患者情况
53岁,男性
主诉
头晕5年,松果体区病变活检术后1个月。
现病史
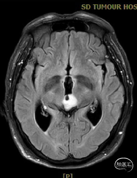
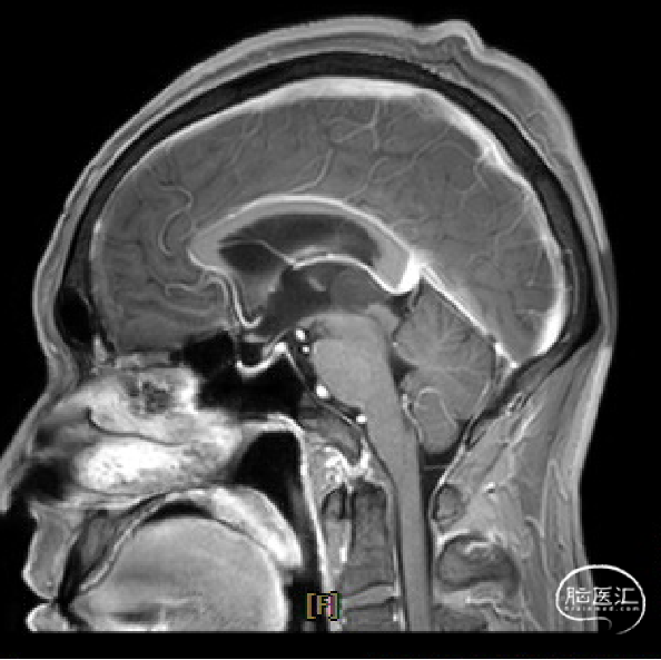
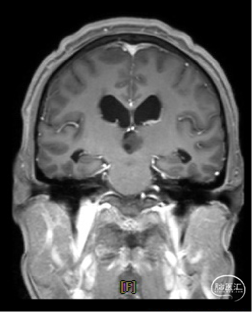
患者5年前无明显诱因出现阵发性头晕,无明显头痛、恶心呕吐等不适,开始未予重视,2022-7-19出现头晕加重,伴视力下降,遂于2022-7-24在当地医院行颅脑MRI提示:松果体区肿瘤伴梗阻性脑积水。
于该院在2022-7-27全麻下行松果体区病灶部分切除活检+神经内镜下第三脑室底造瘘术,术后由于取出肿瘤组织少,未能明确病理结果。患者术后恢复顺利,为进一步治疗就诊于我院。
患者自发病以来神志清,精神可,饮食睡眠可,二便如常,体重无明显变化。
既往史
检查发现冠状动脉左前降支狭窄30%1个月。
查体
双眼粗测视力下降,眼球向上活动受限。
入院检查














初步诊断
01
松果体区占位,胶质瘤?生殖细胞肿瘤?
02
冠状动脉狭窄
03
脑积水
04
脑梗死
手术方式
枕下后正中开颅经幕下小脑上入路松果体区肿瘤切除术。
术后病理


手术视频
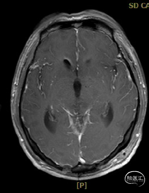
术后复查
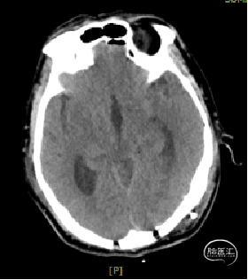
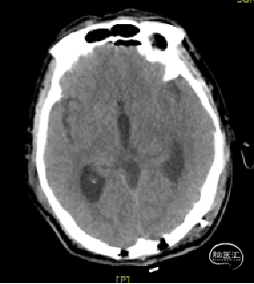
术后1天复查CT




