美国宾夕法尼亚大学Jadhav AP等研究者对应用Atlas支架行Y型支架辅助弹簧圈栓塞术的安全性和有效性进行了分析,结果发表在2022年8月31日的Stroke: Vascular and Interventional Neurology杂志上。
——摘自文章章节
【REF:Jadhav AP, et al. Stroke: Vascular and Interventional Neurology. 2022;0:e000437. doi: 10.1161/SVIN.122.000437】
宽颈动脉瘤的血管内治疗是一个技术挑战。支架有助于重塑宽颈动脉瘤的载瘤动脉,防止弹簧圈挤压进入载瘤动脉,但对累及动脉分叉的宽颈动脉瘤的治疗仍然困难。球囊辅助弹簧圈栓塞或放置单个辅助支架技术上不成熟,可能会导致动脉瘤闭塞率不足或再通率较高。由Chow等人开创的Y型双支架结构可用于辅助栓塞宽颈分叉部动脉瘤,动脉瘤完全闭塞率高(≈80%)。最新Neuroform Atlas支架有一些新特点,如通过用于弹簧圈栓塞相同的微导管以改善输送,近端闭合和远端开放改善贴壁性,金属支柱更薄达到孔密度更大,金属表面比降低。美国宾夕法尼亚大学Jadhav AP等研究者对应用Atlas支架行Y型支架辅助弹簧圈栓塞术的安全性和有效性进行了分析,结果发表在2022年8月31日的Stroke: Vascular and Interventional Neurology杂志上。
纳入ATLAS IDE试验中进行Y型支架辅助栓塞的受试者,进行亚组分析。主要疗效终点是在12个月血管造影中动脉瘤完全闭塞(Raymond-Roy 1级),对目标部位没有再次治疗或载瘤动脉狭窄(> 50%)。主要安全终点是12个月内的任何大卒中或同侧卒中或神经系统死亡。主要终点的判定由一个独立的影像核心实验室和临床事件委员会进行。
共确定了60个受试者。平均年龄为59岁,其中28.3%为男性。中位动脉瘤大小为6.7mm,中位颈部大小为4.3mm。常见的动脉瘤部位包括基底动脉尖(56.7%)、前交通动脉(20.0%)和大脑中动脉分叉(11.7%)。81.1%的受试者达到了主要疗效终点,1.7%的受试者经历了主要的同侧卒中或神经系统死亡的安全终点。
表1. 基线特征

表2. 有效性结局

表3. 安全性结局

表4. 手术并发症


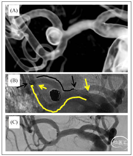
图1. 52岁头痛2周的右侧大脑中动脉瘤患者行Y型支架辅助栓塞
在ATLAS IDE动脉瘤队列上市前研究中发现,Neuroform支架Y型辅助栓塞,结果显示12个月时动脉瘤完全闭塞率高,并发症率低。
关注ATLAS支架

点击或扫描上方二维码
查看更多“介入”内容








