前交通动脉瘤
前交通动脉瘤位于视交叉下方,邻近终板,是沟通两侧大脑前动脉的中间血管,解剖变异复杂,经常存在血管角度交叉及转弯。文献统计前交通动脉瘤的发生率约占颅内动脉瘤的30%。且前交通动脉瘤一旦破裂,往往出血明显,环池积血厚重,起病急骤、病情演变快。早期的临床干预是阻止动脉瘤再破裂及病情加重的必要手段。
前交通动脉瘤破裂后出血除了进入纵裂,形成珠血,还可形成额叶血肿、胼胝体血肿及通过终板破入脑室及蛛网膜下腔。血管内治疗包括:弹簧圈栓塞、支架辅助弹簧圈栓塞、瘤内扰流装置及开颅夹闭等。


解剖和毗邻关系为手术难点



开颅及介入的手术难点
ACoA复合体的解剖关系复杂化
动脉粥样硬化,术后载瘤动脉狭窄、闭塞
破裂动脉瘤的术后痉挛期
路径-到位困难
占位效应明显
术后血管痉挛
脑积水
CASE 1
病历摘要
患者:
WXX 男 44岁
主诉:
突发头痛2小时余
现病史:
患者无明显诱因突发头痛,呕吐数次,呕吐物为胃内容物,非喷射状,为求诊治,家属急呼救护车来我院,急诊给予完善相关检查,初步诊断为“自发性蛛网膜下腔出血”,为行介入手术治疗,收入院。
查体:
BP140/90mmHg。患者神志清楚,言语流利,双侧瞳孔等大等圆,直径约3.0mm,对光反射灵敏。颈部抵抗。四肢肌力及肌张力正常。活动自如,双侧膝腱反射存在,双侧巴氏征阴性。Hunt-Hess2级,改良Fisher2级。
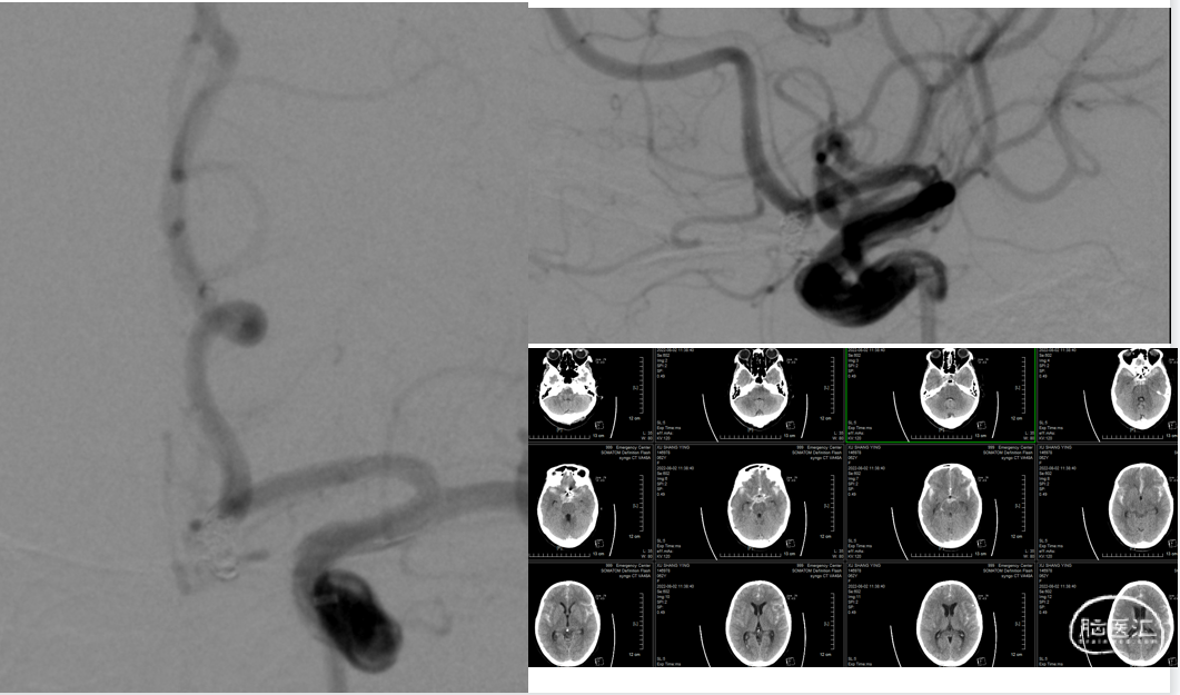
入院头颅CT


