术者寄语
在缺血性脑卒中患者中,46.6%的脑卒中是由于颅内动脉粥样硬化性狭窄引起。基底动脉是由左侧椎动脉和右侧椎动脉合并而成的,走形于脑桥基底沟,沿途发出多条脑桥穿支动脉。基底动脉狭窄或闭塞的临床结局较严重,所以此类患者的死亡率及致残率很高。目前对于基底动脉狭窄的治疗,主要以药物治疗及颅内支架置入术为主。但基底动脉支架术后再狭窄所致的闭塞处理起来较为复杂,取栓风险高难度大,若不能及时开通血管恢复血流,往往预后不佳。
Syphonet®取栓支架全系兼容0.017in微导管,到位性通过性优异,且支架通体显影,术中提供实时视觉反馈,提高操作安全性,为复杂手术首选的取栓支架。
本期嘉介谈邀请河南省人民医院管民教授,武陟县中医院朱长保教授、肖忠源教授、牛俊杰教授,展示Syphonet®取栓支架治疗基底动脉支架内再狭窄导致闭塞一例。

患者基本信息
男,49岁,以“发现肾功能异常2年余,发作性头晕、恶心3天”为主诉,于2022.07.19 08:51入院。
简要病史
现病史:2年前患者因血糖控制不佳住院治疗,查肾功能示:尿酸440umol/L,肌酐650umol/L,诊断为“2型糖尿病肾病IV期”,2月前开始行右颈内静脉长期透析导管置管术后开始规律血液透析治疗,3次/周。3天前患者无明显诱因出现头晕、恶心症状,伴耳鸣、视物旋转、四肢乏力、走路不稳,发作数十秒钟后症状自行缓解,当时未在意,此后上述症状间断发作,自行至当地诊所就诊给予抗眩晕药物口服治疗。效果一般,20分钟再次发作头晕、恶心症状,伴耳鸣、呕吐、出汗,呕吐物为胃内容物,症状持续不缓解,为进一步治疗急至我院就诊,门诊以“1.慢性肾脏病Ⅴ期,2.头晕查因”为诊断收入我院肾内科住院治疗。
既往史:既往有“高血压”病史20余年,血压最高达180/110mmHg,现规律口服“硝苯地平缓释片、特拉唑嗪片”治疗,血压控制在140-170/60-90mmHg之间。患“2型糖尿病”病史10年余,平时应用“诺和灵30R笔芯”治疗,血糖控制尚可。3年前因“脑梗塞”上级医院行“脑血管支架植入术”(具体不详),好转后出院,遗留口齿不清症状,长期口服“阿托伐他汀钙片”治疗。有“冠心病不稳定型心绞痛”病史1年余,现口服“酒石酸美托洛尔片”治疗。发现“慢性乙型病毒性肝炎”病史半年余,未特殊治疗。否认外伤史,否认输血史,否认药物、食物过敏史。预防接种随当地进行。系统回顾无特殊。
入院查体情况
T:36.6℃;P:74次/分;R:20次/分;BP:168/85mmHg,神志清楚,精神差,自动体位,轮椅推入病房,查体合作。双侧瞳孔等大等圆,直径约3mm,对光反射灵敏,粗测视力差。口唇无紫绀,伸舌居中。右侧颈部可见一长期透析导管置入,颈软,无抵抗。心律齐,心音低钝,各瓣膜听诊区未闻及杂音。两侧足背动脉搏动减弱,痛温觉减弱。神经系统检查:高级智能尚可,双侧肢体肌力肌张力、肌张力及腱反射正常,左侧巴氏征阴性,右下肢巴氏征阳性。
