
导语
尊敬的专家同道:
大家好!“沙场点兵,有史可鉴”是史赛克公司推出的一档病例展示及点评栏目,旨在手术技术交流,产品特点演示,与各位神经介入专家共同进步。疫情虽拉远了距离,却无法降低学习的热情,让我们相约线上,博采众长,共同探讨手术技术。精彩内容,敬请期待。
病例展示(一)
看似简单,一波三折
入路迂曲的右侧大脑中动脉M1段极重度狭窄成形术
1
患者基本信息
患者:女性,62岁。
主诉:一过性肢体无力,口角歪斜1月余。
既往史、个人史:确诊高血压1周,最高血压170/100mmHg,口服施慧达2.5mg 1次/日治疗(入院后调整为5mg 1次/日,血压控制基本稳定);无吸烟饮酒史。
入院查体:GCS 15 分,问答切题,额纹对称,双眼闭目紧,双侧瞳孔等大等圆,对光反射灵敏,左侧鼻唇沟变浅,口角略向左歪斜,伸舌不偏,双侧肢体肌力Ⅴ级,四肢共济运动对称正常,浅感觉及深感觉正常,双侧巴氏征阴性。
2
术前影像学检查

颅脑MRI(外院,1月前):脑内多发梗塞灶及软化灶。

颅脑DWI(外院,1月前):右侧颞叶急性脑梗死。

颅脑MRA(外院1月前):右侧大脑中动脉未见显影,考虑闭塞。

颈部血管超声和TCD(外院,1月前)。
入院后化验结果:
血、尿常规、凝血、甲功、心肌酶、传染指标等未见明显异常。
糖化血红蛋白测定:糖化血红蛋白6.2%。
空腹血糖:4.19mmol/L。
电解质、血脂、同型半胱氨酸 :
钾3.32mmol/L;
总胆固醇2.99mmol/L;
甘油三酯1.24mmol/L;
高密度脂蛋白0.79mmol/L;
低密度脂蛋白1.62mmol/L;
同型半胱氨酸20.2umol/L。

颅脑ASL(入院后):右侧大脑中动脉供血区低灌注。

DSA提示:右侧大脑中动脉M1起始部极重度狭窄、次全闭塞,狭窄远端M1段管径约2.1mm,近端颈内动脉末端管径约3.3mm;M2段主干中度狭窄,分水岭下移;颈内动脉入路非常迂曲。
3
手术预案
8F MPA套接5F 125cm款国产中间导管建立通路(一助的这个选择个人有点疑惑,可能是急诊取栓的惯性思维,个人倾向于115cm款更合适);微导管配合微导丝通过狭窄,球囊到位扩张后观察效果,支架成形备选。
4
手术材料
8F导引导管MPA
5F 125cm国产中间导管
SL-10微导管
XT-27微导管
Synchro2 300cm微导丝
国产快交球囊 1.5mm×10mm
Gateway球囊 1.5mm×15mm
Neuroform EZ 支架 3.5mm×20mm
5
手术经过

5F中间导管套接8F导引导管在泥鳅导丝引导下送至海绵窦段。
狭窄最远段狭窄程度最重,接近次全闭塞,在SL-10微导管支撑下,3m款Synchro2微导丝反复尝试、小心通过狭窄段至主干M3段,可惜微导管无法跟进通过最狭窄处。
撤出微导管,输送国产快交型1.5mm×10mm球囊,到位困难,调整中间导管越过虹吸弯、床突上段接近狭窄,球囊仍无法通过最狭窄处,撤下换用同轴型Gateway 1.5mm×15mm,顺利通过狭窄。


予缓慢充盈球囊至10atm,透视下观察球囊已充盈饱满,静待20秒,缓慢泄压球囊,造影提示局部管腔毛糙并粗细不均,担心弹性回缩基础上伴夹层形成。
撤出球囊,交换XT-27微导管小心通过狭窄,稳定释放Neuroform EZ 3.5mm×20mm支架。
6
术后结局


