
01
病例简介
基本信息
患者,男,59岁,因“发现意识障碍3小时”为主诉入院。
简要病史:3小时前患者家属发现患者意识障碍,瘫倒在地,呼之不应,不睁眼,左侧肢体未见活动,右侧肢体可见自发活动,左前胸部皮肤可见擦伤,周围环境未见呕吐物,急诊当地医院,查颅脑CT未见出血,为求进一步诊疗转至我院。
入院神经系统查体:昏睡状态,轻度构音障碍,双眼右侧凝视,双侧瞳孔等大等圆,直径3.5mm,对光反射灵敏,左侧中枢性面舌瘫,左侧肢体肌张力低,肌力0级,右侧肢体肌张力、肌力正常,左侧病理征阳性。NIHSS评分:18分。
02
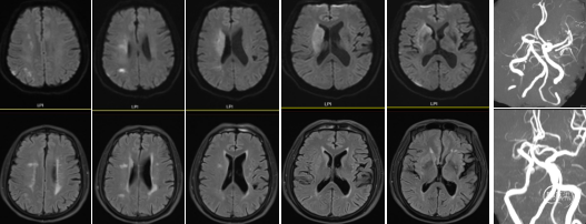
影像资料

急诊绿色通道完善脑MR:1.右侧额顶叶、基底节区、岛叶、颞枕叶多发急性期梗死;2.右侧大脑中动脉重度狭窄或闭塞。
03
术前诊断评估
1.大脑动脉闭塞脑梗死;
2.多发脑动脉狭窄或闭塞;
3.冠心病 冠脉支架植入后状态 心功能I级;
4.高脂血症;
5.高血压病3级(极高危);
6.腰椎间盘突出术后。
结合患者病史及影像学检查,提示右侧大脑中动脉闭塞为责任血管,考虑患者症状与梗死病灶不匹配,梗死病灶与血管情况不匹配,与患者家属沟通后行静脉溶栓后桥接取栓治疗。
8F导引导管
ACE 68血栓抽吸导管系统
微导丝
微导管
5*30mm Reco取栓支架
04
手术过程

右侧大脑中动脉闭塞。

左侧颈内动脉显影正常,未见向右代偿。

右侧椎动脉优势,未见向前代偿。

考虑到血栓抽吸导管系统(ACE 68)头端抗抽瘪和优异通过性的特点,使用ACE 68快速高到位,微导丝携带微导管Rebar18 超选至R-M2段,造影证实在真腔。

造影考虑ICAS病变,通过微导管Rebar18输送5*30mm Reco取栓支架,施行SWIM技术。
SWIM技术取栓过程:ACE 68同轴到位M1起始段,回撤Reco取栓支架同时持续ACE 68向前跟进,减少血栓逃逸的同时将血栓拉进ACE 68并撤出体外。

一次取栓实现血管再通,复查造影提示R-M1局限性狭窄,观察20分钟复查造影R-M1局限性狭窄无明显回缩,前向血流III级,因前向血流速度正常,故原位狭窄暂不同期处理,待病情稳定后择期处理。

术后第二天复查脑CT示右侧额颞叶及基底节区梗塞。
05
总结和讨论
1.该患者右侧大脑中动脉闭塞,根据取栓支架释放后造影情况,判断为ICAS病变基础上继发急性闭塞,血栓负荷量不大,SWIM技术一次取栓实现血管再通,再次造影证实R-M1段狭窄,经过动态观察,血管狭窄无明显变化,前向血流III级,维持良好,故未进一步行球囊扩张或支架置入。
2.对于大血管急性闭塞的患者,判断闭塞段血管情况非常重要,不同的病变性质需要我们采用不同的取栓策略。ACE 68作为一款性能优异的抽吸导管,当考虑心源性栓塞时,可直接采用ADAPT技术。搭配负压抽吸泵能提供持续负压防止血栓逃逸,提高一次性开通率,对于熟练术者单人就可以完成取栓手术;当考虑为ICAS病变基础上继发急性闭塞时,联合Reco取栓支架,采用SWIM技术取栓实现血管再通。Reco取栓支架(3*10 3*20 4*15 4*20 5*20 5*30 6*20 6*30)作为国产首款取栓支架,闭环开放卷曲设计,平衡径向支撑力和柔顺性使其具有高效的取栓能力,并提供颅内血管全尺寸解决方案。
术者简介
项广宇
许昌市中心医院
中共党员,主任医师,硕士生导师,从事神经内科20余年
许昌市中心医院卒中病区(神经介入、神经重症)主任
河南省文明医生
许昌市拔尖人才
许昌市疾病预防控制工作先进个人
中国研究性医院学会介入神经病学专业委员会出血学组委员
河南省医学会神经病学分会委员兼神经介入学组副组长
河南省医师协会神经病学分会常务委员兼神经介入学组副组长
河南省医师协会神经介入专业委员会委员
河南省医学科学普及委员会神经重症专业委员会常务委员
河南省卒中学会神经介入分会委员
河南省卒中学会青年理事会常务理事
河南省中西医结合介入医学专业委员会委员
河南省睡眠研究会神经睡眠专业委员会委员
河南省中西医结合眩晕病专业委员会委员
许昌市医学会神经介入专业委员会主任委员
许昌市医学会神经重症专业委员会主任委员
许昌市医学会卒中学会副主任委员
许昌市医学会介入专业委员会副主任委员
许昌市医学会神经内科专业委员会常务委员
许昌市医师学会神经内科分会常务委员
许昌市脑卒中防控专家委员会委员兼秘书
许昌市医学会物理与康复医学专业委员会委员
擅长神经介入诊断及治疗、脑血管疾病及各种神经系统疑难危重疾病的诊治及抢救
和志刚
许昌市中心医院
中共党员,硕士研究生,副主任医师
河南省医学会神经病学分会神经介入学组委员
许昌市神经介入专业委员会秘书兼委员
许昌市神经重症专业委员会委员
许昌市卒中专业委员会委员
擅长神经重症及神经系统疾病的介入治疗

点击或扫描上方二维码
查看更多“介入”内容









