
01
病例简介
基本信息
患者:女,72岁,因“发现呼之不应1+小时”2022年10月25日10:05急诊就诊。
现病史:1+小时前(09:00,最后正常时间08:50),家属发现患者躺在地上,呼之不应,右侧肢体不能活动,立即呼叫120送至我院;
既往史:高血压病史20+年;2+年前,患者因“脑梗死”在外院治疗好转(具体不详),遗留视野缺损;“阵发性房颤”病史2年,未给予抗凝治疗。
神经科查体:神志昏睡,双瞳等圆等大约3mm光敏,双眼向左凝视,混合性失语,指令不合作,伸舌不合作,左侧肢体肌力5级,右侧肢体肌力0级,右侧病理征(+),感觉共济检查不能合作。
NIHSS:16分(意识1、提问2、指令1、凝视1、右上肢4、右下肢4、语言3)。MRS评分(发病前0分,入院4分)。
处理:替奈普酶静脉溶栓桥接机械取栓
02
术前影像学

急诊头部CT未见出血、左侧侧室旁见陈旧性梗死病灶;头部CTA:双侧大脑前动脉均由左侧发出、双侧大脑前动脉栓塞可能、左侧大脑前动脉起始处小动脉瘤、左侧大脑中动脉下干远端栓塞。
03
术前诊断评估
老年女性,既往有阵发性心房颤动病史,起病急,病程短,以呼之不应、右侧肢体无力为主要表现,头部CT未见出血,考虑心源性脑梗死可能性大。
动脉-动脉栓塞。
完善急诊全脑血管造影,明确患者血管情况,如果患者栓塞可能性大,尽量采用血栓抽吸方式,必要时采用抽拉结合方式取栓或其他方式开通血管。
04
治疗过程
Neuron Max 6F 90cm
血栓抽吸导管4MAX
微导管Velocity
抽吸连接导管PST2
导丝FATHOM200cm

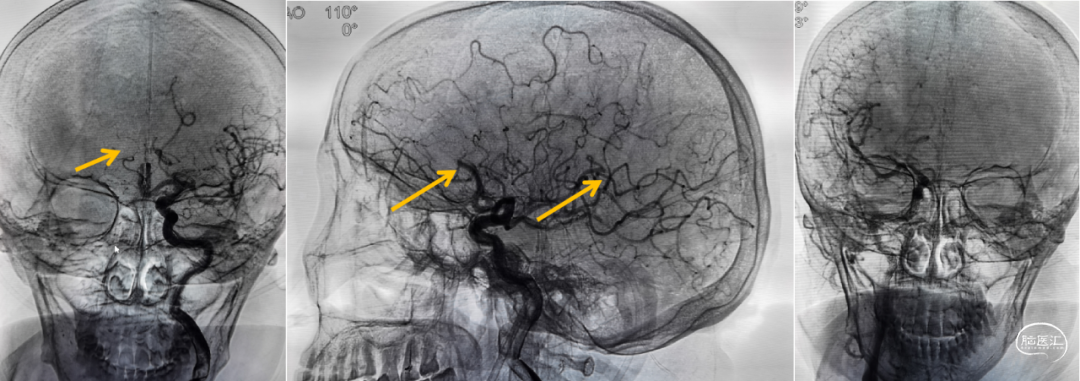
造影证实:双侧大脑前动脉均由左侧发出、双侧大脑前动脉栓塞、左侧大脑中动脉下干远端栓塞。

微导丝+微导管velocity辅助血栓抽吸导管4MAX到达右侧大脑前动脉A2段抽吸,抽吸1次后造影右侧大脑前动脉血流恢复,但左侧大脑前动脉仍闭塞。

微导丝+微导管velocity辅助血栓抽吸导管4MAX超选到达左侧大脑前动脉A3段抽吸,抽吸1次后造影左侧大脑前动脉部分再通、A3段远端仍有栓塞。

微导丝辅助微导管velocity到达左侧大脑前动脉A3段以远抽吸,利用微导管velocity持续抽吸后造影左侧大脑前动脉完全再通、前向血流Ⅲ级;最终双侧大脑前动脉血流恢复、前向血流Ⅲ级;左侧大脑中动脉下干远端栓塞部位血管细小迂曲故未干预、手术结束。

术后控制血压<140/90mmHg,第2天,患者神志清楚、言语恢复、左侧肢体肌力0级,NIHSS下降为8分,复查头部CT:左侧颞枕部局部梗死病灶;第4天,左侧肢体肌力4级,NIHSS2分。
Neuron Max长鞘能高到位,术中提供稳定的支撑;4MAX抽吸导管内径0.041",通过性强,轻松到达A2-A3段进行有效抽吸;Velocity辅助抽吸A3以远段,也带来良好效果。
05
思考和讨论
1. 本例患者为大血管闭塞脑梗死、发病时间<6小时;处理方式:替奈普酶静脉溶栓桥接机械取栓(近期发表的缺血性卒中血管内治疗前应用替奈普酶最佳剂量(Determining the Optimal Dose of Tenecteplase Before Endovascular Therapy for Ischemic Stroke,EXTEND-IA TNK)研究,发病4.5h内大血管闭塞的AIS患者,桥接治疗前使用替奈普酶静脉溶栓,在取栓前的良好再灌注率显著高于应用阿替普酶组(22% vs 10%,P=0.03),且替奈普酶组90 d mRS分值的中位数更优,两组sICH无差异,研究提示新型静脉溶栓药物提高了大血管闭塞取栓前血管开通比例,促进血流再灌注早期恢复,从而改善患者预后;但桥接治疗是把双刃剑,虽然提高再通率,但可能促进远端血管栓塞。
2. 本例患者最主要栓塞部位为双侧大脑前动脉、左侧大脑前动脉起始处有动脉瘤,取栓通路迂曲有动脉瘤破裂风险,抽吸导管4MAX轻松到位的情况下给予单纯抽吸取栓,左侧大脑中动脉下干远端栓塞未给予处理、考虑:MCA M3段以远功能意义不大且取栓装置不易到达;
【参考文献】
急性缺血性卒中血管内治疗中国指南2018
术者简介
沈杰
成都市第二人民医院
神经内科,主治医师,硕士研究生
长期从事缺血性脑血管病的介入治疗工作
四川省卒中学会神经介入分会委员
四川省神经介入医师分会委员
老年医学学会介入专业委员
四川省中西医结合学会神经科脑血管病学组委员
国内核心期刊发表论文2篇,实用新型专利1项

点击或扫描上方二维码
查看更多“介入”内容







