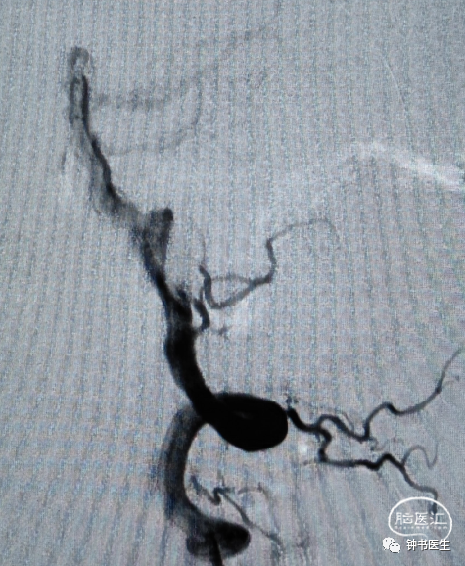
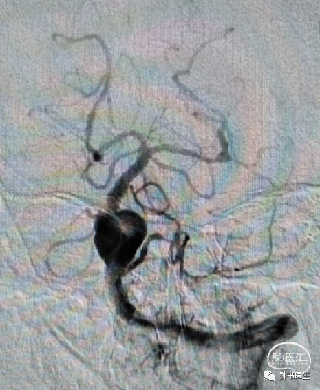
椎基底夹层动脉瘤:65Y M,脑干梗塞


术后患者无明显不适(TB 6.0X45)


焦点1:血流导向装置是否可以在后循环使用?

焦点2:不同血管直径下TB长度变化

技术经验总结:支架规格型号选择关键点
支架释放容易偏大匹配;
支架释放难度大偏小匹配;
路径血管迂曲支架输送极度困难偏小匹配;
近端不稳偏大1-2级(释放难度大考虑桥接);
椎基底动脉偏大2级;
控制性释放时由长度、释放难度决定。
远端(延长多少);动脉瘤颈(原始长度);近端(短缩/延长多少)
短缩/延长基准:±0.25以内
延长:直径每缩小1mm长度增加25%(推力量);
短缩:直径增加0.5mm短缩25%(减张释放);瘤内短缩50%(维持张力释放)
远近端长度一般为5-15mm(结合稳定性)
需考虑因素:
1.±0. 5血管直径中实际长度与推挤力量成反比,避免过度推挤!
2.控制性释放由需求长度、释放难度决定。
1、血管直径:±0.5以内血管容易释放,超出要考虑打开困难、贴壁不良等问题。
2、血管极度迂曲:会导致输送极度困难,需选择直径匹配偏短支架,控制性释放;暴力输送也会导致支架疲劳,打开困难,需要中距离(1-2环内),耐心轻柔推拉按摩式打开;释放过程需维持适当张力非常缓慢释放。
四、桥接:
长度不够(优先单支架控制性释放);
血管迂曲且远近端血管差异大:释放困难或不稳定;
血管极度迂曲,理想规格支架输送极度困难。
远端血管直径偏大匹配长支架、近端血管偏大1-2级长支架;
血管迂曲,可以双插管,头羊技术桥接;
桥接段不短于10mm为宜。
作者简介
钟书
广西自治区人民医院
脑血管、脊髓神经外科副主任医师,广西右江民族医学院外科副教授
中国卒中专科联盟委员
中国医师协会神经介入专委会委员
国家卫健委脑防委出血介入专委会委员
中国生命关怀协会理事
中国生命关怀协会脑卒中救治及康复照护专业委员会常务委员
中国老年医学会神经医学分会常委兼副总干事
中国老年医学会脑血管病分会委员
中国老年保健医学研究会脑卒中防治分会委员
海峡两岸医药学会神经外科专委会脑血管病学组委员
中国人体健康科技促进会临床神经科学技术转化专委会委员
中国神经外科重症管理协作组委员
中国神经科学转化与循证医学协作组委员
广西脑血管病专科联盟副主席兼秘书长
美国神经介入(JNIS)杂志中文版编委
脑医汇-神介资讯编委
获国家卫健委脑防委优秀中青年专家、国家卫健委脑卒中防治工程十周年菁英先锋奖、中国志愿医生脱贫攻坚功勋奖、广西区直机关青年岗位能手、广西优秀青年志愿者等荣誉称号
点击或扫描上方二维码,
前往钟书学术主页
查看更多精彩内容
点击或扫描上方二维码
查看更多“介入”内容







