
导语
尊敬的专家同道:
大家好!“沙场点兵,有史可鉴”是史赛克公司推出的一档病例展示及点评栏目,旨在手术技术交流,产品特点演示,与各位神经介入专家共同进步。疫情虽拉远了距离,却无法降低学习的热情,让我们相约线上,博采众长,共同探讨手术技术。精彩内容,敬请期待。
病例展示
1
患者基本信息
患者女性,57岁。
主诉:因“左肢无力1小时30分”于2022年03月22日22:40急诊入院。
现病史:(3月22日21:10)1小时30分前患者无明显诱因活动时出现左肢无力,当时表现为左上肢不能抬举,左下肢不能移动,可听懂并配合家属指令,但不言语。入院门诊头颅CT未见出血,遂以“脑梗死”收入我科。
既往史:30+年前于外院明确诊断风湿性心脏病 心房纤颤,规律口服华法林2.5mg qd,酒石酸美托洛尔25mg qd,呋塞米20mg qd,盐酸曲美他嗪20mg qd,单硝酸异山梨酯片40mg qd治疗。4+年高血压病史,最高血压不详,规律口服苯磺酸左旋氨氯地平片 2.5mg qd控制血压,未规律监测血压,血压控制情况不详。
个人史、家族史无特殊。
体查:BP:160/93mmHg,P:105次/分,R:19次/分,心率:108次/分,心律不齐,第一心音强弱不等,心尖区可闻及收缩期杂音,未闻及心包摩擦音。神清,部分运动性失语,双瞳孔正圆等大,直径约3.0mm,光敏,双眼向右凝视,左视不能,双侧额纹对称,鼻唇沟对称存在,伸舌居中,示齿口角右歪,咽反射检查不能配合,左肢肌力IV+级,右肢肌力V级,肌张力适中,生理反射存在对称,病理征未引出,针刺觉对称存在,共济运动检查不能配合。
NIHSS评分3分(凝视1分、面瘫1分、语言1分)。改良mRS评分4级。Glasgow评分15分(意识正常)。
初步诊断:脑梗死,急性期。
2
入院影像学检查



头颅CT:多发性腔隙性脑梗死,脑白质变性,右侧大脑中动脉高密度征?
对发病3小时内的轻型脑卒中,不伴致残性症状的患者,静脉溶栓治疗的获益目前尚不明确,必须权衡收益和风险后个体化使用。
中国急性缺血性脑卒中静脉溶栓指导规范(2021)指出:
对于口服抗凝剂且INR大于1.7或PT大于15秒为静脉溶栓禁忌症。
2021年ESO 急性缺血性卒中静脉溶栓指南推荐:
卒中前使用VKA的患者:即使发病时间小于4.5小时,INR大于1.7或凝血酶检查未知的情况下,不建议溶栓。
在等待凝血功能检查的情况下继续完善头颅MRI检查。

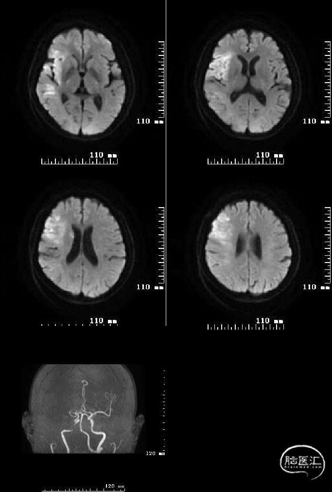
头颅MRI+DWI+MRA:右侧额颞叶及侧脑室旁急性脑梗塞,右侧大脑中动脉闭塞?右侧颈内动脉破裂孔段狭窄?
3
治疗方案

凝血功能回示:INR大于1.7,PT大于15秒,静脉溶栓禁忌。
患者为小卒中合并颅内大血管闭塞,合并房颤及口服用抗凝剂,有静脉溶栓禁忌。现距离发病时间2小时10分钟,当前文献提示轻型卒中-LVO的患者中,约有14.6%的患者有早期恶化;约1/3未经溶栓治疗的“轻型卒中”患者在发病90 d内不能独立生活或死亡。
根据“中国急性缺血性卒中早期血管内治疗介入诊疗指南2022”
【推荐意见】:ICA和MCA M1段的急性闭塞患者采用血管内治疗获益明确。
建议患者行右侧大脑中动脉取栓术,患者及家属签字同意。
脑血管造影证实:右侧大脑中动脉M1段闭塞。

4
材料准备
6F长鞘系统
微导丝 0.014inch Synchro200
微导管 XT-27
取栓支架 TREVO 4*20mm
远端通路导管 AXS Catalyst 6
5
手术经过

采用SWIM技术取栓,一把通,远端血流TICI分级3级。
23:25 开始穿刺;
23:35 造影明确右侧大脑中动脉M1段闭塞;
23:55 血管开通成功(距离发病2小时40分钟)。
6
术后
术后即刻:

术后查体:神清,部分运动性失语,双眼无凝视,双侧额纹对称,鼻唇沟对称存在,伸舌居中,示齿口角右歪,左肢肌力IV+级,右肢肌力V级,肌张力适中,病理征未引出。
NIHSS评分2分(面瘫1分、语言1分)。
术后第二天:

