Case Review
• 42 y/o male.
• suffered from mild headache for one month.
• Med history: HTN controlled unsatisfactorily, irbesartan, hydrochlorothiazide and nifedipine was administered. Non-functional adrenal tubercle, secondary HTN was excluded.
• NE: (-)
• 42岁男性。
• 轻度头痛1月
• 既往史:高血压病史,口服厄贝沙坦、氢氯噻嗪和硝苯地平控制血压,血压控制不佳。检查发现左侧无功能性肾上腺结节,内分泌科排除继发性高血压。
• 神经查体:-。

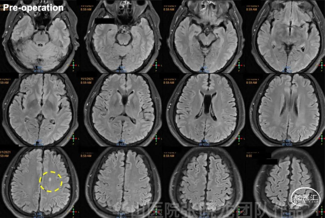
图 1. 术前当地医院MRI提示左侧顶叶点状梗死灶。

图 2. 高分辨率磁共振提示基底动脉瘤壁明显强化,左侧大脑中动脉瘤壁及M1段血管壁轻度强化。

图 3 GIF. 造影证实基底动脉瘤,同时偶然发现肺部血管畸形。

图 4 GIF. 右侧小脑上动脉发自动脉瘤颈。

图 5. 双侧后交通动脉未发育,双侧颈内动脉眼段小动脉瘤。

图 6 GIF. DSA证实左侧大脑中动脉分叶状动脉瘤。
1
Treatment Strategy
1.Bilateral small ophthalmic aneurysms were followed up.
2.The lobular middle cerebral artery bifurcation aneurysm had a high rupture rate, which should be treated with stent assisted technique. The Solitaire stent was planned to deploy in the superior branch in order to straighten the parent artery.
3.The right superior cerebellar artery (SCA) originated from the basilar artery aneurysm neck with a sharp angle. The proximal and distal perforators arising from the SCA were important. Therefore the stent microcatheter might be difficult to advance to the SCA due to the sharp angle, and thrombus easily formed in an SCA stent.
4.Therefore dual microcatheter simple coiling technique was adopted for the basilar artery aneurysm. A microcatheter covered the out-flow tract in order to preserve the SCA. Another one was used to pack the aneurysm and the in-flow tract should be packed densely.
1.双侧颈眼小动脉瘤建议随访。
2.大脑中动脉分叉部分叶状动脉瘤破裂风险高,建议支架辅助栓塞治疗。计划采用Solitaire支架,支架放在大脑中动脉上干,通过Solitaire支架拉直载瘤动脉,增大成角,降低动脉瘤复发风险。
3.右侧小脑上动脉发自基底动脉瘤颈部,且成角锐利,故支架微导管很难超选至小脑上动脉。而且小脑上动脉有很多重要穿支,小脑上动脉支架内很容易形成血栓,一旦支架内血栓形成,引起严重并发症。
4.所以基底动脉瘤我们计划采用双微导管单纯栓塞。一根微导管放在流出道用来保护小脑上动脉,另一根微导管栓塞动脉瘤,且流入道需要致密栓塞。
2
Dual microcatheter simple coiling of a BA aneurysm

图 7. 基底动脉瘤测量:动脉瘤大小9.4*4.9mm,瘤颈7.6mm。一根Echelon-10微导管置于流出道用来保护小脑上动脉,另一根Prowler Plus微导管栓塞动脉瘤。

图 8 GIF. 经栓塞微导管 依次填入6枚弹簧圈( Target 360 soft 11mm*30cm, 8mm*30cm, 8mm*20cm, 7mm*30cm, 5mm*10cm, 5mm*15cm )。经Echelon-10微导管证实右侧小脑上动脉通畅。

图 9 GIF. 继续填入2枚弹簧圈,复查造影右侧小脑上动脉通畅,动脉瘤流入道少许残留( Raymond IIIb)。

Figure 10 GIF. The basilar artery plus perforators were intact and the aneurysm satisfactory packing. Tirofiban 13ml was administered via catheter.
图 10 GIF. 复查造影基底动脉及其穿支血管显影良好,动脉瘤栓塞满意。经导管给予替罗非班13ml。

Figure 11 GIF. 3D construction.
图 11 GIF. 3D重建。
3
Stent assisted coiling of a MCA aneurysm

