
2020年
Atlas开环小径支架全新上市
“革新输送,智能贴壁”
开启了辅助支架的新纪元
术者使用经验分享
实战与理论相结合
Atlas病例集锦开启
部位:
术式:
特点:
患者基本信息
患者女性,45 岁。
主诉:体检时发现左侧大脑中动脉M1段分叉处动脉瘤7天。
现病史:患者10天前因突发晕厥急诊就诊于当地医院,给予保守治疗,病情稳定后行头颈部CTA检查示:左侧大脑中动脉M1段分叉处动脉瘤,大小约2.3mm×2.4mm,未治疗。
入院查体:T:36.1℃;P:64次/分;R:17次/分;BP:151/94mmHg;心肺腹无特殊。
神经系统检查:神志清,精神可,头颅无畸形。双侧瞳孔等大等圆,直径约3.0mm,对光反应灵敏。四肢肌张力正常。双侧角膜反射、腹壁反射均正常。双侧肱二头肌腱反射、肱三头肌腱反射、膝腱反射及跟腱反射均减退。双侧病理反射未引出。脑膜刺激征阴性。NIHSS评分:0分,Raymond分级:Ⅰ级,mRS评分:0分。
术前诊断:
① 左侧大脑中动脉M1段分叉处动脉瘤;
② 高血压病。
术前造影
患者推入放射科导管室平躺于检查床上,常规心电、血压监护;消毒右侧腹股沟区,铺手术巾,气管插管全身麻醉后,穿刺右侧股动脉,置入导管鞘,成功后置入超滑导丝及椎动脉导管,行左侧颈内动脉3D造影术,明确动脉瘤栓塞和辅助支架置入的工作体位。


载瘤动脉细小,经测量为0.87mm,角度为反向角度,释放支架易贴壁不良,颈内动脉段血管入路较迂曲,需要支撑力及柔顺性较好的微导管,同时避免微导管拉直血管并使血管位移而影响定位。
手术耗材
微导丝:Synchro-14 2根
微导管:
SL-10微导管1枚
Echelon-10微导管1枚
支架:Neuroform Atlas 3.0*24mm
弹簧圈:
Target 360 3mm×10cm
其他品牌2mm×6cm(2枚)、2mm×4cm、2mm×4cm、1.5mm×2cm
手术过程
引入8F 导引导管及6F 中间导管至左侧颈内动脉,接加压管肝素盐水(500ml盐水2000单位肝素)4路;200cm Synchro-14微导丝配合SL-10微导管超选进入左侧大脑中动脉M1段上干备用(大脑中动脉M1段上干与动脉瘤瘤颈关系密切);200cm Synchro-14 微导丝配合Echelon-10微导管超选进入瘤体内,沿微导管填入Target 3mm×10cm 3D弹簧圈一枚成篮良好;后经SL-10微导管送入Atlas 3.0mm×24mm支架直至支架中部位于瘤颈处,缓慢释放支架,释放支架时通过半释放状态在瘤颈部小心推压将支架形成“穹窿”,穹顶部分支架可疝入瘤颈处,将宽颈动脉瘤变为窄颈。造影示支架稳定、帖壁良好;继续沿微导管行动脉瘤内弹簧圈栓塞术,先后放入2mm×6cm(两枚)、2mm×4cm、2mm×4cm、1.5mm×2cm弹簧圈共6枚;



释放支架前经导引导管缓慢注入替罗非班6ml,之后持续静脉泵入,速度5ml/h。手术历时60分钟,麻醉顺利苏醒,神经系统查体:未见阳性体征。NIHSS评分:0分;Raymond分级:Ⅰ级,mRS评分:0分。术后即刻行C-arm CT头颅扫描,未见出血,动脉瘤填塞致密,支架开放良好。
术后情况
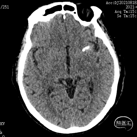
术后3天复查CT示:
1. 双侧基底节区腔隙性脑梗死;
2. 老年性脑改变;
3. 左侧颞叶致密影,考虑术后,请结合临床病史。未见大脑前载瘤动脉远端存在缺血。




术后6个月复查造影示:弹簧圈致密充填瘤体内,瘤体消失,左侧颈内动脉及大脑前、中动脉均显影良好,载瘤动脉通畅,形态和血管直径较动脉瘤栓塞前无明确变化。支架形态良好,未见移位及血栓形成。




术者体会
1. Neuroform Atlas支架的支撑力适中,对血管内腔的适形性能好,在M1段分叉动脉纤细而大脑中动脉M1段主干动脉较粗的血管内释放也能做到良好展开,细小的分叉动脉内支架贴壁良好,对血流影响小;支架释放后对动脉血管扰动小,不会造成载瘤动脉大幅度位移和动脉瘤变形。
2. 用于输送Atlas支架的SL-10微导管柔软度适中,是目前输送支架导管中管腔直径最小的,通过细小迂曲血管能力强,对动脉血管扰动小,释放支架顺畅,位置移动小。
3. 对于成角较大的动脉瘤及载瘤动脉夹角,Atlas支架的杂合环设计,可通过半释放状态在瘤颈部小心推压可将支架成“穹窿”样变形,穹窿顶部分支架可疝入瘤颈处,把宽颈动脉瘤变为窄颈,在阻挡弹簧圈于瘤腔内同时保证分叉动脉的血流通畅。该性能对于分叉正中部位动脉瘤的辅助栓塞价值较大。
手术指导
陈清亮
河南省直第三人民医院
主任医师,硕士研究生导师,河南省直第三人民医院放射介入科主任。
郑州大学研究生毕业,硕士学位,师从于郑州大学介入治疗研究所所长、中原学者韩新巍教授。
郑州大学介入治疗研究所专家库成员,中国白求恩精神研究会介入医学会常务委员,河南省抗癌协会肿瘤微创治疗委员会常务委员,河南省科普协会介入医学会常务委员,河南省糖尿病学会微循环分会常务委员,河南省呼吸与重症学会介入医学分会常务委员。
河南省澍青医学高等专科学校特聘教授。河南省中医药大学优秀讲师。本科全过程教学优秀讲师。河南省基层医生培训讲师。
主持省级科研立项三项,获河南省医学科技奖2项。国家发明专利3项。发表核心期刊以上论文20篇。主编本专业专著一部,副主编三部。
术者介绍
申猛
河南省直第三人民医院
河南省直第三人民医院介入科主治医师。从事影像诊断及放射介入诊疗10余年,在神经介入领域有丰富的临床经验。任河南省医师协会神经介入专业委员会委员、河南省微循环协会糖尿病足诊断及治疗专业委员会委员、河南省科普协会介入治疗专业委员会委员、白求恩精神研究会介入医学分会第一届理事。参与省级科研项目2项。
点击或扫描上方二维码
查看更多“介入”内容









