
01
病例简介
基本信息
中老年男性,67岁,因“被发现右肢无力伴言语不清9小时余”入院。
简要病史:5-29 0:00入睡,04:30被发现右肢无力,言语不清;09:10至我院急诊。
查体:神志昏睡,言语不清,双眼右侧凝视,右肢肌力0级。
NIHSS评分:15分(意识1+对答1+指令1+凝视1+面瘫1+左上肢4+左下肢4+构音2)。
既往史:高血压病、脑梗死病史,均未规律服药。
02
术前影像学

术前CT未见出血。

术前CTA:左侧颈内动脉、椎动脉颅内段、大脑中动脉未见显影,左侧大脑半球远端分支血管较对侧明显稀疏。

CTP:左额叶、基底节存在核心梗死区,体积35.5ml;左大脑半球mismatch体积171.5ml,低灌注体积207ml,比值5.8。
03
术前诊断评估
术前讨论:患者为醒后卒中,发病时间已超过静脉溶栓时间窗,未予静脉溶栓治疗。急诊CTA提示左侧颈内动脉、左侧大脑中动脉闭塞,ASPECTS 评分8分,尚未出现大面积低密度灶改变,CTP提示mismatch 为5.8,有明确的手术取栓指征。患者为高龄男性,既往有“高血压病”“脑梗死”病史,未规律服药治疗,无房颤及心脏瓣膜病病史,心源性栓塞可能性小,考虑动脉粥样硬化性狭窄继发血栓形成可能性大。
术前诊断:急性脑梗死(左侧前循环动脉粥样硬化性)。
发病机制推断:1.脑动脉粥样硬化继发血栓形成,动脉-动脉栓塞可能性大;2.心源性栓塞?
手术策略:1.SWIM(支架取栓+抽吸)技术;2.SWIM(支架取栓+抽吸)技术,若存在狭窄,必要时予球囊扩张(和)支架植入术。
04
手术过程
5F椎动脉造影管、泥鳅导丝
Neuron MAX 6F长鞘
Rebar-18微导管
ACE 60再灌注导管
6×30mm颅内取栓支架
球囊
7×40mm颈动脉支架
远端保护装置

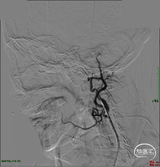
急诊DSA:主动脉弓造影提示LICA闭塞,RICA代偿差。

急诊DSA:LICA闭塞,LICA起始部次全闭塞。

急诊DSA:微导管于LICA-C2段造影见血栓近端所在,明确患者为LICA起始段次全闭塞合并远端栓塞的串联病变。

首先处理起始段狭窄-使用球囊(2×15mm、3×15mm、5×20mm)分3次逐渐扩张颈内动脉起始段。

SWIM技术取栓:半松球囊状态下Neuron Max 6F长鞘顺势送至C2段建立通路。

ACE 60再灌注导管送至血栓近端,微导丝、微导管穿过血栓至LMCA,6×30mm 取栓支架到位并释放。

双重负压抽吸下回撤取栓支架,造影见mTICI 3级再通。

保留微导丝,长鞘撤回颈总动脉,将远端保护装置放于岩段,置入7×40mm颈动脉支架。

支架释放,取栓支架及ACE 60内可见多量血栓。
术后处理及复查

术后6小时患者状态:神智清醒,构音不清,右侧肢体肌力恢复至2级,NIHSS评分9分。
术后治疗:术后予替罗非班静脉泵入,6ml/H,同时加用丁苯酞改善侧枝循环,依达拉奉抗氧自由基,强化他汀,控制血压,神经康复等治疗。
术后24小时复查CT提示未见出血,改为阿司匹林+波立维双重抗血小板聚集治疗。

05
术后随访
出院时查体:BP134/74mmHg,HR86次/分,神志清醒,查体合作,应答切题,构音欠清。眼球活动正常,无凝视,无眼震,右侧鼻唇沟稍浅,口角向左歪斜,伸舌偏右。心脏各瓣膜听诊区未闻及病理性杂音。左侧肢体肌力5级,右侧肢体肌力3级,右肢肌张力稍弱。NIHSS评分5分。
出院60天随访:神志清楚,言语功能恢复,右侧肢体肌力4级。
06
总结和讨论
本例患者左侧颈内动脉起始段闭塞合并狭窄、床突段闭塞,其手术方式是首先开通颈内动脉以减少大脑缺血时间,然后处理颈内动脉狭窄问题。
在颈内动脉取栓的过程中,由于其特殊的分叉结构,血栓可能向大脑前动脉或者大脑中动脉发生移位或逃逸,也有可能向对侧逃逸,这造成了此处取栓的困难,这种串联性病变比与单纯病变在手术时难度要大。
Neuron MAX 6F长鞘可以高到位,前循环到C2,后循环到V2;强支撑,为治疗提供稳定的支持。
ACE 60独特的金属丝缠绕技术保持管腔完整和输送性,全程PTFE内衬保持管腔的完整性和器械的输送性。
SWIM技术具有抽拉结合、双重保护的作用,可以有效的减少血栓向远端逃逸,从而缩短手术时间,改善患者预后。
手术指导
冼文川
广东医科大学附属医院
神经内科副主任,主任医师,医学博士
广东省医疗行业协会神经内科管理委员会委员
广东省神经病学分会神经急危重症学组委员
广东省医学会脑血管病分会委员
广东省卒中学会缺血性神经介入分会委员
湛江市医学会脑卒中分会专业委员会委员
术者简介
廖锋
广东医科大学附属医院
神经内科主治医师,硕士
发表SCI 2篇,国家核心期刊文章2篇
广东省医学会脑血管病学分会青年委员会委员
广东省临床医学学会心源性卒中专业委员会粤西学组委员

点击或扫描上方二维码
查看更多“介入”内容