图 12. 测量。动脉瘤大小3.7*2.4mm,动脉瘤颈1.2mm。M1段直径2.2mm,上干直径1.8mm。微导丝塑S形将Prowler Plus微导管置于大脑中动脉上干。

图 13 GIF. 重新选择工作角度,于瘤颈部部分释放Solitaire 4*20mm支架。直头Echelon-10微导管在微导丝导引下通过瘤颈部后轻轻回撤,微导管置于瘤腔。这过程中,3D路途显示子瘤。

图 14. 填入Target helical ultra 3mm*6cm弹簧圈。

图 15 GIF. 选用另一根直头Echelon-10微导管置于大脑中动脉下干。经栓塞微导管填入一枚Target helical ultra 2.5mm*4cm弹簧圈后完全释放Solitaire支架。然后继续填入4枚弹簧圈( Perdenser 2d 2.5*8, Target 360 ultra 2*4, 2枚Target 360 ultra 2*3 )。

图 16 GIF. 造影证实动脉致密栓塞,载瘤动脉通畅。经导引导管给予替罗非班8ml。

图 17 GIF. 再次行造影,证实左侧大脑中动脉及右侧小脑上动脉血流通畅。

图 18 GIF. 弹簧圈成篮。Dyna-CT未见出血。
4
Post-operative PE:
GCS 15, bilateral limb normal muscle strength, no nystagmus.
Tirofiban 13ml/h for 48h.
GCS 15,双侧肌力正常,无眼震。
予替罗非班13ml/h微泵维持48h。
The patient suffered from left limb weakness (left upper IV, left lower IV+), horizontal nystagmus, right Babinski (+),left Babinski (-).
患者左侧肌力下降(左上IV,左下IV+),双眼水平眼震,右侧巴氏征阳性,左侧巴氏征阴性。

图 19. 立即行头颅CT,未见出血。予半量肝素化。

图 20 GIF. 急诊DSA证实右侧小脑上动脉血流缓慢,左侧大脑中动脉通畅。遂经椎动脉予半量全身肝素化和替罗非班5ml,右侧小脑上动脉血流略改善。查体:GCS 15,眼震消失,左侧肌力IV+,双侧巴氏征阳性。替罗非班15ml/h维持。

