今天为大家分享的是《监测有道丨颅脑创伤-神经重症周刊》第290期,由新疆医科大学第一附属医院汪永新教授、秦虎副主任医师带来的:精准颅压颅温监测下治疗一例重型颅脑损伤,欢迎阅读、分享。病例介绍
患者男性,40岁。
主诉:高处坠落致意识丧失8小时。
专科查体:GCS 5分,右侧瞳孔直径约2.0mm,左侧瞳孔直径约1.5mm,光反射消失。刺痛下肢体屈曲。
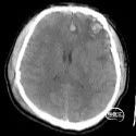
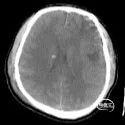
辅助检查:入院当天头部CT示:双侧额顶叶、左侧颞叶脑挫裂伤,最大截面约3.05×2.30cm,蛛网膜下腔出血。
















诊断思路及方案




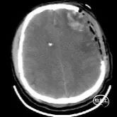
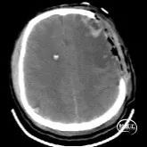
术后情况




























讨论
中国颅脑创伤年发生率为55/10万~64/10万,每年导致近10万人死亡,数十万人伤残,是严重的公共卫生问题;其中重型颅脑创伤(severe traumatic brain injury,sTBI)占颅脑创伤的13.0%~21.0%[1]。其发病率和致残率都较高。道路交通事故为主要致伤原因[2]。严重创伤性颅脑损伤(severe traumatic brain injury,sTBI)被定义为Glasgow评分<9分的TBI。sTBI所导致的继发颅脑损伤可降低存活神经的灌注、氧供、代谢,且代谢产物和毒素的清除能力减弱。其病理生理学机制为血管性水肿或细胞毒性水肿引起脑组织肿胀;同时,由于颅脑的密闭性,导致颅内压(intracranial pressure,ICP)增高,可引起脑疝,进一步使得局部缺血损伤、脑干受压[3]。持续升高的ICP是TBI后继发颅脑损伤的关键因素[4]。
ICP是颅内容物(脑组织、血液、脑脊液)对颅腔侧壁产生的压力。sTBI患者的ICP增高和(或)低血压均与不良预后相关[5ab]。目前仍缺乏临床随机对照试验来客观评价ICP监测与sTBI患者预后的关系。即便如此,当前多数研究结果仍支持有效控制sTBI的颅高压可改善患者预后,治疗无效的难治性颅高压会增加不良结局和病死率。关于ICP监测与预后的研究结果也不一致,有研究认为其可改善预后[5-7],也有认为并不能从中获益,甚至可能增加病死率[8]。国内外颅脑外伤救治指南均推荐对GCS评分3-8分的重型颅脑损伤患者进行颅内压监测,以降低死亡率及致残风险,改善患者预后。快速评估颅内压(intracranial pressure,ICP)和有效降低ICP是治疗的关键,ICP监测手段的应用,已经成为sTBI临床管理中不可或缺的重要手段[9]。规范的去骨瓣减压技术可以增加颅内的代偿空间,降低ICP。
ICP监测首选脑室置入探头导管方法,其次依次为脑实质内、硬膜下和硬膜外。脑室内探头监测,能客观反应患者颅内压力,并实现量化,直观的表明患者病情情况。本例患者依据专家共识推荐,及时实施ICP监测,并根据指南推荐,进一步行去骨瓣减压,既避免由于经验不足导致延误治疗,也避免了凭经验开颅减压,过度治疗。诸多指南指出,术后分层控制升高的ICP对管理sTBI患者非常重要[3]。本例患者术后持续性监测颅内压,实时了解颅内压变化,采取阶梯式降压方案,尤其是术后第7日复温过程中,颅内压发生剧烈波动,随即在ICP实时监测下,及时调整治疗方案,降低颅内压,避免产生不良后果甚至治疗失败。综上所述,针对重型颅脑损伤患者,尤其是中线结构移位不明显,临床症状表现较重的患者,明确颅内压至关重要,脑室内ICP置入首选[10]。无明显占位效应的颅脑损伤昏迷患者,手术指征难以把握,通过ICP植入,实时监测颅内压数值,可以对急性期患者提供手术决策。术后持续性精准颅内压监测,可及时反应患者病情变化,指导临床用药,及时调整治疗方案。此外,应当重视术后脑脊液管理,加强术后颅内引流管护理,预防颅内感染的同时,可延长颅内压监测时间。
参考文献
作者简介
汪永新 教授
新疆医科大学第一附属医院
二级教授、博士生导师
新疆医科大学第一附属医院神经外科中心主任
新疆医学会神经外科分会副主任委员
新疆神经外科研究所副所长
中国医师协会神经外科医师分会委员
中华医学会数字医学分会委员
中国神经重症管理协作组常委
中国医师协会神外医师分会小儿神外专家委员会委员
中国抗癌协会神经肿瘤分会委员
《中华神经外科杂志英文版》通讯编委
擅长应用内镜及显微镜治疗各种神经系统肿瘤、狭颅症、复杂颅面畸形综合征、脊髓脊膜膨出、颅脑寄生虫病、脑积水、脑瘫和重型颅脑损伤等疑难病种
秦虎 副主任医师
新疆医科大学第一附属医院
博士,副主任医师
中国老年医学学会神经医学分会青年委员
中华创伤杂志青年学术委员会委员
主要从事颅脑创伤、胶质瘤、脑膜瘤、颅内感染、植物人促醒,自发性脑出血等疾病的诊治。在新疆率先开展以ICP为导向治疗重型颅脑损伤;基于影像后处理构建可视化技术及3D打印技术应用于神经外科各类疾病的辅助治疗。主持并参加国家自然科学基金2项,自治区级、厅局级自然科学基金5项、校级课题4项。先后在国内外杂志上发表论文20余篇。获得2022年新疆维吾尔自治区科技成果三等奖、2021年新疆医科大学第一附属医院优秀青年人才、2020 年改善医疗服务行动计划第六季全国医院擂台赛北部赛区十大人气案例、2019年中华医学会神经外科学分会第十八次学术会议优秀论文奖、2019年脑脊液管理大赛北方赛区二等奖,2019年新疆医科大学第一附属医院优秀青年医师等荣誉称号
声明:脑医汇旗下神外资讯、神介资讯、神内资讯、脑医咨询、Ai Brain 所发表内容之知识产权为脑医汇及主办方、原作者等相关权利人所有。