病情转变
患者入院1小时余后再次出现头晕、恶心、呕吐、出汗症状,并在数分钟内突然意识丧失、呼之不应,查体可见双侧瞳孔对光反射尚存在,痛觉刺激反应减弱,双侧巴氏征阳性,其余查体不合作,昏迷患者NIHSS评分为25分以上。
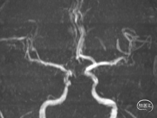
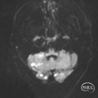
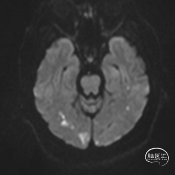
术前影像学资料
1.急查头颅MRI+RMA示:
2.右侧小脑半球、双侧枕叶、左侧颞叶脑梗塞;
3.桥脑区、双侧基底节区陈旧性脑梗塞;
4.脑白质脱髓鞘;
5.双侧椎-基底动脉、双侧大脑后动脉、右侧大脑前动脉闭塞;
6.右侧颈内动脉狭窄;
7.脑动脉硬化。
MRI
MRA
治疗策略:全麻下行主动脉弓+全脑血管造影术+基底动脉闭塞开通术。
原因:
根据患者症状、体征、病史及辅助检查,明确为基底动脉闭塞导致脑梗死。
患者病情急骤,不及时开通血管恢复血流,患者死亡风险性极高。
患者既往有脑血管支架植入史,并且大动脉闭塞静脉溶栓再通率低,另支架内再狭窄均为发病原因,静脉溶栓预计效差。
根据病情与患者家属沟通后,患者家属同意急诊行血管内介入手术治疗。
8F股动脉鞘
0.035in泥鳅导丝
5F VTK
6F 90cm 长鞘
5F 115cm Tethys®中间导引导管
Headway 17微导管
200cm、300cm 0.014in ASAHI 微导丝
2.0mm*15mm Sprinter球囊
加奇4.0mm*30mm Syphonet®取栓支架
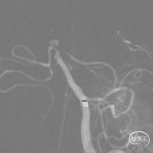
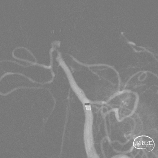
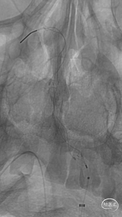
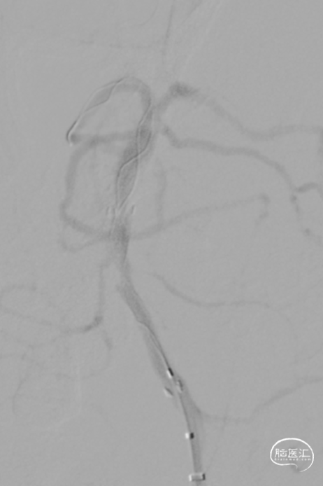
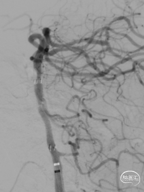
急诊DSA:Ⅱ型弓,基底动脉AICA以远未见显影。
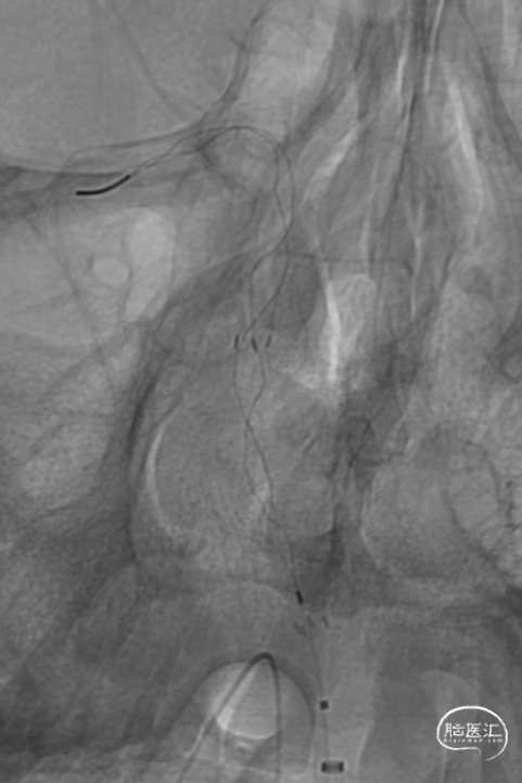
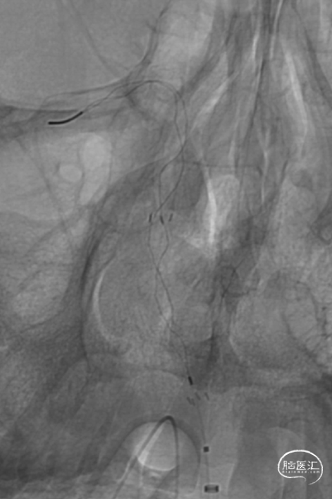
加奇Tethys®中间导引导管到位,明确既往支架位置。但中间导管通过困难。


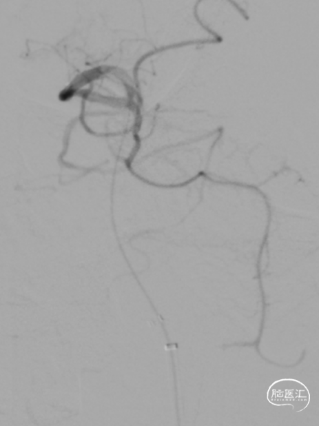
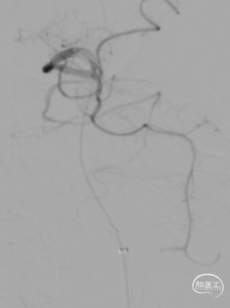
微导丝微导管通过闭塞段,在右侧大脑后动脉手推造影证实真腔,明确闭塞段,可见造影剂返流至基底动脉尖部,且证明闭塞确为支架内再狭窄导致闭塞。


