周XX,M,28岁
复视伴右侧面部上肢麻木22天,头痛7天。
PE:神志清楚,嗜睡,复视,右侧面部及上肢痛温觉减退。
既往个人及家族史无特殊。
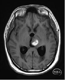
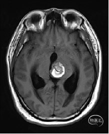
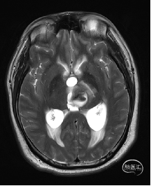
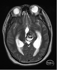
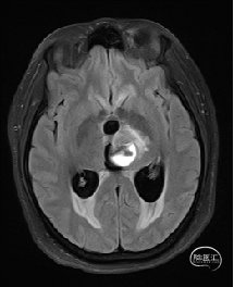
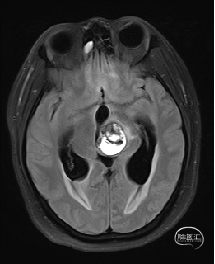
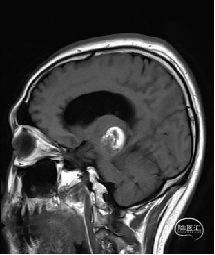
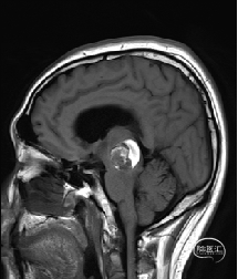
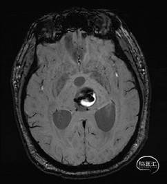
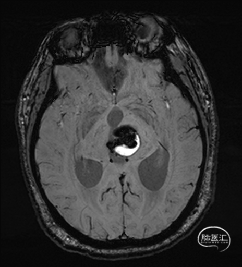
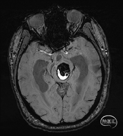
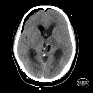
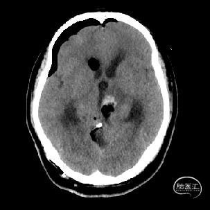
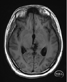
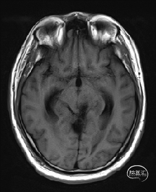
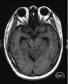
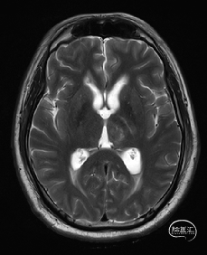
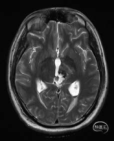
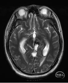
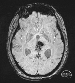
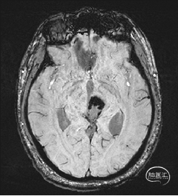
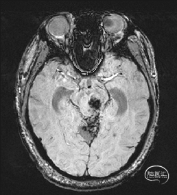
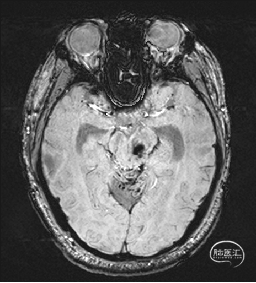
术前MRI检查
























术前DTI检查

病人有二次左侧丘脑出血病史,第一次出血量少,非手术治疗;入院前一周,再次发生出血,并继发梗阻性脑积水;
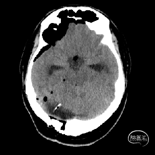
术前MRI检查提示左侧丘脑中脑海绵状血管瘤并卒中,梗阻性脑积水;
诊断:1.左侧丘脑中脑海绵状血管瘤并卒中,2.梗阻性脑积水;
神经内镜下经右侧旁正中幕下小脑上入路(PM-SCITA)切除左侧丘脑中脑海绵状血管瘤;从右侧进入可以直视左侧的病变。


