
患者60岁男性,“发作性意识不清3年,头痛伴二便失禁3月”入院。
查体:神清,言语含糊,反应迟钝,认知反应全面下降,行走不稳,二便失禁。
术前CT及磁共振检查:双侧额叶巨大肿瘤,左侧为主。


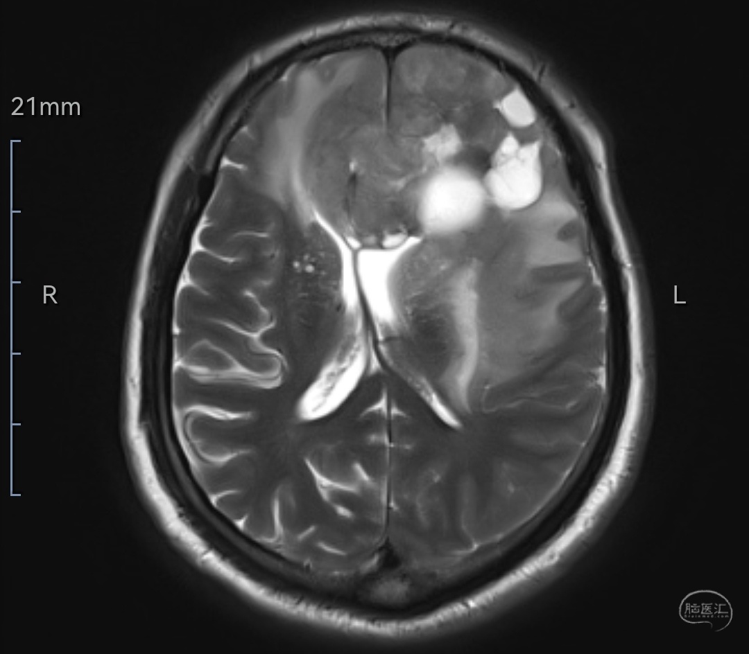
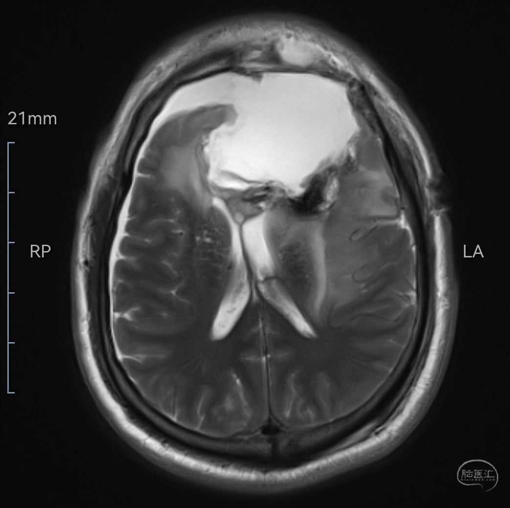
MRIT2相轴位示肿瘤等高信号,位于双侧额叶,左侧为主,已侵犯至胼胝体嘴、膝部及左侧颞岛叶,伴有明显水肿

