01
作者简历
王守春
吉林大学第一医院
神经内科教授,主任医师,日本秋田大学博士后,博士研究生导师
中国研究型医院学会介入神经病学专业委员会副主任委员
中华医学会神经病学分会神经介入协作组副组长
中国医师协会医学科学普及分会常务委员
中国卒中学会复合介入神经外科分会常务委员
中国医师协会神经介入专业委员会常务委员
吉林省卒中学会神经介入分会主任委员
吉林省医学会神经病学分会缺血性脑血管病介入治疗学组组长
2004年组建“吉大一院缺血性脑血管病介入治疗协作中心”。发表文章50余篇,包括SCI论文30篇。目前已经开展缺血性脑血管病的脑动脉狭窄、闭塞再通介入治疗及全脑血管造影近万例;特别在急诊血管内介入治疗方面积累了非常丰富的临床经验
李超
吉林大学第一医院
神经内科
从事缺血性脑卒中介入治疗的临床和基础研究工作5年。专长缺血性脑卒中绿色通道建设及急诊再通治疗

产品参数

02
患者信息
男,48岁,因“头晕7天,加重伴右侧肢体活动不灵10小时” 以“脑梗死” 收入院。
高血压病。
03
查体
嗜睡,重度构音障碍,眼球水平运动不能,右侧中枢祥面瘫,右侧肢体肌力0级,左侧肢体肌力4级,NIHSS评分18分。
头CT(急诊):左侧小脑半球、左侧放射冠、半卵圆中心、额顶枕叶脑梗死。
头颈CTA :左侧颈内动脉末端及基底动脉重度狭窄或闭塞。
04
术前影像

术前CT,ASPECT 8分。

术前CTA检查。

术前造影,BA近端闭塞。

术前造影,LC7次全闭塞。

术前造影,RICA 通过交通动脉向左侧颈内动脉及基底动脉尖代偿供血。
05
术前讨论
诊断:急性脑梗死(椎-基底动脉系统)、基底动脉闭塞、左侧颈内动脉末端次全闭塞。
手术指征:大动脉闭塞,内科用药症状持续进展,目前影像提示存在闭塞远端代偿,但结合症状与影像的不匹配,考虑代偿不足,存在可挽救的价值。
手术难度及风险:
1、闭塞部位为基底动脉近端,继发血栓不详,狭窄后血栓负荷大的情况,栓子很难一次取出,栓子逃逸风险大;
2、患者肢体瘫痪/眼球运动均为穿支缺血症状,再通有可能造成穿支损伤加重;
3、术中注意夹层/出血,术后注意过渡灌注等并发症。
06
治疗策略
结合症状体征,基底动脉闭塞为此次发病责任血管,病史及影像考虑动脉硬化狭窄后闭塞,闭塞部位穿支缺血/远段低灌注同时存在,可能存在继发血栓,首先清除血栓减少逃逸,狭窄部位球扩或支架成型。
07
手术过程
6F导引导管 85cm
205cm 微导丝
微导管
6X25mm 取栓支架
2.5X15mm 球囊
AXS Infinity LS导管鞘 90cm
AXS Catalyst 7颅内支持导管 132cm
3.0*8 mm 球扩支架
08
手术过程

6F导引导管,拟取栓后处理狭窄,必要时支架成型。

通过相对容易,考虑尖有代偿,远段有返流,微导管位置未放置过高。

微导管造影。

支架释放后发现远段大负荷血栓影,近端狭窄,狭窄不解除,远端血栓很难清除。

碎屑栓子取出,近端狭窄影响远端栓子清除,拟近端球扩,取栓后有小缝隙,留个路图,方便导丝通过。

2.5*15mm球囊6atm 压力。

球扩后造影,远端大负荷量血栓,抽吸效果更佳,且患者局麻操作,越快越好,操作越复杂风险越大,故更换器械。





AXS Infinity导管鞘结合AXS Catalyst 7颅内支持导管,导管鞘支撑裸奔到位,抽吸10s后明显落空,大量血栓。




AXS Infinity LS导管鞘结合AXS Catalyst 7颅内支持导管。导管鞘支撑,颅内支持导管送至基底动脉远端再次抽吸,多次抽吸无负压后结束抽吸 。




抽吸再通后造影,近端残余明显狭窄且局部毛糙,拟支架成型。

3.0*8 mm球扩支架,小压力,减少穿支损伤。

支架后造影

最后造影
09
术后效果

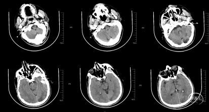
术后即刻CT

术后24小时CT

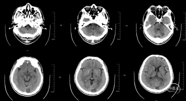
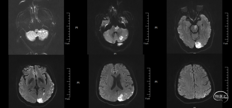
术后DWI
10
术后处理及预后转归
术后替罗非班泵24小时后桥接双抗。
7天出院查体:神清,构音障碍,眼球运动明显好转,右上肢肌力2级,右下肢肌力3级,左侧肢体肌力5级。
复查脑彩:基底动脉急诊再通术后4天,血流速度及频谱形态均正常。
颈彩:左侧椎动脉血流速度及频谱形态均正常。
离院用药:阿司匹林、氯吡格雷、阿托伐他汀钙片、丁苯肽软胶囊。
转康复医院康复治疗。
11
手术体会
动脉硬化狭窄后闭塞,往往合并穿支缺血及远端低灌注,内科治疗仍进展,推荐介入再通。
狭窄后急性闭塞往往存在继发血栓,建议先行取栓,支架释放后对病变有更清晰的了解,也减少后续栓塞事件,若血栓负荷量较大,大口径抽吸导管应用更佳。
AXS Catalyst 7颅内支持导管通过性良好 ,大口径,抽吸能力强 ,配合AXS Infinity LS导管鞘的强支撑,后循环颅内段(除外极度迂曲病变)可尝试裸奔到位,栓塞病变,更适合ADAPT技术的应用,一次再通成功率极高。
点击或扫描上方二维码
查看更多“介入”内容








