今天为大家分享的是,由中国医科大学附属第一医院佟志勇教授带来的:大脑前动脉重建术在烟雾病治疗中的应用,欢迎阅读、分享!
烟雾病诊断和大脑前动脉缺血
1957年,竹内(Takeuchi)和清水(Shimizu)[1]首次报道烟雾病(MMD)的脑血管造影特征是双侧颈内动脉发育不良。1969年,铃木(Suzuki)和高久(Takaku)[2]在一篇英文文章中提出Moyamoya disease(MMD)的英文命名。1972年,米川(Yonekawa)和Yasargil[3]首次使用颞浅动脉(STA)-大脑中动脉(MCA)搭桥手术治疗MMD。1974年日本成立烟雾病研究委员会(the research committee on moyamoya disease)。1978年日本烟雾病研究委员会提出MMD诊断标准,之后1987年、1995年、2009年、2015年、2021年五次修订MMD诊断标准[4]。1981年,刘承基等[5]首次使用STA-大脑前动脉(ACA)搭桥手术(间置胃网膜动脉)治疗MMD。
2021版MMD诊断标准[4]强调双侧和单侧MMD均可诊断MMD。在将单侧MMD诊断为MMD时,需要脑血管造影检查确诊。MMD的主要影像学特征为:
(1)颅内段颈内动脉(ICA)末端为中心的脑动脉狭窄或闭塞。病变的动脉包括ICA颅内段,MCA和ACA起始段;
(2)这些病变的动脉外径减小,内腔同心性狭窄;
(3)狭窄或闭塞动脉附近烟雾样异常血管网。随着双侧颈内动脉狭窄闭塞的进展,烟雾样血管最终消退,整个大脑半球由颈外动脉和椎基底动脉系统灌注。
一项基于2004-2008年日本国家登记数据的MMD特征研究[6]报道:儿童MMD患者ACA近端闭塞和梗死比成人MMD患者更常见。儿童MMD患者左侧ACA病变为86.8%,成人为81.9%(P=0.003);儿童MMD患者右侧ACA病变为87.6%,成人为83.0%(P=0.004)。ACA近端闭塞和梗死导致MMD患者高级智力功能受损,影响患者的日常生活功能(ADL)。
烟雾病ACA起始部狭窄或闭塞,ACA远心端的侧枝循环主要来自:
(1)大脑后动脉(PCA)和ACA的软膜侧枝吻合;
(2)MCA和ACA的软膜侧枝吻合;
(3)PCA的后胼周动脉和ACA的胼周动脉的软膜侧枝吻合;
(4)脑膜中动脉(MMA)经过大脑镰硬膜和额叶内侧脑组织的自发颅外-颅内侧枝吻合;
(5)眼动脉-ACA的眶额动脉的侧枝吻合。这些侧枝循环动脉均位于脑血液循环的末梢,动脉直径小于0.5-1.0mm,只能提供少量的血供。

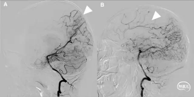
图1 从大脑后动脉(PCA)到大脑前动脉(ACA)的软脑膜侧支;A. 椎动脉注射侧位图显示ACA和PCA区域之间的逆行血流(PCA→ACA顶枕支)延伸到皮质边界区;B. 经后胼胝体周动脉经中央沟的血供。[7]
常见的烟雾病脑血管重建术
2021年日本烟雾病管理指南[8]推荐:
JAM研究[9]是一项多中心前瞻性随机对照研究,日本22个医疗中心参与。旨在研究颅外-颅内旁路手术预防MMD患者再出血的疗效。该研究将出血性MMD患者随机分为两组:双侧直接血管重建手术治疗组和单纯药物治疗组。一年之内颅内出血的MMD患者入组,手术治疗组患者在出血后一个月接受双侧STA-MCA吻合手术(三个月内),可联合间接血管重建手术,不能单独仅行间接血管重建手术。
手术治疗组42例,药物治疗组38例,随访5年。主要终点为包括再出血发作在内的所有不良事件,次要终点为再出血。主要终点手术治疗组为6例(14.3%),药物治疗组为13例(34.2%)。
