
近日,上海长海医院刘建民团队一气呵成,三战告捷,再次成功应用Fastunnel®输送型球囊扩张导管(下文简称“Fastunnel®”)完成一例复杂的左侧分水岭区脑梗、左侧大脑中动脉狭窄介入治疗手术。
在诊疗手段不断进步的当下,上海长海医院刘建民团队持续为患者提供多样化的治疗服务。此次手术在团队成员紧密配合下,周宇教授克服患者左侧大脑中动脉狭窄的困难,充分利用Fastunnel®全新的“零交换”技术,轻松完成定位、扩张及释放等步骤,术中操作便捷的同时也大大提高了手术安全性。

患者资料
患者是一名70岁女性;主诉“突发右侧肢体无力、麻木2周”。查体:右下肢肌力V-级,右下肢浅感觉减退。既往史:高血压病,长期服用药物,控制不详。
外院MRI:拟行左侧大脑中动脉狭窄支架成型术;双侧大脑中动脉可疑重度狭窄。


我院MR:左侧分水岭区较新鲜脑梗,较前增多。




脑血管造影:右侧大脑中动脉中度狭窄。






DSA:远端血管直径2.2mm,近端血管直径2.7mm,狭窄程度约70%,拟行左侧大脑中动脉狭窄支架成型术。


手术过程
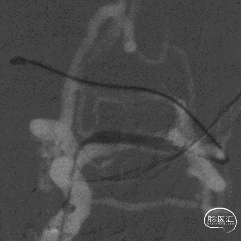
导丝导引Fastunnel® 2/15 输送型球囊扩张导管到位。


手推造影确认球囊位置,完全覆盖狭窄。


Fastunnel® 2/15 输送型球囊扩张导管缓慢扩张至10atm,对应球囊直径2.13mm。





回撤球囊后,导丝从Fastunnel®输送型球囊扩张导管撤出,备支架释放。


将支架定位于狭窄远端、分叉以近正常段,完整覆盖病变。


术后造影未见明显残余狭窄。




术后正侧位造影显示大脑中动脉血流较术前改善。





专家点评
Fastunnel®输送型球囊扩张导管将微导管和球囊融为一体,球囊头端微导管在导丝导引下用以超选,通过狭窄后球囊定位扩张,减少了反复的交换,缩短了手术时间。本例患者使用的Fastunnel®为21系统的设计,从实际临床应用来看,整个系统的输送性能佳,导丝导引下比较容易到位;采用的Pebax半顺应性球囊扩张及回抱亦表现良好;而系统内腔与Plower select plus等21系统微导管类似,支架输送、释放及调整都较为顺畅,确实地简化了手术操作。
术者简介
刘建民 教授
海军军医大学第一附属医院
主任医师,教授,博导。脑血管病中心主任,全军脑血管病研究所所长;国家卫健委脑卒中防治工程专家委员会秘书长;国家卒中中心管理专家委员会副主任;中国卒中专科联盟副主席;国家“百万减残工程”南方办公室主任;中国医师协会介入医师分会副会长;中国医师协会神经外科医师分会常务委员;中华医学会神经外科分会常务委员;全军神经外科专业委员会副主任委员;世界神经介入大会(WLNC)执委;2011世界颅内支架大会(ICS)主席;2016/2021 WLNC主席;东亚神经介入大会(EACoN)主席;脑医汇-神介资讯主编。
周宇 教授
海军军医大学第一附属医院
长海医院脑血管病中心副主任医师,副教授。
中国研究型医院学会脑血管病学专业委员会青年委员、中华临床医师杂志特约编辑、Stroke等SCI 杂志审稿人。
以第一或通讯作者在Stroke、Radiology等杂志发表SCI论文30余篇,入选海军军医大学“启航”人才、上海市卫生健康青年人才培养计划。先后获得上海市科学技术进步一等奖、教育部科学技术进步奖、军队医疗成果奖和世界卒中组织(WSO)-欧洲卒中组织(ESO)联合颁发的最佳研究项目等科技奖励。

特别说明:本页面所包含的文字、图片、音视频等内容仅供医学专业人士参考。本页面所包含的内容,仅为专家个人观点,不能代替医疗专业人士的判断。本页面不向非医学专业人士开放,敬请理解。
![]()
点击或扫描上方二维码
查看更多“介入”内容










