
唐科
皖北煤电集团总医院
副主任医师,脑血管病科副主任
从事临床工作16年余,擅长各类型颅脑损伤及高血压脑出血的外科治疗,尤其是出血性及缺血性脑血管病的血管内治疗及外科手术治疗、急性脑梗塞的动脉取栓、颅内外血管狭窄及慢性闭塞的介入开通、颈动脉内膜剥脱、烟雾病外科搭桥手术、颅内动脉瘤的介入栓塞及开颅夹闭术、颅内动静脉畸形及动静脉瘘介入栓塞和外科手术
先后在北京宣武医院、上海长海医院、河南省人民医院进修学习神经介入及神经外科手术
现在远端通路导管被广泛的用于神经介入治疗的各种场景,不管是动脉瘤栓塞、血流导向治疗、机械取栓等等常规都会使用到,到位、稳定通路建立意味着手术成功了一半。选择合适的中间导管,可以提供稳定支撑性,从而达到事半功倍的效果,Skathi远端通路导管的出现,对颅内缺血及出血性疾病的铺路搭桥都是不错的选择。


Locaste输送导管超柔软远端Tip,不易损失血管。头端近6cm柔软段和8cm亲水涂层设计更容易通过迂曲血管,安全高到位,前循环可到C2段,后循环可到V2段。近端到远端7个转换区设计,由近及远兼顾支撑性与通过性,为手术提供了较好的支撑力,使得三型弓也能轻松应对。同时0.088inch大内腔可以通过多种器械。


患者基本信息:
患者:女,54岁,患者系发现颅内动脉瘤4天入院。
既往病史:有高血压。
入院查体情况:神清语利,颅神经查体阴性,四肢肌力肌张力正常。
术前影像学检查结果




手术策略制定
左侧眼段动脉瘤。
左侧眼段动脉瘤弹簧圈栓塞术+必要时支架辅助栓塞。
术前五天口服双抗(阿司匹林100mg、氯吡格雷75mg)。
术中涉及介入材料选择
Locaste输送导管 6F 90cm
IK 血管鞘 6F 、血管鞘组 8F
125cm多功能单弯导管
泥鳅导丝
6F 115cm Skathi远端通路导管
SL-10 微导管、Echelon-10 微导管
Synchro2 导丝 200cm
弹簧圈:Jasper SS 3*8 Axium Prine 2*4、1*3
7F ExoSeal 封堵止血器
治疗经过

![]()
![]()



![]()

![]()

![]()

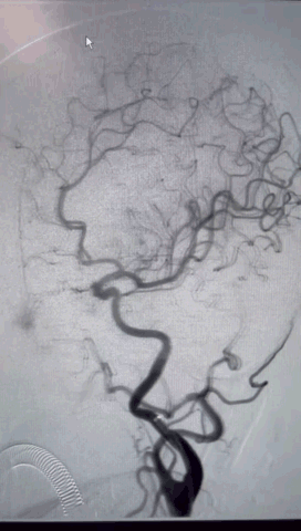
右侧股动脉穿刺,置8F鞘管,泥鳅导丝携6F 90cm Locaste输送导管内衬125cm多功能单弯导管超选至左侧颈内动脉C1段,6F 115cm Skathi远端通路导管到达C4段。
依据动脉瘤3D,调整机架位置使得动脉瘤及载瘤动脉显影最佳,Echelon-10微导管塑形理想,顺利超选至瘤内,先尝试单纯弹簧圈栓塞,必要时再采用支架辅助。
按大小顺序依次填塞弹簧圈(Jasper SS 3*8 Axium Prine 2*4、1*3)且弹簧圈成篮稳定,最终达到致密栓塞效果,手术过程顺利。
术后即刻影像及患者术后情况


![]()


![]()


最终正侧位造影见载瘤动脉通畅,动脉瘤完全不显影,远端血管显影良好。
充分评估是前提,根据手术路径,制定合理的手术方案,选择适合的通路产品。术中关键器械的选择:Skathi远端通路导管和Locaste输送导管搭配,既为近端提供强劲支撑性,又使微导管到位后,填塞动脉瘤过程中增加稳定性。为手术安全顺利结束保驾护航。
Skathi远端通路导管头端更柔软,顺应性好,易于通过迂曲血管,提高远端血管到位率,兼顾导管操控性和抗折性能。Locaste输送导管同时具备足够支撑力、超大内径以及柔韧性等特点。