1.左侧侧俯卧位,头部抬高约30°;安装气动臂,右侧枕部旁正中直线切口,长约5cm;骨板大小约3X3cm,上方显露横窦,内侧靠近中线;
2.释放枕大池脑脊液,待脑压下降,小脑自然下垂,幕下小脑上间隙显露,神经内镜下铺贴海绵棉条妥善保护小脑上表面;
3.仔细分离环池后部及大脑大静脉复合体,该处蛛网膜较厚;显露四叠体,于大脑内静脉与上丘之间显露术区,结合术中导航与黄染的软膜,进行造瘘,陈旧性血性液流出,剥离子进行分离海绵状血管瘤,分块钳取,内镜下探查无残留,脑脊液流出通畅,术区小块明胶海绵填塞。
术中视频精简版
1.完成手术目的,“一箭双雕”,既切除了海绵状血管瘤,又缓解了脑积水;
2.术后面部麻木及右上肢麻木明显缓解,出院时仅右手指麻木;
3.头痛等颅高压症状缓解;复视无明显缓解;
4.无新发神经功能障碍;
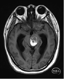
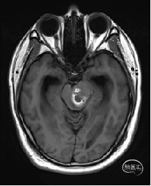
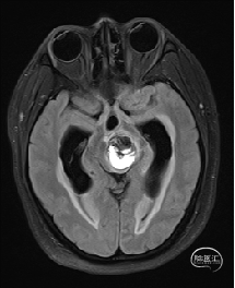
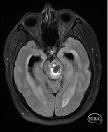
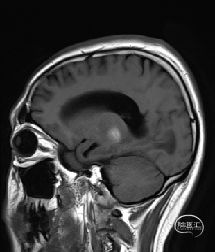
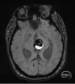
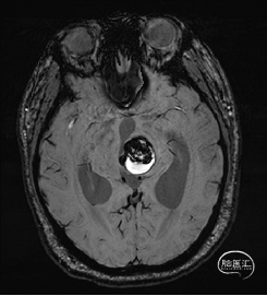
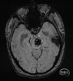
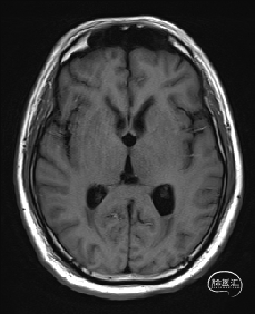
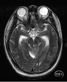
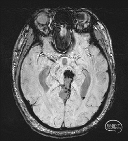
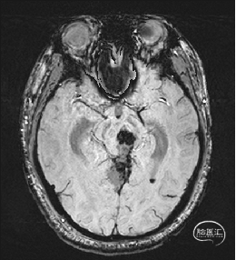
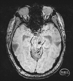
5.术后72小时复查磁共振提示海绵状血管瘤全切。
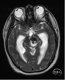
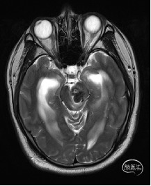
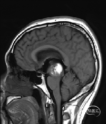
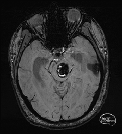
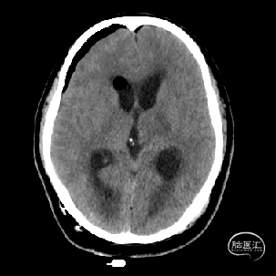
术后情况
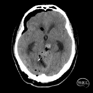
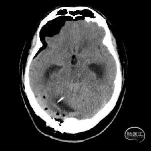
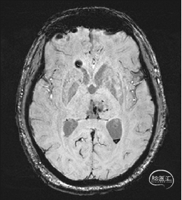
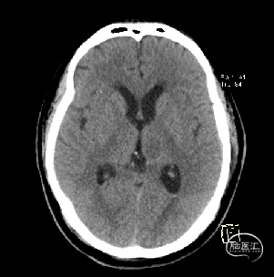
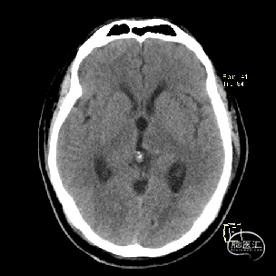
术后当天CT








术后72hMRI复查
















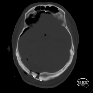
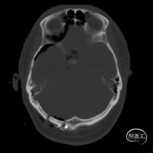
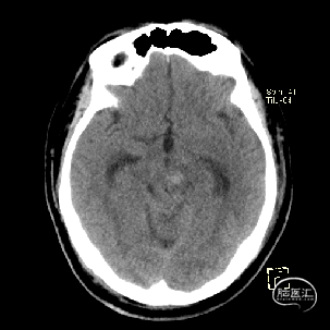
术后1周CT复查




