患者是最好的老师
出血部位影响预后
相近的脑出血量,
发生在不同部位有截然不同的症状,
同样也决定了预后也是截然不同的。
临床病例教会我们定位诊断
学习神经解剖很枯燥,
定位诊断时,才知知识不够用,
结合患者的症状和体征,反复阅片,
辨认被破坏的神经结构,
豁然开朗
记忆深刻
胸有成竹
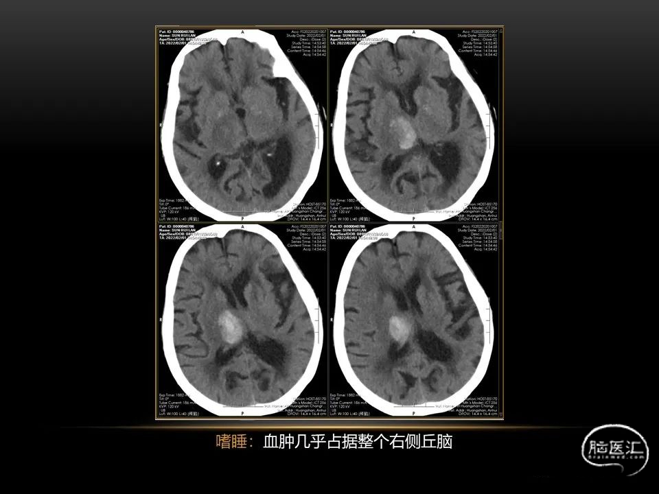
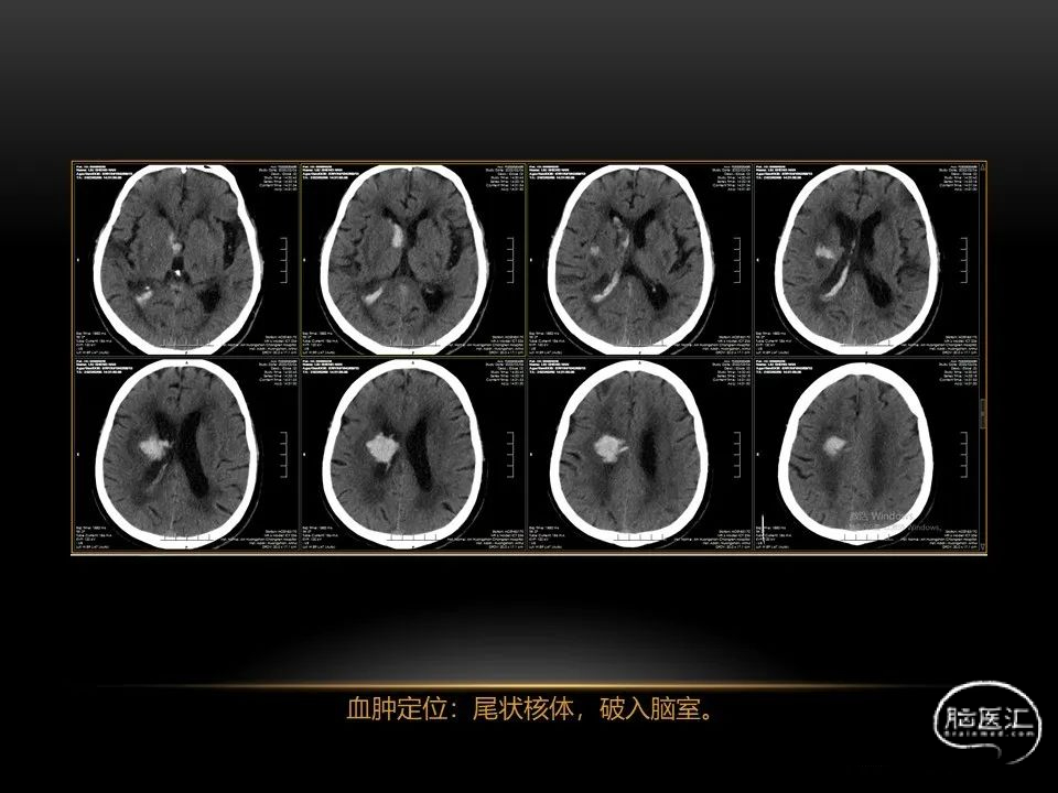
自发性脑出血临床上很常见,不同原因有特征性的出血部位。例如:基底节出血和丘脑出血大多是高血压性脑出血;脑叶出血,特别是多次复发的脑叶出血多见于老年人的脑血管淀粉样变。
自发性脑出血不仅仅累及内囊后肢才会出现偏瘫及偏身感觉障碍,病变累及大脑脚或辐射冠同样有可能有类似症状和体征。内囊、辐射冠、大脑脚等结构之间是延续的,只是不同区域不同名称而已。定位诊断需要对解剖结构概念清晰,读片准确辨认,灵活掌握。
每位患者的病情都不完全一样,唯有通过不断积累、仔细分辨、细心总结,方能沉着应对,为患者造福。本人水平有限,有空就收集一些手头珍贵资料分析分析,总结总结,回味回味,总会发现很多不懂的,总会有新的收获。望老师和朋友们不吝赐教,给我留言交流心得。
























































更多精彩内容 请关注作者




