
导语
尊敬的专家同道:
大家好!“沙场点兵,有史可鉴”是史赛克公司推出的一档病例展示及点评栏目,旨在手术技术交流,产品特点演示,与各位神经介入专家共同进步。疫情虽拉远了距离,却无法降低学习的热情,让我们相约线上,博采众长,共同探讨手术技术。精彩内容,敬请期待。
病例展示
1
患者基本信息
患者:男性,69岁,2021.7.5 23:30入院。
主诉:突起左侧肢体无力伴言语不能1小时。
现病史:患者于2021.7.5 22:30无明显诱因突发左侧肢体无力,表现为左下肢不能独立行走,左上肢不能持物,伴不能言语,不能对答。未诉头痛、头晕,无胸闷、气促,无咳嗽、咳痰,无恶心、呕吐等不适。为求诊治,遂来我院我科就诊。
既往史:“高血压病”病史10+年,最高血压195/100mmHg,服用“施慧达 2.5mg 每晨一次”控制血压,未监测血压,血压控制不详。
入院体查:TT:36℃ P:69次/分 R:24次/分 Bp:196/105mmHg 神志模糊,言语含糊,查体欠合作,平素左利手。双侧瞳孔等大等圆约3mm,对光反射灵敏,颈软,口角右歪,伸舌左偏。双肺呼吸音清,双肺未闻及明显干湿性啰音 心率69次/分,律齐;腹稍隆,全腹软,无压痛及反跳痛。脊柱四肢无畸形,左上肢肌力2级,握力0级,左下肢肌力3级。右侧肢体肌力5级,肌张力正常。左侧巴彬斯基征、查多克氏征、戈登征、奥本海姆征均阳性,右侧病理征阴性。腱反射正常,脑膜刺激征阴性。
NIHSS评分16分(意识1、提问2、指令1、凝视2、面瘫1、上肢3、下肢2、言语2、构音2),洼田饮水实验2级,病前mRs 0分。
2
术前检查
头部CT:1.双侧放射冠区腔隙性脑梗塞。2.脑萎缩。
肺部CT:右上肺尖后段、左舌段纤维化。
实验室检查:
天门冬氨酸氨基转移酶67U/L↑,
丙氨酸氨基转移酶50U/L↑,
白球比1.27↓,
总胆汁酸18.9umol/L↑,
甘油三脂3.04mmol/L↑,
尿素7.60mmol/L↑,
肌酐119umol/L↑,
葡萄糖7.77mmol/L↑,
血常规、凝血常规大致正常。
心电图:大致正常。
在CT室立即予以阿替普酶0.9mg/kg溶栓,同时完善CTA检查。
颅脑CTA:左侧颈内动脉闭塞、右侧大脑M1远端闭塞。


3
入院诊断
1.脑梗死(栓塞型 右侧额颞顶叶岛叶及基底节区);2.高血压病3级(极高危)。
定位:右侧额颞顶岛叶及右侧基底节区 。
定性:脑梗塞(栓塞可能性大)。
发病机制:动脉-动脉继发栓塞和血栓形成。
治疗方案:rt-PA溶栓+桥接机械取栓。
4
手术方案
患者症状、体征考虑右侧M1为责任血管,左侧颈内慢闭可能性大,左侧M1通过前交通动脉代偿。

5
手术材料
8F导引导管
132cm-AXS Catalyst-6中间导管
150cm-0.021-Trevo Pro 18微导管
200cm-0.014-Synchro2微导丝
4mm*20mm-Trevo Provue取栓支架
6
术前DSA

M1闭塞消失 溶栓后血栓移位?M2下干取栓?
7
M2段急诊取栓
HERMES协作组收集了MR -CLEAN、ESCAPE、REVASCAT、SWIFT PRIME、EXTEND-IA、THRACE和PISTE这七大随机对照试验的M2段闭塞的数据,共纳入130例患者,其中取栓组67人。结论:大脑中动脉M2段闭塞可以从机械取栓中获益,尤其是M2近端和优势分支闭塞。
MR-CLEAN试验的亚组分析表明,M2段闭塞与M1段闭塞患者在急诊取栓后的临床预后及并发症大致相同。
此外,即便是共优势/非优势的M2分支闭塞也可以从急诊取栓中获益。
8
手术经过

以8F导引导管做支撑送入右侧颈内C1段,同轴送入132cm-AXS Catalyst-6中间导管、150cm-0.021-Trevo Pro 18微导管、200cm-0.014-Synchro2微导丝;CAT-6送至M1段闭塞处;微导管送入右侧大脑中动脉M2段后,1ml注射器回抽见血液回流再手动造影。

选用4mm×20mm-Trevo Provue取栓支架,将有效段远端放置于大脑后动脉开口处,后退微导管释放支架,见支架尾端存在可疑的释放不全感,提示可能的血栓/狭窄。静待5分钟使支架与血栓镶嵌更紧密。

仅将支架末端无效段拉至CAT-6里面,CAT-6的Y阀处连接50ml注射器负压持续抽吸,同时将中间导管及支架拉出体外,见一35mm×2mm长条血栓附着于支架上,随后20ml注射器于长鞘内再次抽吸,可见顺畅血流进入注射器。

