患者林某,女性,45岁,因“右眼突出1年余”入院。
患者1年余前无诱因感右眼肿胀,无外伤病史,无头晕、头痛,无发热,无视力下降,无眼球搏动、杂音。因右眼肿胀进展曾于2020-12-10在我院眼科门诊就诊,行眼眶MRI平扫示:右上眼睑水肿样改变;右侧蝶骨大翼异常骨质改变伴内侧缘异常软组织性质待定。2020-04-16患者感右侧眼球突出肿胀仍进展,来院就诊。
查体:神志清,GCS15分。双瞳孔等大等圆,直径3mm,对光反射存在,右眼睑肿胀,眼球稍突出,无压痛,双侧眼球活动正常,粗测视力无下降。额纹对称,鼻唇沟无变浅,示齿口角无歪斜,伸舌居中。颈抗(-),甲状腺、心、肺、腹部查体无异常。四肢肌张力正常,肌力5级。双侧浅、深反射存在,双侧锥体束征(-)

外院曾行磁共振+增强检查提示右侧蝶骨大翼异常信号,考虑骨纤维异常增殖,未考虑肿瘤。


下图红箭头示磁共振增强提示局部脑膜强化

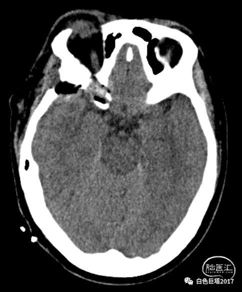
入院头颅CT检查提示右侧颞骨-眼眶后外侧壁骨质改变,眶内未见明显占位。报告考虑骨纤维异常增殖症可能性大。



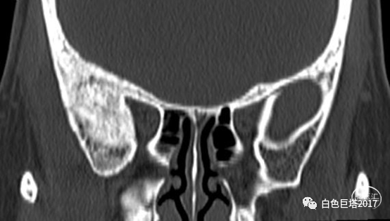
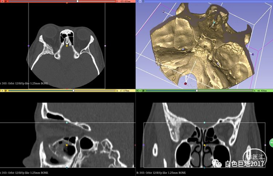
3Dslicer重建可见眶后外侧壁骨质不均匀增厚,毛糙。


眼科会诊检查,提示:
眼底:无异常;
视野:右眼散在视敏度下降,颞下方视野缺损,左眼正常;
视力:左眼5.0,右眼4.9,眼镜不能矫正。

入院诊断:1.眼球突出原因待查(蝶骨嵴脑膜瘤?颅骨纤维异常增殖症?),2.视神经管狭窄,3.慢性鼻窦炎。
入院讨论病情,患者以突眼为主要症状,无眼球活动障碍,无炎性症状,无眶内占位,无甲状腺功能异常。结合患者入院头颅眼眶CT重建检查及既往MRI表现,考虑蝶骨嵴脑膜瘤可能,同时不能除外颅骨纤维异常增殖症。
蝶骨嵴内1/3脑膜瘤进展可出现眶上裂综合征(III、IV、VI颅神经及V-1受累)或Foster Kennedy综合征(同侧视神经萎缩,对侧视乳头水肿)。而本例考虑蝶骨嵴外1/3脑膜瘤,累及蝶骨大翼,眶后外侧壁及颞部骨质增生,眼眶缩小,眼球前突,眼睑肿胀。
颅骨纤维异常增殖症则是先天良性颅骨病变,女性略多于男性,好发于额眶、蝶骨、筛骨、也会因眼眶缩小而眼球突出,颅骨膨出畸形“骨性狮面”,累及视神经管会出现视力减退甚至失明。但此病青春期发展快,成年后趋向停止。
两种疾病临床表现相似,容易误诊。主要的鉴别点就是增强CT或MRI是否存在眶、颅内软组织肿块。
术前准备:手术探查、切除脑膜瘤病变;同时硬膜外磨除视神经管上外壁全程暴露视神经减压、磨除眶后外侧壁缓解突眼症状;备硬脑膜补片,术后重建颅底。
图示体位及手术切口。


图示术中切除的蔓状脑膜瘤组织,病灶周边骨质增生。

硬膜外磨除视神经管壁骨质。

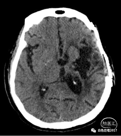
术后复查头颅CT

CT重建可见患者预定骨质磨除满意。

下图红箭头所示为磨除后的视神经管。

术后患者突眼改善,无脑脊液鼻漏及皮下积液,病情恢复良好。
病理证实为血管瘤型脑膜瘤,WHO I级。

此处需要提到上次的颅骨纤维异常增殖症,从术中情况和病理的情况来看,这个诊断是错误的。术前我们可以从核磁增强脑膜强化、病情是否在成年期继续进展等方面来鉴别,诊断应为蝶骨嵴脑膜瘤的眼眶病变。
另一例患者苏某,女性, 53岁,因“反复发作意识障碍伴肢体抽搐1天”入住内科。患者既往6年前曾因左基底节区出血行开颅手术治疗。术后遗留右侧偏身感觉、运动障碍,语言功能障碍。6年间多次发生脑缺血性卒中事件、症状性癫痫。
本次入院查体:神志清,运动性失语,定向、理解力正常。双瞳孔等大等圆,直径3mm,对光反射灵敏。双侧咀嚼肌有力,张口无偏斜,面部感觉对称无减退,双侧角膜反射存在。双额纹对称,眼睑无下垂,闭合有力,右侧鼻唇沟浅,示齿口角向左偏斜。粗测听力大致正常。双软腭上抬好,悬雍垂居中,咽反射存在,伸舌偏右。右侧肢体肌张力增高,左上肢肌力5级,左下肢肌力0级,右上肢肌力2级,右下肢肌力1级。双下肢腹股沟以下感觉消失。腹壁反射消失。双下肢深反射稍亢进。双侧锥体束征(+)。脑膜刺激征阴性。

考虑患者体格检查结果与既往病史不符合,患者语言功能障碍,不能很好配合检查。请我科会诊,急诊完善胸腰椎磁共振平扫+增强。
图示:T1

图示:T2,红色箭头所示T10-T12水平椎管内硬脊膜外低信号。

图示:T2压脂像,T8椎体血管瘤。

T2水平面可见相应节段脊髓明显受压。

患者立即转入我科。
诊断考虑1.硬脊膜外血肿(T10-12),2.症状性癫痫,3.脑出血后遗症,4.高血压3级 很高危,5.2型糖尿病,6.T8椎体血管瘤,7.右肱骨外科颈骨折固定术后,8.左肾结石,9.肝内胆管结石,10.腰椎退行性病变。
患者无外伤病史,病因可能为椎管内血管畸形如硬脊膜动静脉瘘或海绵状血管畸形,立即急诊手术挽救患者神经功能。
术中所见硬脊膜外血肿。

清除硬脊膜外血肿,去除椎板减压。

图示硬脊膜外血肿和去除的椎板、棘突。

术后继续激素、营养神经、中西医结合康复治疗,患者神经功能有所康复。
此例患者既往多次脑血管意外,遗留右侧肢体偏瘫,本次发病后合并双下肢截瘫,不详细查体容易漏诊。通过详细神经系统查体,急诊磁共振检查,内外科协作,才能为患者恢复创造了条件。
声明:脑医汇旗下神外资讯、神介资讯、神内资讯、脑医咨询、Ai Brain 所发表内容之知识产权为脑医汇及主办方、原作者等相关权利人所有。




