
2020年
Atlas开环小径支架全新上市
“革新输送,智能贴壁”
开启了辅助支架的新纪元
术者使用经验分享
实战与理论相结合
Atlas病例集锦开启
部位:
术式:
特点:
Case1:Atlas支架辅助栓塞左侧大脑后动脉P2段破裂动脉瘤
患者基本信息
基本信息:男性,52岁。
既往史:高血压病史数年,未正规治疗。
查体:清醒GCS15分,Hunt-Hess分级1级,颈阻(++),四肢肌力5级。
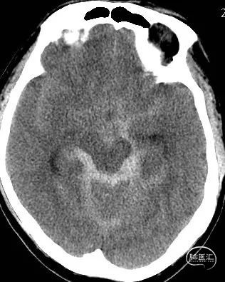
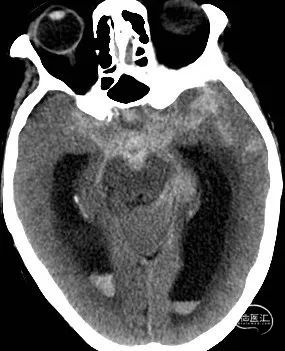
影像检查:CT提示广泛蛛网膜下腔出血(环池、四叠体池、桥前池、桥小脑角、三脑室),Fisher分级2级。CTA提示左侧大脑后动脉P2段动脉瘤,大小约2.3mm*1.3mm,颈宽约2.3mm。
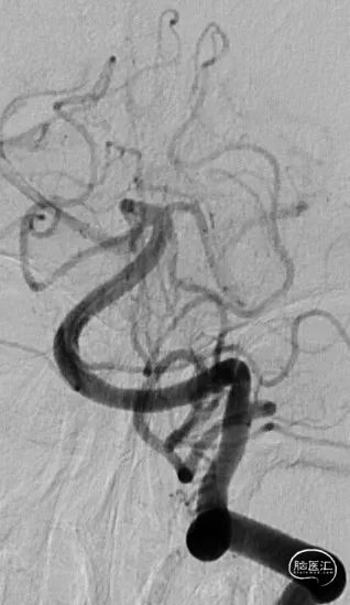
DSA结果:左侧P2段动脉瘤,约1mm*0.8 mm,颈宽约0.8mm,形态不规则。
术前用药情况:尼莫地平20mg/天持续泵入;氨甲环酸100ml静滴 bid。
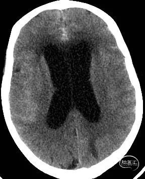
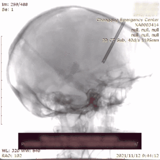
术前影像
术前CT



术前影像DSA、DSA 3D









治疗思路
该病例为左侧大脑后动脉P2段微小宽颈动脉瘤,动脉瘤体直径仅0.9mm,载瘤动脉近端血管直径约1.7mm,远端血管直径约1.1mm,且双侧椎动脉均扭曲明显,但左侧后交通动脉粗大,考虑通过左侧后交通动脉为治疗路径,路途遥远,后交通的成角使得微导丝、微导管的操控存在一定难度;由于动脉瘤体小,因此微导管顺利进入动脉瘤腔内并保证安全是手术的关健点;支架微导管系统成功超选进入P3段远端也是手术成功的关键,对于支架的输送性和贴壁性要求极高。
Neuroform Atlas支架全尺寸仅需要通过0.0165或0.017英寸的微导管输送即可,通过性佳,并且其独有的杂合环设计,具备很好的贴壁性能,因此,我们辅助支架选取了3.0mm*15mm Atlas支架。
手术器械
6F 90cm导引导管
SL-10微导管2根
Synchro微导丝
6F 中间导管
3.0mm*15mm Neuroform Atlas支架
Target系列弹簧圈1mm*1cm 2D
手术过程
全麻后左侧颈内动脉近端置入6F导引导管, Synchro 0.014" 200cm微导丝引导SL-10微导管(支架导管)跨过动脉瘤放置到位,头端位于P3段;微导丝+ SL-10微导管塑形后,先跨过动脉瘤,然后回撤微导管,靠微导管的预塑形顺利进入瘤腔,防止微导管刺破动脉瘤;选择1mm*1cm 2D弹簧圈进行栓塞。

送入3.0mm*15mmNeuroform Atlas支架并释放,头端位于P3段,尾端位于P2段,释放后Atlas支架的Mark点显影良好。观察10分钟,P2段及远端血流仍通畅,未见血栓形成,遂结束手术。


术后即刻影像
治疗后工作位减影造影显示动脉瘤栓塞满意,载瘤动脉血流通畅。


术后CT提示支架打开良好。


术后治疗
术后替罗非班氯化钠注射液泵入,桥接负荷剂量阿司匹林300mg/氯吡格雷300mg,阿司匹林100mg/氯吡格雷75mg维持。后康复出院。
Case2:Atlas支架辅助栓塞右侧颈内动脉交通段动脉瘤
患者基本信息
基本信息:女性,78岁。
既往史:高血压、冠心病病史数年,长期口服阿司匹林、氯吡格雷治疗。
查体:嗜睡,GCS14分,Hunt-Hess分级2级,颈阻(++),四肢肌力5级。
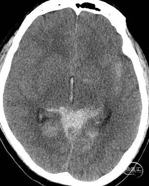
影像检查:CT提示广泛蛛网膜下腔出血(环池、鞍上池、桥前池、侧裂池、侧脑室),Fisher分级3级。CTA提示右侧颈内动脉交通段动脉瘤。
DSA结果:右侧颈内动脉后交通段动脉瘤, 7.2mm*6.7mm*5.7mm,瘤体上多个小子囊,载瘤动脉异常扭曲及不规则狭窄,直径约4.2mm。
术前用药情况:尼莫地平20mg/天持续泵入;氨甲环酸100ml静滴 bid。
术前行侧脑室外引流缓解脑积水。
术前影像
术前CT