年轻患者,较短时间内发生左侧丘脑二次出血,出现右侧面部及上肢麻木,复视,第二次出血后并发梗阻性脑积水,出现头痛。结合病史、神经系统体征、头颅CT及MRI检查,诊断左侧丘脑及中脑CM并卒中、脑积水明确,并导致了神经功能障碍,具备手术指征。
丘脑和脑干的海绵状血管瘤较为常见,由于病变位置深,手术不易显露,即便显露,操作空间狭小,且为重要的神经功能区,手术难度及风险大,根据病变的位置,常见的入路有经半球间纵裂入路、额眶颧入路、颞下入路、枕下经小脑幕入路、幕下小脑上入路。
脑积水导致的颅内高压,幕下小脑上通路更为狭小,大脑大静脉复合体的显露及分离困难增大;
根据MRI及DTI显示,只有在丘脑与上丘之间的点(dot)进入病变才可能在切除病变时最大程度保护神经功能,由于上述原因,该“点”在术中显露极其困难,虽有导航指引,电生理监测的条件下,对术者的耐心、技术、经验及体能依然是极大的挑战;
术中切除病变,要严格以含铁血黄素层为界面,切除血管瘤需要轻柔适度,切除过程中需要判断有无残留病变,不要过度使用双极电凝,术者使用少许明胶海绵填塞即可达到止血效果,又能最大程度保护神经功能。
本例患者磁共振检查清晰显示病变位于左侧丘脑中脑区域,且位于丘脑内下方向中脑顶盖延续,病变的上部、前部、外侧部都有重要的神经组织,因此,手术从上方、前方、外侧方向切除病变均难以实施;
从后方有POPPEN入路、Krause入路等,但是因为病变并未充分向松果体区、大脑大静脉后方突出,有大脑大静脉复合体的阻挡,POPPEN入路有较大的难度显露及切除病变,残留的可能性比较大;传统显微镜下进行的幕下小脑上入路在病变的显露及切除上依然有较大的难度。
综上,病变位于左侧丘脑及中脑,传统的手术入路或者显微手术方法有极大的难度和风险;
结合我们团队有着较为丰富的幕下小脑上内镜手术治疗松果体区、三脑室后部及中脑桥脑区域病变的临床经验,我们根据患者的病例特点,制定个性化的手术方案。
选择经右侧幕下小脑上旁正中入路,应用神经内镜技术“一站式”切除病变,达到“一箭双雕”的目的,既切除海绵状血管瘤,又同时解除梗阻性脑积水,让患者最大程度获益。
参考文献







