2022年12月28日发布 | 954阅读

【赞】分水岭梗死的部位、病因及影像特点

胡业帅

中国中医科学院望京医院

达人收藏
分水岭梗死

1
分水岭梗死发生在主要动脉供血交界区(图1)。大脑半球外侧有两个主要的分水岭。第一个位于额叶皮层,是大脑前动脉和大脑中动脉交界区。第二个位于顶枕叶皮层,是3支主要血管交界区(大脑前、中、后动脉)。这两个区域分别位于额叶中央前沟附近和顶上小叶中央后沟附近。此外,大脑深部也有分水岭区(累及白质),位于穿支动脉和3个大血管供血交界区(大脑前、中、后动脉)(图2)。累及该区域的梗死常表现为白质内的弧线形病灶。小脑分水岭梗死发生在小脑3支主要供血动脉的交汇区。

2
分水岭梗死的病因是血流动力学障碍(图3)。分水岭区处于血管末端分布区,正常灌注压偏低,对低灌注最敏感。合并/不合并血管闭塞或者重度狭窄的低血压会引起血流动力学障碍,导致分水岭区的血流明显减少而发生梗死。同时累及前后分水岭的对称性外周分水岭梗死提示整个半球灌注压减低。深部分水岭梗死常常由局部低血压引起,比如单侧颈内动脉狭窄。单侧分水岭梗死时,通过影像确定是否有血管狭窄和评估狭窄程度至关重要。


图1:左侧颈内动脉C4段远端重度狭窄引起的急性分水岭梗死,发病2次(间隔5个月)。5.2轴位DWI 2个层面示左侧大脑半球急性分水岭梗死。注意多发点状病灶形成的弓状改变,第一幅图沿着大脑前动脉和大脑中动脉分水岭分布,第二幅图靠后方的病灶沿着大脑前、中、后动脉分水岭分布。10.11 DWI因为扫描倾斜角不同,与初次扫描图像无法比较。靠后的病灶与第一幅图匹配,层面偏下,靠前的病灶与第二幅图匹配,层面偏上。此次检查也发现多发急性分水岭梗死,该层面显示其中一个病灶(白星号)。5.2 3D FLAIR重建序列匹配此次检查层面,发现原来病灶区域小囊状改变和轻度萎缩(白箭头)。注意第二次急性小梗死灶(白星号)与第一次病灶紧密相连。MRA和DSA均证实发病原因——左侧颈内动脉远端重度狭窄。


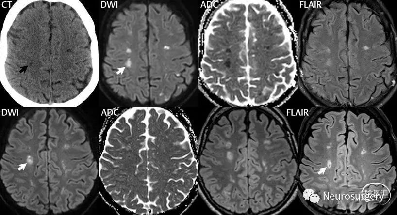
图2:白质局灶性小梗死(分水岭区,低灌注引起)演变。箭头表示4次检查同一病灶。上左一图为首次CT,上左二图为首次MR,下左一图为10天后MR,下右一图为3个月后MR。上排图像为发病时基线检査,DWI发现多发白质和皮层小梗死,CT仅能显示2个病灶(说明CT敏感性低)。病灶同时有细胞毒性水肿(DWI高信号,ADC低信号)和血管源性水肿(FLAIR高信号;但是右侧大脑半球2个病灶血管源性水肿刚出现,表现为比周围白质信号稍增高)。第二次检查图像显示该病灶血管源性水肿更明显,而细胞毒性水肿消失,此时DWI虽然为高信号,但ADC信号并不低,故DWI高信号为T2穿透效应所致。3个月后复査,仅给出的FLAIR显示外周的胶质增生和内部的小腔隙,后者表现为低信号。从此病例也可以看出不同场强的机器和不同扫描技术得到的图像差异。首次MR为1.5T机器所得,后两次为3T机器所得。后两次的FLAIR(下排)扫描技术和处理软件不同,但都是3T图像。

图3:广泛分水岭梗死。患者由于心脏病导致长期低血压,CT和MR分别为心脏病发病后12天和15天的图像。给出的DWI图像显示广泛分水岭梗死,累及双侧小脑半球分水岭、枕部大脑中动脉和大脑前动脉分水岭,邻近侧脑室前部的大脑前动脉和大脑中动脉分水岭、后部的大脑中动脉和大脑后动脉分水岭以及半卵圆中心大脑前动脉和大脑中动脉分水岭。虽然过了15天,部分病灶仍然有细胞毒性水肿(扩散受限)。与MR匹配层面(最上层面和最下层面)的CT显示梗死造成的低密度。虽然与治疗关系不大,但是MR显示病灶更好。


分水岭梗塞(外分水岭和内分水岭)







帅刀掉渣 胡业帅博士整理

仅供学习,如侵权,请联系我们删除


声明:脑医汇旗下神外资讯、神介资讯、神内资讯、脑医咨询、Ai Brain 所发表内容之知识产权为脑医汇及主办方、原作者等相关权利人所有。

投稿邮箱:NAOYIHUI@163.com 

未经许可,禁止进行转载、摘编、复制、裁切、录制等。经许可授权使用,亦须注明来源。欢迎转发、分享。

最新评论
发表你的评论
发表你的评论