病例
患儿女,2岁6月,以“间断头痛、呕吐,伴嗜睡1月”为主诉入院。
现病史:患儿母亲代诉,患儿1月前无明显诱因出现间断头痛、呕吐,疼痛位置及性质不确定,持续数分钟后能自行缓解,呕吐多发生于进食后,合并白天睡眠较多,精神萎靡。于当地医院完善头颅CT检查提示“第三脑室占位性病变”,建议向上级医院转诊。
入院体温36.3摄氏度,脉搏102次/分,呼吸21次/分,血压101/67mmHg,体重11kg
查体:患儿神志嗜睡、精神萎靡,双侧瞳孔等大、光反射灵敏,视力粗测正常,四肢肌力5级。
辅助检查:电解质、激素、肿瘤标记物(HCG、AFP)及其他术前检查未见明显异常。







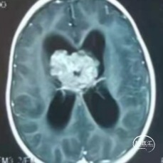
图1-a
术前头颅MRI提示,图1-a:T1增强扫描轴位,第三脑室肿瘤累及双侧侧脑室,右侧脑室内肿瘤体积较对侧大,幕上脑室扩张伴脑脊液外渗。





图1-b
图1-b:T1增强矢状位,鞍区未见异常信号,肿瘤三脑室内起源可能性大,向上延伸至侧脑室,可见肿瘤后缘的大脑内静脉(白色箭头)。





图1-c
图1-c:T1增强冠状位,三脑室内肿瘤向两侧压迫丘脑,向前上方经右侧室间孔和脉络膜裂进入侧脑室(蓝色虚线箭头),并使透明隔向对侧移位(蓝色箭头),向后上方侵蚀穹窿体部后,累及透明隔向双侧侧脑室体部扩张(绿色虚线箭头)。
诊疗决策
完善术前检查及准备期间给予脱水治疗,根据术前检查考虑第三脑室生殖细胞瘤,胶质瘤不除外,因肿瘤体积大且引起梗阻性脑积水,考虑行肿瘤切除术。需要尽可能多的切除肿瘤,开放脑脊液的循环通路,并最大限度的保护重要的神经组织及大脑深静脉系统。考虑到肿瘤已破坏三脑室顶壁,自室间孔或脉络膜裂进入侧脑室,右侧脑室内肿瘤较大,同时为了获得更直接的手术视野及宽敞的操作空间选择行皮层造瘘-经侧脑室-经脉络膜裂切除肿瘤(图1-b,c蓝色阴影)。

患儿仰卧,以Kocher点为中心,作右额马蹄形切口,常规开颅,皮层造瘘进入侧脑室。可见侧脑室内粉红色肿瘤,质地稀软,肿瘤累及后方透明隔,予以分块切除后显露侧脑室底壁。可见肿瘤是经室间孔及后方病理性扩张的脉络膜裂进入侧脑室,同时侵蚀破坏穹隆体,辨认丘纹静脉及其外侧分支并予以保护。对三脑室内肿瘤先予以瘤内减压,中间块已完全被肿瘤侵犯破坏,肿瘤与三脑室侧壁粘连较紧密,予以锐性分离切除,对小的出血点予以止血海绵压迫止血,减少使用电凝,三脑室侧壁尚光滑,三脑室底结构完整,未受侵犯,探查导水管通畅后,生理盐水反复冲洗术区并逐层关颅。





图2




术后1.5小时撤机拔管,患儿神志清、精神萎靡,双侧瞳孔等大、光反射灵敏,四肢遵嘱运动可。术后24小时复查头颅MRI,肿瘤完全切除,右侧额顶叶硬膜下积液(图2)。术后第1天出现1次尿崩,给予口服弥凝片后,尿崩得以控制,后间断出现尿量增多时给予口服弥凝控制尿量,于术后第5天自行缓解。术后第2天开始出现间断高热,最高体温39摄氏度,完善脑脊液、痰培养及其他检查,未发现感染原因,给予物理降温治疗后热峰逐渐下降、频率逐渐减小,术后第12天后缓解。术后患儿血清Na持续在145mmol/L-160mmol/L间波动,尿崩症状消失后仍未缓解,且患儿未诉口渴可能与手术损伤导致渗透压变化触发ADH释放的阈值改变或口渴机制受损有关。术后一周,复查激素功能,考虑中枢性皮质醇功能减退,给予口服氢化可的松替代治疗,后期随访调整。

