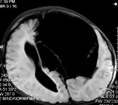
男,5周,囊肿-腹腔分流术

3个月后

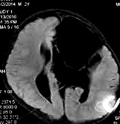
22个月后,内镜下造瘘术,泵压力逐步调高

造瘘术后3个月

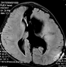
7岁 小学一年级,成绩较差、余无神经功能障碍


脑组织形态发育接近正常
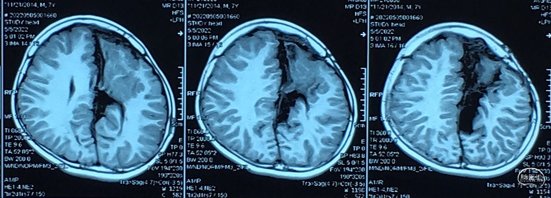
但是,7岁某一天开始,间断头痛伴呕吐:
“颅内囊肿分流术后7年、间断剧烈头痛伴呕吐一月余”

诊断、处理???
1、分流管依赖(裂隙脑室)综合征。
2、病因:复张(发育)脑组织顺应性降低。
3、颅内压往往显著升高、间断剧烈头痛。
4、脑表面蛛网膜下腔间隙小、无法分流CSF。
5、腰大池腹腔分流术:多数病例可以缓解症状。
我们曾经通过分流管头端调整方法缓解症状:

2022-6-17行颅内压监测置入术+囊肿腹腔头端探查调整

颅内压最高可达60-100cmH2O 再次行双侧颞肌下减压术! 颅内压降低:10-20cmH2O
病史特点小结
1
年龄小、婴儿期,因为颅内巨大囊肿行分流手术。
2
囊肿缩小后呈现多囊,内镜造瘘后逐渐上调分流开放压。
3
术后7年,脑组织充分发育、形态接近正常。
4
出现分流管依赖、剧烈头痛(脑顺应性降低)。
5
予以腰大池腹腔分流后症状短暂缓解后复发。
6
颅内压检测压力高、可达100cmH2O以上。
7
再次行双侧颞肌下减压,症状缓解,颅内压监测正常。
蛛网膜囊肿:背景
1
“蛛网膜内的浆液性囊肿”:1831年,Bright
2
流行病学:
0.2-1.7 % 成人
1.3-2.6% 儿童
约 1% 颅内占位
3
多儿童期发现,产前诊断(也有老年)
4
70% 幕上; 1/3 颞极(外侧裂)
5
男性多于女性;左侧多于右侧。
6
偶然发现、可巨大生长无症状。
自然病程和症状
1
自然病程
稳定:占绝大多数
增大:尤其是 <2岁
破裂:轻微或无外伤史
出血:轻微或无外伤史
消失或缩小:罕见
2
症状
头痛、头晕、癫痫,颅内压增高,
头围增大或头颅畸形,
发育迟缓,易激惹,
神经精神或内分泌症状
目前存在的争议:
1
发病机制:
单向活瓣
渗透压梯度
分泌性囊壁膜
脑积水顿挫型
脑脊液动力异常
2
手术指征:
巨大无症状的
进行性增大但无症状
非特异性症状(病因)
1
手术方式:
造瘘、囊肿切除
分流术、造瘘+分流术
我们经验和发表文章:
1