Kaplan-Meier生存分析显示两组间有显著差异(3.2%/y vs 8.2%/y;P=0.048)。Cox回归分析计算手术治疗组的危险比为0.391(95%置信区间0.148-1.029)。再出血手术治疗组为5例(11.9%),药物治疗组为12例(31.6%),Kaplan-Meier生存分析有显著差异(2.7%/y vs 7.6%/y);P=0.042)。手术治疗组的危险比为0.355(95%置信区间为0.125-1.009)。
JAM研究认为保证外科医生的素质对于这种涉及手术的随机试验是必不可少的。要求所有参与试验的机构都有足够的MMD直接血管重建手术经验,只有注册的外科医生才被允许为患者做手术。因此,围手术期并发症(包括短暂事件)的发生率为9.5%,且未观察到永久性严重残疾。
MMD的血管重建术包括直接血管重建、间接血管重建或这两种类型手术的结合。
将颈外动脉系统的动脉血流(STA、颞深动脉(DTA)、脑膜中动脉(MMA)、枕动脉(OA)、耳后动脉(PAA)、眶上动脉(SOA)等)引入到颅内。STA-MCA吻合是经典的直接血管重建手术。
间接血管重建术包括:动脉-脑贴敷术(EAS)、硬膜-脑贴敷术(EDS)、肌肉-脑贴敷术(EMS)、骨膜-脑贴敷术(EPS)、帽状腱膜-脑贴敷术(EGS)、网膜-脑贴敷术(EOS)或这些手术的组合。
已有报道[8]直接或间接血管重建术或直接/间接联合血管重建术均可改善脑血流动力学,改善TIA的严重程度和发生频率,降低脑梗死和出血的风险,改善术后ADL和神经认知功能远期预后。对于成人患者,仅采用间接血管重建术是不够的,必须采用直接或联合血管重建术。在儿童患者中,无论直接或间接血管重建术均可以改善临床结果。
宝金(Houkin)等[10]回顾12年内85名MMD的135次联合血管重建术。儿童直接血管重建术后三个月,53%通畅;成人94%通畅。儿童间接血管重建术后三个月:53%STA和脑组织间形成侧枝循环,MMA为94%,DTA为100%;成人:STA为9%;MMA为63%,DTA为72%。
说明影响MMD患者术后颈外动脉对脑组织供血程度的关键因素包括:(1)患者的年龄;(2)直接血管重建还是间接;(3)间接血管重建术的供体血管和脑组织接触的面积;(4)供血血管和受体血管的压强差。

烟雾病大脑前动脉重建技术的历史
常见的MMD脑血管重建术的受体血管是MCA。这是因为:
MMD患者的ACA重建术式包括:直接重建术(STA-ACA吻合术)和间接血管重建术。由于STA的长度不足或ACA直径细小,可能需要间置血管(STA、胃网膜动脉、头静脉等),也可能无法完成直接吻合操作。ACA的受体血管可选择额上回的A5或纵裂内的胼周动脉或胼缘动脉。额叶的间接血管重建术主要将硬膜、骨膜、帽状腱膜贴敷在额中上回脑组织,(骨膜-硬膜-帽状腱膜-脑贴敷术,EPDGS),或者移植网膜(颞浅动脉和静脉分别和网膜动静脉吻合,网膜贴敷在额叶凸面和纵裂内侧面额叶)[5]。
1981年,刘承基等[5]完成首例MMD患者的大脑前动脉直接重建术(STA-胃网膜动脉-胼周动脉吻合术)。1982年,石井(ishii)等[12]完成第二例MMD患者的大脑前动脉重建术(STA-头静脉-胼缘动脉吻合术)。1997年,岩仓(iwama)和桥本(hashimoto)等[13]报道:过去8年里为5例MMD患者完成了STA-ACA吻合,以额上回的A5为受体动脉,其中4例间置了STA(长度小于4cm)。这是第一篇以额上回A5为受体动脉的ACA重建术治疗MMD的报道。
2003年,Khan等[14]回顾了1997-2001年瑞士苏黎世收治的23名MMD患者,其中10例次行STA-MCA和STA-ACA双搭桥手术。初期两侧的血管重建术间隔3个月,后期同时行双侧血管重建术或间隔1-5天行双侧手术。