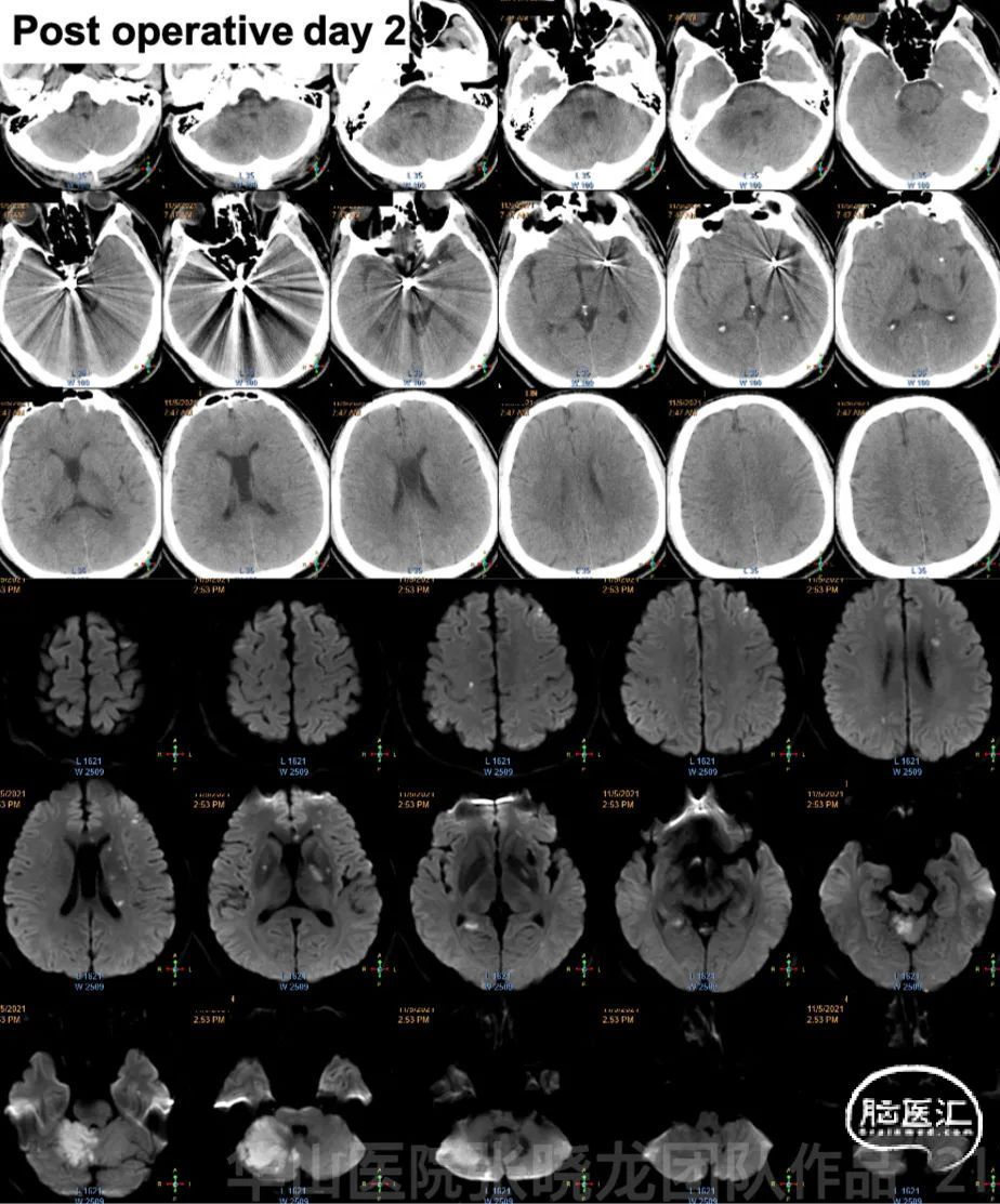
Figure 21. Post-operative day 2 head CT showed no hemorrhage and DWI depicted right cerebellum, midbrain and left basal ganglia region acute infarction with bilateral hemisphere scattered infarction.
图 21. 术后第2天头颅CT未见出血,DWI提示右侧小脑半球、中脑及左侧基底节区急性脑梗,双侧大脑半球散在梗死。
Post-operation to post-operative day 5:
1.Medication: Aspirin 100mg & Clopidogrel 75mg (AA 97.4%, ADP 98.3%).
Tirofiban 13ml/h maintained about 8 hours, changing to 15ml/h for 16 hours, 13ml/h for 4 hours, 10ml/h for 6 hours, 6ml/h for 38 hours.
2.PE: GCS 15, no nystagmus, left upper limb muscle strength IV+ and lower improved to V-, right Babinski (+) while left Babinski (-).
1.药物:口服阿司匹林100mg+氯吡格雷75mg(阿司匹林抑制率97.4%,氯吡格雷抑制率98.3%)。
替罗非班13ml/h维持8h后改为15ml/h维持16h,然后逐渐减量(13ml/h维持4h,10ml/h维持6h,6ml/h维持38h)。

图 22 GIF. 术后6天复查造影,右侧小脑上动脉血流通畅,基底动脉瘤及左侧大脑中动脉瘤未见复发。此时脑梗后出血风险高于血栓风险,故抗血小板药物减至阿司匹林100mg+氯吡格雷25mg。

图 23. 出院时查体:右侧肌力V-,左上肢、IV左下肢V-,无眼震。出院后:患者停用双抗。随后出现右侧肌力明显下降(右侧不能持物、行走),言语不清。当地医院头颅MRI提示左侧侧脑室旁新发脑梗塞。

Figure 24 GIF. Three months after rehabilitation, speech and right muscle strength improved. The above video showed the patient condition 10 month after operation. NE: bilateral muscle strength v, right hand inflexibility, left leg hyperesthesia.
图 24 GIF. 经过3个月康复,患者语言和右侧肌力改善。视频显示患者术后10个月的情况。神经查体:双侧肌力正常,右手精细活动不灵活,左腿感觉减退。
5
Follow Up

图 25 GIF. 术后10月随访右侧小脑上动脉通畅。
Video 1. The basilar aneurysm was no relapsed.
视频 1. 10月复查造影基底动脉未见复发及残余。
Video 2. The left middle cerebral aneurysm was densely packed.
视频 2. 术后10月随访,左侧大脑中动脉瘤致密栓塞,未见复发。