入院头颅CTA


压迫左侧颈动脉,行右侧颈内动脉造影示:前交通开放,可见左侧大脑前动脉显影良好。


左侧颈内动脉造影,左侧A1优势。


3D造影可见:前交通动脉可见约5.8mm*4.3mm动脉瘤,瘤颈宽3.5mm,三根大脑前。


在Synchro0.014 200cm微导丝携带下将Echelon-10微导管置于左侧大脑前动脉A2段,另一Echelon-10微导管送至动脉瘤腔内。


沿Echelon-10微导管将5mm*15cm、3mm*8cm、2.5mm*6cm弹簧圈(EV3)送入动脉瘤腔内。


复查造影:动脉瘤栓塞致密,双侧大脑前动脉血流通畅。

沿Echelon-10微导管将3mmx15mm支架(Neuroform Atlas)置入左侧大脑前动脉,复查造影:双侧大脑前动脉血流通畅。


颅内正侧位造影:动脉瘤栓塞致密,双侧大脑前动脉通畅。


术前

术后

术前

术后

术后复查第一天头颅CT

术后三天复查头颅CT

术后复查头颅MRA



术后脑脊液红细胞化验

术者思考
1、患者前交通动脉瘤,三根大脑前动脉,考虑手术对大脑前动脉影响,术前压迫左侧颈内动脉行右侧颈内动脉造影,前交通开放,向左侧大脑前动脉供血。
2、瘤颈较宽,为避免弹簧圈对载瘤动脉影响,行支架植入术。
CASE 2
病历摘要
患者:
女 71岁
主诉:
突发头痛约2小时
现病史:
患者无明显诱因出现头痛伴呕吐2次,无喷射状,为胃内容物,未行特殊治疗,求进一步诊治,家属急呼救护车送入我院。急诊给予完善相关检查及检验后,以“自发下蛛网膜下腔出血”收入住院。
既往史:
高血压、类风湿关节炎病史。
查体:
BP134/70mmHg。患者神志清楚,言语流利,双侧瞳孔等大等圆,直径约3.0mm,对光反射灵敏。颈部抵抗。四肢肌力及肌张力正常。活动自如双侧膝腱反射存在,双侧巴氏征阴性。Hunt-Hess2分,改良Fisher2级。
入院头颅CT



左侧造影未见动脉瘤影,右侧路径可。


3D造影可见:前交通动脉可见约5.8mm*4.3mm动脉瘤,瘤颈宽3.5mm。


Synchro0.014 200cm微导丝携带下将SL-10微导管置于右侧大脑前动脉A2段。

Synchro0.014 200cm微导丝将Echelon-10微导管送至瘤腔,角度刁钻。

Echelon-10微导管将2mm*8cm、1.5mm*4cm、1.5mm*2cm、1mm*2cm弹簧圈(EV3)送入动脉瘤腔内。

SL-10微导管将3mmx15mm支架(Neuroform Atlas)置入右侧大脑前动脉。

造影示动脉瘤栓塞完全。

颅内正侧位造影:动脉瘤栓塞致密。

术 后
替罗非班3ml/h微量泵泵入12小时后桥接双抗治疗。
术后患者神志清楚,言语流利,四肢肌力、肌张力正常。
术后第一天复查头颅CT

术后第三天头颅核磁

术后第五天复查头颅CT

头颅CTA


CASE 3
病历摘要
入院头颅CT:自发性蛛网膜下腔出血,颅外软组织肿胀。


前交通动脉可见约2.8mm*4.8mm大小动脉瘤,瘤颈宽3.1mm。

在Synchro0.014 200mm微导丝携带下将Excrlsior SL-10微导管置于左侧大脑前动脉A2远端,在Synchro0.014 200mm微导丝携带下将Echelon-10 45°微导管塑形后送至前交通动脉瘤内。

将3mm*8cm弹簧圈(EV3)沿Echelon-10微导管送入动脉瘤腔内,沿SL-10微导管将4mmx21mm支架(Neuroform Atlas)置入左侧大脑前动脉。