术前DSA、DSA 3D









治疗思路
该病例为右侧后交通段绝对宽颈动脉瘤,动脉瘤体7.2mm*6.7mm*5.7mm,瘤体上多个小子囊,载瘤动脉异常扭曲,直径约4.2mm,工作角度难以选择;另外患者高龄,颈内动脉扭曲且不规则狭窄,因此对支架导管的输送性和支架的贴壁性要求较高。且患者动脉瘤存在多个小子囊,填塞后子囊不显影才能降低再出血风险。手术策略是三导管技术(两根弹簧圈微导管分别放入子囊和大的瘤腔、一根支架导管)。
Neuroform Atlas支架仅需要通过0.0165或0.017英寸的微导管输送即可,通过性佳,并且由于其独有的杂合环设计,具备很好的贴壁性能;已有临床文献报道,以往难处理的未破裂宽颈动脉瘤,如载瘤动脉细小、伴随近端狭窄或者路径十分迂曲,使用Atlas穿网孔技术成功率100%,术后完全闭塞率高,Atlas支架单系统(5F Guider或者中间导管),是实用的选择,因此,我们辅助支架选取了4.5mm*30mm Atlas支架。
手术器械
6F 90cm导引导管
SL-10微导管2根
Enchelon-10微导管
Synchro微导丝
4.5mm*30mm Neuroform Atlas支架
Target系列弹簧圈
ES弹簧圈
手术过程
全麻后患者血压偏低,需升压药物维持,由于三系统操作更为复杂,遂决定进行双系统治疗。右侧颈内动脉近端置入6F导引导管, Synchro 0.014" 200cm微导丝引导SL-10微导管(支架导管)跨过动脉瘤放置到位,头端位于M2段;微导丝+ SL-10微导管塑形后,先跨过动脉瘤,然后回撤微导管,靠微导管的预塑形顺利进入瘤腔,防止微导管刺破动脉瘤。先使用Target 6mm*30cm尝试成篮。


动脉瘤为绝对宽颈,弹簧圈无法成篮,先半释放4.5mm*30mm Neuroform Atlas支架覆盖部分瘤颈,但弹簧圈仍突出于载瘤动脉,完全释放支架。头端位于颈内动脉末段,尾端位于眼段,支架顺利释放,Mark点显影良好。
放置Target 6mm*30cm和Target 4mm*15cm进行填塞,后期微导管位置不理想,弹簧圈反复被顶入载瘤动脉,通过支架网孔再次放置微导管。穿网孔后再相继填入Target 2mm*6cm、ES 2mm*6cm、ES 1.5mm*4cm
术后即刻影像
治疗后工作位减影造影显示动脉瘤致密栓塞,子囊未显影载瘤动脉血流通畅。




术后治疗
术后替罗非班氯化钠注射液泵入,桥接负荷剂量阿司匹林300mg/氯吡格雷300mg,阿司匹林100mg/氯吡格雷75mg维持。
目前患者脑积水明显,正积极准备行腰大池-腹腔分流术
术者体会
病例1为左侧大脑后动脉P2段破裂动脉瘤,动脉瘤颈宽,载瘤血管直径小(近端1.7mm、远端1.1mm),路径遥远;病例2为后交通宽颈动脉瘤,载瘤动脉异常扭曲及不规则狭窄。支架及导管系统的输送性能、打开性能、贴壁性以及安全性能是两例手术成功的关键。
弹簧圈微导管的合理预塑形可保证微导管进入瘤腔及填塞弹簧圈的安全性;
Atlas全尺寸可以通过0.0165或0.017英寸的微导管输送,在远端细小血管中通过性能较高。
Atlas良好的径向支撑力,可以确保在小血管内的顺利打开和贴壁。
Atlas独有的杂合环设计,保证了在扭曲血管和不规则狭窄血管的贴壁性;
对于载瘤动脉细小、伴随不规则狭窄或者路径迂曲的病例,小输送系统支架是首选。
术者介绍
张清涛
重庆大学附属中心医院
(重庆市急救医疗中心)
神经外科神经介入亚专业组组长;重庆市卒中学会青年理事会第一届青年理事会理事;重庆市卒中学会脑血管介入及急诊介入分会第一届分会委员;在宣武医院、长海医院、新桥医院、重医附二院等国内知名脑血管疾病中心学习;长期从事脑血管疾病的临床和科研工作,尤其擅长于脑血管病的介入治疗,开展颅内动脉瘤、脑血管畸形、脊髓血管病,以及急慢性脑缺血性疾病的介入治疗;参与重庆市级科研两项,发表学术论文多篇。
点击或扫描上方二维码
查看更多“介入”内容