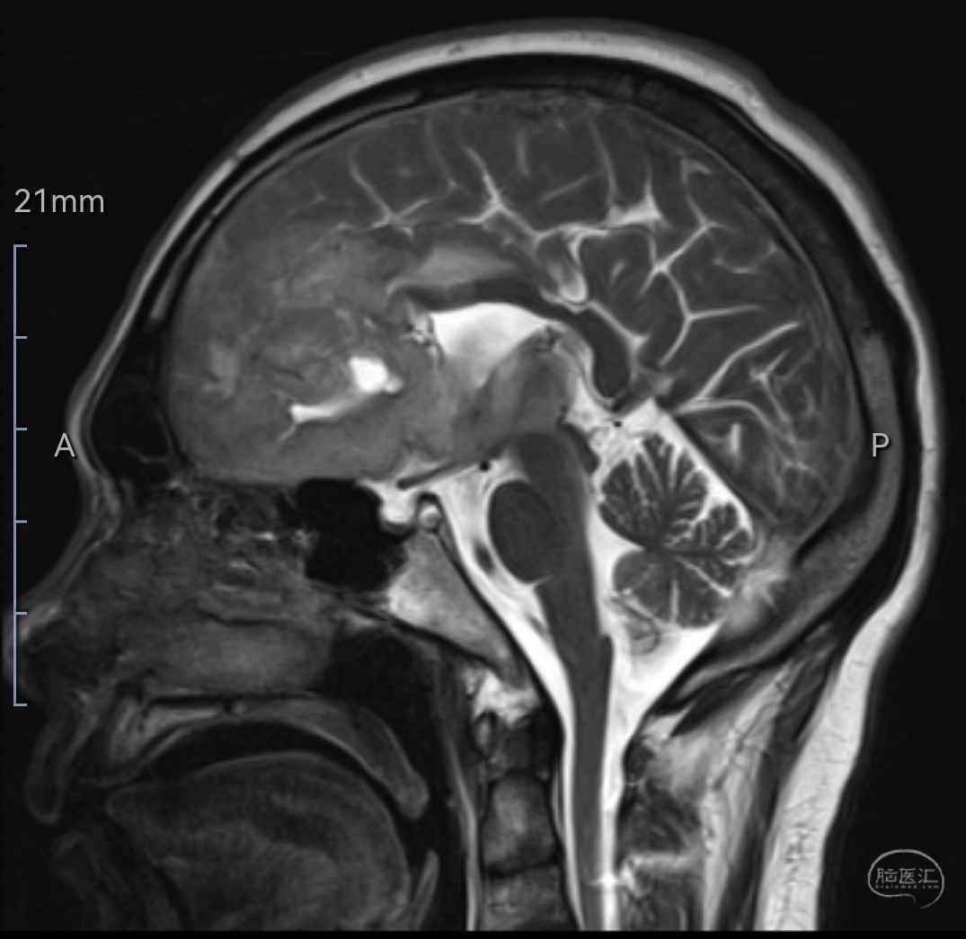
MRIT2相矢状位示肿瘤位于双侧额叶,左侧为主,已侵犯至胼胝体嘴、膝部

MRIT1相轴位示肿瘤等信号,位于双侧额叶,左侧为主,已侵犯至胼胝体嘴、膝部及左侧颞岛叶

