载药时代 球扩天下
NOVA DES®颅内药物洗脱支架植入

术者:龙乾发 西安市中心医院神经外科
龙乾发
医学博士,主任医师;
西安市中心医院神经外科主任,学科带头人;
西安交通大学及延安大学硕士生导师;
美国TAMU健康科学中心研究学者;
临床擅长脑脊髓肿瘤手术和神经修复,年主刀手术量约 200台;
科研专注于细胞外囊泡的神经保护与生物修复研究;
主持国家及省市级科研项目 10 项(其中国家自然科学基金 3 项),以第一或通讯作者在美国科学院院报(PNAS,IF 11.21)、Biomaterials(IF 12.48)、Theranostics(IF 11.56)等国内外知名期刊发表学术论文 30 余篇;
荣获陕西省中青年科技领军人才、陕西省青年科技新星;
西安英才计划(领军)创新人才,西安市科技进步二等奖(2017,第一完成人);
第七届“西安青年科技人才奖”;
西安医学会神经外科分会主任委员、陕西省医师协会颅底外科分会总干事、陕西省神经外科分会常务委员;
中国康复医学会颅脑创伤分会青年学组副主任委员、Frontiers in Medicine 客座副编辑(Guest Associate Editor)、Frontiers in Neurology 编委(Review Editor)。
术者:柴源 西安市中心医院神经外科
柴源
医学硕士;
中国医师协会陕西省神经介入专业委员会委员;
西安医学会神经介入专业委员会委员;
擅长:颅内动脉瘤、脑脊髓血管畸形等出血性血管病;
颅内、颈部血管狭窄等缺血性脑血管病;
患者基本信息
患者,女,62岁。
主诉:突发言语不清、四肢无力8小时。
简要病史:患者8小时前无明显诱因突发言语不清,饮水呛咳,四肢无力,头晕伴恶心、呕吐,急送至我科。
既往史:高血压10余年,平素未规律服药,血压控制差。
专科查体:言语不利,行动不利, 肌力(3级),瞳孔正常,对光反射减弱。
神经系统评分NIHSS(23分),mRS (4级)。
入院影像检查

MRA

重要影像结论:双侧小脑半球、脑干、右侧枕叶多发脑梗死;基底动脉、右侧大脑后动脉闭塞。
诊断
病变部位:基底动脉近段
远端正常血管直径(mm):2.45
狭窄处最小直径(mm):0.40
病变长度(mm):4.08
狭窄度(%):84%
术前讨论
拟行手术方案:椎基底动脉闭塞急性取栓备支架植入术。
手术指征:患者后循环急性脑梗死,发病时间较短,基底动脉闭塞,后期症状可能会加重,家属同意急诊介入治疗。
治疗策略:急诊造影,明确后循环血管病变,急诊取栓备支架植入。
预估可能性的手术并发症:出血、夹层、开通失败、脑梗死加重。
术中器械
◆ 操作入路
股动脉穿刺
◆ 造影
造影导丝:150cm泥鳅导丝
造影导管:5F造影导管
导引导管:Neuron Max 90长鞘
◆ 通过病变
微导丝:Synchro 200cm
◆ 扩张及植入
球囊:赛诺神畅 Neuro LPS™2.0*10mm
支架:赛诺神畅 NOVA DES®颅内药物洗脱支架2.5*10mm
治疗过程
5F-115中间导管送入右侧椎动脉V3段,微导丝送入右侧大脑后动脉。

导引导管到位,导丝通过病变。
通过微导丝将赛诺神畅 Neuro LPS™2.0*10mm送入狭窄部位。

球囊通过病变
球囊扩张后造影。
赛诺神畅 NOVA DES®颅内药物洗脱支架通过微导丝送入狭窄处,造影确定支架位置。
支架通过病变
释放支架,造影基底动脉近端血管管径明显改善。
支架释放
术后影像及检查
术后正位造影。
术后侧位造影。
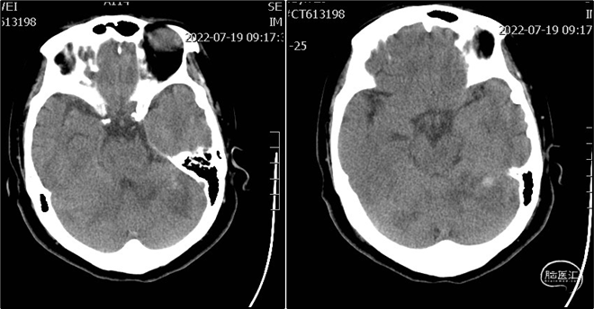
术后第一天复查头颅CT。

术后1月随访(随访日期:2022年8月24日):
术后1月患者NIHSS 2分,mRS 1级;头颅MRI示脑干、双侧小脑、右侧枕叶多发陈旧梗死;CTA示基底动脉近端管腔支架植入术后,未见明显狭窄。


手术总结
1.基底动脉近端狭窄病变,行球囊扩张及植入球扩支架时,要注意穿支的影响,球囊及支架不宜过长,以免影响小脑前下动脉。
2.赛诺神畅 NOVA DES®颅内药物洗脱支架是全球首个,也是唯一 一个颅内专用药物支架,同时也是唯一 一个被证明无神经毒性安全性的颅内药物支架。
3.赛诺神畅 NOVA DES®颅内药物洗脱支架相比现在用的裸支架,再狭窄率下降73.4%,降低再发卒中率达到了88.4%;从而使患者真正拥有远期获益,降低致残率。
4.它是唯一符合血管壁活性窗口期理论的支架,血管内皮愈合导向,所载药物28天药物峰值,60天吸收代谢完毕。实现精准治疗。
5.其2.25-4.0的直径,型号齐全,广泛适用于颅内狭窄病变。通过性优异,顺应性俱佳,150cm的操作长度可兼容市面最长的中间导管。
说明:赛诺神畅医疗科技有限公司为赛诺医疗科学技术股份有限公司控股子公司。
点击或扫描上方二维码,查看更多“介入”内容









