载药时代 球扩天下
NOVA DES®颅内药物洗脱支架植入

主要术者:慕璐岩 哈尔滨医科大学附属第四医院

慕璐岩
医学博士,博士后,副主任医师,副教授,硕士研究生导师
黑龙江省医师协会神经介入专业委员会委员
脑血管病医疗组长,主要开展动脉瘤的手术治疗,以及脑血管狭窄、烟雾病的脑血管重建治疗,先后获黑龙江省科学技术二等奖1项,黑龙江省医疗卫生新技术二等奖2项,以第一作者和通讯作者发表SCI论文5篇(单篇最高IF 6.5),承担省厅级课题2项
病例一
患者基本信息
患者,女,55岁。
主诉:头晕一年,加重半个月。
简要病史:间断性头晕一年,呈眩晕性发作,间歇期逐渐变短,近半个月症状加重,多次于当地医院就诊,并行药物治疗,症状好转后口服药物(阿司匹林)维持,病程中无意识障碍,无肢体活动不灵,无言语及吞咽障碍。
专科查体:无神经系统阳性体征。

MR
入院影像检查

诊断
术前讨论
拟行手术方案:左侧椎动脉狭窄支架植入术
手术指征:
1.后循环症状性血管狭窄(右侧椎动脉闭塞,左侧椎动脉V4段重度狭窄)
2.血管狭窄程度>50%
3.患者药物治疗过程中仍有症状发作
治疗策略:
1.右侧股动脉穿刺
2.6F指引导管置于左侧椎动脉V1
3.微导丝携带支架到位
4.缓慢球囊扩张使支架成形
术中器械
◆ 操作入路
股动脉穿刺
◆ 造影
造影导丝:泥鳅导丝
导引导管:6F guiding
◆ 通过病变
微导丝:synchro
◆ 扩张及植入
支架:赛诺神畅颅内药物洗脱支架NOVA DES®2.5*15mm
治疗过程




术中:左侧椎动脉6F指引导管到位


术中:左侧椎动脉V4重度狭窄


术中:赛诺神畅颅内药物洗脱支架NOVA DES®输送和到位


术中:赛诺神畅颅内药物洗脱支架NOVA DES®缓慢充盈(8atm)

术后影像:


术前、术后影像对比


术前
术后
Xper CT:

手术总结
1. 球扩一体式的NOVA DES®颅内药物洗脱支架是治疗颅内大血管粥样硬化性狭窄的未来趋势,尤其适用于狭窄段平直、不临近重要穿支的部位。
2. 同其它球扩支架一样,相比自彭式支架,弯曲角度较大的血管单纯应用微导丝输送有时会遇到一定的阻力,可以通过将交换导丝尽量输送到稍远位置、更换略硬的导丝以及前后调整导丝张力的方法克服,最佳的方法是通过中间导管进行输送,但会增加患者费用。
3. NOVA DES®颅内药物洗脱支架支撑力好,对于普通粥样硬化性狭窄可以一次完成,对于钙化性狭窄建议用其他球囊先行扩张,满意后再释放支架。
4. NOVA DES®颅内药物洗脱支架整体显影好,即使在V3-V4段有较多骨质遮挡的情况下,配合Xper CT仍能明显观察支架打开和贴壁情况。
病例二
患者基本信息
患者,女,73岁。
主诉:间断性头晕半年,加重一周。
间断性头晕半年,呈眩晕性发作,近一周症状加重,多次于当地医院就诊,并行药物治疗,症状好转后口服药物(阿司匹林)维持,病程中无意识障碍,无肢体活动不灵,无言语及吞咽障碍。
查体:无神经系统阳性体征。
入院影像检查
头部CTA


重要影像结论:右侧椎动脉V4段重度狭窄,左侧椎动脉V3闭塞。
头部CTA

重要影像结论:狭窄远近端管腔通畅,狭窄处钙化斑块。
头部HDMR黑血成像


R-VA
L-VA
诊断
术前讨论
拟行手术方案:全脑血管造影+右侧椎动脉狭窄球囊扩张支架植入术
手术指征(血管内介入治疗的指征):
1、后循环症状性血管狭窄(右侧椎动脉重度狭窄,左侧椎动脉闭塞)
2、血管狭窄程度>70%
治疗策略:
1、右侧桡动脉穿刺造影
2、中间导管置于右侧椎动脉V3
3、微导丝携带支架到位
4、缓慢球囊扩张使支架成形
术中器械
◆ 操作入路
股动脉穿刺
◆ 造影
造影导丝:泥鳅导丝
导引导管:6F 115
◆ 通过病变
微导丝:synchro
◆ 扩张及植入
支架:赛诺神畅颅内药物洗脱支架NOVA DES®2.5*12mm
治疗中影像
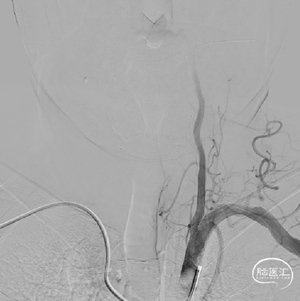
DSA:左侧椎动脉颅内远端闭塞


DSA:右侧椎动脉V4重度狭窄


DSA:L-CCA


DSA:R-ICA


术中:6F 中间导管置于R-VA V3段


术中:赛诺神畅颅内药物洗脱支架NOVA DES®2.5*12mm到达狭窄段


术中:赛诺神畅颅内药物洗脱支架NOVA DES®缓慢充盈(8atm)


术后影像


术前、术后影像对比


术前
术后
术后影像:


Xper CT:


术后 CT:

手术总结
1. 球扩一体式的NOVA DES®颅内药物洗脱支架是治疗颅内大血管粥样硬化性狭窄的未来趋势,尤其适用于狭窄段平直、不临近重要穿支的部位。
2. 同其它球扩支架一样,相比自彭式支架,弯曲角度较大的血管单纯应用微导丝输送有时会遇到一定的阻力,可以通过将交换导丝尽量输送到稍远位置、更换略硬的导丝以及前后调整导丝张力的方法克服,最佳的方法是通过中间导管进行输送,但会增加患者费用。
3. 对于右侧椎动脉病变,经右侧桡动脉造影+治疗是一个好的选择,桡动脉短鞘穿刺成功后,6F或者5F(依据患者右侧椎动脉粗细选择,5F首选)中间导管/远端通路导管等“裸奔”可以提供较好的支撑力。
4. NOVA DES®颅内药物洗脱支架在扩张过程中可能造成血管移位,应加以小心。

说明:赛诺神畅医疗科技有限公司为赛诺医疗科学技术股份有限公司控股子公司。
点击或扫描上方二维码
查看更多“介入”内容






