*本文转载自关敏医生公众号“老关卝 ”
支架临时置入血管成形术,是指在动脉内临时置入支架,以支架的支撑力改善血管形态,解除狭窄,恢复血流;在血管获得满意成形效果后撤出支架,不将支架永久植入体内,通常在球囊扩张效果不理想的情况下进行补救使用。我们通常会使用最常规的术式。最常规的术式是经过检验的,至少在我们目前认知下,最优的选择。但是,并不妨碍我们在一些极端情况,或者特殊条件下,采取特殊的处理手段,并从中吸取经验。这些经验来自临床病例,我们就先从病例开始。
男性患者,7小时前明显诱因出现右侧肢体乏力,伴向右侧摔倒致地,无外伤,伴反应迟钝、言语不清,能理解他人语言,但吐词不清,右侧口角歪斜。
NIHSS评分6分(意识水平提问1分 面瘫1分 右上肢1分 右下肢1分 语言1分 构音障碍1分)。
术前磁共振如下:

初看是一个中规中矩的病例,术中才发现这个病例的棘手之处。
M1严重成角,释放Solitaire AB 4-20支架后,狭窄点在拐角顶点稍后方,而且M1直径细小,1.7-1.8mm左右。按我们的经验,这样的血管放支架很容易出问题,首先很难把支架放好,而且就算把支架放好,支架内血栓的概率不低,远期通畅堪忧。先取一把再说,边做边看。

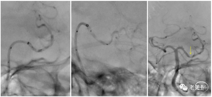
取栓后血流恢复了,但是分水岭明显下移,说明M1仍有一个非常明显的限流点,不解决这个限流点,低灌注依然存在,而且血管再闭塞可能大。按常规来,1.5-15 pioneer球囊扩张。

按常规来,1.5-15 pioneer球囊扩张。
扩张后血流没有改善,什么原因?血管被牵连形态改变影响血流?

撤出球囊,将导丝柔软段撤至拐角处,甚至完全撤出导丝恢复血管原来曲度。血流依然不好。

继续使用1.5-15球囊加大压力扩张,血流依然无改善。只好置入Solitaire支架。

置入Solitaire AB 4-20支架后血流明显改善,此时可以选择解脱支架结束手术。但是在这种直径细小而且成角的位置,术后支架内血栓形成的概率是比较高的,支架内血栓在处理,将更加棘手。于是我们在动脉内注射替罗非班后回收支架。

回收支架后血管形态很好,血流也很好。这样才是可以放心结束手术的状态。

出院前复查磁共振,血管保住了,大部分脑组织也保住了,顺利恢复出院。

大脑中重度狭窄,植入Enterprise4.5-22支架。

术后第18天因意识不清,失语,右侧肌力0级到佛冈人民医院就诊。支架内急性血栓形成。Catalyst6支架内抽吸,支架内注入尿激酶50万U,仍可以看到支架内血栓残留(下图1)。遂以Reco4-20+Catalyst6取出支架(下图2、3、4)。

取出支架后,血管形态及血流均明显改善。可见取出的ep支架及大负荷长效血栓。

从上述两个病例来看,临时置入支架,待血管形态稳定,血流改善后再将支架取出,是不是可以达到植入支架同样的成形效果,而且可以避免支架植入所带来的问题?于是,我们在直径偏小的血管或者拐角等这些不是理想的支架植入位置,而且球囊扩张效果不好的病例,尝试临时支架置入成形。
男性,77岁,发病5小时入院。被家属发现左上肢肢体力量变差,表现为可以上抬过肩,但抬起速度缓慢,且握力变差,无法持握,行走时向左侧歪斜,需靠墙或旁人搀扶。NIHSS评分3分(面瘫1 左上肢1 左下肢1)。
图1、2:M2下干闭塞;图3、4:置入Solitaire AB4-20支架,见M2的重度狭窄,予Solitaire AB4-20+Catalyst6取栓,图5:取栓后M2仍有明显狭窄;图6:1.5-12 Sprinter扩张;图7:扩张效果差。

下图1、2:临时置入支架成形效果不佳,图3:通过调整支架释放位置,获得理想成形效果并动脉注射替罗非班;图4:回收支架,显示临时置入支架的成形效果可维持。

术毕造影,血管成形效果良好。

男性,79岁,右侧肢体麻木、乏力,1天,加重10小时。NIHSS评分 10分(面瘫1分,右上肢运动2分,右下肢运动3分,感觉2分,语言1分,构音障碍1分)
L-P1/2转折处闭塞,支架取栓后再通,但局部明显充盈缺损。

继续Catalyst6+reco3-20取栓,未能取出。

调整支架至理想位置,动脉内注射替罗非班,回收支架,充盈缺损消失。患者NIHSS 2分(感觉2分)出院。

患者女。被家人发现言语不能,意识不清,呈昏睡状态。术前NIHSS评分28分(意识2分,提问2分,指令2分,面瘫1分,左上肢3分,右上肢4分,左下肢3分,右下肢3分,感觉1分,失语3分,构音2分,忽视2分)。M2下干闭塞,展开取栓支架见局部狭窄,予支架取栓。

取栓及球扩后血管局部仍有狭窄,临时置入支架后注入替罗非班,回收支架,血管形态及血流改善。

支架临时血管成形术可能发挥作用的机制可能有以下4点,个人感觉最主要的是第一个,对夹层的修复。球囊扩张效果不好的两个主要原因,一个是球囊直径不够导致扩张效果差,应该换大一号的球囊进行扩张,另外一个就是扩张产生夹层,通常植入支架进行补救,如果临时置入支架也能达到同样效果,为何不将支架撤出,避免永久的支架植入。

目前,我们使用支架临时置入血管成形术的病例不算多,主要应用在一些直径细小或者成角的血管,考虑支架再闭塞概率高的病例,而且获得理想的短期效果,长期效果有待观察。能否再常规病例上使用,有待探索。
“介入无植入”的理念,在心血管方面反映为药物涂层球囊和可降解支架的使用。支架临时置入血管成形术也是介入无植入的理念体现,达到血管成形改善血流的同时也避免了支架植入可能潜在的一些问题。


关敏
暨南大学附属第一医院
主治医师
广东省卒中学会神经介入分会常务委员
广东省医学会脑血管病学分会介入学组成员
广东省医学会介入分会神经介入青年学组成员
从事介入放射学工作十余年,专长脑缺血性疾病介入治疗
点击或扫描上方二维码
查看更多“介入”内容