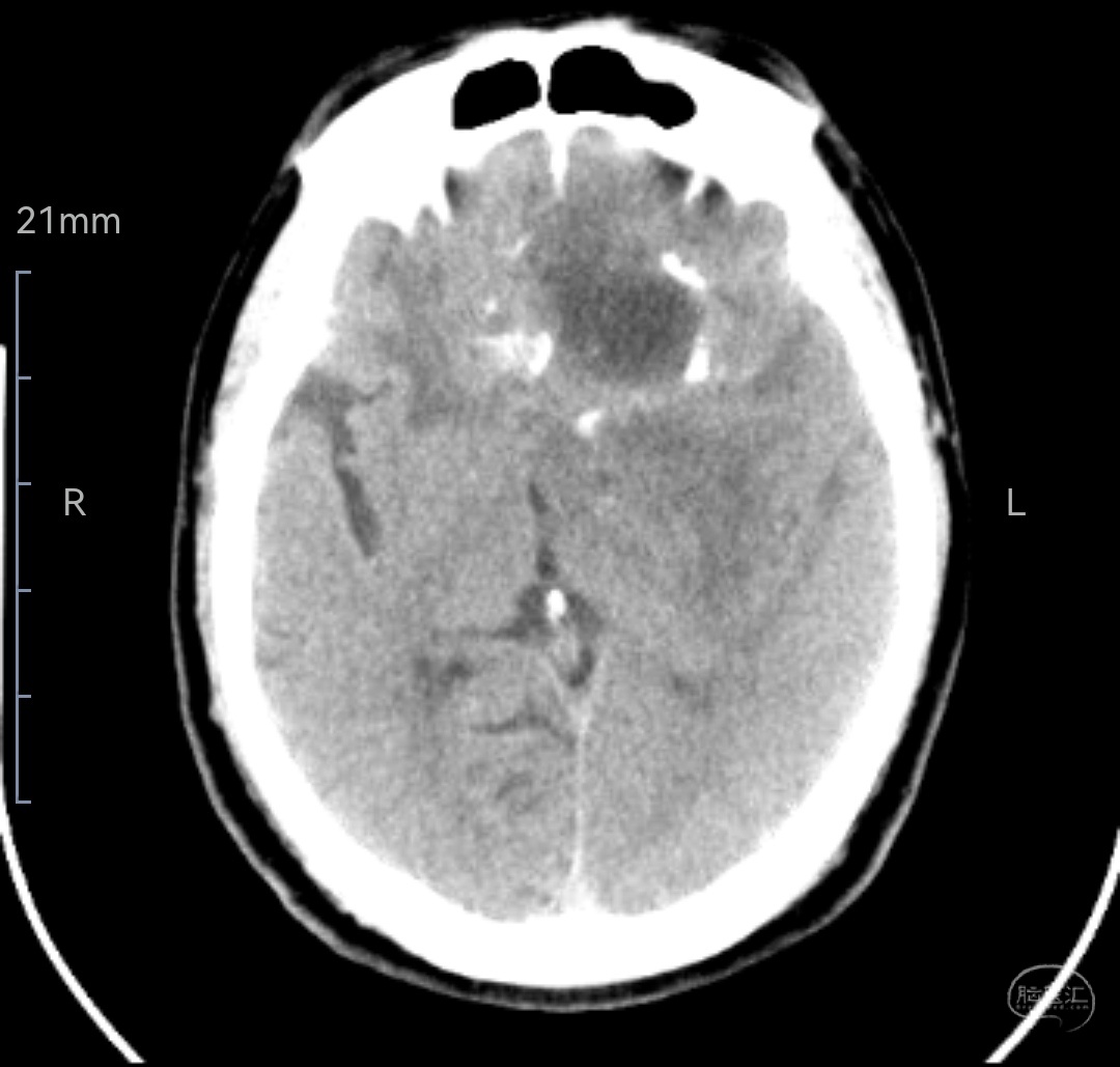
CT示肿瘤混杂密度,伴有局部钙化及囊变

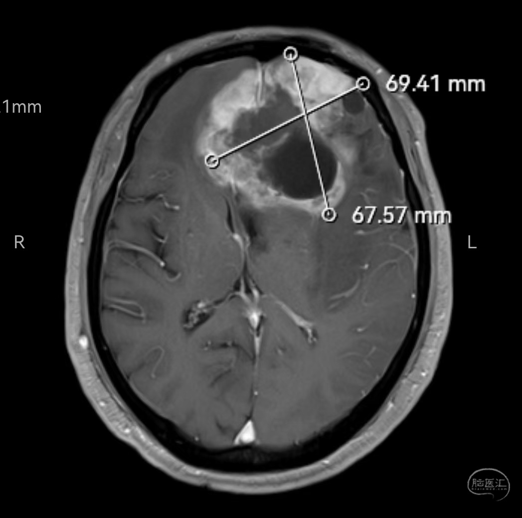
MRI增强轴位示肿瘤明显强化,位于双侧额叶,左侧为主,已侵犯至胼胝体嘴、膝部及左侧颞岛叶。肿瘤最大直径7厘米

