
孙国臣副主任医师:
张先生因为癫痫发作,到医院就诊,考虑为左额颞岛叶弥漫性胶质瘤,病变弥散,家乡的医生说不能切,切了也没有意义。家里从网上做了一些功课后,于2020年2月,在线上咨询平台找到了我。
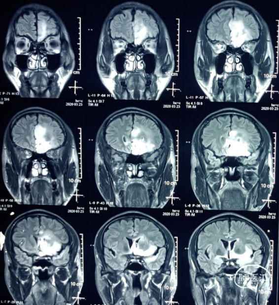
磁共振如下图:



我给了方案:最大安全切除
优点:是目前的规范治疗方法,可以最大程度去除病变,以我们的能力,近全切能实现。
缺点:由于病变相对弥散,病变体积大,最大程度切除肿瘤大概率会带来患者高级认知功能下降,社会适应能力下降。
由于张先生是家里的主力,承担家里90%的经济来源。一旦认知下降后,不能从事原来的工作,家里光景难以为继。

我给出了第二个选择--活检明确性质:
证实胶质瘤后先给于化疗,看看效果;要是效果良好,继续化疗,要是不敏感就再最大安全切除。
优点:给自己高质量生活的机会,预知肿瘤是否化疗敏感。
缺点:不是指南推荐的方法。若不密集复查,可能会耽误病情。

交谈的氛围很沉重,家属最怕就是让选择,作为非专业人士,家属很难做出科学的决定。思虑再三后,家里决定走第二条路,给病人一个机会,给家庭一个机会。
建议来我院取活检,因为活检手术虽然简单,但是取材部位有讲究,也就是取材靶点要有科学依据。张先生夫妇想在老家做活检。这是众多病人中的一个,能不能再来随诊,最后会怎么做,我也不得而知。
在当地医院做了活检,家里发来了病理报告:

我建议到另一家医院会诊,他们也去了:

两家医院都没有给出肯定的诊断,张先生夫妇又陷入困惑中:活检白做了么?为什么病理也没有给出肯定的诊断呢?

问题又到了我这里,下一步该怎么办呢?结合影像和病理报告,我认为胶质瘤诊断是明确的建议张先生口服替莫唑胺,并密集复查,万一效果不理想就切除。
2020年6月份(服药3月后),张先生夫妇来门诊找过我一次,想在我院复查,并做好了化疗无效手术的准备。我给他们开了磁共振,需要等几天才能做上。家里有事他们没做成磁共振就回去了,自己继续吃药。
由于新冠疫情反复原因,以及患者服替莫唑胺后自觉良好,一直到2020年11月份他们才复查了磁共振,幸运的是磁共振显示病变明显减小。悬着的心总算落了下来,要是效果不明显,病情进展了不好面对。
2021年3月,2021年7月分别进行复查,肿瘤持续减小......
目前,张先生一直在服用替莫唑胺,一直是家里的主力,从事原来的工作,一家人生活幸福。

我们很明白,张先生的病并不是就治愈了,我们是以较小的代价维持一个人的高质量生活,一个家庭的正常运转。一旦复查病变不再缩小或者病变又开始进展了,我们就进行手术切除,术后再行放化疗。
目前病变已经明显缩小了,即使再手术,切除范围明显减小,患者的高级认知受影响程度会明显变小,大概率不会影响现在的工作。
不是每个案例都会有这样的效果,需要专业的医生选择合适的病例。
胶质瘤的治疗既要规范化又要个体化,我们要充分考虑病人的年龄、身体素质,经济能力、社会属性、可能的病理类型、可能的病理级别、病变位置、弥散程度等等,和患者家属一起做出合理的选择。
附图:几次磁共振复查显示病变逐渐减小


孙国臣
中国人民解放军总医院第一医学中心神经外科医学部神经肿瘤外科副主任,副主任医师,副教授;
中国抗癌协会脑胶质瘤专业委员会委员;
北京医学会神经外科分会青年委员;
第一申请人获得省部级以上课题5项,第一作者或通讯作者发表SCI论著10篇;
获军队医疗成果二等奖1项、中华医学科技三等奖1项。解放军总医院科技进步一等奖1项;
擅长颅脑肿瘤的手术治疗,尤其是岛叶胶质瘤,其他功能区胶质瘤、颅内各部位脑膜瘤、垂体瘤、神经鞘瘤、脑转移瘤胆脂瘤等颅内肿瘤性病变的微创精准外科手术,胶质瘤的全程管理。
孙国臣副主任医师已入驻脑医咨询平台,快去向他咨询提问吧!

长按并识别二维码,关注脑医咨询公众号
进入我的线上咨询室!
声明:脑医汇旗下神外资讯、神介资讯、脑医咨询所发表内容之知识产权为脑医汇及主办方、原作者等相关权利人所有。未经许可,禁止进行转载、摘编、复制、裁切、录制等。经许可授权使用,亦须注明来源。欢迎转发、分享。





