一般资料
患者:女,20岁。
主诉:间断头痛1年,加重1个月。
现病史:患者1年前无诱因出现间断头痛,不伴随恶心呕吐等,起初未在意。1个月前上述症状加重,伴随恶心,在当地医院检查CT发现左侧脑室内占位病变,左侧脑室扩大。家人为求彻底治疗来我院,门诊以“1. 左侧脑室内占位;2. 左侧脑室积水”为诊断收入我科。
既往史:既往体健。
家族史:否认家族遗传病史。
查体:未见神经系统阳性体征。
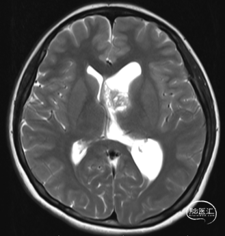
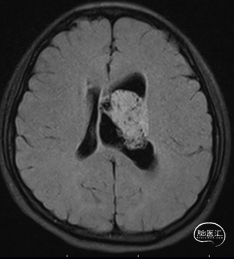
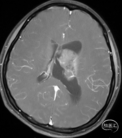
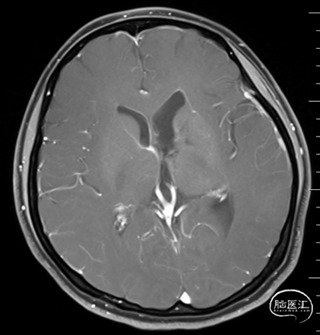
术前检查

T2

T2

T2

T1

FLAIR

SWI



头部磁共振提示:左侧侧脑占位病变,增强后不染色
术前诊断
鉴别诊断
室管膜瘤
儿童常见
更常见于第四脑室
通常有明显的脑室外实质成分
脑室内脑膜瘤
明显增强且均匀
界限清楚
室管膜下瘤
通常在第4脑室中发现
老年人常见
有时会有室管膜瘤成分
室管膜下巨细胞星形细胞瘤
在结节性硬化症患者中常见
增强明显且不均匀
脉络丛乳头状瘤
主要在儿童
高度增强
脑室内转移
老年患者常见
增强明显
具有原发性病史(如肾细胞癌)
丘脑胶质母细胞瘤
老年患者
周围血管源性水肿
增强不均匀
MR灌注升高(rCBV)
少突胶质细胞瘤
鉴别困难,在组织学上二者非常相似
治疗计划


手术策略
术中图片
切口周剃发(患者为幼师),仰卧位,标记切口
创立Burr Hole,内板打磨使之成为“倒立喇叭”状,骨孔外板直径为11mm
胶片低温等离子消毒,配合橡胶手套制作“可伸缩管状套筒”


内镜下切除室间孔处残存肿瘤,穹隆被破坏,三脑室结构显露,大脑内静脉被妥善保护
脑室放置引流管,cover覆盖骨孔
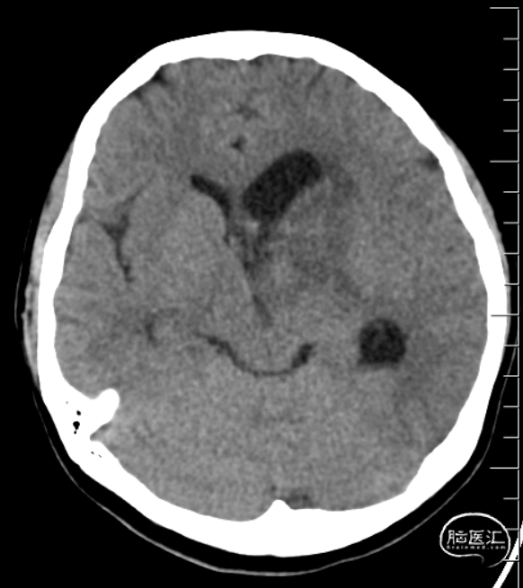
术后影像



术后第1天CT(患者术后6小时自行拔除引流管)