2

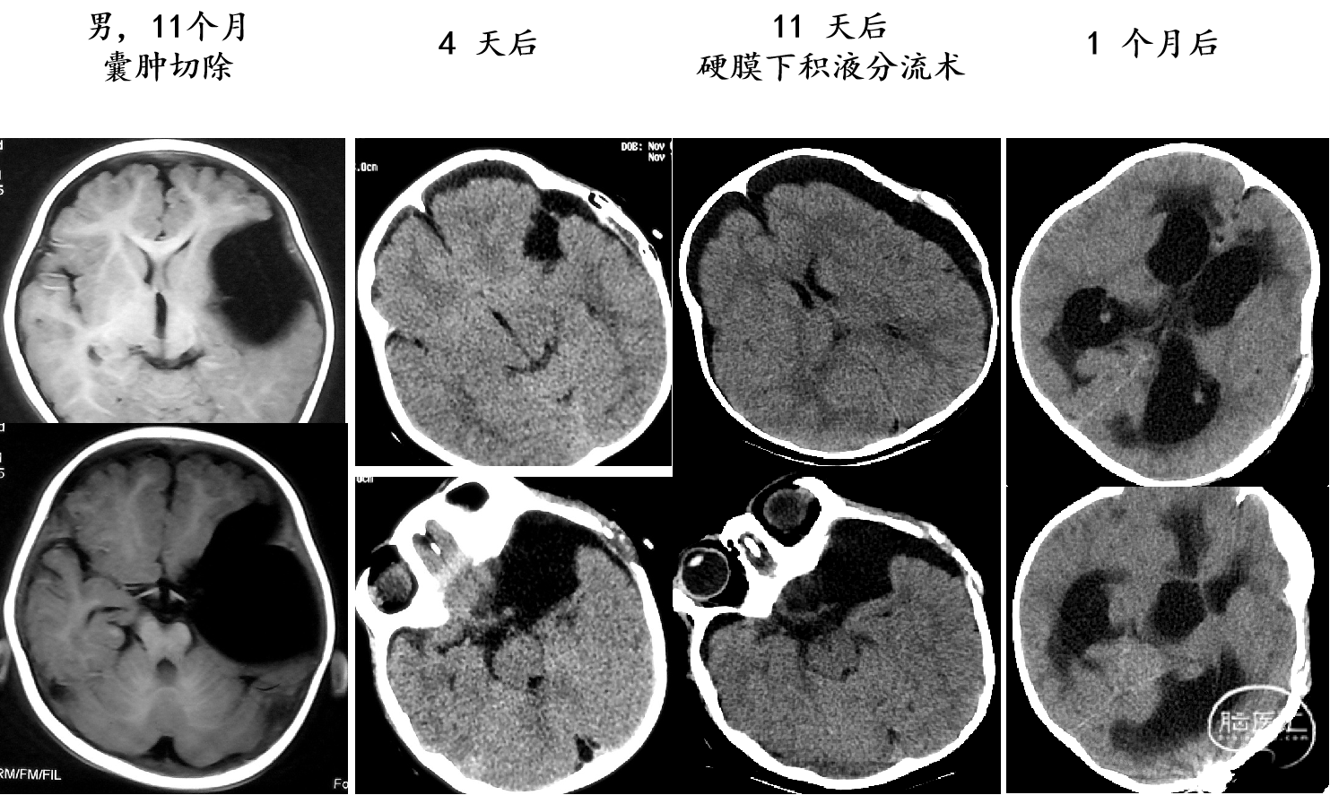
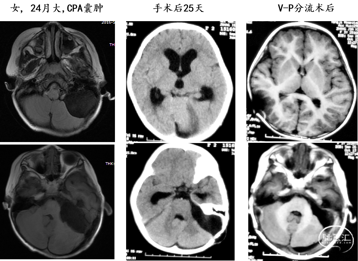
2岁以下囊肿切除/造瘘术后出现积液(Hg)/积水(Hc)

囊肿切除术后出现积液/积水


婴儿巨大囊肿:我们建议囊肿腹腔分流术(可调压分流管)需密切随访分流管依赖综合征可能

作者简介
万锋 教授
广东省人民医院
广东省人民医院神经外科,学科带头人,教授、主任医师,博士研究生导师、博士后合作导师。
欧美同学会医师协会神经肿瘤分会秘书长兼副主任委员;
中国医师协会脑胶质瘤专委会基础研究与转化专委会副主任委员;
中华医学会小儿神经外科全国委员;
中国胶质瘤协作组委员、中国医师协会脑胶质瘤专业委员会委员;
中国临床肿瘤学会神经系统肿瘤专家委员会委员;
中国儿童肿瘤精准诊疗协作组副组长;
湖北省临床肿瘤学会胶质瘤专委会常委;
国家自然科学金评委、教育部回国留学启动基金评审专家。
德国海德堡大学神经外科博士后,瑞士苏黎世大学神经外科、德国汉诺威国际神经科学研究所、柏林Charity医院神经外科访问学者,美国Barrow Neurological Institute 访问学者。Frontiers in Oncology(IF6.244)专题客座主编。
第一作者或通讯作者SCI文章21篇,总影响因子80余,2016年ESI检索 “高被引论文”,他引600余次。
点击或扫描上方二维码,前往万锋 教授学术主页
查看更多精彩内容
点击或扫描上方二维码,查看更多“小儿”内容







