
2020年
Atlas开环小径支架全新上市
“革新输送,智能贴壁”
开启了辅助支架的新纪元
术者使用经验分享
实战与理论相结合
Atlas病例集锦开启
部位:
术式:
特点:
Case1:Atlas构建“Y”支架辅助栓塞A4段动脉瘤(支架保护分支动脉)
患者基本信息
患者女性,66岁,“感头痛、晕2周,检查发现颅内动脉瘤5天”入院。
查体:神志清楚,言语清,双瞳(-),四肢肌力、肌张力正常,余(-)。
既往史:高血压病史,规律服药,血压控制稳定。
诊断:1.右侧大脑前动脉A4段动脉瘤。2.高血压病。
术前用药情况:双抗药物术前准备。
术前影像
外院CTA:


DSA:




DSA瘤体大小约6mm×8mm,分支直径分别为1.8mm、1.8mm、1.6mm。



治疗思路
术前讨论:
右侧A4段分叉部,累及远端两分支动脉;
两分支均需保护,单支架辅助保护另一分支难度大;
“Y”型支架辅助栓塞。
策略:
Rebar-18植入下分支释放Solitaire 4*20mm支架不解脱;
SL-10穿网孔植入上分支,解脱Solitaire支架,撤出Rebar-18;
Echelon-10穿网孔植入瘤腔,填塞一枚弹簧圈;
经SL-10输送Atlas 3×21mm支架并释放;
继续填塞弹簧圈至栓塞满意。
手术器械
导引导管:Codman Envoy 6F;
导丝:Synchro-14(0.014in×200cm);
微导管:Rebar-18、SL-10 150cm/6cm、Echelon-10 150cm;
支架:Neuroform Atlas 3×21mm、Solitaire 4×20mm;
弹簧圈:Axium 5mm×15cm、2mm×8cm、2mm×6cm
手术过程
释放Solitaire 4×20mm支架不解脱。

SL-10穿网孔至远端

穿网孔植入SL-10


解脱Solitaire支架,撤出Rebar-18,Echelon-10植入瘤腔。


微导管在导丝导引下跨前交通。


Atlas释放(如下动态影像)。

继续填塞满意,撤出系统。


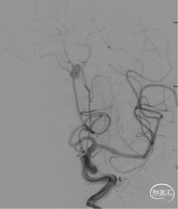
术后影像
术后角度造影(如下动态影像)。

术后正侧位(如下动态影像)。


术后CT:

Case2:跨循环途径Atlas支架辅助栓塞颅内多发动脉瘤
患者基本信息
患者女性,33岁,因“头疼1周,发现颅内动脉瘤4天”入院。
查体:神志清楚,对答清,双瞳(-),四肢肌力、肌张力正常,余(-)。
既往史:无特殊病史。
诊断:1.左侧大脑前动脉A1段动脉瘤。2.右侧颈内动脉眼段动脉瘤。
术前用药情况:双抗药物术前准备。
术前影像
DSA(如下动态影像)。


DSA右侧眼段动脉瘤约4.4mm×4.5mm,左侧A1段动脉瘤约2.7mm×3.0mm。




术前讨论及手术策略
方案一:双侧穿刺,先栓塞左侧A1段动脉瘤,再栓塞右侧眼段动脉瘤;同侧进支架及栓塞微导管,相互干扰大,双侧进微导管,减少干扰。
方案二:右侧支架导管跨ACom-左M1,于左侧A1-M1放置支架,左侧栓塞导管至A1段瘤腔栓塞;
前交通通畅、Atlas通过性好;
支架可以横行释放在左侧M1段至左侧A1段,更有利于支架展开。
问题:栓塞微导管塑形困难,可能植入瘤腔困难。
方案三:A1段动脉瘤顺利栓塞后支架导管可留置原位或退至右侧A1段,再次输送支架辅助右侧眼段动脉瘤栓塞。
手术器械
导引导管:Codman Envoy 6F 两枚
微导管:SL-10、XT-17
支架:Neuroform Atlas 3.0mm×21mm(左侧)、4.0mm×21mm(右侧)
微导丝:Synchro-14 (0.014in×200cm)
弹簧圈:Target HELICAL ULTRA 4mm×15cm 两枚、3mm×8cm 两枚、2mm×6cm 两枚、2mm×4cm 、Target 360 Coil Ultra 5mm×15cm
封堵器:Abbott Perclose ProGlide 6F 2.0mm 两枚
手术过程
XT-17植入A1段动脉瘤困难、不稳定。


更换方案,微导管角色互换(如下动态影像)。




A1段动脉瘤栓塞完毕。


SL-10留置原位,XT-17重新塑形植入右侧眼动脉段瘤腔填塞。




术后影像
Atlas释放及术后造影。(如下动态影像)


术后CT:

手术回顾
原计划:右侧SL-10跨过AComA,拟将支架输送至左侧A1-M1,左侧XT-17输送弹簧圈,填塞同侧A1段动脉瘤。

实际方案:XT-17超选困难、极不稳定,右侧SL-10改做栓塞导管,跨AComA,植入左侧A1动脉瘤腔,左侧XT-17微导管,改作支架导管,输送Atlas释放至左侧A1-ICA。

右侧方案:右侧SL-10留置左侧A1段,予输送Atlas辅助栓塞右C6段动脉瘤。左侧XT-17重塑形,植入右侧C6段动脉瘤腔栓塞。

术者体会
A4段动脉瘤累及远端两分支血管,瘤体呈梭形,三个开口距离较大,分支血管均为小口径,单支架辅助栓塞动脉瘤存在另一分支无法保护可能,而“Y”型支架构建,对支架导管的操控性有很大挑战。Atlas支架于SL-10或XT-17微导管即可输送,通过性好、可精准定位、贴壁佳,很好的解决了这一难题,提高了手术的安全性。
A1段动脉瘤是介入治疗的难点,微导管难以超选、不稳定,支架辅助栓塞时双轴系统相互干涉,增加了手术操控难度。前交通的开放,“迂回战术”不失为一种更好的选择,随后依据术中情况,微导管及时角色互换,使手术能顺利、有效进行,当然术者经验与操控技巧至关重要。
宽颈眼段动脉瘤避免复发的关键在于瘤颈的处理,相对大圈技术结合Atlas支架穹隆技术,更好的处理了瘤颈区猫耳朵残留问题,保证了远期效果及治愈性栓塞。
术者介绍
张庆荣
南京大学医学院附属鼓楼医院
点击或扫描上方二维码
查看更多“介入”内容







