2020年
Atlas开环小径支架全新上市
“革新输送,智能贴壁”
开启了辅助支架的新纪元
术者使用经验分享
实战与理论相结合
Atlas病例集锦开启
部位:
术式:
特点:
Case1:Y型支架辅助栓塞左侧MCA分叉部未破裂动脉瘤
患者基本信息
基本信息:女性,66岁。
主诉:间断头晕23天,发现颅内动脉瘤22天。
既往史:高血压病史20余年,规律服药控制可。
查体:神清,语利,颈软,双侧瞳孔等大等圆,d=2.5mm,对光反射灵敏,双侧面纹对称,感觉对称,伸舌居中,四肢肌力V级。NHISS:0分,mRS:0分,GCS评分:15分。
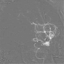
术前影像
术前影像:术前正侧位。


术前影像:术前工作位。


三维重建:显示左侧MCA分叉部未破裂动脉瘤,约8.2mm*8.6mmm,瘤颈3.8mm,顶端有子瘤。




手术器械
超滑导丝、交换导丝(0.014” Synchro导丝 200cm)
6F NEUROMAX长鞘
5F MPA导管
6F 中间导管
Echelon-10 微导管
Excelsior SL-10 微导管×2
3.0mm*21mm Neuroform Atlas支架(2枚)
弹簧圈:Microplex(5mm*15cm、4mm*12cm、4mm*10cm),Prime(3mm*8cm、3mm*6cm、2mm*8cm、2mm*8cm、1mm*3cm、1mm*3cm、1mm*4cm),Target Nano 1mm*3cm
手术过程
通路建立:穿刺股动脉置入5F短鞘行全脑血管造影术后,置换6F NEUROMAX长鞘,超滑导丝引导5F MPA导管将6F NEUROMAX长鞘置于颈内动脉C1段远端,造影确认工作位,0.014”Synchro微导丝结合SL-10微导管引导6F中间导管置于颈内动脉C7段。
考虑上干成反角发出,Synchro微导丝瘤内成袢后导引SL-10微导管进入MCA上干远端备用,Synchro微导丝导引另一根SL-10进入MCA下干远端备用(预备万一钻网眼Y形支架失败则使用此微导管成T形双支架栓塞),Synchro微导丝导引Echelon-10微导管进入瘤腔内备用。




造影定位满意后经上干SL-10先释放第一枚3.0mm*21mm Atlas支架,之后使用该微导管钻网眼进入下干,随即撤出下干预置SL-10微导管进入瘤腔备栓塞用,再经过下干SL-10微导管释放第二枚3.0mm*21mm Atlas支架,形成Y形支架辅助栓塞。




弹簧圈栓塞:通过Echelon-10微导管依次送入弹簧圈多枚,栓塞至效果满意。


复查标准正侧位造影,右侧ICA、MCA、ACA主干及分支良好,动脉瘤栓塞满意。


Case2:Y型支架辅助栓塞右侧MCA分叉部未破裂动脉瘤
患者基本信息
基本信息:女性,69岁。
主诉:发现颅内动脉瘤7天。
既往史:高血压病史30余年,高血脂病史30余年,规律服药控制可。
查体:神清,语利,颈软,双侧瞳孔等大等圆,d=2.5mm,对光反射灵敏,双侧面纹对称,感觉对称,伸舌居中,四肢肌力V级。NHISS:0分,mRS:0分,GCS评分:15分。
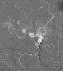
术前影像
术前影像学检查:术前正侧位。


术前工作位与三维重建:显示右侧MCA分叉部未破裂动脉瘤,6.9mm*7.2mm,瘤颈7.4mm。该病例之困难在于M1迂曲成袢。


手术器械
超滑导丝、交换导丝(0.014” Synchro导丝 200cm)
6F NEUROMAX长鞘
5F MPA导管
6F 中间导管
Echelon-10 微导管
Excelsior SL-10微导管(2枚)
3.0mm*21mm Neuroform Atlas支架(2枚)
弹簧圈:Target 5mm*15cm(1枚)、Target 2mm*6cm(3枚)、Target 2mm*4cm(2枚)、Target 1.5mm*4cm(1枚)、Prime(4mm*12cm、3mm*8cm、2mm*6cm)、MicroPlex(4mm*10cm、2mm*4cm、1.5mm*4cm)
术中操作
通路建立:置换6F长鞘,导丝引导5F MPA导引导管及6F中间导管进入左侧C1段,造影确认工作位,Synchro导丝引导下带入SL-10进入远处MCA上干,Synchro导丝引导下带入SL-10进入动脉瘤腔备栓塞用

