
导语
尊敬的专家同道:
大家好!“沙场点兵,有史可鉴”是史赛克公司推出的一档病例展示及点评栏目,旨在手术技术交流,产品特点演示,与各位神经介入专家共同进步。疫情虽拉远了距离,却无法降低学习的热情,让我们相约线上,博采众长,共同探讨手术技术。精彩内容,敬请期待。
病例展示(一)
李腾飞,杨杰
郑州大学第一附属医院
1
患者基本信息
患者:男性,70岁。
主诉:发作性头晕1月余。
现病史:1月前患者间断出现头晕,伴双下肢无力,走路不稳,踩棉花感,当地医院按“颈椎病”治疗,症状无明显好转,查磁共振及头颈部CTA示:1、腔隙性脑梗死 2、椎基底动脉重度狭窄。给予对症治疗并口服双抗+他汀,头晕发作次数有所缓解。
既往史及个人史:高血压10年余,现服用倍他乐克及氨氯地平控制,控制尚可。糖尿病10年余,现服用二甲双胍及吡格列酮控制,控制尚可。无心脏疾病病史,少量吸烟、饮酒史。
神经系统检查:意识清楚,精神可,语言清晰,双侧瞳孔等大等圆,对光反应灵敏。四肢肌力V级,肌张力正常。鼻唇沟对称,伸舌居中,双侧病理反射未引出。指鼻试验欠稳准,无不自主运动,步态正常,走"一"字不稳。
术前诊断:
1、TIA
2、椎基底动脉狭窄
3、腔隙性脑梗死
4、高血压病1级(高危)
5、2型糖尿病
辅助检查:
外院耳科相关检查未见明显异常。
外院磁共振及头颈部CTA示:1、腔隙性脑梗死;2、椎基底动脉重度狭窄。
2
术前检查
血、尿常规、电解质、血脂、凝血功能、心肌酶等指标未见异常。
糖化血红蛋白:6.3%;
同型半胱氨酸:20.3μmol/H;
心电图提示:正常范围心电图;
波立维及阿司匹林代谢型检测:均为中代谢型;
血小板功能检测值均达标。
DSA提示:双侧颈内动脉及颅内血管未见明显狭窄,右侧椎动脉优势,左侧椎动脉纤细,V4段闭塞。右侧椎动脉起始处重度狭窄,右椎V4段及基底动脉近端局限性重度狭窄。患者反复间断发作头晕,考虑后循环缺血引起的TIA发作,且强化药物治疗效果不佳,有介入治疗适应症。
左右滑动查看更多

3
手术预案
6F导引导管建立通路,先行右侧椎动脉起始处球囊扩张,上行导引导管至V2后,引入球囊导管先后扩张基底动脉及椎动脉狭窄处,再在两处病变进行支架成形术。若起始处扩张残留狭窄程度重,最后行起始处球扩式支架置入。
4
手术材料
微导丝:Synchro-14(200cm)
球囊:
4mm×30mm快速交换球囊
Gateway 2.5mm×9mm球囊
支架微导管:XT-27
支架:
Neuroform EZ 3mm×15mm
Neuroform EZ 3.5mm×20mm
5mm×19mm球扩式支架
5
手术过程
全麻后,股动脉置入6F血管鞘,6F导引导管配合超滑导丝至右侧锁骨下动脉建立通路,Synchro-14(200cm)微导丝配合4mm×30mm快交球囊定位V1狭窄扩张。

6F导引导管进入V2后,Synchro-14 (200cm)微导丝配合Gateway 2.5mm×9mm球囊先后进行基底动脉、椎动脉V4段狭窄扩张。

撤出球囊后,Synchro-14(200cm)微导丝配合XT-27至基底动脉远端,从远至近分别置入Neuroform EZ 3mm×15mm及Neuroform EZ 3.5mm×20mm支架。