将1.5mm*4cm、1mm*2cm、1mm*1cm弹簧圈(EV3)沿Echelon-10微导管送入动脉瘤腔内。


动脉瘤栓塞完全,载瘤动脉通畅。

复查造影示动脉瘤栓塞完全,左侧大脑前动脉、左大脑中动脉显影良好。

前交通动脉瘤致密栓塞。

术后一个月复查


CASE 4
病情摘要
入院头颅CT:蛛网膜下腔出血。


头颅CTA:右侧胚胎型大脑后动脉;前交通动脉瘤。

DSA示:前交通动脉可见约6.4mm*3.3mm大小动脉瘤,瘤颈宽2.0mm。


工作位下Echelon-10到位。

将1mm*3cm、3mm*8cm、1.5mm*4cm、1.5mm*4cm、1mm*3cm弹簧圈(EV3)沿微导管送入动脉瘤腔内。

工作位角度及路图下Synchro0.014in×200cm微导丝携带SL-10微导管上到A2远端,经SL-10自大脑前动脉A2至A1段缓慢释放Neuroform Atlas3.0mm×15mm支架。

前后对比


术后复查
与前次片比较,动脉瘤术后改变,蛛网膜下腔出血、脑室积血有吸收。

术后
患者神志清楚,查体配合。查体:T 36.5℃ P 75次/分 R 17次/分 BP 118/75mmHg 床旁血氧饱和度99%。头颅无畸形,双侧瞳孔等大等圆,直径约3.0mm,对光反射灵敏。颈抵抗。胸廓双侧对称无畸形,双肺呼吸音粗,未闻及明显干湿性罗音。
心律齐,心音有力,各瓣膜听诊区未闻及明显病理性杂音。腹软,无肌紧张,肝脾肋下未触及,肠鸣音正常。双侧肌力正常。双侧肌张力正常,双侧膝腱反射存在,双侧巴氏征阴性。
术后一个月复查


术者思考
前交通动脉瘤发病率高,解剖结构复杂,且载瘤动脉纤细,外加动脉瘤破裂后蛛网膜下腔出血对整体脑脊液环境影响极大,故关键的手术第一步一定要妥善处置。弹簧圈的致密栓塞为最重要的第一步,载瘤动脉瘤及瘤颈对颅内支架要求高,需兼顾径向支撑力、柔软性及折角处的角度影响,开环支架的设计结构和“穹隆”效果可以达到相互兼顾。
术后对于蛛网膜下腔出血的处理,笔者经验:根据患者颅内积血情况,术后腰椎穿刺有肯定的效果和必要性。决定腰穿的时机和次数考虑以下几个方面:积血量的多少、脑水肿的程度、血管痉挛的严重性、颅内压的变化、脑脊液的常规和生化检验等等。千万不要根据自我感觉再等等、再看看,根据每次的红白细胞数量、蛋白和含糖量来决定腰穿次数。关于鞘内注射目前不做临床指南,但是根据脑脊液早期的粘稠度可考虑脑脊液置换。腰大池置管引流,早期不建议行腰大池引流,原因有三:早期红细胞数量多,极易堵管;颅内感染几率高;引流管脱落机会大。
综上所述,颅内动脉瘤的手术是关键第一步,对于术者的要求极高,但是术后管理的比重更高,早期腰椎穿刺可以起到很好的疗效,如形成脑积水则后患无穷。术后根据术中血管的情况、血压波动及颅内压变化,适时的提高血管,使其度过血管痉挛期。
作者简介
郭宗培
北京市红十字会急诊抢救中心
神经外科副主任,神经外科副主任医师,神经外科硕士,介入诊疗中心行政副主任。
擅长方向:1、脑出血与蛛网膜下腔出血急救与微创治疗,尤其在小骨窗开颅治疗脑出血方面有独到造诣。2、脑动脉瘤及脑血管畸形的开颅联合神经介入微创手术治疗。3、颅脑创伤和神经重症的诊断及治疗。
曾在中华级核心期刊等杂志发表多篇论文,并多次在全国神经外科会议上发表与会演讲。
中国援助巴基斯坦“一带一路”国家医疗队队长
北京2022冬奥会医疗专家组成员。
点击或扫描二维码
查看郭宗培 主任个人主页