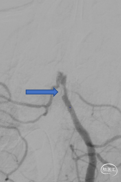
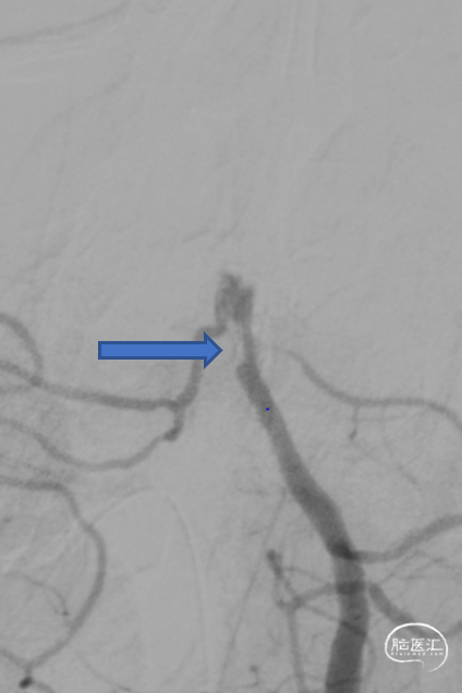
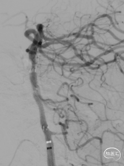
释放加奇4.0mm*30mm Syphonet®取栓支架,可见支架通体显影。


第一次取栓后,血管未通,但明确支架内狭窄位置,交换引入头端塑形的300cm 0.014in微导丝,撤出微导管,沿微导丝引入2.0mm*15mm Sprinter球囊,扩张后狭窄明显减轻,但血栓掉落至右侧大脑后动脉起始部。


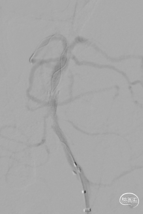
交换再次引入加奇4.0mm*30mm Syphonet®取栓支架并释放。


第二次拉栓后造影,血管再通,支架内再狭窄处理风险极高,且目前前向血流3级,对比造影时影像支架未有移位。


取栓后次日早晨复查头颅CT可见造影剂渗出,但患者已清醒,肢体自主活动可,言语不利、吐字不清,但他人尚易理解。
7天后患者神志清,精神差,言语不利、吐字不清,但他人尚易理解,饮食、睡眠一般,大小便正常。神经系统查体:高级智能尚可,言语不利、吐字不清,但他人尚易理解,左侧肢体肌力4级,肌张力、腱反射正常,左侧巴氏征阳性。右侧肢体肌力4级,肌张力、腱反射正常,右侧巴氏征阳性。双侧指鼻试验不稳准。
病例总结
1
2
基底动脉支架内再狭窄导致的闭塞取栓风险高,操作复杂,Syphonet®取栓支架通体显影,可以清楚看见取栓支架与基底动脉内原有支架的关联,避免支架移位,提高手术安全。
3
朱长保
武陟县中医院
副院长,副主任医师,本科毕业于河南中医药大学
焦作市神经内科专业委员会常务委员
焦作市神经介入专业委员会委员
河南省中西医结合内科专业委员会委员
擅长高血压、糖尿病、脑血管的诊治,在我县率先开展急性缺血性脑血管病的溶栓治疗,现带领团队从事急性脑梗塞全流程诊治,开展介入取栓血管开通20余例,取得满意的临床疗效
肖忠源
武陟县中医院
脑病科副主任医师,毕业于河北医科大学
武陟县中医院脑病康科副主任,卒中中心副主任,神经介入组副组长
河南省中医药学会脑病分会委员
焦作市医学会神经介入专业会委会委员
焦作市医学会神经内科专业委员会委员
擅长运用中西医结合治疗脑血管病以及脑血管病的介入治疗
牛俊杰
武陟县中医院
本科学历,毕业于河南中医药大学
武陟县中医院脑病康科主治医师,卒中中心主治医师,神经介入组成员
河南省中医药学会脑病分会委员
河南省中医药学会康复分会委员
焦作市医学会神经介入专业会委会委员
焦作市医学会神经内科专业委员会委员
擅长运用中西医结合治疗脑血管病、脑血管病后遗症以及脑血管病的介入治疗
管民
河南省人民医院
脑血管病二病区主治医师,硕士研究生
毕业于西安交通大学临床医学七年制,哈佛大学科研修毕业
擅长脑血管病的影像评估、介入治疗,参与完成急性脑卒中溶栓、取栓500例以上
主持河南省卫健委科技攻关项目1项,参与国家“863”课题1项,国家自然科学基金面上项目1项,河南省自然科学基金项目1项
发表和参与发表论文10余篇,其中以第一作者或共同作者发表SCI 6篇
特别说明:本页面所包含的文字、图片、音视频等内容仅供医学专业人士参考。本页面所包含的内容,仅为专家个人观点,不能代替医疗专业人士的判断。本页面不向非医学专业人士开放,敬请理解。