
患者基本信息:女,41岁。
主诉:双眼视物重影12天。
查体:BP 130/85mmHg,神志清楚,双侧瞳孔等大,直径约3mm,左侧眼球外展受限。
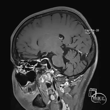
术前MRI平扫(T2):
左右滑动切换图片
MRI(FLAIR):
左右滑动切换图片
高分辨MRI(提示夹层动脉瘤):
左右滑动切换图片
高分辨MRI(提示夹层动脉瘤):
左右滑动切换图片
免疫指标异常:

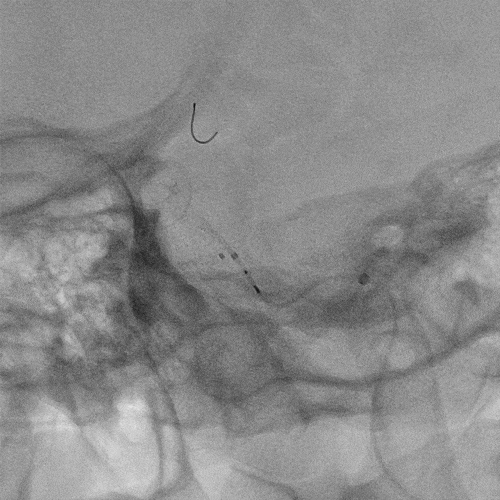
术前DSA检查:
左右滑动切换图片
术前BOT实验(+):
患者前后交通动脉代偿不佳,闭塞11分钟患者神志转朦胧,呼之不应。


术前DSA(3D):
动脉瘤长度约45mm。

PFlex测量及选型。
左右滑动查看更多
术前诊断:
左侧颈内动脉梭形动脉瘤(C3-C4)。
手术方案:
高流量搭桥or密网支架桥接。
患者BOT阳性,经科室讨论首选密网支架治疗,与家属充分沟通讨论之后,采用该方案治疗。
术前难点分析:
动脉瘤瘤颈长,需要密网支架桥接治疗,并且保证覆盖全部瘤颈。
第一枚支架释放之后,需要保留完整通路。
病变血管较宽,计划填入少量大圈,稳定支架。
器械选择
导引导管:长鞘带丫阀 90cm
中间导管:Navien™ 5F-125
微导管:Phenom™ 27,Echelon™ 10
微导丝:0.014''
辅助球囊:HyperGlide™ 5.0mm-20mm
弹簧圈:Axium™ 25-50、Axium™ 25-50
血流导向密网支架:
动脉瘤长:45mm
最大宽:13.05mm
近心端载瘤动脉宽约4.27mm
远心端载瘤动脉宽约2.83mm
考虑到瘤颈长,故计划选择较大的两个型号进行桥接治疗,第二个支架直径应略大于第一个支架的直径PED-4.75-35和PED-5.0-35。
手术过程
1
支架微导管到位:微导丝瘤内成袢通过动脉瘤流出口,引导Phenom™ 27微导管到达M2下干。




2
弹簧圈微导管Echelon™ 10到位。

输送第一枚PED-4.75-35。

Pipeline™ Flex血流导向密网支架头端在M1平直段顺利打开后,回拉至颈内动脉。
头端锚定在C6段。

3
第一枚Pipeline™ Flex血流导向密网支架释放过程。
左右滑动查看更多
4
第一枚Pipeline™ Flex血流导向密网支架回收输送导丝,Phenom™ 27微导管再次到位M1。
回收输送导丝,上高Phenom™ 27微导管。

