曾经,静脉溶栓单枪匹马,面对大血管闭塞所致梗死却回天乏术。
7年前,5大RCT研究带来了急性大动脉闭塞诊疗的春天,从此血管内取栓治疗成为行业热点。
再通血管,拯救脑组织的路上,我们追求,速度更快;但更要追求,效果更好。
一、微导丝辅助中间导管到位一一直接抽吸
原创:彭亚 朱旭成
男性,58岁,左侧偏瘫1小时。
既往史:房颤,未正规抗凝术前CT为外院检查,资料暂缺。
轻度意识朦胧,口齿不清,右侧凝视,左侧肌力2级,NIHSS评分18分。
DSA:右侧颈内动脉闭塞。
右侧大脑前动脉和大脑后动脉经软膜吻合向右侧大脑中动脉供血区代偿较差。
同轴技术:采用微导管微导丝同轴技术,React™ 71到C4前曲。
微导丝辅助中间导管通过眼动脉:中间导管通过眼动脉往往有困难,避免粗暴操作损失眼动脉。单纯微导丝过血栓,微导丝辅助React™ 71过眼动脉开口后直达ICA末端,接触血栓。
1次抽吸,右侧颈内动脉闭塞完全开通,远端无灌注缺失;术后1周,mRS评分1分。
术后MRI,右侧半球少许梗塞。
二、大脑中动脉M1段血栓合并原位狭窄一一取栓十球囊扩张十支架治疗
闭塞端呈锥形或鼠尾状,可能存在原位狭窄基础上血栓形成。
在中间导管支持下,微导丝携带微导管通过眼动脉段到达M1段偿试通过闭塞段,到达M2段以远。
撤出微导丝,用小注射器在微导管内轻轻推注造影显示:前向血流,M2以远血流通畅,返流至M1段分叉部位。
支架铆定:通过微导管将取栓支架释放于M2段,铆定血栓位置,起到滤网阻挡作用。
中间导管到位:利用支架的牵拉,中间导管跟进置于大脑中动脉与前动脉分叉以远的M1段。以防止血栓逃逸于大脑前动脉。
充分抽吸:充分抽吸中间导管,微导管跟进至支架近端再收拢支架,缓慢拉入中间导管拉出体外,同时负压抽吸中间导管和8F导引导管,抽吸直至有新鲜血流。
通过中间导管造影显示:仍有血栓。
再次取栓:再次将微导丝携带微导管置于M2段。中间导管高到位接近血栓和狭窄部位。
抽拉结合:支架铆定后,边负压抽吸,边将支架抽入中间导管,撤出体外,持续负压抽吸至无阻力,有新鲜血流抽出。
造影发现血管毛糙、狭窄明显。
球囊扩张: 用300Cm长导丝交换,1.5~2mm小球囊预扩成形。
支架释放:将Solitaire支架电解脱释放于狭窄部位。
造影显示:血流通畅。
对于取栓后血管狭窄,不能维持2级血流,可行小球囊扩张,如扩张后有夹层样改变可能(表现为管壁毛糙发白)或弹性回缩明显,建议一期取栓SOLitiare支架释放成形。
后交通代偿良好。
首选抽吸。
以中间导管抽吸2次,动脉推注替罗非班,露出庐山真面目,双腔征。
应用球囊1.5-9mm,2.0-12mm扩张,只要中间导管够得到,首选球囊扩张。
还有一个原因,React中间导管是125~132cm,冠脉球囊和赛诺或者Gateway的导管132Cm不够长。出不了头。需要截管,将React 68 132cm的管子近端截短一些,再连接柄端。
截管视频
截管后React中间导管短一些,球囊导管长度可从中间导管出头。术前测算一下。
狭窄最常见的问题就是中间导管太低,球囊通过眼动脉段困难,通过性太差。
球囊种类选择经验,倾向选哪种材料1.5-9mm,2.0-12mm小球囊,只要够得到,首选冠脉球囊。
Solitaire支架电解脱释放。
Solitaire支架植入。
复查血管,血管良好。
三、大脑中动脉血栓一一裸导丝技术十抽拉结合取栓
原创:赵宝元医师 武威市中医院
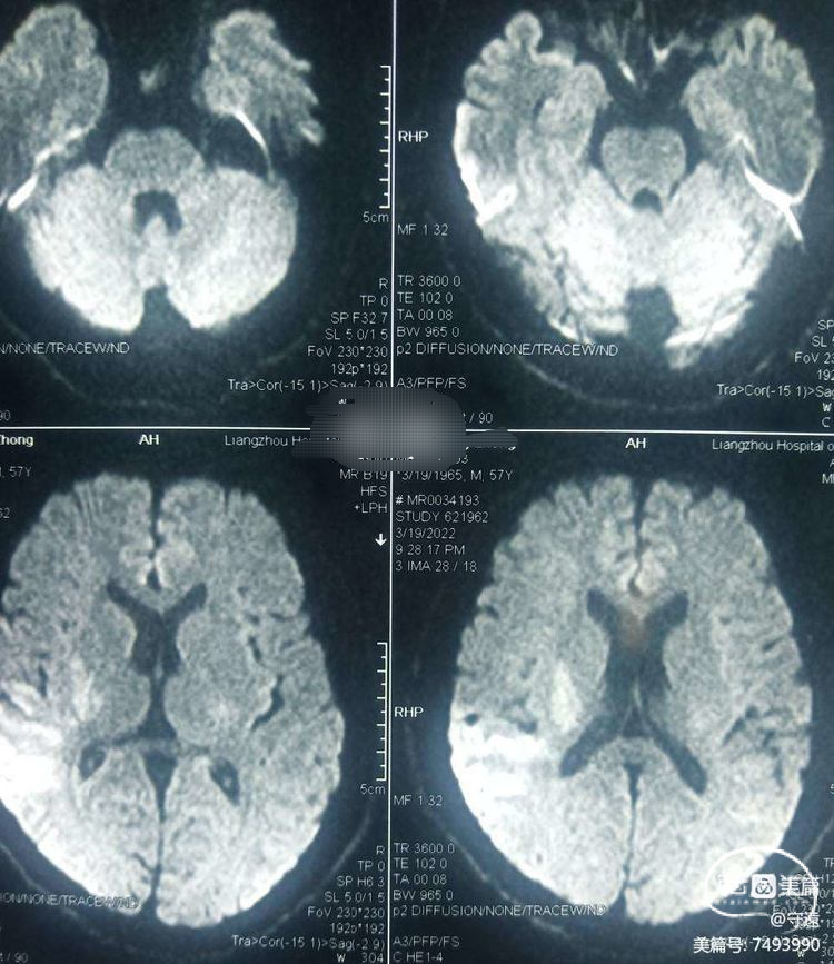
患者男性,57岁。
