
导语
尊敬的专家同道:
大家好!“沙场点兵,有史可鉴”是史赛克公司推出的一档病例展示及点评栏目,旨在手术技术交流,产品特点演示,与各位神经介入专家共同进步。疫情虽拉远了距离,却无法降低学习的热情,让我们相约线上,博采众长,共同探讨手术技术。精彩内容,敬请期待。
病例展示(一)
雷辉
西安市中心医院
1
患者基本信息
患者:女性,67岁。
发病时间:2022年11月5日。
主诉:发现左侧肢体无力10小时。
现病史:患者10小时前(凌晨2点)被家人发现从床上滑落不能起身,左侧肢体无力,无恶心、呕吐,无意识障碍,送至当地医院行头颅CT未见颅内出血,转至我院。
既往史:冠心病、房颤病史20余年,未规律服用抗凝药物;高血压病史10年,长期口服硝苯地平控释片;糖尿病病史5年。
入院查体:脉搏:88次/分,血压 157/109mmHg;神志清楚,言语欠流利,双侧瞳孔等大等圆,直径3mm,光反应灵敏,双侧眼球向右侧凝视,左侧鼻唇沟浅,伸舌左偏,颈软,左侧肢体肌力2级,肌张力降低,左侧克氏征、布氏征(+),感觉共济查体不合作。
NIHSS评分:13分。
血常规:大致正常。
随机血糖:9.7mmol/L。
心电图:心率88次,心房纤颤。
2
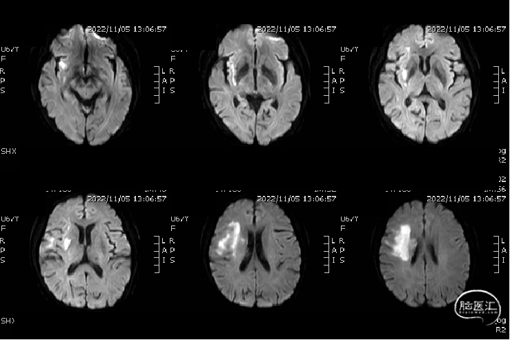
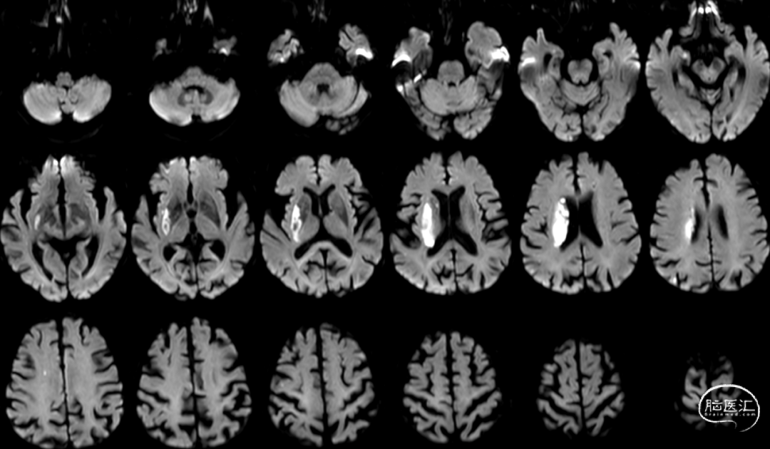
术前影像检查
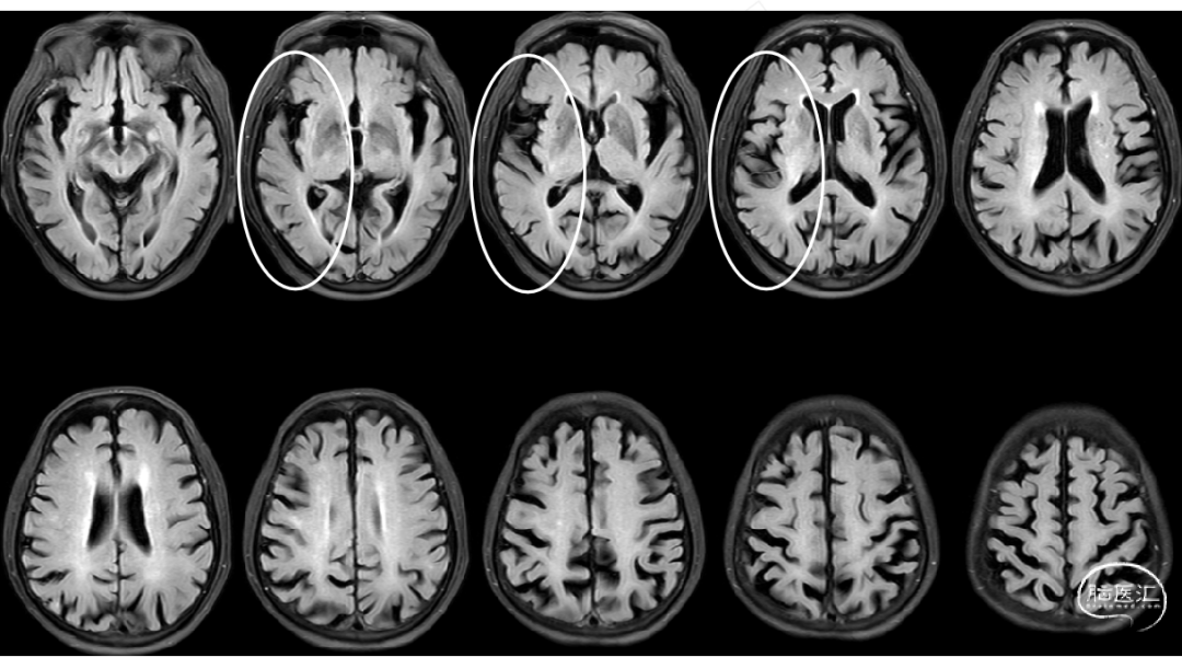
MRA:右侧大脑中动脉闭塞。
DWI:右侧额顶叶、岛叶、基底节区新鲜梗死病灶。