图 26. 大脑中分叉部动脉瘤载瘤动脉成角明显增大。
Video 3. Rotational DSA showed no recurrence of the aneurysm.
视频 3. 旋转DSA未见动脉瘤复发。

图 27. 10月随访,双侧颈眼动脉瘤稳定;如果出现咯血,左侧肺动静脉畸形建议治疗。
Summary
The superior cerebellar artery was arisen from the aneurysm neck with a sharp angle. The proximal and distal perforators arising from the SCA were important.
The stent microcatheter might be difficult to advance to the SCA due to the sharp angle, and thrombus was easy to induce in an SCA stent. Skating technique was high risk.
Therefore dual microcatheter technique was preferred: use a microcatheter to cover the out-flow tract in order to preserve the SCA. Coils were planned densely at the in-flow tract via another coiling microcatheter.
Large coil formed a stable frame and covered the basilar artery side and SCA side.
Small coils should be avoided packing at the neck, coils might occluded the origin of the SCA.
For aneurysm with important side branch, pre-operative antiplatelet might reduce the thrombosis during large coil technique.
The patient was unsensitive to Tirofiban.
基底动脉瘤:
小脑上动脉发自基底动脉瘤颈部、成角锐利,而且小脑上动脉有很多重要穿支。
支架微导管很难超选至小脑上动脉,而且小脑上动脉支架内很容易形成血栓。此外溜冰技术对该动脉瘤风险很大。
所以采用双微导管技术。一根微导管放在流出道用来保护小脑上动脉,另一根栓塞微导管致密栓塞流出道。
大圈稳定成篮覆盖基底动脉和小脑上动脉。
应避免小圈填塞瘤颈部,因为这可能闭塞小脑上动脉起始部。
对于重要分支的动脉瘤,术前抗血小板可能能降低血栓形成风险。
该患者对替罗非班不敏感。
For the MCA bifurcation AN:
The lobular aneurysm had multiple daughter sacs, which could not be fully revealed on one working projection. These daughter sacs should be monitored via the 3D roadmap during superselection.
For the superior branch, Solitaire stent was used to straighten the parent artery, then re-performed the rotation to choose a working projection for coiling.
The stent was not fully deployed, in order to advance the coiling microcatheter easier.
Stable frame to preserve the inferior branch.
大脑中动脉分叉部动脉瘤:
分叶状动脉瘤有多发子瘤,单个工作角度不能将其显示清楚。超选择造影时应通过3D路途清楚显示这些子瘤。
采用Solitaire支架拉直大脑中动脉上干,然后旋转造影重新路途选择合适工作角度填塞弹簧圈。
为了栓塞微导管超选方便,一开始不完全支架释放。
稳定的成篮来保护大脑中动脉下干。
Both pre-operative and post-operative antiplatelets are fundamental for branch aneurysms, which could lower thrombosis formation risk.
对于重要分支的动脉瘤,术前术后抗血小板治疗可能降低血栓形成风险。
张晓龙
复旦大学附属华山医院
复旦大学附属华山医院放射科主任医师,博士、教授、博士生导师;
斯坦福大学医学院客座临床教授;
主持国家自然科学基金3项,第一作者或通讯作者发表国内外权威期刊文章50余篇;
中华医学会、放射学会、卫生部医政司等组织中担任副主任委员、组长等职务.《中国名医百强榜》神经介入专业中国十强(2012年度、2013年度、2014年度、2015-16年度、2017-18年度);
擅长复杂和疑难脑血管疾病的介入治疗,如复杂脑动脉瘤的栓塞,硬脑膜动静脉瘘栓塞,脑动静脉畸形栓塞,脑梗死的支架,脊髓血管畸形治疗;
自1995年开始从事脑血管疾病介入诊治工作和研究,师从黄祥龙教授、沈天真教授和凌锋教授,是我国最早从事神经介入的专家之一。2010年9月至今连续介入治疗颅内动脉瘤1500余例,无操作致死.
点击或扫描上方二维码,
前往 张晓龙教授 学术主页
查看更多精彩内容
点击或扫描上方二维码
查看更多“介入”内容