最后保留微导丝在椎动脉内,将导引导管退至锁骨下动脉后,送入5mm×19mm球扩式支架并释放。


小结和体会
1.串联型血管狭窄是临床中常见的类型,起始处狭窄较重时可先用球囊扩张解决通路上行问题,再根据颅内串联病变情况对进行灵活处理。起始处释放支架前,需确认颅内段血流通畅,避免撤出通路系统后,出现颅内血管需要再次处理,但导引导管无法通过开口支架的情况。
2.Gateway球囊具有通过迂曲病变,到位能力强、扩张时充盈平稳等特点,为颅内血管的治疗提供安全、有效保障。
3.Neuroform EZ支架经导管内释放,容易通过严重迂曲的病变,特别在治疗串联病变时比球扩支架有明显优势。支架采用开环设计,在动脉粥样硬化严重病变处贴壁良好,同时具有较强的径向支撑力,血栓发生率低。但不足的是,如需要支架内球囊扩张时,上行球囊可能会被支架网丝阻拦,造成手术失败。
专家点评
1. 本例患者为典型的动脉粥样硬化导致的颅内外动脉串联狭窄,左侧椎动脉纤细且V4以远闭塞,优势的右侧椎动脉开口、V4段及基底动脉近段均重度狭窄,Willis环不完整,缺少代偿机制,虽经强化内科药物治疗有所好转,但缺血事件仍有发生,根据目前诊疗指南及专家共识,具有介入治疗的手术适应症,并经术前各项检查未发现手术禁忌症。
2. 患者为三处串联病变,两处颅内一处颅外,术者制定了先铺路(颅外球扩)再由远及近依次治疗(球扩及支架置入)策略,充分考虑了各处病变治疗方法之间的相互干扰和影响,避免了冲突。
3. 手术器材选择恰当,鉴于颅内两处病变走行角度和远近端直径差别,选择了通过性更佳的同轴球囊导管和适应迂曲形态和直径差别较大的自膨式开环支架,保证了手术的安全和效果。
建议:采用300mm的微导丝。
点评专家
魏东
空军军医大学西京医院
医学博士,副主任医师,空军军医大学西京医院神经内科副主任
中国医师协会神经内科分会脑血管病学组委员
中国医药教育协会眩晕专业委员会常务委员
全军神经内科专业委员会脑血管介入学组委员
陕西省医学会神经病学分会副主任委员
陕西省卒中学会神经介入分会委员
《中华脑血管病杂志(电子版)》编委
主要工作及研究方向
1.脑血管病:脑血管病的规范化诊治,尤其是血管介入诊疗
2.眩晕:眩晕疾病的诊疗及临床研究,尤其是中枢性眩晕的诊疗
术者简介
病例展示(二)
张洪阳、韩新生
开封市中心医院
1
患者基本信息
患者:男,67岁。
主诉:头晕20天,加重1天。
现病史:20天前干农活时出现头晕,伴视物旋转,站立、行走不稳,伴恶心、呕吐,呕吐物为非咖啡色胃内容物,无耳鸣及听力下降,无言语不清,无肢体麻木力弱,无神志不清、肢体抽搐,无头痛,无视物成双、吞咽困难及饮水呛咳,症状持续不缓解,遂就诊于当地医院,诊断为“小脑梗死”,给予药物治疗,具体不详,头晕症状好转后出院;院外间断有头晕发作,不伴视物旋转,持续约1分钟可缓解。1天前患者再发头晕,伴恶心,未呕吐,症状持续不缓解,为求进一步诊治来我院,门诊以“脑梗死”收入我科,发病来神志清,精神欠佳,饮食欠佳,睡眠正常,大便正常,小便正常,体重无明显变化。专科检查:神志清楚,言语清晰,双瞳孔等大等圆,d=3.0mm,对光反应灵敏,眼球各方向运动充分,无眼震,双侧额纹对称,双侧鼻唇沟对称,示齿口角无偏斜,伸舌居中,左侧上下肢肌力5级,右侧上下肢肌力5级,肌张力适中,四肢腱反射(++),双侧Babinski征、Chaddock征阴性,浅感觉无异常,双侧指鼻试验、跟膝胫试验稳准,Romberg征睁闭眼均不稳,颈软、无抵抗,双侧克氏征阴性,布氏征阴性。NIHSS评分:0分;洼田氏饮水试验:1级;ADL生活能力评分:100分。
既往史:“高血压病”病史10余年,目前服用硝苯地平控释片降压治疗,血压控制在130/80mmHg左右。5个月前因“右侧肾上腺瘤”在我院行手术切除。
辅助检查:(2021-10-24,本院)头颅CT示:排除出血。入室心电图:V3、V4导联ST压低,V5、V6导联T波倒置。
术前检查:血常规、血凝指标、肾功能、电解质、心功能、肝功能、风湿四项、血脂指标、空腹葡萄糖测定、C反应蛋白、中枢神经特异蛋白S100β、控感、尿常规、粪便常规未见异常。ABO反定型A型;不规则抗体筛选阴性;RH(D)血型阳性;ABO正定型A型;心电图示:窦性心律。心脏彩超:心脏结构及血流未见异常。
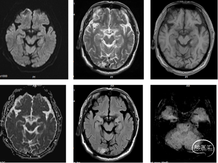
头颅核磁示:双侧小脑、双侧枕叶多发性脑梗死,部分趋于急性期。头颅磁共振MRA提示:双侧椎动脉V4重度狭窄;基底动脉上段轻度狭窄。
2
术前影像学检查