丘脑中脑海绵状血管瘤合并脑积水,分期手术可能更适宜;
术前详细的磁共振检查,包括平扫增强,SWI及DTI,可以规划出手术最适宜的路径及切入点;
PM-SCTIA入路适合桥脑上半部分至丘脑范围内靠后部的病变,包括海绵状血管瘤、胶质瘤、松果体区肿瘤等;
术中需要气动臂或者电子臂夹持及稳定神经内镜;合适的体位非常重要;
神经内镜下手术具有抵近观察、广视野、清晰的优势,术者手术姿势舒适,更有利于顺利完成手术;
从右侧显露左侧丘脑及中脑病变直视下手术非常重要;
分离海绵状血管瘤尤其需要轻柔,尽量不用电凝止血;
神经内镜下手术切除深部病变,安全微创有效。
副主任医师
张学军
上海冬雷脑科医院 神经外科
张学军,上海冬雷脑科医院核心专家,主诊专家,神经外科副主任医师,冬雷脑科医院神经外二科主任,脑肿瘤微创中心和脊髓脊柱中心负责,师从北京天坛医院神经外科权威专家张俊廷教授。
16年神经外科临床经验,开展各类复杂脑肿瘤手术、脊髓脊柱手术2000多例。
世界华人神经外科协会脊髓脊柱专业委员会委员
中国研究型医院学会脊柱脊髓专业委员会青年委员
擅长:对颅脑脊髓肿瘤的诊治具有较为丰富的经验,尤其是颅底脑干肿瘤,诸如前中颅底脑膜瘤、岩斜区脑膜瘤/颈静脉孔区肿瘤、枕骨大孔区肿瘤等;深部肿瘤,诸如颅咽管瘤、脑室内肿瘤、松果体区肿瘤、四脑室肿瘤等。擅长面肌痉挛、原发性三叉神经痛等微血管减压术。先后于中国人民解放军联勤保障部队第九二〇医院、空军军医大学空军军医大学唐都医院及北京宣武医院神经外科学习脊柱脊髓疾病的诊治,对于椎管内肿瘤、脊柱脊髓外伤、退行性变、先天性畸形的诊治具有较为丰富的临床经验。
点击或扫描上方二维码
进入张学军 教授学术主页
神经外科主治医师
刘旻谛
上海冬雷脑科医院 神经外科
刘旻谛,上海冬雷脑科医院脑肿瘤、脊髓脊柱专科主治医师
BDG冬雷脑科医生集团核心医师
神经外科主治医师
南京医科大学神经外科硕士毕业,2015年师从宋冬雷教授学习脑肿瘤显微外科技术、脑血管病介入治疗等。
擅长:
神经肿瘤的显微手术治疗,如脑膜瘤、胶质瘤、听神经瘤、海绵窦内肿瘤、三叉神经鞘瘤、垂体瘤、斜坡肿瘤及镰幕区肿瘤、三叉神经痛、面肌痉挛的显微减压手术等。
神经外科教授
宋冬雷
上海冬雷脑科医院 神经外科
宋冬雷,“冬雷脑科医生集团”创始人,神经外科教授,医学博士、博士生导师。原复旦大学附属华山医院神经外科主任医师,脑血管病医疗组组长。
中国医师协会介入分会神经介入委员会副主任委员
中国医师协会神经外科分会神经介入委员会副主任委员
中国医师协会神经介入诊断和治疗协调委员会副秘书长
卫生部“脑卒中防控工程”中青年全国委员会常委
中国老年学学会心脑血管病专业委员会副主任委员
长期从事脑外科临床工作,对颅脑外伤、颅脑肿瘤和脊髓肿瘤有丰富的诊治经验,擅长颅脑的显微外科手术,共完成颅脑和脊髓手术16000余例。目前重点开展脑血管病的造影、介入和显微外科治疗工作,是国内外少数同时精通血管内栓塞治疗和显微外科手术的神经外科专家之一,可为脑血管病人提供最佳治疗方法。
以第一作者、通讯作者在国家级核心期刊发表论文100余篇,SCI文章30余篇。参加《临床神经外科手册》、《现代神经外科学》、《实用神经病学》、《神经外科手术操作基础》、《血管内神经外科学》、《介入神经放射学》、《神经系统血管性疾病DSA诊断学》等多部专著的编写。从事多项科研,曾获国家科技进步三等奖(1994)、上海市科技进步二等奖(1995)、上海市卫生局科技进步三等奖(1999)、中国高校科技进步二等奖(2001)、中国人民解放军科技进步二等奖(2002)、中华医学科技奖三等奖(2004),上海市科技进步一等奖(2007),中华医学科技奖二等奖(2007),复旦大学教学成果三等奖(2010),上海市临床医学三等奖(2012)。参加完成国家自然科学基金项目多项,上海市科委重大项目、上海市临床医学中心建设项目各一项。2007年获得上海市科委重点科技项目“缺血性脑血管病的早期影像诊断和外科综合治疗”(项目负责人), “十一五攻关”国家科技支撑计划课题“蛛网膜下腔出血与脑动脉瘤诊断与治疗的规范化”项目的主要研究者。目前参与“脑动脉瘤外科治疗”、“脑缺血外科治疗”、“脑动静脉畸形外科治疗”等多项“十二五”国家科技支撑计划,也是“上海市市级医院新兴前沿技术联合攻关项目(脑动脉瘤)”的主要研究者和子课题负责人。
点击或扫描上方二维码
进入宋冬雷 教授学术主页
点击或扫描上方二维码,查看
上海冬雷脑科医院外神经外科
更多内容
点击或扫描上方二维码
查看更多“脑血管”内容