选定工作位后,跨动脉瘤释放3.0mm*21mm Atlas支架一枚,复查满意、形态良好,再次利用Synchro导丝引导下带入SL-10进入MCA下干,定位满意后释放3.0mm*21mm Atlas支架支架一枚,形成Y形支架辅助栓塞。然后经动脉瘤腔内预置栓塞微导管,依次送入弹簧圈,填塞动脉瘤腔。

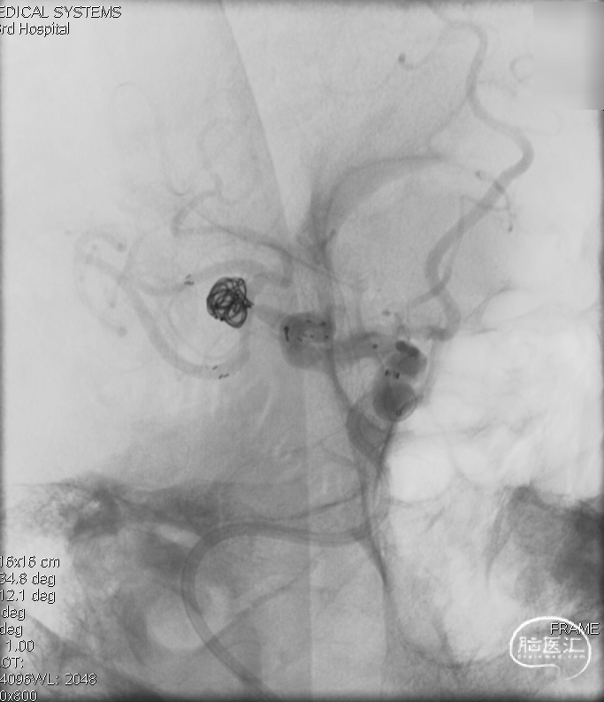
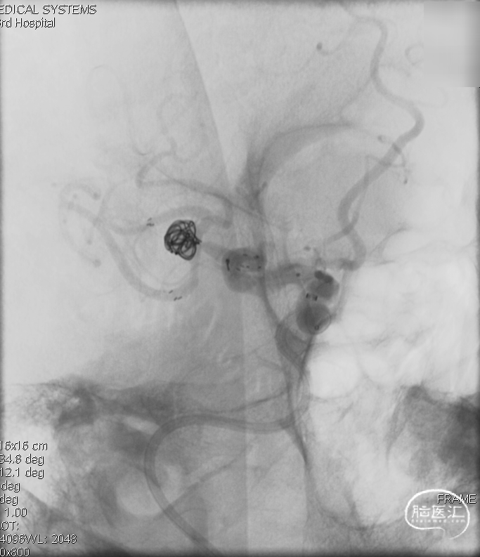
术后影像
复查标准正侧位造影, ICA、MCA、ACA主干及远端分支良好,动脉瘤栓塞满意。


术后工作位+侧位造影


术后正侧位透视
术后三维重建,支架贴壁良好,动脉瘤完全栓塞。


术者体会
Atlas的开环设计,使得穿网孔更加容易,并且拥有独特的穹窿效应,不担心穿不过去或打不开,既可以单支架使用穹窿效应,也可以双支架做Y型技术。
贴壁性好,金属覆盖率低,一定程度上可以降低Y型支架植入后血栓并发症的风险。
双Atlas做Y型支架,术式更安全,更简单!
术者介绍
韩金涛
北京大学第三医院
临床外科博士,北医三院脑血管病中心副主任,介入血管外科脑血管病专业组组长。专业方向为脑血管病介入、开放及复合手术。擅长颅外及颅内动脉支架成形、颈动脉、椎动脉内膜剥脱及旁路术、颈动脉及椎动脉复合手术、颅内动脉瘤及脑血管畸形栓塞以及急性脑梗塞机械取栓等。任中华放射学分会介入学组青年委员,北京医学会介入医学分会委员、复合手术学组委员,北京医学会神经外科分会神经介入学组委员及中国医师协会血管外科医师分会颈动脉学组委员。

点击或扫描上方二维码
查看更多“介入”内容