术后第二天复查头颅MRI

4月2日(术后10天)患者左肢无力及言语障碍较前好转,语言流利,双眼未见凝视,伸舌居中,示齿口角稍右歪,左侧鼻唇沟稍浅,四肢肌力V级。NIHSS评分1分(面瘫1分),mRS 1分。

随访:2022年5月6日(术后45天)NIHSS评分0分mRS 0级。

随访:2022年10月11日(术后约6月)NIHSS评分0分mRS 0级。
小结和体会
1.本例为一急性右侧大脑中动脉M1段闭塞的病例,入院后症状轻,尽管NIHSS评分3分,但责任血管为MCA主干,及时、有效的处置才是该例患者救治的关键。
2.脑梗死超早期决定治疗方案需要解决两个问题:责任血管?发病病因?
卒中无小事,即使面对小卒中也需要尽可能快的完成血管评价才是避免遗漏大血管病变的关键;小问题(症状轻)≠小血管事件。未雨绸缪永远比亡羊补牢更重要。
3.低NIHSS评分AIS-LVO患者血管介入治疗之路目前仍然迷雾重重,影响低NIHSS评分的LVO急性卒中的预后因素很多,包括NIHSS评分、病变血管部位及病变大脑半球、病变性质、血栓进展、侧支循环、脑灌注代偿、缺血耐受等诸多因素。只有尽快明确责任血管、明确发病的病理生理过程,我们才能根据患者实际情况实施个体化治疗。
4.术中熟练的手术操作技巧与合适的介入材料能缩短手术时间,减少术中并发症的风险,本例选取的均为stryker公司的产品。
5.随访是检验疗效的唯一标准。
专家点评
该例为中年卒中,低NIHSS分值大血管闭塞,有明确静脉溶栓禁忌的轻型致残性缺血性卒中,结合房颤病史,考虑心源性脑栓塞无疑。对于时间窗内低分值大动脉闭塞AIS的血管内治疗,目前还没有强有力的RCT研究证据,针对该例患者有明确大动脉闭塞,从DWI看其实患者脑梗死核心并不小,只是恰恰梗死到非功能脑区或我们不常用的功能区而已,这也反应了NIHSS存在一定局限性。时间就是大脑,临床遇到此类病例应当机立断,在条件请允许的情况下及时开通脑动脉恢复脑血流灌注才是王道!同时,该例患者及时清除右侧大脑中动脉阻塞的血栓,也算是消除了病情加重恶化的隐患,试想一下,如果当初我们选择保守治疗,随着时间推移,阻塞在右大脑中动脉M1段的栓子有可能自溶崩解,崩解的栓子再栓塞到功能区供血动脉而错失取栓良机,那可能后果是难以接受的。
该例患者最终很好的获益,得益于手术团队果断决策,采用类SWIM联合取栓技术,更好的提高了再通率和降低栓子逃逸率,在很短的时间内实现血管再通恢复脑血流灌注,有效挽救了功能区脑组织。其实史赛克公司给我们提供的更全面的TRAP技术全套产品,即FlowGate2 BGC近端血流控制+Catalyst 6远端通路导管抽吸+Trevo支架拉栓,已经成为联合取栓的经典技术,特别针对大容量血栓负荷的栓塞型病变,是非常有效选择。
该例患者术前未完善CTP等高级影像评估是些许遗憾,但临床实际工作中我们不能为追求影像学的完美而延误血管内治疗时间。
值得思考的问题是该例患者卒中前规律服用VKA抗凝治疗,并且INR已达标,仍然发生栓塞事件,可能还存在我们未知的因素。对于临床中的类似患者,为预防栓塞事件复发,积极寻求心血管科进一步行左心耳封堵术、房颤射频消融术等干预措施,可能是更佳的联合二级预防策略。
点评专家
彭忠勇
贵阳市第二人民医院(贵阳脑科医院)
神经内科主任医师,神经内科二病房副主任,神经内科党支部书记,中西医结合神经病学硕士研究生
贵阳市神经介入质控中心主任
贵州省“黔医人才计划”第一期访问学者
第四届贵阳市“敬业奉献”道德模范
贵州省卒中学会神经介入分会委员
贵州省卒中学会中西医结合专业委员会常委
贵州省康复医学会临床神经科学专业委员会常委
贵州省卒中预防与控制专业委员会委员
从事神经内科临床工作24年,曾在遵义医学院、海南医学院、清华大学神经病研究所、北京天坛医院、首都医科大学宣武医院进修学习,在我院首先自主开展颅内外脑动脉狭窄支架置入术,急性脑梗死时间窗内动脉支架取栓、动脉溶栓术;参研省级科研课题2项,主持完成市级科研课题1项,主持省级科研课题1项,在国家级及省级刊物发表学术论文10余篇,擅长缺血性脑血管病介入诊治。
术者简介
END
点击或扫描上方二维码
查看更多“介入”内容