术后病理诊断为非典型畸胎样/横纹肌样肿瘤(AT/RT),患儿术后好转出院,因患儿年龄小于3岁,拟与出院后先行化疗治疗,待年龄超3岁后行放射治疗。

讨论
据统计2007-2011年间,14岁以下儿童患颅内肿瘤的年平均发病率为5.26/10万1,其中脑室内肿瘤占所有颅内肿瘤的16%-19%,而第三脑室肿瘤占比约为3%-8%2, 3。由于第三脑室位于大脑半球深部,与丘脑、下丘脑、Willis动脉环、大脑深静脉系统、视交叉等重要组织结构相邻,因此暴露和切除位于该部位的肿瘤十分困难,术后易出现严重并发症,病死率高。如何提高第三脑室肿瘤的手术切除率并降低手术风险一直是神经外科领域的研究难点。
1
自Dandy首次采用经皮层-室间孔入路切除三脑室肿瘤后,至今发展出多种显微外科手术入路用于切除三脑室肿瘤,总体可分为前方入路和后方入路。选择合适的手术入路是提高肿瘤切除率、减少脑组织损伤、降低术后并发症的关键。
1
经脉络膜入路是前方入路中的一种,可以通过经纵胼胝体或者经皮层造瘘进入侧脑室,再经过脉络膜裂-中间帆进入第三脑室并显露其内的病变。尤其对于同时累及侧脑室和三脑室的肿瘤来说,经脉络膜裂入路是手术的最佳路径。有解剖学研究认为经脉络膜裂入路可以暴露整个第三脑室底部,后方可至导水管4,5。透明隔前静脉是横跨脉络膜裂的唯一组织结构,为获得第三脑室前部的视野暴露,也可以牺牲透明隔前静脉获得更大的视野暴露4。除提供良好视野外,还可以提供较宽敞的手术操作空间5。病历中选择采用经皮层-脉络膜裂入路的原因包括:1.肿瘤累及第三脑室并向上延伸至侧脑室,经终板入路较难获得上方视野;2.肿瘤水平横径较大,需同时获得同侧和对侧的手术视野;3.肿瘤可能已破坏三脑室顶壁,并通过室间孔、脉络膜裂的自然间隙进入侧脑室,无需过多解剖操作。

图3:a:侧脑室上面观;b:沿穹窿体和脉络丛之间的穹窿带分离脉络膜裂;c:向对侧牵开穹窿体,显露中间帆内的大脑内静脉和脉络膜后内侧动脉;d:在两侧大脑内静脉间切开脉络膜下层,即可开放三脑室,可见前方横跨脉络膜裂的并汇入丘纹静脉的透明隔前静脉,其下方为中间块,中间块下方即为第三脑室底壁,向后方观察可见位于三脑室后壁的后联合,中脑导水管就在其下方。
1
需重视术后管理,防治术后并发症,手术引起的下丘脑损伤,是术后出现相关并发症的主要原因。最常见的并发症包括尿崩症、高钠血症、低钠血症、中枢性高热,内分泌功能障碍等。由于儿童体液总量较成人小,出现尿崩后易出现严重的水电解质平衡紊乱,严重时出现多器官功能损伤,危机生命。术后应当严密检测每小时尿量、电解质变化,体温曲线及是否存在激素水平低下。选择合适的手术入路,术中轻柔操作、减少电凝止血和牵拉剥离,不强求完全切除都可能降低手术引起的损伤。
参考文献
1.Ostrom QT, et al. Alex’s Lemonade Stand Foundation infant and childhood primary brain and central nervous system tumors diagnosed in the United States in 2007–2011. Neuro Oncol. 2015;16(suppl 10):x1-x36.
2. Zuccaro G, et al. Lateral ventricle tumors in children: a series of 54 cases. Childs Nerv Syst. 1999;15:774-785.
3.Apuzzo ML. Surgery of the third ventricle.2th.ed.Baltimore:William&Wilkins,1998.
4.Wen HT, Rhoton AL Jr, de Oliveira E. Transchoroidal approach to the third ventricle: an anatomic study of the choroidal fissure and its clinical application. Neurosurgery. 1998;42(6):1205-1219.
5.Bozkurt B, Yağmurlu K, Belykh E, et al. Quantitative Anatomic Analysis of the Transcallosal-Transchoroidal Approach and the Transcallosal-Subchoroidal Approach to the Floor of the Third Ventricle: An Anatomic Study. World Neurosurg. 2018;118:219-229.
术者介绍
汪永新 教授
新疆医科大学第一附属医院
二级教授 博士生导师
新疆医科大学第一附属医院神经外科中心主任
新疆医学会神经外科分会副主任委员
新疆神经外科研究所副所长
中国医师协会神经外科医师分会委员
中华医学会数字医学分会委员
中国神经重症管理协作组常委
中国医师协会神外医师分会小儿神外专家委员会委员
中国抗癌协会神经肿瘤分会委员
《中华神经外科杂志英文版》通讯编委
擅长应用内镜及显微镜治疗各种神经系统肿瘤、狭颅症、复杂颅面畸形综合征、脊髓脊膜膨出、颅脑寄生虫病、脑积水、脑瘫和重型颅脑损伤等疑难病种

点击或扫描上方二维码,前往汪永新 教授学术主页
查看更多精彩内容
吉文玉 教授
新疆医科大学第一附属医院
医学博士,副主任医师,讲师,硕士研究生导师
中国女神经外科医师同盟常务理事
中国医药教育协会小儿神经外科(互联网)分会委员
世界华人医师协会、世界华人神经外科协会功能神经外科专业委员会委员
新疆抗癌协会神经肿瘤专委会委员
中国妇幼保健协会妇幼微创专业委员会小儿神经微创学组青年委员
目前主要从事小儿神经外科相关疾病的诊治工作,擅长小儿神经系统的先天畸形、外伤、肿瘤、脑瘫的手术治疗以及儿童中枢神经系统肿瘤的化疗
点击或扫描上方二维码,前往吉文玉 教授学术主页
查看更多精彩内容
点击或扫描上方二维码,查看
新疆医科大学第一附属医院 神经外科
更多内容
点击或扫描上方二维码,查看更多“小儿”内容