2006年,石川(ishikawa)等[15]回顾了1996年-2006年16名MMD患者26例次STA-MCA和STA-ACA双搭桥手术,旨在治疗合并ACA区域脑组织灌注严重不足的MMD病例。直接血管重建术同时联合Pan氏血管连通术:EDAMS覆盖颞叶额额下回,EGAS覆盖额中上回。
2018年,江头(egashira)等[16]回顾2009-2015年17例儿童MMD患者的24次直接血管重建术,其中3例同时行双侧STA-ACA吻合术。3名患者中6岁两例,8岁一例。这是首次同时行双侧STA-ACA吻合术的报道。作者江头(egashira)和岩仓(iwama)是一个团队。
2021年,佟志勇等[17]回顾了2019-2020年5例STA-MCA/ACA序贯双吻合术(SDA)治疗MMD的病例,其中3例为STA-MCA-STA-ACA序贯双吻合术(世界首例)。STA中段和M4侧侧吻合,STA末端的额上回A5端侧吻合。使用单定点连续缝合法。术中测量STA压强为74mmHg(1mmHg=0.133kPa),A5压强为28mmHg,M4压强为29mmHg,STA侧壁压强为65mmHg。术中STA的切割流量(CF)为15~36ml/min,平均(23.6±7.7ml/min;术后1周STA流量为40~125ml/min,平均(96.8±31.2)ml/min。术后1周STA血流量为术中CF的4.1倍。
2021年,余冠东和佟志勇等[18]回顾对照研究了STA-ACA和STA-MCA双吻合术(DBA)与STA-MCA双吻合术治疗MMD的疗效。纳入2017-2020年的32例ACA供血区缺血的MMD患者共计41例次手术,分别行STA-ACA和STA-MCA双吻合术联合EMS(ACA组,10例计10例次手术)(2019-2020年)和STA-MCA双吻合术联合EMS(MCA组,25例计31例次手术)。结果显示:ACA组治疗ACA供血区缺血的MMD,桥血管通畅性良好,可获得满意的长期疗效;与MCA组相比,ACA组STA的切割流量指数(CFI)值更高,而两组术后长期疗效相当。







综上所述,MMD的ACA直接重建术出现于1981年[5],以纵裂内的胼周动脉或胼缘动脉为受体动脉,移植胃网膜动脉或头静脉,属于第二代脑血管重建技术。1997年[13]出现了以额上回A5为受体动脉的ACA直接重建术。2019年[17]出现了STA-MCA-STA-ACA序贯双吻合术。目前的ACA重建术均把A5作为受体动脉,STA-ACA端侧吻合。当STA长度不足时,可以间置STA(长度小于4cm)。
烟雾病大脑前动脉直接重建技术的分类
根据大脑前动脉受体部位、颞浅动脉与大脑前动脉之间是否移植血管、是否双侧大脑前动脉同时吻合,可以将MMD的ACA直接血管重建术分为四种类型:
MMD的血管重建术,如果同时行MCA和ACA重建术,根据血管吻合的方式,可以分为两种术式:
(1)STA-ACA和STA-MCA双吻合术(DBA)
(2)STA-MCA-STA-ACA序贯双吻合术(SDA)
这两种术式都采用两个血管吻合操作,DBA和SDA的区别在于DBA为两个端侧吻合,SDA为一个侧侧吻合(STA-MCA)和一个端侧吻合(STA-ACA)。由于DBA术式的STA-MCA端侧吻合口距离STA主干的距离(血流阻力)大于SDA的STA-MCA侧侧吻合,因此SDA的理论血流量大于DBA。需要临床对照研究证实这个血流动力学理论推测。
无论是DBA和SDA,均构建了STA和两个脑组织区域的颅外-颅内人工侧枝循环。在增加人工侧枝循环供血量的基础上,降低了由于MMD患者M2上干、M2下干,ACA的自发侧枝循环不足,STA-MCA单支吻合术后脑组织局部过度灌注的风险(STA供应给MCA的血流不能分布供应其他脑组织)。


