
01
病例简介
基本信息
患者,男性,70岁;因“发现右侧肢体无力伴言语含糊4.5小时”于2022-06-02入院。
患者既往有“高血压病”、“2型糖尿病”、“房颤”、“甲亢”病史。
查体:体温36.9℃,脉搏55次/分,呼吸15次/分,血压104/62mmHg,意识清楚,口齿含糊,右上肢肌力III级,右下肢肌力II级,双侧巴氏征阴性。房颤心律。
02
影像资料

头颅MR:DWI提示左侧脑桥基底部、双侧小脑半球、左侧颞叶急性梗死,与FLAIR不匹配,左侧P2段不显影。
03
术前诊断评估
1.脑梗死(椎-基底动脉系统),TOAST分型:心源性栓塞
2.左侧大脑后动脉P2段闭塞
3.高血压病
4.2型糖尿病
5.心房颤动
6.甲亢
患者房颤病史,本次起病急,首先考虑心源性栓塞导致,且栓塞位置相对较远,为P2段,拟采用微导管抽吸技术取栓治疗。
04
手术过程
6F-70cm Cook长鞘
6F-125 中间导管
3Max 抽吸导管
Synchro2-2m 微导丝
Rebar18 微导管

主动脉弓造影:II型弓


左侧椎动脉造影:正侧位
左侧P2远端显影差,基底动脉尖部(左SCA起始处)充盈缺损,左SCA不显影。

右侧颈总动脉造影:正侧位

左侧颈总动脉造影:正侧位
未见血流经左PCoA代偿到同侧PCA。

微导丝过病变进入P2远端。
微导管过病变进入P2远端。

中间管抽吸后BA尖再通。
3Max抽吸导管轻松通过左P2段,做一次抽吸。


基底动脉尖、左SCA、P2远端血流恢复。

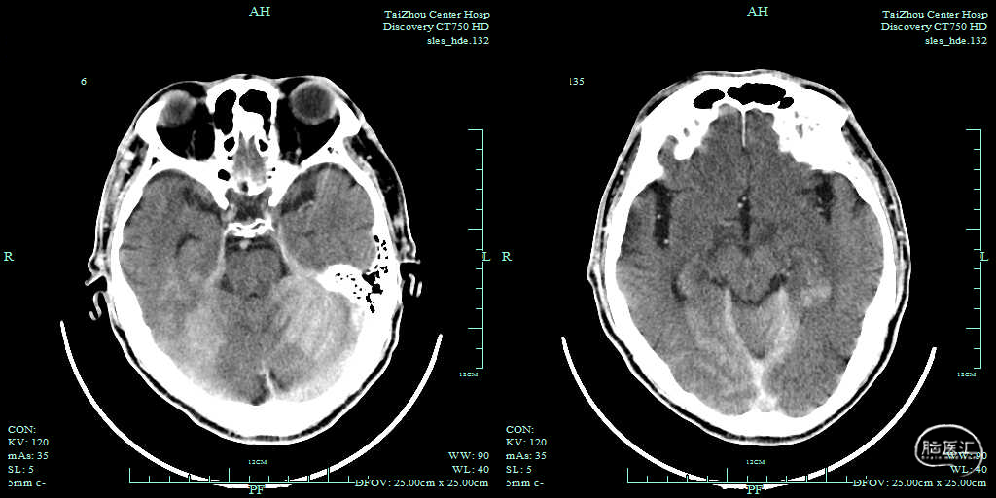
术后即刻头颅CT

术后6h头颅CT

术后3d头颅CT

引流术后头颅CT
出院:意识清楚,查体欠配合,右上肢肌力III级,右下肢肌力II级,双侧巴氏征阴性。房颤心律。

头颅CT
05
总结和讨论
本例患者发病时间明确,后循环梗死发病时间较短,有明确的手术适应症。
本例手术中较大的难点在于取出P2段的血栓,如选择支架在该位置相对不易取出血栓,且风险较高,而选择3Max抽吸导管到位简单、安全,抽吸出的血栓也较为完整,是手术成功的一个重要要素。
术者简介
陈林考
台州市中心医院
神经内科任住院医师
黄睿
台州市中心医院
神经内科主任医师
浙江省医师协会神经介入专业委员会第一届委员会委员
浙江省医学会神经病学分会第七届委员会神经介入学组委员
浙江省卒中学会预防与质控分会委员

点击或扫描上方二维码
查看更多“介入”内容