借助支架输送系统回送支架导管至支架尾端顶住再撤出支架系统,保留微导丝,观察20分钟,见血流通畅,撤出微导丝,回撤导引导管和中间导管,正侧位减影和非减影像造影提示大脑中动脉血流通畅良好,支架远近端均匀贴壁,分水岭恢复正常。
患者复苏后未诉特殊不适,神经系统查体同术前。
小结和体会
1. 颅内动脉狭窄(特别是富穿支的大脑中动脉和基底动脉)的术前评估尤为重要,动脉粥样硬化型病变、最后一次卒中事件发生超过3周、非穿支型梗塞、狭窄程度达75%以上、血流动力学评估为低灌注,附加高血压、糖尿病、高血脂、高同型半胱氨酸以及抽烟、酗酒等两条及以上高危因素,正规双重抗血小板和他汀类药物治疗效果不佳,才具备手术适应症,如果再具备高分辨核磁共振判断局部分穿支影响小,手术适应症就更加强烈。
2. 虽然有了中间导管的支撑,但是快交型球囊的到位性和通过性还是远不如同轴型球囊,另外,缺血治疗应用中间导管时一定要注意各类器械的长度匹配问题(比如国产快交球囊普遍在145cm以上,有的甚至达到了160cm长度,但Gateway球囊只有135cm的长度),避免手术器械无法接近病变甚至无法从中间导管“出头”的尴尬。
3. 富血管穿支的大脑中动脉M1段和基底动脉狭窄的血管内治疗,不要追求完美影像,以改善缺血状态为主,小尺寸球囊配合开环支架是很好的治疗方案选择,既可以恢复血流,又能够减少穿支事件。
4. 单纯球囊扩张和药物涂层球囊的应用也是血管内治疗的主要手段,目前很多单中心临床研究已有中短期不错的疗效,我们期待正在进行的大宗多中心的随机对照研究拿出更好的临床结果;球扩后如果出现明显弹性回缩和动脉夹层,支架植入可以作为很好的补救手段。
5. 球扩式支架多用于颈内动脉床突段和海绵窦段以及椎动脉入颅段,局部血管不要过度迂曲,至于在M1段和基底动脉的应用还是要慎重,另外,药物涂层球扩式支架应用前需要进行普通球囊预扩张。
专家点评
该病例的血管条件较差,近端血管严重迂曲的同时靶病变部位重度狭窄为手术医生带来了巨大的挑战。术中影像能够明显看出术者手术技巧娴熟,同时术后影像也看到前向血流明显改善接近完美。
对于该类高难度病变除了术中精细操作、做好围手术期处理外,运用先进的影像学技术进行术前评估至关重要。希望有条件的话后续病人在术前能够完善病变血管的高分辨磁共振检查,以了解斑块性质及与穿支的关系,从而做出更精准的治疗策略。
该病例使用Gateway球囊,该球囊便于通过各种迂曲病变、到位能力强、扩张时充盈平稳、扩张效果好等临床特点,为手术成功提供了安全、有效的保证。除主刀医生外,手术助手也应该熟练掌握神经介入器械各种参数和性能。
点评专家
徐浩文
郑州大学第一附属医院
主任医师,教授,硕士研究生导师,神经病学博士,医学影像与介入治疗学博士后,硕士研究生导师,郑州大学第一附属医院河医院区神经介入病区主任
中国医师协会神经介入分会委员
中国卒中学会神经介入分会委员
河南省卒中学会神经介入分会副主任委员
河南省医师协会神经介入委员会委员/取栓学组副主任委员
承担国家级、省部级课题多项,发表论文30余篇,其中SCI收录10余篇。从事神经病学工作近30年,从事神经介入工作15年。对脑脊髓血管病临床及介入治疗有较深入的研究,擅长颅内动脉瘤、脑动静脉畸形和颅颈动脉狭窄或闭塞的介入治疗。
术者简介
病例展示(二)
症状性大脑中动脉狭窄Wingspan支架治疗1例
1
患者基本信息
患者:刘XX,男,36岁。
主诉:发作性言语不清20余天。
现病史:20天前无明显诱因出现发作性言语不清,每次持续约2-3分钟后自行缓解。无意识障碍、无头痛头晕、无四肢活动障碍等症状。至永城市中医院就诊,头颅MRI提示左顶叶急性脑梗死。头颈联合CTA提示左侧大脑中动脉狭窄,左侧椎动脉纤细。给与阿司匹林、氯吡格雷及阿托伐他汀治疗。症状仍有发作且发作持续时间较前明显延长。
既往史:长期吸烟史,高血压病史7年,间断服用药物(具体不详),控制不佳。
入院查体:神志清,四肢活动正常,言语清晰,双侧瞳孔等大等圆,鼻唇沟对称,伸舌居中,双侧病理征阴性。NIHSS:0分。mRS:0分。
2
术前影像学检查
ECG正常
血常规、肝肾功能正常
高密度脂蛋白、同型半胱氨酸、叶酸异常
风湿结缔组织病(-)

