01
一般资料
患者:男,10岁。
主诉:癫痫发作1年,加重3天。
现病史:患者1年前无诱因出现肢体抽搐、意识丧失,持续2-3分钟缓解,在当地医院检查CT发现左侧颞叶内侧点状出血,保守治疗后好转。后间断出现上述症状2次,均自行缓解,未做诊疗。3天前患者再次出现上述症状,持续5分钟,伴随口吐白沫、小便失禁。家人为求彻底治疗来我院,门诊以“1. 左侧颞叶内侧占位;2. 症状癫痫”为诊断收入我科。
既往史:既往体健。
家族史:否认家族遗传病史。
查体:未见神经系统阳性体征。
02
术前检查
术前实验室检查:未见异常。
肺部CT、腹部B超、心电图等未见异常;脑电图可见来自左侧颞叶的棘慢波综合。
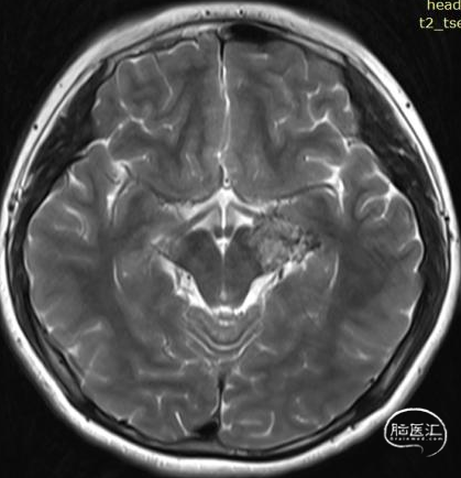
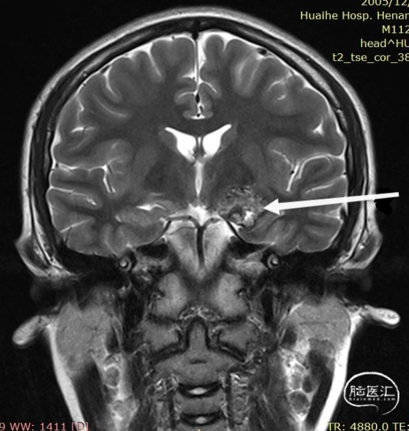
术前影像:




03
术前诊断
左侧海马旁回海绵状血管瘤。
04
治疗计划
入路选择:Burr Hole技术-经左侧颞角-脉络裂入路。

经颞中回造瘘-颞角-脉络裂入路

我们采取图示中的“蓝线”最短路径
(图片来自网络:https://neurosurgery.directory/2019/03/13/mesial-temporal-lobe-lesion-approaches/)


05
手术策略
1. 右侧卧位,导航标记颞中回肿瘤颞部投影;
2. 颧弓上耳前1.0cm处依据导航标记3.0cm切口以匹配Burr Hole技术;
3. 为保护沟间动脉并发际内操作,行颞叶中回造瘘进入颞角,缓慢释放脑脊液,低颅压下拓展手术操作空间;
4. 注意保护P2、PCoA、SCA、动眼神经、基底静脉、脑干等结构,将血管瘤和周围含铁血黄素切除干净,避免因残留引发的术后颅内血肿以及癫痫。
06
术中图片


颞骨钻孔,打磨内板使之成为“倒喇叭”状骨孔,Burr Hole外板内径11mm





07
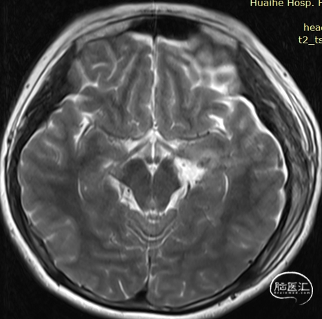
术后影像







08
结果
1. 患者对手术耐受良好;
2. 术后MRI证实血病灶切除干净;
3. 无神经功能损伤表现;
4. 患者术后第1天下床行走,5日后出院。
09
术后病理
海绵状血管瘤。
10
手术视频
探讨

作者简介
霍峻峰 副主任医师
河南大学淮河医院
师从国内著名神外专家游潮教授、刘献志教授和孙炜教授。现任中国抗癌协会神经肿瘤协会委员,中国抗癌协会胶质瘤专业委员会委员,中国老年学和老年医学学会转化医学分会委员,中国非公立医疗机构脊柱脊髓委员会委员,河南省康复医学会颅脑损伤康复分会青年委员会委员,河南省行为医学学会委员。