上高Navien™ 颅内支撑导管保持路径、为下一枚支架输送确保支撑。

输送导丝顺利回收,phenom™ 27微导管到位M1。

5
输送第二枚PED-5.0-35,到位后释放。


释放后造影剂滞留明显。

6
回收输送导丝。


术后J形导丝支架内按摩。
术后Dyna-CT(支架重建)。

7
依次填入两枚QC-25-50大圈。

后处理(球囊后扩)。

球囊后扩后,第二枚支架近端着陆处贴壁很好。

术后正位造影。

术后侧位造影。

总结讨论
1、血流导向密网支架疗法是治疗复杂颈内动脉瘤有效的方法之一。
2、血流导向密网支架的安全释放需要一定的介入基础。
3、桥接注意事项:桥接的2个Pipeline™ Flex血流导向密网支架之间的重叠区域一般为支架长度的1/2-1/3,且第二枚支架直径应要比第一枚支架大,有利于支架贴壁,头尾着陆区应尽量在平直段。
4、球囊扩张是支架贴壁不良的补救措施。
术者简介
康德智
福建医科大学附属第一医院
福建医科大学附属第一医院党委副书记,院长,教授,主任医师,博士生导师。
享受国务院政府特殊津贴;国家卫生计生突出贡献中青年专家;福建省科技创新领军人才。
社会任职:中国医师协会神经外科医师分会副会长;中华医学会神经外科学分会常委、副秘书长、脑血管外科学组组长;国家卫健委脑防委出血性卒中外科专业委员会主委,中国脑血管病专科联盟副主席;中国医师协会毕业后教育神经外科专业委员会常务副主委;中国抗癌协会脑胶质瘤专业委员会副主委;国家卫健委脑防委卒中中心建设指导委员会副主委;国家卫健委能力建设和继续教育神经外科学专家委员会副主委;中国老年医学学会脑血管病分会副会长;中国医促会加速康复外科分会副主委;世界华人神经外科协会常委;中国抗癫痫协会常务理事;福建省医学会神经外科学分会主任委员;福建脑血管病专科联盟主席;福建省抗癫痫协会会长;福建省神经医学中心主任;福建省脑卒中、癫痫质控中心主任;福建省医师协会副会长;福建省医院协会副会长;福建省神经系统疾病临床医学研究中心主任;福建省脑重大疾病与脑科学研究院院长。
长期从事神经外科医疗、教学和科研工作,发表论文214篇,其中SCI论文82篇;主编、副主编、参编专著14部,国家规划教材副主编4部、编委5部,共同主译专著4部、参译1部;承担国家自然科学基金及各类省部级科研项目19项;获多项省部级科技进步奖。
兼任《Chinese Neurosurgical Journal》等7本杂志副主编和7本杂志编委。
林元相
福建医科大学附属第一医院
教授,主任医师,医学博士,博士研究生导师。
福建医科大学附属第一医院神经外科主任;福建省脑重大疾病与脑科学研究院副院长;福建省神经医学中心副主任;福建医科大学神经外科研究所副所长。
社会任职:国家卫健委脑防委出血性卒中外科专委会常委兼秘书长;中国医师协会神经外科医师分会委员、脑血管外科学组委员;中华医学会神经外科学分会功能学组委员;中国医师协会周围神经专业委员会常委;中国医师协会神经调控专业委员会委员;中国神经科学学会神经肿瘤分会常委;中国研究型医院学会神经外科学分会常委;中国抗癫痫协会理事;世界华人神经外科协会委员;福建省抗癫痫协会副会长;福建省医学会神经外科学分会副主任委员;福建省脑血管专科联盟常委兼秘书长。
专长:在脑动脉瘤及其他脑血管病、垂体瘤、胶质瘤、难治性癫痫、三叉神经痛、舌咽神经痛、面肌痉挛、帕金森病等微创手术治疗方面有较深造诣。
主持各级等课题10余项。国内外杂志发表论文100余篇。获得福建省科技进步奖3项、福建省医学科技奖4项。获得医院新技术新项目奖11项。
王灯亮
福建医科大学附属第一医院
科室副主任,副教授,副主任医师,医学博士,硕士研究生导师,福建医科大学附属第一医院神经外科。
社会任职:中国老年医学学会脑血管病分会第二届委员会常委;中国医师协会显微外科医师分会委员;中国医师协会神经介入委员会脑血管病复合手术专业委员会委员;中国研究型医院学会脑血管病专业委员会青年委员;中国研究型医院学会神经微侵袭治疗专业委员会青年委员;福建省医学会神经外科分会青年委员;福建省医学会神经外科分会介入学组委员;福建省医学会显微外科学专业委员会委员;福建省中西医结合学会神经外科分会委员;中华医学会神经外科分会第八届脑血管外科学组秘书;福建省脑卒中筛查与防治基地秘书;福建省脑血管病专科联盟副秘书长。
擅长脑脊髓血管性疾病介入及手术治疗。参与及主持多项国家自然基金、福建省自然科学基金,近五年发表文章8篇,其中5篇被SCI杂志收录。荣获福建医科大学附属第一医院2022年度“十佳医师”。
林福鑫
福建医科大学附属第一医院
福建医科大学附属第一医院临床研究与转化中心副主任,主治医师。
国家卫健委医院管理研究所脑出血外科诊疗能力提升项目副秘书长。
医学博士,神经外科学专业,毕业于北京天坛医院。以第一作者及通讯作者在Journal of neurosurgery、Frontiers of neurology及BMJ open 等杂志发表SCI论文10余篇,共计影响因子30余分。承担“福建省科技厅省青年创新项目”1项,“福建省卫健委中青年骨干课题”1项,“国家自然科学青年基金”1项。Molecular Medicine Reports杂志及BMC Anesthesiology杂志特约审稿人。
特别说明:本信息仅供医疗卫生专业人士阅读和参考,不构成对任何诊疗方式的推荐。
![]()
点击或扫描上方二维码
查看更多“介入”内容











