房颤,"突发左侧肢体失动2小时"入院。
左侧上下肢肌力1级。
NlHss评分9分。
CT无出血,核磁共振:DWⅠ显示右侧颞枕顶大片状高密度。考虑为大血管闭塞(心源性血栓可能)。
静脉溶栓:给予阿替普酶63.5mg溶栓。继之血管内介入支架取栓治疗。



造影显示:左侧大脑中动脉分叉部闭塞。
支架中间导管到位:微导丝、微导管到达上干,微造影确定血栓位置后将SoLiter支架4X20mm释放,跟进Reαct一68一132中间导管到达M1段分叉部。
裸导丝技术:撤出微导管,利于支架牵拉力将中间导管前推。
抽拉结合:抽吸,抽吸,负压抽吸下缓慢将支架拉入中间导管撤出体外,继续抽吸回撤中间导管于体外,支架和中间导管抽出大量血栓。一把通。
术后患者头疼明显,复查CT:少量蛛网膜下腔出血。考虑为取栓时支架置于M2段,血管较小,回拉时速度不够缓慢,导致血管撕裂。所以支架回拉一定要缓慢。
术后言语、肢体功能恢复正常,一周后头疼消失,出血吸收。
四、基底动脉取栓一一微导丝辅助到位抽吸取栓
郭再玉、侯延伟主任(天津泰达医院)分享
患者基本信息:男性,70岁。
主诉:突发意识障碍伴左侧肢体活动不利5小时。
术前查体情况:
NIHSS评分:18分。
既往史:心房颤动病史5-6年;未规律治疗;高血压病史2年余,收缩压最高约190mmHg;糖尿病病史2年。
鞘: 8F动脉鞘
导引导管: 8F-Guiding
抽吸导管:React™71(132cm)
微导管: Trevo Pro-18
导丝: Avigo-0.14
基底动脉中段闭塞。
示意图如下:
结合临床表现及造影,考虑基底动脉栓塞,远端基底动脉尖代偿不良,向家属仔细交待病情后同意行基底动脉急性闭塞介入开通术。
全麻满意后,更换8F动脉鞘,然后将8F-Guiding导管在多功能管及黑泥鳅导丝辅助下置于左侧椎动脉V2段,造影显示基底动脉中段闭塞。
React™71抽吸导管自V2段直接裸奔V4段,由于窗台效应,在PICA起始部稍有阻力。
看下图动态:
导管上行中阻力增大,嵌顿。
如示图:
遇到窗台效应,可借助微导管微导丝辅助,避免暴力操作导致夹层等医源性损伤。
React™71抽吸导管在微导管及微导丝辅助下,跨过PICA开口后,再次裸奔至血栓近端。
如下动图2张:
看↓图动态!
将React™71抽吸导管与基底动脉血栓充分接触。
撤掉微导管及微导丝,保持中间导管管腔最大,将50ml注射器连接于React™71抽吸导管尾端Y阀处抽吸,可见团状陈旧血栓抽出。
造影显示基底动脉中段闭塞处开通,左侧小脑上、大脑后动脉显影,但右侧小脑上、大脑后动脉仍被血栓堵塞。
如下图:
再次将React™71抽吸导管置于基底动脉尖处行血栓抽吸,再次抽出血栓,并可见较大血栓嵌顿于8F动脉鞘头端。
看↓图动态!
图片和看这里↓!是动图^O^!
第二次取栓后造影显示基底动脉完全开通,双侧大脑后动脉及基底动脉尖显影良好。
取栓术后逐步麻醉复苏,术后6小时患者嗜睡状态,呼唤睁眼,简单从嘱动作,言语含糊,左侧上肢肌力2级,左下肢肌力3+级,右侧肢体可自主活动。NIHSS评分6分。CT示右侧大脑脚及枕叶可见梗死灶。
① React™71抽吸导管到位率高,可应对路径迂曲的血管;
② 如考虑心源性栓塞,首选大口径抽吸导管尝试取栓,可提供足够的抽吸力。
③ 遇到窗台效应,可借助微导管微导丝辅助,避免暴力操作导致夹层等医源性损伤。
结合自己手术整理学习,总结经验,缩短学习曲线,在介入的道路上行稳致遠。
点击或扫描上方二维码,查看更多“介入”内容