超声检查:


CTP:


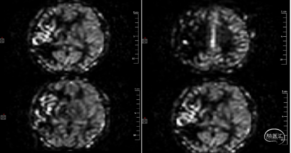
MRI平扫未见新鲜梗死:
高分辨 MRI:

DSA:

3
药物治疗
阿司匹林 100mg
氯吡格雷 75mg
瑞舒伐他丁 20mg
期间仍有TIA发作,较前无好转
拟行手术治疗,入组泰杰伟业药物涂层球囊对照项目

4
手术器械
8F股动脉鞘管
6F 90cm长鞘
5F 115cm中间导管
2*15mm Gateway球囊
300 cm Synchro微导丝
根据术中随机结果选取Wingspan支架 or 药物涂层球囊
5
手术经过

2mm*15mm Gateway球囊到位。

扩张后造影。

球囊扩张后随机Wingspan支架。

支架位置良好狭窄改善明显。
患者麻醉复苏良好,无出血及缺血并发症,安稳出院。
6
6个月复查

小结和体会
本例患者采用Gateway球囊及Wingspan支架,此球囊具有便于通过各种迂曲病变、到位能力强、扩张时充盈平稳、扩张效果好等临床特点,为颅内血管治疗提供更为安全、有效的保证。
Wingspan支架则是目前唯一一款用于颅内血管狭窄治疗的专用自膨支架,该支架具有光滑的的输送导管及开环设计,则使其具有良好的到位性能、释放稳定、良好的支撑力、在迂曲血管内完成。
支架输送系统较硬,选用中间导管明显提高手术效率及安全性。
专家点评
虽该患者较为年轻,但药物控制不佳的症状性颅内动脉狭窄患者还是较为常见,但是高分辨磁共振提示左侧大脑中动脉M1段病变为动脉粥样硬化性偏心性斑块,增强有斑块有明显强化,提示为易损斑块,狭窄程度严重,结合患者有长期吸烟史且经过药物治疗后仍不能控制,故该患者有介入治疗的指征。从术中影像中也能看出术者手术功底扎实。
从6个月复查结果看到大脑中动脉穿支似乎较术前和术后即刻DSA有所减少,希望术者解释其原因并提供更多的动态影像信息,提供随访磁共振影像和临床随访结果。
该病例使用了Wingspan支架,Wingspan支架目前是唯一一款用于颅内动脉狭窄治疗的专用自膨式支架,该支架具有良好的到位性、支撑力强、在弯曲血管中完美贴壁的特点,为手术的成功保驾护航。
点评专家
徐浩文
郑州大学第一附属医院
主任医师,教授,硕士研究生导师,神经病学博士,医学影像与介入治疗学博士后,硕士研究生导师,郑州大学第一附属医院河医院区神经介入病区主任
中国医师协会神经介入分会委员
中国卒中学会神经介入分会委员
河南省卒中学会神经介入分会副主任委员
河南省医师协会神经介入委员会委员/取栓学组副主任委员
承担国家级、省部级课题多项,发表论文30余篇,其中SCI收录10余篇。从事神经病学工作近30年,从事神经介入工作15年。对脑脊髓血管病临床及介入治疗有较深入的研究,擅长颅内动脉瘤、脑动静脉畸形和颅颈动脉狭窄或闭塞的介入治疗。
术者简介
END









