
术者寄语
急性脑梗塞,尤其是颅内大血管闭塞,其死亡率和致残率都非常高,而静脉溶栓对于大血管闭塞的再通率非常低,血管内介入治疗是治疗急性大血管闭塞最有效的方式,技术成功率高达91%-93%,随着器械更新和技术理念的更迭,其血管再通率会进一步提高。如何达到一次再通并且防止栓子逃逸至远端血管,从而提高患者的临床预后是所有临床医生重点关注的方面。
Syphonet®取栓支架的远端网篮装置犹如保护伞的结构能够更好地降低血栓逃逸的风险,同时支架全程显影能够更好的观察支架展开的情况,有利于术者对闭塞段血管情况的判断。
本期「沛嘉加奇·嘉介谈」邀请到成都大学附属医院程文医生带来Syphonet®取栓支架开通右侧颈内动脉末端闭塞一例,精彩不容错过。

本期病例
01
病情简介
基本信息:患者女性,83岁。
主诉:因“左侧肢体无力伴言语不清5小时”入院。
简要病史:患者于入院前5小时在上厕所时出现左侧肢体乏力,倒地,伴言语不清,伴恶心、呕吐。在当地医院行静脉溶栓后症状无改善,行CTA示右侧颈内动脉闭塞,遂转入我院,经急诊绿色通道入介入导管室。
入院查体:昏睡状,双眼向右侧凝视,左侧肢体肌力1级,巴氏征阳性,NIHSS评分:23分。
02
术前影像学检查结果

CT示:右侧大脑中动脉高密度影。
03
治疗经过
该患者在外院已进行静脉溶栓治疗,症状及查体较静脉溶栓前无明显改善,距离发病时间已有5小时,从术前CT来看未见明显低密度灶,且在取栓时间窗内,无需进行缺血半暗带评估,需积极进行取栓治疗,所以绕行急诊直接进入导管室进行取栓治疗。
04
术中涉及器械选择
Neuron Max 长鞘
5F 125cm多功能导管
ACE 68血栓抽吸导管
Headway 21微导管
Synchro 2微导丝
6mm×35mm Syphonet®取栓支架
血管封合器
05
手术过程
左侧颈内动脉造影示:经前交通向右侧大脑前动脉供血。


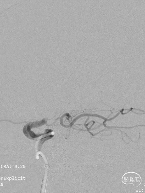
右侧颈内动脉造影示:后交通动脉以上颈内动脉闭塞。
术前正位造影。


经过抽吸导管抽吸后造影见颈内动脉通畅,大脑前动脉显影,但大脑中动脉仍然闭塞。
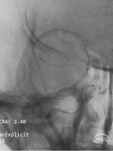
0.021in Headway微导管超选越过闭塞段后微导管造影。


透视下可见Syphonet®取栓支架通体显影,有利于观察支架形态。
一次支架取栓后血管完全通畅,达到mTICI 3级。


可见取出血栓量较大,在支架远端抓捕篮内有部分细小血栓被成功捕获。
06
术后即刻影像及患者术后情况
术后即刻影像可见血管完全通畅,达到mTICI 3级。



该患者术后清醒,术后左侧肢体肌力恢复至3级。但因发病时间偏长,术后右侧基底节区有少量出血。

病例总结
该患者为右侧颈内动脉C7段至大脑中动脉闭塞,闭塞长度较长,虽然右侧大脑前动脉有代偿供血,但代偿非常不充分,且经过溶栓后效果不佳,就诊距发病时间5小时,时间较长,在外院已完善相关血液学及CTA检查,为争取时间遂直接进入导管室行血管内介入治疗。
该患者为老年女性,一般来说,主动脉弓血管路径较差,为节省时间,一般直奔主题,需要选用熟悉的、容易一次性到达靶血管的通路导管,Neuron Max的柔顺性及跟踪性非常好,所以对于急诊取栓患者,有条件情况下都会选用该长鞘做为通路,为后续的治疗顺利进行奠定良好的基础。难点为:通过造影及结合患者术前CT情况判断,该患者血栓为右侧颈内动脉末端至右侧大脑中动脉M1段,血栓负荷量较大,在取栓过程中如何做好对大脑前动脉的保护,避免栓子因支架或远端通路导管的运动而导致血栓切割所致的栓子逃逸成为难点。
加奇Syphonet®取栓支架为全程显影支架,可以很清楚显示支架的展开情况,在支架展开不良时可以通过推挤支架以达到和血栓更好的嵌合,有利于血管一次性再通。
Syphonet®取栓支架可全系兼容0.017in微导管进行释放,但初次尝试6mm直径通过0.017in微导管时感觉较涩,可能通过体外模型多次应用Syphonet®取栓支架熟悉该支架的性能后感受更好。该病例选用0.021in微导管进行释放,但与此同时就牺牲了微导管的柔顺性,此时需要中间导管高到位以提供更好支撑性。
ACE系统的抗压能力较好,但远端的柔顺性有所下降,在没有经过塑形情况下过虹吸弯时较为困难,尤其是对于老年患者,虹吸弯较为弯曲时,所以建议可以利用ACE自带的塑形针对其进行塑形,略为“C”型即可。
Syphonet®取栓支架远端的网篮设计,有利于在取栓过程中血栓远端小栓子的捕获,避免血栓逃逸,有利于患者更好的恢复。
总体来说Syphonet®取栓支架头端抓捕篮及全系兼容0.017in微导管的独特设计有其存在的价值与合适的应用场景,取栓性能优异,未来会继续尝试使用。


程文
成都大学附属医院
主治医师
2007年从事神经外科,2011年开始进行脑血管疾病的筛查及从事脑血管疾病的介入治疗。擅长各类脑血管疾病的诊断及介入治疗。包括:急性脑梗塞取栓治疗,颅内血管狭窄支架成形术,颈动脉支架成形术、椎动脉及锁骨下动脉支架成形术,颅内动脉瘤栓塞术、脑血管畸形及动静脉瘘栓塞术及脑静脉系统疾病的介入治疗。
学会任职:四川省神经外科医师协会青年委员。
特别说明:本页面所包含的文字、图片、音视频等内容仅供医学专业人士参考。本页面所包含的内容,仅为专家个人观点,不能代替医疗专业人士的判断。本页面不向非医学专业人士开放,敬请理解。
点击或扫描上方二维码
查看更多“介入”内容