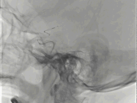
脑血管造影:3型主动脉弓,右侧颈内动脉起始段闭塞,后循环及左侧颈内动脉均未向左侧颈内动脉供血区代偿。


3
术中操作
3型主动脉弓,用Mani管超选至右颈总动脉,用260cm加硬泥鳅导丝交换出,在泥鳅导丝导引下,用125cm的多功能管将6F Infinity长鞘置于右颈总动脉,提供稳定支撑。

Infinity 长鞘 提供稳定支撑
在Synchro2微导丝及微导管引导下,Catalyst7抽吸导管顺利到达颈内动脉末端。

Catalyst 7抽出大量负荷血栓,大脑中动脉上干仍未显影。

微导丝微导管超选至大脑中动脉上干,微导管造影确认在血管内真腔内,释放Solitaire 4×20mm。

Solitaire 4×20mm支架锚定Catalyst 7抽吸导管到达M1段,抽吸导管负压,拉出取栓支架,取栓过程中Catalyst 7维持稳定。

两次支架取栓取栓取出血栓,血管再通。

4
使用器械
0.014 Synchro2微导丝 200mm
Catalyst 7 132cm中间导管
Infinity LS 90cm长鞘
Raber 18微导管
Solitaire AB 4mm×20mm
小结和体会
Infinity长鞘较好的跟随性和中段强有力的支撑,为近段迂曲通路提供良好支撑性和稳定性.
Catalyst 7具有可控的推送传导,跨越迂曲路段通过性良好。Catalyst7管腔大,抽吸力强,可高效清除大负荷血栓。
Infinity长鞘+Catalyst 7颅内支撑导管联合使用,建立良好通路,宜取宜送,提高血管再通率。
专家点评
此例心源性TIM闭塞,是觉醒卒中,术者在术前对患者进行了急诊MRI扫描,上台后对主要的侧枝循环进行了较好检查和评估,这都是有必要性的,这有助于对适应证更好的把握和降低无效复流的发生。
此例心源性栓塞的TIM闭塞栓子负荷很大,三型弓,同侧颈内动脉路径迂曲,开通颇具有挑战性。术者应用扎实的介入技术克服了患者的路径困难,为成功开通奠定了一个好的路径基础。术者选择较大口径的抽栓管道对右侧颈内动脉内的大负荷血栓进行了连续的廓清处理,这是成功开通的另一个关键;术者为解决大脑中动脉上干的串联闭塞,最后采用“飞虎抓”技术,在取栓支架锚定的状态下,把抽栓管道进一步带的了大脑中动脉,这也是一个值得借鉴的技术关键。