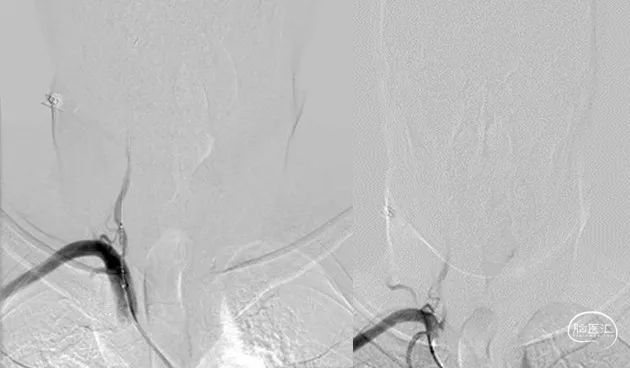
脑血管造影:主动脉弓+右侧颈总动脉造影。

左侧颈总动脉造影。

左侧锁骨下动脉造影。

右侧锁骨下动脉造影。

3
术前讨论
术前诊断:
1.脑梗死(右小脑)
2.右侧椎动脉V4段重度狭窄
3.左侧椎动脉重度狭窄
4.左侧小脑后下动脉重度狭窄
5.基底动脉尖段轻度狭窄
6.右侧颈内动脉C6段轻度狭窄
7.高血压病
8.冠心病 心肌缺血 心功能2级
9.肾上腺瘤切除术后
手术指征:症状性椎动脉V4段狭窄,狭窄程度大于70%,右侧大脑中动脉狭窄,狭窄程度大于70%,动脉粥样硬化病因,强化内科药物治疗(双抗血小板聚集、强化降脂,控制危险因素)等处理,仍有临床症状发作。
手术方案:全麻下行右侧椎动脉V4段血管成形术(Gateway球囊预扩张后置入Neuroform EZ自膨式支架),
备选手术方案:左侧椎动脉V4段血管成形术。
手术风险及手术预案:①栓子脱落、血管夹层、穿支动脉闭塞、支架内血栓及支架内再狭窄等,处理方案:术前严格术前用药准备,导引导管尽可能高,应用小球囊扩张,自膨式支架;②如行左侧椎动脉V4段支架,病人小脑后下动脉起始段狭窄出现闭塞或血栓几率相对高,左侧小脑后下动脉粗大,出现风险几率较高,因此考虑选择右侧椎动脉狭窄血管成形。
4
术中材料
125cm 5F多功能造影导管
6F导引导管(Cordis)
Synchro 14微导丝(300cm)
2.5*9mm Gateway球囊导管
Excelsior XT-27微导管(史赛克)
Neuroform EZ 4.0mm*20mm支架
5
术中操作

300cm微导丝携Gateway球囊到位,行球囊扩张及预扩张后造影。


6
术后结局

小结和体会
1、本例患者反复出现神经功能障碍,血管评估提示双侧椎动脉V4段均为重度狭窄,左侧狭窄位置位于发出小脑后下动脉下方,紧邻小脑后下动脉,同时左侧小脑后下动脉起始段存在有重度狭窄,相对粗大。
2、右侧椎动脉V4段血管狭窄附近未见有明确血管分支,因此手术选择了行右侧椎动脉V4段球囊扩张及支架置入术,因双侧椎动脉V4段狭窄以远椎动脉及基底动脉汇合处血管良好,因此右侧椎动脉V4段狭窄处支架置入术后病人右侧椎动脉及远端基底动脉血流明显改善外,同时也可见到左侧椎动脉V4段逆向显影至左侧小脑后下动脉。同时避免了左侧椎动脉支架置入术中对左侧小脑后下动脉的影响导致小脑后下动脉缺血事件发生的可能。
3、Gateway球囊为半顺应性球囊,推送性能良好,术中缓慢扩张,可减少球囊移位、血管变形及夹层等,为后续支架置入提供了良好的条件。
4、EZ支架通过性好,释放顺畅,径向支撑力强,支架贴壁良好。
专家点评
1. 本例患者为症状性双侧椎动脉V4段重度狭窄,即症状性颅内动脉粥样硬化性狭窄(sICAS),双侧后交通动脉缺如,缺少代偿机制。经强化内科药物治疗仍有缺血事件发作,根据目前诊疗指南及专家共识,具有介入治疗的手术适应症,并经术前各项检查未发现手术禁忌症。
2. 患者为双侧椎动脉病变,且双椎直径差别不大,无显著的优劣之分,因此在手术策略上就有三种选择:单做右侧椎动脉、单做左侧椎动脉及同时做双侧椎动脉。术者详细分析了双侧椎动脉的情况(PICA分支情况、双椎融合处形态、基底动脉近端形态),优先选择了能够有效改善供血且安全性最高的右椎方案。
3. 手术器材选择恰当,充分发挥了同轴球囊导管和自膨式开环支架的优点,操作过程简洁、准确,手术效果满意。
点评专家
魏东
空军军医大学西京医院
医学博士,副主任医师,空军军医大学西京医院神经内科副主任
中国医师协会神经内科分会脑血管病学组委员
中国医药教育协会眩晕专业委员会常务委员
全军神经内科专业委员会脑血管介入学组委员
陕西省医学会神经病学分会副主任委员
陕西省卒中学会神经介入分会委员
《中华脑血管病杂志(电子版)》编委
主要工作及研究方向
1.脑血管病:脑血管病的规范化诊治,尤其是血管介入诊疗
2.眩晕:眩晕疾病的诊疗及临床研究,尤其是中枢性眩晕的诊疗
术者简介
END
点击或扫描上方二维码
查看更多“介入”内容



