烟雾病大脑前动脉重建技术的要点
为了改善MMD患者ACA供血脑组织的灌注,目前最常用的术式是STA-A5端侧吻合术。主要是由于额上回A5显露比纵裂内A3显露更容易。STA-A5吻合术操作的难点在于:(1)部分STA长度不足;(2)STA末端和A5的直径可能小于1mm,需要细心吻合操作。
佟志勇等自2019年1月[17,18]开始挑选STA长度理想、ACA供血区缺血的烟雾病患者行STA⁃ACA吻合术。该术式的核心为:


烟雾病大脑前动脉重建术的发展方向
2021年日本MMD管理指南[8]推荐:对于缺血和出血起病的MMD患者,行血管重建术是合理的,B级推荐。缺血患者为低级证据,出血患者为中级证据。血管重建术可减少短暂性脑缺血发作(TIAs)的频率和风险并减低脑出血的风险,改善术后日常生活活动能力(ADLs)和神经认知功能远期预后。
日本成人烟雾病(JAM)研究[9]证实双侧脑血管重建术后,MMD患者再出血的概率由7.6%/年降低为2.7%/年。这是目前MMD唯一的多中心前瞻随机对照研究。说明成人MMD患者,双侧STA-MCA单吻合术(SBA)联合间接血管重建术,颈外动脉为大脑中动脉提供的脑血流只能部分降低再出血的风险,但提供的血流量不足以满足MMD患者脑组织的血供需求。
MMD患者处于前循环慢性缺血的病理过程中,由于自发的侧枝循环不足,患者病情逐渐加重。目前的脑血管重建技术建立STA、DTA、MMA等颈外动脉和MCA及ACA的人工侧枝循环,所能提供的血流量通常低于100ml/min。理论上无法满足MCA和ACA的血供需求。

图7 STA-MCA吻合治疗MMD的术式种类
目前国内多个医疗中心正在进行适度提高STA的供血效率的工作,如SDA、DBA、STA-MCA侧侧吻合术、STA-ACA吻合术等,希望更有效地满足脑组织血供需求。将来MMD血管重建术需要发展:
(1)脑血管重建术后可自动或人工调节移植血管流量的技术,为处理术后脑血供不足和脑组织局部过度灌注提供手段;
(2)开发术中即时测量受体脑血管压强的技术,为血管吻合操作之前,选择受体脑血管的位置,数量提供客观依据。
参考文献
作者简介
佟志勇 教授
中国医科大学附属第一医院
中国医科大学附属第一医院神经外科副主任
国家卫健委脑卒中防治专家委员会缺血性卒中外科专业委员会副主任委员;中华医学会神经外科分会脑血管学组委员;中国医师协会神经外科医师分会脑血管病专业委员会委员;辽宁省卒中学会副会长;美国神经外科医师协会脑血管学组(AANS/CNS cerebrovascular section)会员;美国经外科医师协会(AANS)会员;辽宁省生命科学学会神经外科分会常务委员;中国神经科学学会神经外科学基础与临床分会委员会学术委员;海峡两岸医药卫生交流协会神经外科专业委员会脑缺血外科治疗学组委员,推广和培训专家委员;中国老年医学学会脑血管病分会委员
专业方向:复杂脑动脉瘤(微创显微神经外科手术或复合手术)、颈动脉重度狭窄(颈动脉内膜切除术)、烟雾病(搭桥手术)、脑动静脉畸形(复合手术)、硬脑膜动静脉瘘(复合手术)、椎管内血管畸形(含:硬脊膜动静脉瘘、椎管内动静脉畸形)(复合手术)、海绵状血管瘤(含:海绵窦、脑干、脊髓内)(微创显微神经外科手术、电生理监测、神经导航)、脑动脉闭塞(含:颈内动脉、大脑中动脉、椎动脉、基底动脉、锁骨下动脉)(搭桥手术或复合手术开通闭塞动脉)
声明:脑医汇旗下神外资讯、神介资讯、神内资讯、脑医咨询、Ai Brain 所发表内容之知识产权为脑医汇及主办方、原作者等相关权利人所有。