虽然术者顾虑于路径迂曲而没有采用标准的SWIM技术,但高到位的中间导管,改变了取栓支架的引力方向,减少了对颅内血管的牵拉作用;高到位的中间导管,也减少多次取栓时取栓支架到位的困难,有助于缩短最终的开通时间;高到位的中间导管开通过程中,赋予其负压,也上有助于减少开通过程中栓子的逃逸。
建议:1.此例患者也可在应用Catalyst 7廓清颈动脉动脉大负荷栓子后,换用Catalyst 6管道上行到右侧M2上干试行抽吸;2.由于此例患者路径迂曲,取栓操作有挑战性,故需要警惕患者发生出血并发症可能,术后最好即刻即行一个XperCT或头颅CT扫描,以尽早排查出血并发症发生的可能,尽早了解觉醒卒中患者开通后脑组织血脑屏障的渗出情况,便于做好围手术期的管理。
点评专家
朱良付
河南省人民医院
主任医师,博士,硕导
卒中中心副主任,河南省介入治疗中心副主任,绿色通道组长,颅内狭窄专科主任
中国医师协会神经介入专委会常务委员、创新转化学组副组长
脑防委缺血性卒中介入治疗委员会常务委员、中青年专家委员会常务委员、卒中中心管委会委员
中华医学会神经内科分会神经介入协助组委员
中国医师协会神经内科分会神经介入专业委会委员
河南省脑血管病专科联盟副会长兼秘书长
河南省介入治疗专业委员会副主委、神经介入学组副组长
河南省中国医师协会神经介入专委会副主委、急性缺血性卒中血管内治疗学组组长
河南省中西医结合介入委员会副主委
术者简介
病例展示(二)
葛晗明
西安市第三医院
1
患者基本信息
患者:男,91岁。
“左侧肢体麻木无力5h” 入急诊科。
查体:BP 125/75mmHg,P 73次/min,神志清,构音障碍,双眼向右不全凝视,未见眼震,伸舌稍左偏(同侧核下性),左上肢肌力Ⅰ级,左下肢肌力Ⅱ级,左侧肢体痛觉减退,双侧Babinski征、Chaddock征(-)NIHSS 13。
既往及个人史:否认高血压、冠心病、糖尿病史;否认吸烟、饮酒史。
颅脑CT:未见出血,ASPECTS评分 9分。
心电图:窦性心率,69次/分。
随机血糖:5.9mmol/L。
2
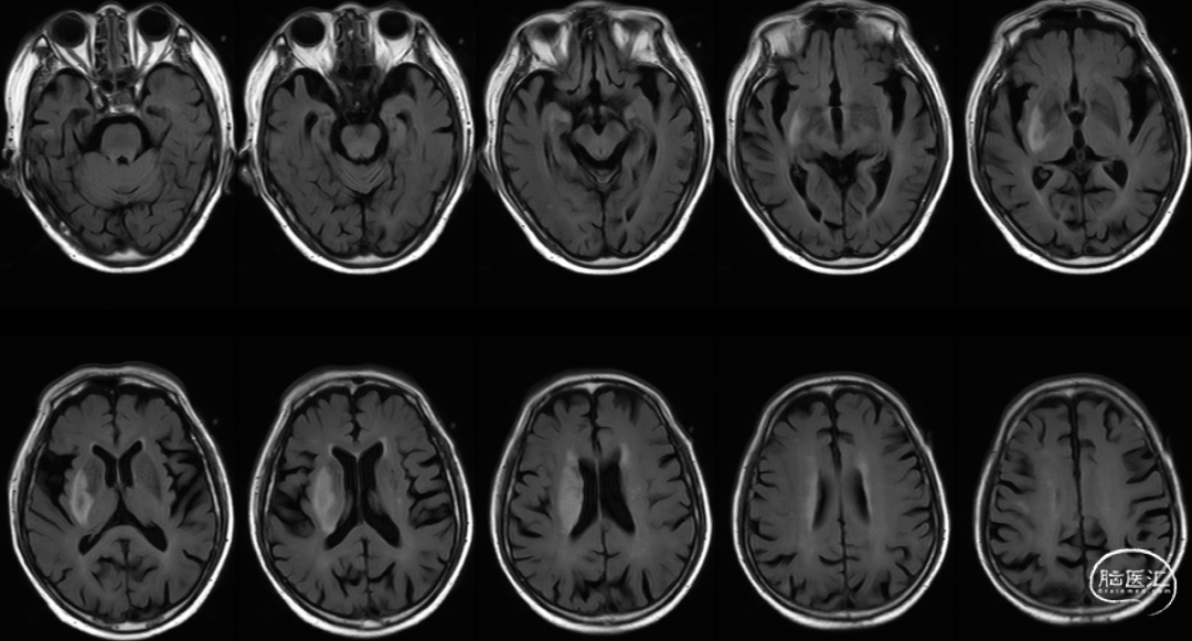
术前影像学检查