术后第3天磁共振
结果
术后病理
专家点评
中枢神经细胞瘤是WHO Ⅱ级神经上皮脑室内肿瘤,具有独特的影像学特征,表现为侧脑室内大小不等且弱强化的异质肿块,肉眼表现为易碎的灰色肿瘤,典型的附着点包括:Monro孔周围(最常见)50%,侧脑室和第三脑室15%,侧脑室15%,第三脑室5%。该病通常见于年轻患者,手术切除是标准治疗方法。如果可以实现完全切除,通常预后良好。
该病例病灶位于侧脑室,手术多采取“额中回或额上沟造瘘-侧脑室入路(kocher点额中回入路)”切除,鉴于该患者术前大概率诊断为“中枢神经细胞瘤”,结合其供血差、质地软的特点,以及我们掌握的纯熟的“Burr Hole超微创”技术,就可以将上述手术路径(corridor)和该技术结合,应用在该患者身上。
内镜在该手术中可以抵近观察,利用鱼眼效应将病灶周围重要解剖结构进行局部放大,展现出显微镜直视下的那些“死角”区域,使主刀医生对该区域的解剖关系进行总览,做到胸有成竹。
Burr Hole技术对于皮肤、肌肉、颅骨、脑组织的创伤极小,是目前存世的最微创开颅方式,具有极大的社会效益。同时我们发现邸虓教授当年发明的“可伸缩简易管状牵开器”特别适用于Burr Hole技术,二者可谓是天作之合。但由于该管状牵开器极其狭窄,内镜置入兼顾操作困难极大,因此位于深部的精细操作我们还是建议采取显微镜下双手联合操作为主,这样主刀双手操控稳度高、安全系数高、也不存在内镜的后方盲区问题。而内镜主要用以观察结构、采集术中影像、检验肿瘤是否残存等任务。
我国著名的神经外科专家赵继宗院士曾经对微创技术有这么一句话:“神外医生开颅,你‘拿走’多少,就要‘还回去’多少”——意思就是“微创”不仅仅是为了病人,也是为了医生自己。因此,我辈需要继续秉承“微创”的理念,避免盲目的“外小创、内大创”的陈旧思维,为神经外科的微创事业继续开拓精进。
下面视频来自于美国匹兹堡医院的相似手术动画,以供大家参考。
参考文献
Tomura N, Hirano H, Watanabe O et-al. Central neurocytoma with clinically malignant behavior. AJNR Am J Neuroradiol. 18 (6): 1175-8. AJNR Am J Neuroradiol (abstract) - Pubmed citation Koeller KK, Sandberg GD. From the archives of the AFIP. Cerebral intraventricular neoplasms: radiologic-pathologic correlation. Radiographics. 22 (6): 1473-505. doi:10.1148/rg.226025118 - Pubmed citation Smets K, Salgado R, Simons PJ et-al. Central neurocytoma presenting with intraventricular hemorrhage: case report and review of literature. Acta Neurol Belg. 2005;105 (4): 218-25. - Pubmed citation Koral K, Kedzierski RM, Gimi B et-al. Subependymoma of the cerebellopontine angle and prepontine cistern in a 15-year-old adolescent boy. AJNR Am J Neuroradiol. 2008;29 (1): 190-1. doi:10.3174/ajnr.A0821 - Pubmed citation Tonn J, Westphal M, Rutka JT. Oncology of CNS Tumors. Springer Verlag. (2009) ISBN:364202873X. Read it at Google Books - Find it at Amazon Smith A, Smirniotopoulos J, Horkanyne-Szakaly I. From the Radiologic Pathology Archives: Intraventricular Neoplasms: Radiologic-Pathologic Correlation. Radiographics. 2013;33 (1): 21-43. Radiographics (full text) - doi:10.1148/rg.331125192 Louis DN, Ohgaki H, Wiestler OD, Cavenee WK "WHO Classification of Tumours of the Central Nervous System. 4th Edition Revised" ISBN: 9789283244929 Isaac Yang. Central Neurocytomas, An Issue of Neurosurgery Clinics of North America,. ISBN: 9780323341974
作者简介
霍峻峰 副主任医师
河南大学淮河医院
师从国内著名神外专家游潮教授、刘献志教授和孙炜教授。现任中国抗癌协会神经肿瘤协会委员,中国抗癌协会胶质瘤专业委员会委员,中国老年学和老年医学学会转化医学分会委员,中国非公立医疗机构脊柱脊髓委员会委员,河南省康复医学会颅脑损伤康复分会青年委员会委员,河南省行为医学学会委员。
声明:脑医汇旗下神外资讯、神介资讯、神内资讯、脑医咨询、Ai Brain 所发表内容之知识产权为脑医汇及主办方、原作者等相关权利人所有。