复查造影:下干完全再通。

静待15分钟后再次复查造影,见患者血管通畅,前向血流良好,mTICI 3级。大脑前动脉、前交通动脉血流通畅,对侧M1显影良好,术中患者生命体征平稳,术毕。
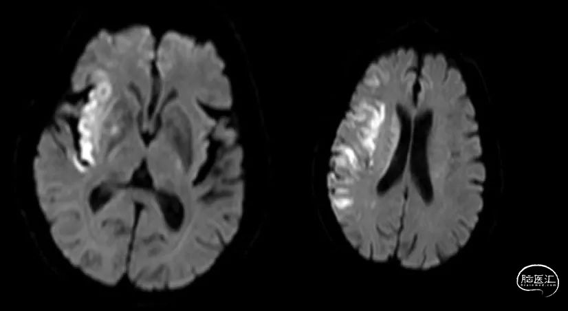
9
术后
术后即刻复查CT,颅内无出血,肢体活动恢复。


术后影像( 2021.7.8)
予以抗聚调脂降压和改善侧枝循环等治疗,术后9天出院。
症状:明显改善,肢体无力较前好转,言语清晰,无头痛、头晕,无胸闷、气促,无恶心、呕吐,无胸腹部等不适。精神、食纳可,大小便正常。
体查:四测正常,神志清,言语流利,双侧瞳孔等大等圆3mm,对光反射灵敏,颈软,脊柱四肢无畸形,左上肢肌力4-级,握力差,左下肢肌力4+级。右侧肢体肌力5级,肌张力正常。左侧病理均阳性。
NIHSS:3(面瘫1、上肢1、下肢1),洼田饮水实验1级,mRs3分。


2022.5.12复查造影
10
目前随访情况
患者神清,言语清晰。双侧瞳孔等大等圆,直径约3mm,对光反射灵敏,眼球无凝视,无眼震,双侧面纹对称,伸舌居中,左侧肢体肌力5级,无明显痛觉减退,肌张力正常,膝腱反射+,左侧Babinski征(+),颈部无抵抗,指鼻试验稳准,Kernig征(-),Brudzinski征(-),Romberg(-)。
NIHSS评分1分,洼田饮水试验1级,mRS评分1分。
小结和体会
1、CAT-6作为中间导管可以提供良好的支撑性及通过性,作为抽吸导管,较大的内径可以提供更强的吸附力。
2、Trevo Provue取栓支架规格齐全,通过性佳且全程可视,能够精准的定位及良好的与血栓嵌合。
3、该患者左侧颈内动脉闭塞,通过前交通,如果血栓逃逸可能出现灾难性的后果,直接选取SWIM技术,依靠Trevo Provue取栓支架与血栓良好的嵌合力及CAT-6优秀的抽吸力实现血管的再通。
专家点评
1. SWIM技术的核心临床优势:抽拉结合、一把再通、双重保护和三级灌注。是综合应对中国AIS病例的技术,更适合ICAD高发的亚洲人群。
2. 该病例从手术指征上看,起病时间短1小时,NIHSS 16分。CTA提示右侧大脑中动脉闭塞,有机械取栓的适应症。
3. 再看手术策略,溶栓后大脑中动脉M1段再通,可疑血栓前移致M2段闭塞。术中采用支架联合取栓SWIM技术,一是防止抽吸时血栓远端拉断而造成逃逸,二是通过支架嵌入包裹血栓有助于弯角处血栓的取出。术者在术前把手术中可能会遇到的各种障碍都考虑的非常到位,针对性的制订了手术方案,这种未雨绸缪的手术思路将大大提高手术的顺畅度和成功率。术者在支架释放后,观察到支架尾端存在展开不完全的情况,抽拉时仅将支架末端无效段拉至CAT-6里面,CAT-6连接负压持续抽吸,同时将中间导管及支架拉出体外。防止了支架上的嵌入的栓子被中间导管口的剥脱而逃逸,从取出的血栓是挂在支架的远段位置可以看出,这一细节操作的必要性。
4. 值得讨论的两点:
手术开始时,造影发现M2段闭塞,此时可考虑使用管腔更小的CAT-5 132mm,或许可以实现直接接触血栓,ADAPT抽吸成功。
支架释放后,可从CAT管中轻推造影剂,了解前向血流情况,同时也有利于判断支架展开不全部位是栓子还是狭窄等情况。
5. 史赛克的CAT6/5是一款极具性价比、性能良好的中间导管,通过性好、耐用耐糙和抽吸效率高,可顺利高到位进行反复抽吸。Trevo取栓支架家族式的特点“全程显影”可以给术者更多关于血栓和狭窄的信息,而新一代的Trevo XP支架取消了老款产品的锥形头端,采用了开放式齐平的头端,缩短了支架远端无效区的长度,可在血管折角处直接释放而无需跨到远端,让手术更安全。
点评专家
程赛宇
重庆医科大学附属第三医院
神经疾病中心副主任,主任医师,副教授,硕士研究生导师,重庆市渝北区“临空创新人才”
中国卒中学会脑静脉病变分会第一、二届委员会委员
中国卒中学会神经介入分会第二届青年委员会委员
重庆市卒中学会脑血管介入及急诊介入分会第一届分会副主任委员
重庆市解剖学会脑血管病专委会第一届委员会副主任委员
重庆市卒中学会卒中急救分会第一届分会秘书长
重庆市社会医疗机构协会神经内科专业委员会第一届委员会副主任委员
重庆市神经科学会理事
重庆市老年学和老年医学学会脑血管病介入治疗分会常委
重庆市卒中学会脑血管病高危人群管理分会第一届分会常委
重庆市医师协会神经内科医师分会第一届委员会脑卒中预防与控制学组委员
重庆市医学会神经内科分会第七届委员会神经介入学组委员
术者简介
END