颅脑CT ASPECTS 9分。

Cranial Cervical & Aortic arch MRA。

Cranial DWI:右侧壳核、侧脑室旁小片状+皮层点状弥散受限。

Cranial SWI:SVS+AHVs RMCA M1长条血栓。

T2 Flair:丰富的高信号血管征(HVS)。




RICA C1闭塞,来自RACA丰富的软膜支代偿。
3
手术过程



RVA超选造影仍可见后循环丰富的软膜支向右侧颞叶代偿供血。
FlowGate 2同轴Catalyst 7、Synchro 2多次调整后穿过C1起始闭塞处,MicroPort Pioneer 2.5mm×20mm球囊C1起始处缓慢扩张,顺球囊Catalyst 7穿过闭塞段,继续向前推进FlowGate 2失败, Catalyst 7 C1抽吸出长条血栓。

Catalyst 7 C1抽吸出大负荷血栓。


Catalyst 7再次通过闭塞处于C2-C4近端抽吸,再无血栓抽出,球囊辅助通过(BTA)技术无法将CAT7带入C4远端,CAT减容任务完成,使用Solitaire FR 6×30支架行完整BADDASS技术, 6×30支架前行张力非常大,释放时并无法顺利推出Rebar 18微导管,导致支架释放略近于预期位置。



支架释放位置不理想,而且前行过程中导致血栓前移,支架并未覆盖血栓头端,经验告诉我们,仅靠软膜支的独立系统可能会通过BGC的血流阻断弥补前向压力(P),远端未覆盖血栓可能会因为血栓之间的粘附力而一并拖出。



充盈FlowGate 2,CAT 7施加张力,希望CAT 7能在支架回撤过程中抓住血栓尾端,但CAT 7在虹吸弯纹丝不动,负压下同时撤出支架与DAC。



BADDASS技术下支架取出长条血栓,3D-DSA可见眼动脉下方重度狭窄,CAT 7在张力下的上行切割狭窄处,导致小夹层产生。
4
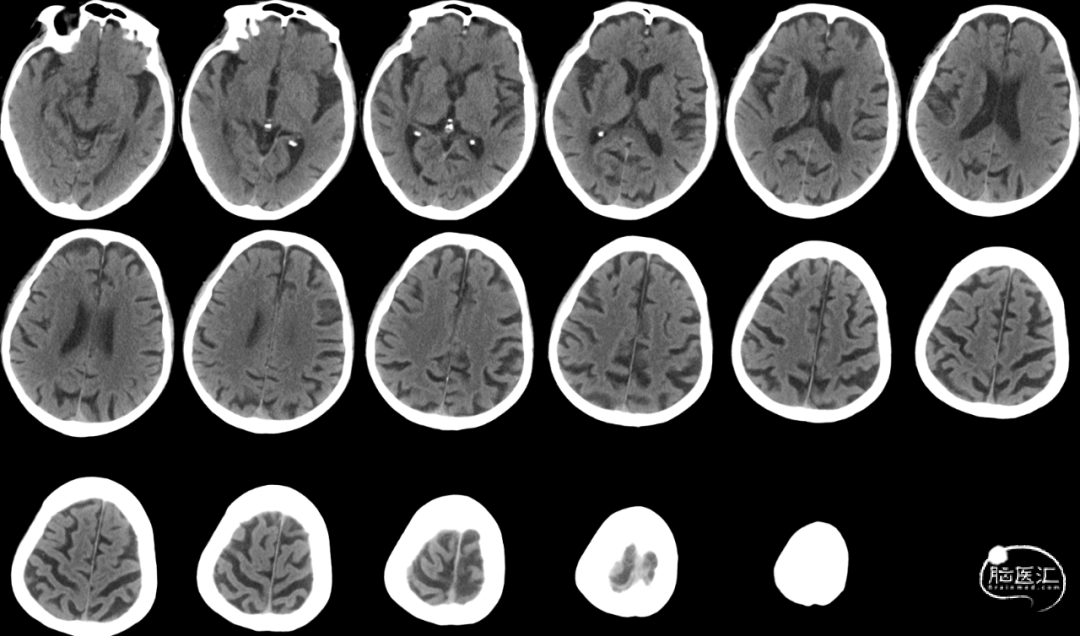
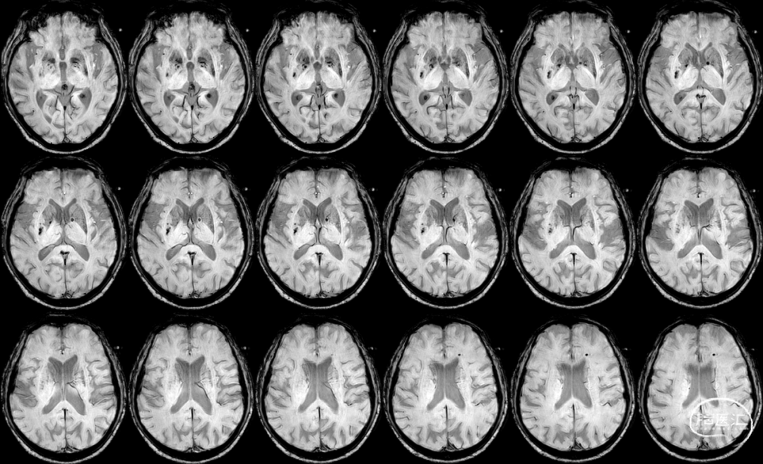
术后影像


