儿童的颅内肿瘤尤其是四脑室肿瘤,松果体区肿瘤等早期即可起脑脊液循环障碍,导致慢性高颅压,出现头痛头晕,伴有恶心呕吐,由于儿童常常对头痛头晕症状表述不清楚,早期易被家长忽视,容易被误诊为胃肠炎,或者感冒,直到找到病因后追述病史时,家长才回忆起患儿有过头痛头晕表现。有的疾病进展缓慢,反复不明原因呕吐,甚至做了胃肠镜也未找到原因,直到颅内压增高明显,出现意识变化,或者显著头痛,做了头颅ct才发现颅内肿瘤。近日笔者接诊一例来自河南息县的8岁男童,就是早期被诊断为胃肠炎,实际为颅内肿瘤--松果体区肿瘤伴梗阻性脑积水引起。
8岁男童,河南息县人,头痛头晕伴恶心呕吐10天,当地医院开始按“胃肠炎”,对症处理未见明显缓解,头晕加重,查头颅CT发现颅内肿瘤伴梗阻性脑积水,经亲友通过医生朋友联系笔者,于2022年11月8日连夜急诊来我院。入院查体精神萎靡,头晕明显,呕吐,视力下降,随时脑疝死亡!
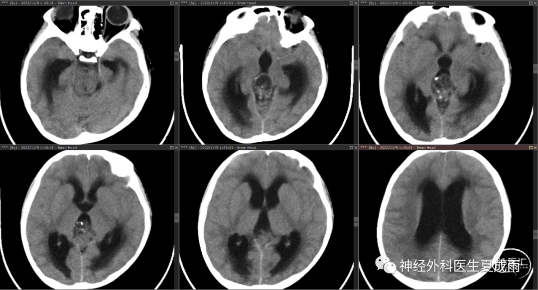
头颅CT⏬
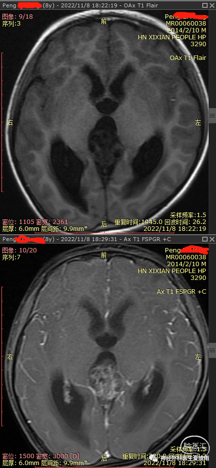
外院磁共振⏬
术前AFP高⏬
根据术前影像有钙化,强化不均匀,无尿崩,以及血清AFP增高,考虑为非生殖细胞瘤的生殖细胞肿瘤,建议首选行肿瘤切除术。
因为患儿来自河南息县,按当时合肥市疫情防控政策,需要集中隔离7天,患儿梗阻性脑积水,随时可病情恶化死亡,合肥市三家黄码医院均无救治能力,请示领导后予以收住。因为急诊切除肿瘤需要在防护条件下手术,而此类手术操作精细,风险高,防护条件下显著增加手术操作困难,风险骤增,遂决定先行Ommaya囊植入+脑室外引流,暂时缓解脑积水引起的高颅压救命,等潜在新冠感染风险期过后再行肿瘤切除术。
2022年11-17在全麻下行完全无牵开器技术下Poppen入路松果体区肿瘤切除术+三脑室底部造瘘术,手术顺利,肿瘤全切。
见包膜完整囊实性肿瘤⏬
肿瘤全切后见三脑室壁⏬
作三脑室底造瘘口⏬
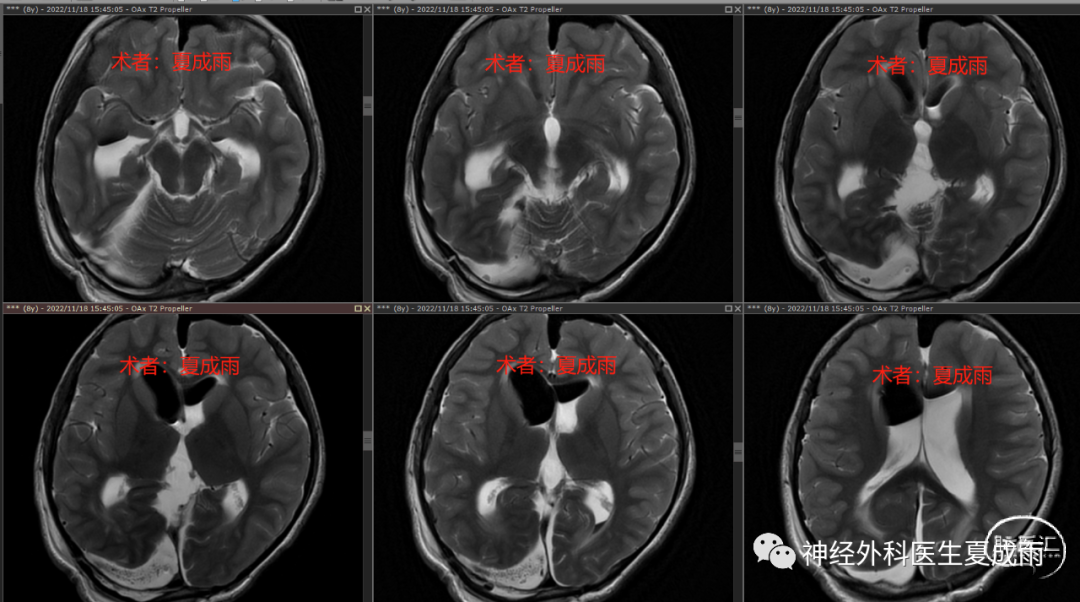
术前及术后24h磁共振对比⏬

术后24h磁共振T2⏬
(未见明显脑挫伤)
术后10天AFP显著下降⏬
(AFP半衰期4~5天,理论上全切后5个半衰期即25天应该降到正常)

术后病理⏬
术后恢复顺利,无明显神经功能障碍⏬
术者简介
夏成雨 主任医师
中国科学技术大学附属第一医院
中国科大附一院颅底及脑干肿瘤外科医生
主任医师,临床医学博士(硕博连读,毕业于复旦大学华山医院神经外科),颅底及脑干肿瘤外科主任,中国科大附一院南区(安徽省脑科医院、安徽省心血管医院)副院长、分党委委员。
擅长:颅脑和脊髓肿瘤,尤其颅底及脑深部肿瘤手术治疗(包括垂体瘤,颅咽管瘤,胆脂瘤(表皮样囊肿),听神经瘤、三叉神经鞘瘤等颅底神经鞘瘤,鞍结节脑膜瘤、蝶骨嵴脑膜瘤,枕骨大孔区、岩斜坡脑膜瘤等颅底脑膜瘤,海绵窦区肿瘤、颈静脉孔区肿瘤、松果体区肿瘤等);各部位脑膜瘤,尤其是容易残留的矢状窦、横窦、窦汇等大静脉窦旁脑膜瘤全切除术;烟雾病的颅内外搭桥术(直接+间接搭桥术);颈动脉内膜剥脱术。
周一下午,周四上午,中国科学技术大学附属第一医院南区(合肥市,天鹅湖路1号),2号楼,3层,门诊2号诊间。
点击或扫描上方二维码,前往夏成雨 主任医师学术主页
查看更多精彩内容
点击或扫描上方二维码,查看更多“小儿”内容