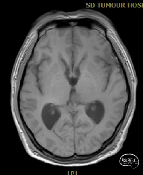
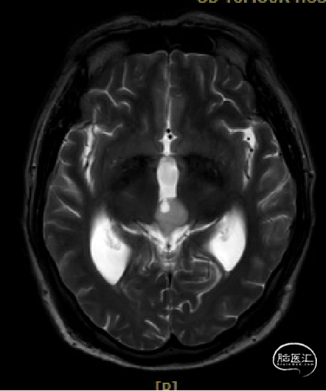
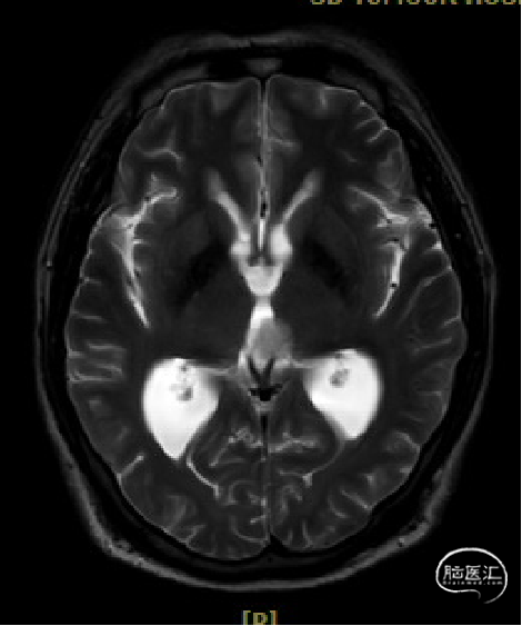
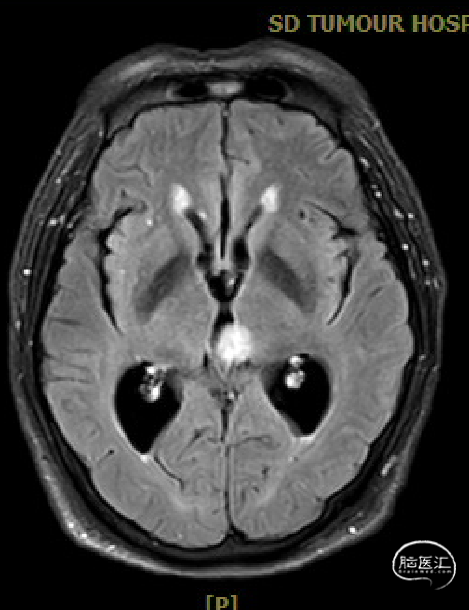
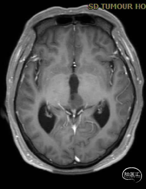
术区无出血,脑室系统较术前显著缩小,脑积水缓解。
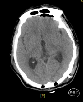
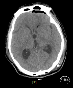
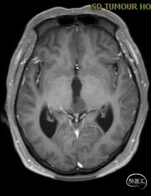
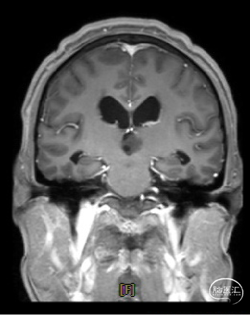
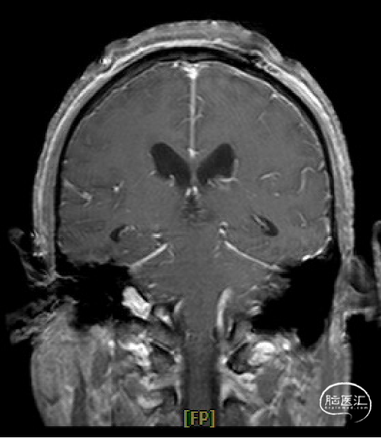
术前MRI与术后复查MRI对比









术者简介
李峰 教授
山东第一医科大学附属肿瘤医院
科室主任,主任医师,硕士研究生导师,医学博士,山东第一医科大学附属肿瘤医院(山东省肿瘤医院)神经外科主任,主任医师,硕士研究生导师。山东省肿瘤医院十大知名专家。
学术兼职:山东省临床肿瘤学会神经肿瘤专家委员会主任委员,山东省疼痛医学会副会长、神经外科青年专业委员会主任委员,山东省医学会神经外科学分会委员,中国抗癌协会神经肿瘤专委会委员,中国医师协会小儿脑胶质瘤专业委员会委员,山东省胶质瘤协作组委员,山东省脑血管病防治协会微创诊疗专业委员会委员,山东省神经肿瘤质控学组组长,山东省突发事件卫生应急专家咨询委员会委员。
课题研究主要进行脑肿瘤的发生、发展机制以及精准诊疗的基础与临床研究,脑组织再生与修复的基础与临床研究。主持研究课题包括:山东省重点研发计划二项,国家自然科学基金、山东省自然科学基金、中国博士后科学基金特别资助项目、中国博士后科学基金面上项目一等资助、以及山东大学自主创新基金各一项。研究成果获山东省科技进步二等奖,山东省心功能研究会科技创新二等奖。发表SCI收录英文论文29篇,中文论文19篇。编著著作《临床神经外科学》、《颅脑巨微解剖学》等。
擅长对高难度、高风险疑难复杂颅底、松果体区以及脑干肿瘤的显微及内镜微创手术治疗,垂体腺瘤、颅咽管瘤、脊索瘤、脑膜瘤、神经鞘瘤等中央及侧颅底肿瘤的内镜经鼻腔微创手术治疗,脑胶质瘤、转移瘤、淋巴瘤、黑色素瘤、儿童胚胎性肿瘤等恶性肿瘤的手术、放化疗、靶向和免疫治疗的综合多学科、序贯一站式、个体化精准诊疗,以及面肌痉挛、三叉神经痛、舌咽神经痛等的内镜微创手术治疗。
点击或扫描上方二维码
前往李峰 教授学术主页
查看更多精彩内容
点击或扫描上方二维码,查看
山东第一医科大学附属肿瘤医院神经外科
更多内容
孙鹏 医师
山东第一医科大学附属肿瘤医院
孙鹏,首都医科大学硕士研究生
单位:山东省肿瘤医院
社会任职:山东省临床肿瘤学会第一届神经肿瘤专家委员会委员
点击或扫描上方二维码
前往孙鹏 医师学术主页
查看更多精彩内容
曹景蔚 医师
山东第一医科大学附属肿瘤医院
擅长对颅脑肿瘤、椎管及脊髓肿瘤、颅脑外伤、三叉神经痛及面肌痉挛等神经外科常见疾病的诊治。
山东省临床肿瘤学会神经肿瘤专家委员会 委员
山东省疼痛医学会神经外科青年委员会 委员
点击或扫描上方二维码
前往曹景蔚 医师学术主页
查看更多精彩内容
点击或扫描上方二维码
查看更多“脑血管”内容