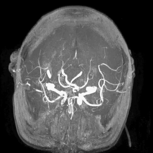
术后RICA造影 :mTICI 3级。

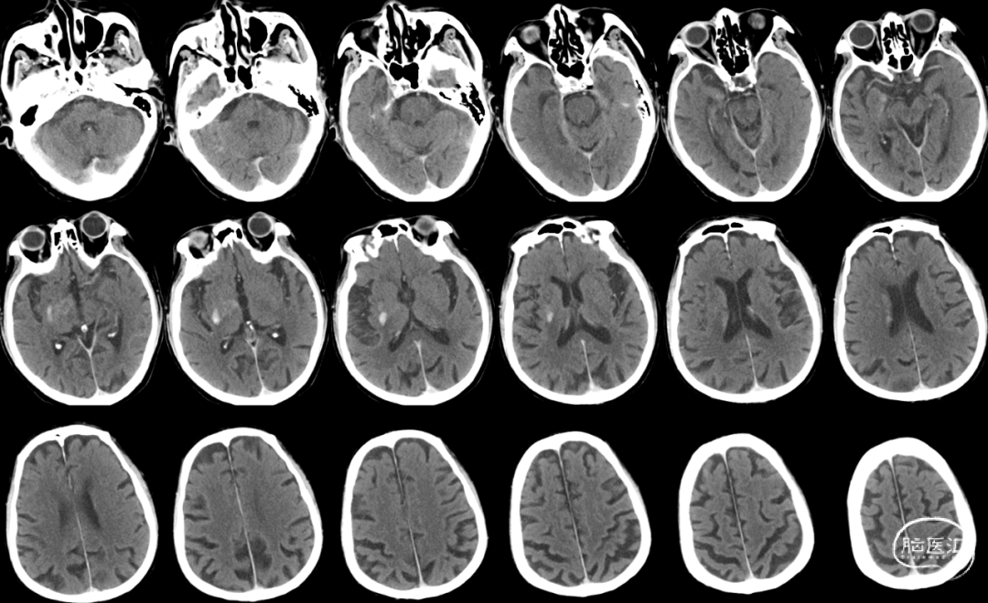
Reexamination Cranial CT:梗死区造影剂渗出。


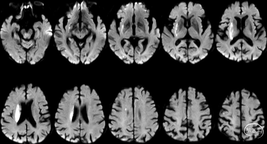
Reexamination Cranial MRA。

Reexamination Cranial DWI:无明显的血栓向远端逃逸或小血栓脱落后新形成的皮层或分水岭点片状梗死。

Reexamination Cranial T2 Flair。

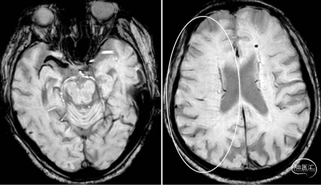
Reexamination Cranial SWI:壳核后部,造影剂渗出最多的地方再灌注损伤。
5
术后随访
出院后视频电话随访:神志清,言语清晰,上肢肌力3级,下肢肌力4级。
小结和体会
高龄并不是急诊取栓手术禁忌,但是高龄患者的急诊手术可能带来诸如路径,材料,血管本身复杂性增加,克服更大张力使器械到位本身就增加了手术风险及围手术期其他脏器并发症的风险大大增加,所以术前详尽评估及术后精细化管理尤为重要。
此例患者就是没有考虑到可能存在的虹吸段狭窄,而按照标准取栓术式,DAC施加张力,为取回支架时可以紧紧咬住血栓,而导致狭窄的下缘夹层产生。
独立系统在BGC加持下的负压抽吸产生的血流逆转的效果可以将支架覆盖不完全的血栓像“钓鱼” 一样拖出体外,而不造成远端逃逸。
专家点评
此例高龄TIM闭塞,是ICAD所致TIM闭塞,与第一例是相映成趣的(第一例是心源性TIM闭塞)。
术者在术前的影像评估是非常系统的,在CT的基础上进一步进行了头颅MRI多序列扫描及头颈部MRA评估。除了对纵深白质脑组织缺血做到了精准的评估,对患者颅内血栓的形态和负荷量也做到术前的精准预知,头颈部MRA更是让术者对颈动脉的闭塞部位情况也做到了解。虽然我们并不主张对年龄轻的患者进行过多的影像评估(避免延误时间),但对高达91岁的患者,做系统影像评估是可以理解的,对制定开通策略和判断预后还是很有益的。