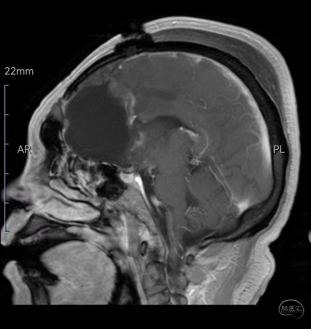
MRI增强矢状位示肿瘤明显强化,侵犯压迫至胼胝体嘴、膝部

MRI增强冠状位示肿瘤明显强化,位于双侧额叶,左侧为主

术中见肿瘤质地异常坚韧,普通显微剪刀不能切除,安全部位瘤内减压时,予电切或组织剪分块切除

MRIT2相轴位示肿瘤全切除

MRIT2相矢状位示肿瘤全切除

MRI增强轴位示肿瘤全切除

MRI增强矢状位示肿瘤全切除,毗邻脑组织保护满意

MRI增强冠状位示肿瘤全切除,脑组织保护佳

术后病理示:胶质肉瘤
胶质肉瘤
胶质母细胞瘤是成人较常见的原发性恶性脑肿瘤,约占脑肿瘤的50%。胶质肉瘤是胶质母细胞瘤的一种变异体,是一种罕见的中枢神经系统恶性肿瘤,约占胶质母细胞瘤的1.8~8.0%,中年男性多发,男女比例2:1。是一种起源于胶质细胞的恶性肿瘤,其以双 相成分为特征:胶质瘤性和肉瘤性。胶质肉瘤进一步分为原发性和继发性2种, 一般来说原发性是新生的,而继发性则被认为是胶质母细胞瘤的复发或进展,或由放疗引发。在临床实践中,胶质肉瘤和胶质母细胞瘤的治疗是相似的,但众多研究表明,这两者治疗结果是不同的,Han等报道胶质肉瘤的总生存期为6-14.8 月。由于病例稀少,目前关于 GSM 的研究仍然很少, 将来需要更多的病例研究。
胶质肉瘤生物学特征
病理特征和转移
目前已确定2 种胶质肉瘤亚型:以肉瘤成分为主的胶质肉瘤与脑膜瘤相似,产生网状蛋白,缺乏神经胶质纤维酸性蛋白;以胶质瘤为主的胶质肉瘤病理检查表现为坏死、网状蛋白缺乏以及神经胶质纤维酸性蛋白表达阳性。有研究发现,肉瘤亚型的总生存期更好,可能与该亚型的总体手术切除成功率较高有关。因为肉瘤性胶质肉瘤在位置和界限上与脑膜瘤相似,根治性手术切除更容易实现。而胶质瘤性胶质肉瘤发生在脑实质内,手术全切除难度更高。
无法手术切除时,由于肉瘤性胶质肉瘤其对烷基化疗药物的耐药性,其与胶质亚型胶质肉瘤相比预后较差。另外,胶质瘤性胶质肉瘤很少转移到颅外和弥散到脑脊液,而肉瘤性胶质肉瘤则显示高转移倾向。
影像学特征
在影像学上,CT和MRI显示胶质肉瘤为不规则肿块,外壁光滑,与周围脑实质界限清楚,周围水肿明显。此外,胶质肉瘤更常发生于颞叶,在大体形态上与脑膜瘤相似。Han等发现,胶质肉瘤一般为较大病变,在T1加权图像上呈低信号,在T2加权图像上呈高信号,表现为坏死和中央钙化区(以不均一增强为特征),周围或不规则强化和中线结构移位。MRS则显示胆碱(Cho)波峰,正常的肌酐(Cr)和低的乙酰天冬氨酸(NAA)。
治疗方法
1.手术切除
随着胶质肉瘤切除范围的扩大,总生存期大大提高。同样,多因素分析显示,在胶质肉瘤中手术全切除是一个独立的预后因素。其他研究也证实,根治性切除联合放疗对胶质肉瘤患者有良好的预后。
由于胶质肉瘤病例数少,限制了研究,使得手术切除率和总生存期之间的相关性不显著。Cachia 等报道,接受全切除术的患者比接受次全切除术的患者有更高的总生存期
2.联合治疗
目前指南建议胶质肉瘤治疗采用最大限度的安全手术切除、放疗和同步/辅助替莫唑胺化疗。在 Castelli等研究中,75 例胶质肉瘤患者接受了手术、替莫唑胺化疗和放疗联合治疗,12%的患者达到了2年的总生存期,中位总生存期为13 个月。胶质肉瘤的预后一般较差,但联合治疗似乎延长了生存期。在 Salvati等的一项研究中,治疗方法为全脑放疗+TMZ 化疗,尽管治疗结果不显 著,但TMZ化疗似乎增加了放疗对总生存期的改善,仍提示辅助替莫唑胺化疗的患者可能比单纯手术和放疗治疗的患者有更长的总生存期。
作者简介
罗正祥 教授
南京脑科医院
医学博士,副主任医师,中共党员,南京地区第六届“十佳医生”,江苏省援藏医疗专家,南京市卫健委优秀共产党员,脱贫攻坚突出贡献南京市委记功一次。
科研上:熟练掌握神经外科专业各种疾患诊断治疗,独立发表SCI11篇及中文核心论文12篇,省市级科研立项5项,获南京市卫生局新技术引进奖1项,主编科普书籍2本,参编专著1本,实用新型专利3项,为南京市十三五第二层次、十二五第三层次卫生青年人才,南京脑科医院十三五培养对象。
专业上:熟练掌握神经外科专业各种疾患诊断治疗,擅长颅内各种肿瘤、功能神经外科(舌咽神经痛、三叉神经痛、面肌痉挛、脑积水)、颅骨缺损、脑出血、脑外伤、脑血管病等各种疾病的诊断与外科微创治疗。