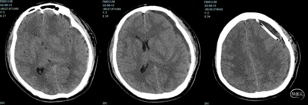
患者22天前因头晕伴恶心呕吐就诊于当地医院,无明确外伤史,入院血压252/160mmHg,头颅CT未见明显异常(图1)。以“高血压急症”住院治疗。入院2天后复查头颅CT检查示左侧特发性急性硬膜下血肿(图2)。6天前(入院后半月)因头晕明显加重,再次复查头颅CT,示左侧亚急性硬膜下血肿,脑疝形成(图3)。在当地医院急诊行左侧硬膜下血肿钻孔引流术”,术程顺利,术后1天复查头颅CT示左侧血肿较术前减少(图4)。术后患者症状改善,术后6天下床活动后出现意识下降、言语含糊,头颅CT提示左侧硬膜下血肿复发。遂转至我院,查头颅CT示左侧硬膜下血肿术后,左侧额顶颞枕部硬膜下血肿;中线结构右偏明显,局部脑疝形成(图5)。





诊治经过
入院查体:昏迷,双侧瞳孔等大等圆,直径3mm,对光反应消失,两肺呼吸音粗,两肺闻及少许湿啰音;心律齐,瓣膜听诊未闻及病理性杂音,腹软,双下肢无水肿。四肢肌力检查无法配合,肌张力无殊。病理征未引出。
急诊完善相关检验检查,诊断考虑血肿术后复发、脑疝形成,排除禁忌后,于2022-06-20急诊全麻下行“开颅左侧硬膜下血肿清除术及去骨瓣减压术”。术后复查头颅CT提示:左侧硬膜下血肿清除+引流术后,左侧额顶颞枕部硬膜下血肿伴积气;较前2022-06-20中线右偏程度减轻(图6)。术后患者昏迷,转入脑重症医学科予以监护对症治疗,期间患者病情趋稳、意识有所好转,脱机拔管后于6月24日转入普通病房,GCS评分E4V2M4。复查头颅CT(2022-06-24)示:较前2022-06-21硬膜下积血稍增多,中线右偏加重(图7)。6月26日患者再次意识出现下降,浅昏迷,GCS评分E1V1M3,左侧瞳孔光反应迟钝。


患者于我院术后病情恢复过程中硬膜下血肿再次复发,意识下降,曾应用脱水剂降颅压对症处理效果不佳,结合外院第一次术后下床活动后症状加重的病史,怀疑患者原发病为自发性低颅压所致的硬膜下血肿,医嘱予患者绝对卧床+大量补液治疗后患者症状改善。6月27日复查头颅CT提示较前硬膜下积血稍吸收(图8),遂高度怀疑患者为低颅压相关硬膜下血肿,进一步完善相关检查,腰穿压力160mmH₂O,行CT脊髓造影显示中胸段存在可疑漏口(图9)。诊断低颅压综合征、[胸椎]脑脊液漏。于7月2日在局麻下行[胸8]脑脊液漏修补术(硬膜外血贴术)。

图8. 绝对卧床+大量补液后,头颅CT复查(2022-06-27):左侧硬膜下血肿清除+引流术后,左侧额顶颞枕部硬膜下积血/液伴积气;中线结构稍右偏,较前2022-06-24硬膜下积血稍吸收。

图9. CT脊髓造影见中胸段存在可疑漏口。
硬膜外血贴术后患者意识逐渐好转。7月6号复查头颅CT:较前术区积血/液稍吸收,中线结构右偏好转(图10)。7月12日患者出院,出院查体:神志清,精神可,双侧瞳孔等大等圆,直径3mm,对光反应敏,骨窗压力不高。四肢肌力V级,肌张力正常,双侧巴氏征阴性。

术后2个月,患者神志清,精神可,四肢活动正常,无头痛头晕等不适。9月20日复查头颅CT:左侧硬膜下血肿清除+引流术后,左侧颅骨呈术后改变(图11)。

讨论
硬膜下血肿(SDH)是自发性低颅压(spontaneous intracranial hypotension, SIH)患者的一种潜在的危及生命的并发症,在严重的情况下,伴有硬膜下血肿的SIH患者会出现神经功能障碍,意识水平下降,甚至脑疝。据报道在SIH患者中,硬膜下血肿的发病率从20%到45%不等[1]。多因素分析提示患者的高龄、男性、较长的临床病程、硬脑膜强化和静脉扩张与低颅压相关硬膜下血肿的发生频率相关[2]。
SIH引起硬膜下血肿的机制尚不明确,其可为硬脑膜边缘细胞层缺乏胶原纤维,结构疏松且薄弱;脑脊液自发性渗漏导致脑脊液容量减少,引起脑下垂,向下牵拉软脑膜和神经等结构,使硬脑膜下腔扩大;硬膜下腔持续负压引起硬膜下积液。当桥静脉撕裂或硬脑膜下腔充血扩张的静脉渗血时可导致硬膜下血肿的产生[3]。
SIH引起的硬膜下血肿多为双侧,形状对称且出血量不大。SIH引起的硬膜下血肿与外伤引起的硬膜下血肿有所不同,往往外伤引起的血肿为单侧,即使是双侧出血量也是不对称的。临床诊治过程中,如遇双侧硬膜下血肿者,应注意鉴别诊断,以免与颅脑外伤混淆而漏诊SIH。一般SIH所致硬膜下血肿多以体位性头痛为主要症状,且无明显头部外伤史,应进一步行头颅增强磁共振或脊髓造影以明确SIH诊断。本例患者的硬膜下血肿虽为单侧,但下床活动后硬膜下血肿复发,且无明显头部外伤史,再次手术后又出现症状加重,此时的诊断需考虑到低颅压可能,对后续处理意义重大,若继续考虑脱水或手术减压将使病情更加恶化。此例患者经严格卧床+大量补液后血肿逐渐稳定,后续检查及治疗转归也支持SIH所致硬膜下血肿诊断。
SIH相关的硬膜下血肿通常是预后良好的,也有个例关于SIH过渡期并发症甚至死亡的报道[4]。自发性低颅压的患者首选保守治疗,包括卧床休息、补液治疗、对症止痛等。对于保守治疗无效的患者,首选硬膜外血贴术(EBP)。然而,针对SIH合并硬膜下血肿的治疗是首选EBP还是手术清除血肿,目前仍存在争议。一般情况下,对于硬膜下血肿占位效应不明显者,影像学检查明确脑脊液漏口后,首先采取EBP治疗能够较好的封堵漏口,配合密切术后观察,脑脊液容量恢复后,硬膜下血肿多自行吸收消失。如在EBP之前行血肿清除术可能加重病情甚至导致死亡,其原因是手术清除血肿后,脑组织进一步下垂,增加脑疝形成风险,且易导致硬膜下血肿的复发[5]。然而,对于有明显占位效应的硬膜下血肿需先行手术治疗及时缓解颅高压,如患者出现意识障碍、急剧的神经功能恶化甚至昏迷等硬膜下血肿所致颅高压症状时,应在EBP之前急诊行手术清除血肿,并在术后早期行SIH相关影像学检查明确漏口后行EBP治疗修补,以防止由于潜在的脑脊液渗漏引起的硬膜下血肿复发,甚至出现急性硬膜下血肿的风险。
参考文献
(本文由浙二神外周刊原创,浙江大学医学院附属第二医院神经外科王强威博士生整理,应广宇副主任医师和朱永坚主任医师审校,张建民主任终审)
声明:脑医汇旗下神外资讯、神介资讯、神内资讯、脑医咨询、Ai Brain 所发表内容之知识产权为脑医汇及主办方、原作者等相关权利人所有。