术者应用改良Dotter技术通过颈动脉重度狭窄所致的闭塞部位是值得推荐的,这是通过ICAD所致TIM闭塞近心端闭塞处的高效方法,而且在没有BGC的情况下,该方法尚有助于减少开通过程中血栓向远处逃逸。
此例患者高龄,推测可能窦部狭窄重,钙化可能也明显,术者球囊选用的2.5mm可能较小或弹性回缩太快,导致扩张后BGC不易随中间导管同轴通过颈动脉窦部,建议应用更大直径的球囊(譬如4mm的球囊)进行二次扩张,这样BGC可以同轴通过窦部狭窄,就可以应用临沂市人民医院报告的“RETS”技术进行开通,这可让BGC更好的起到作用,对后继的操作也可给予有力的支撑。由于现实操作中BGC没有通过颈动脉窦部,这可能导致后继支架上行阻力增大,也让后继的BADDASS技术打了折扣。基于术前即已经知道颅内血栓的负荷量和形态,术者选用6*30的支架是对的,但由于选用的不是Rebar27,也导致了支架上行推送助力较大。
术者考虑到患者高龄,对颈动脉颅内段的狭窄(考虑是局部狭窄且合并有小夹层)和颈动脉窦部的狭窄没有同期行支架植入,这一点是非常可取的,高龄纵深白质缺血损害的患者确有较高的复流后症状性出血风险,二期再进行处理的确实更好的选择,估计术者是进行术者观察,观察到血流稳定就没有植入支架,术者若是能给大家交代下观察的时间和是否应用了抗血小板制剂就更好了。
点评专家
朱良付
河南省人民医院
主任医师,博士,硕导
卒中中心副主任,河南省介入治疗中心副主任,绿色通道组长,颅内狭窄专科主任
中国医师协会神经介入专委会常务委员、创新转化学组副组长
脑防委缺血性卒中介入治疗委员会常务委员、中青年专家委员会常务委员、卒中中心管委会委员
中华医学会神经内科分会神经介入协助组委员
中国医师协会神经内科分会神经介入专业委会委员
河南省脑血管病专科联盟副会长兼秘书长
河南省介入治疗专业委员会副主委、神经介入学组副组长
河南省中国医师协会神经介入专委会副主委、急性缺血性卒中血管内治疗学组组长
河南省中西医结合介入委员会副主委
术者简介
END
点击或扫描上方二维码
查看更多“介入”内容









